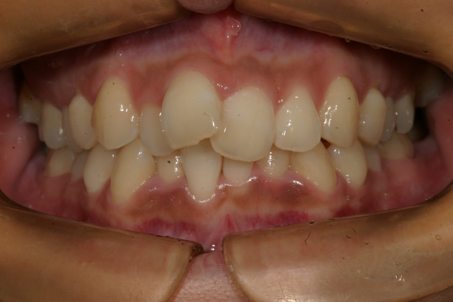
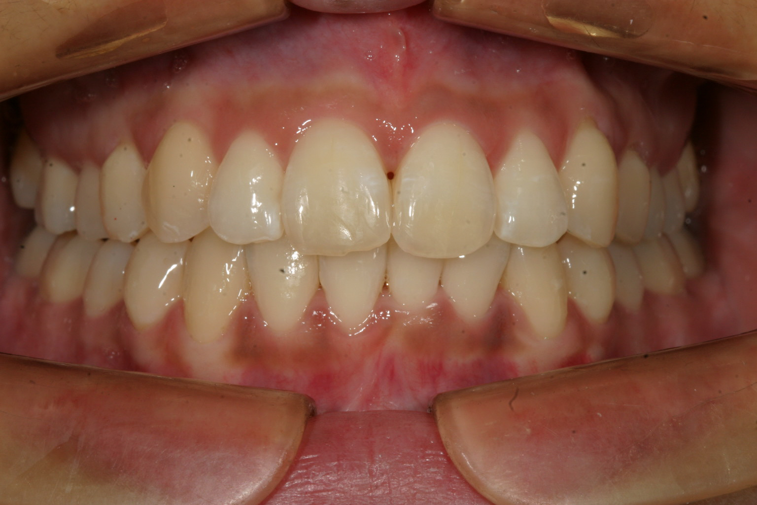
カテゴリー: 出っ歯(上顎前突)の症例(非抜歯)
インビザライン ディープバイト 深い咬み合わせ 捻転 ねじれ 叢生 ガタガタ


お悩み
前歯のかみ合わせが深いのと下の前歯がガタガタ
年齢
38歳
性別
女性
治療に用いた装置
インビザライン
治療期間
1年4ヵ月
治療にかかった費用
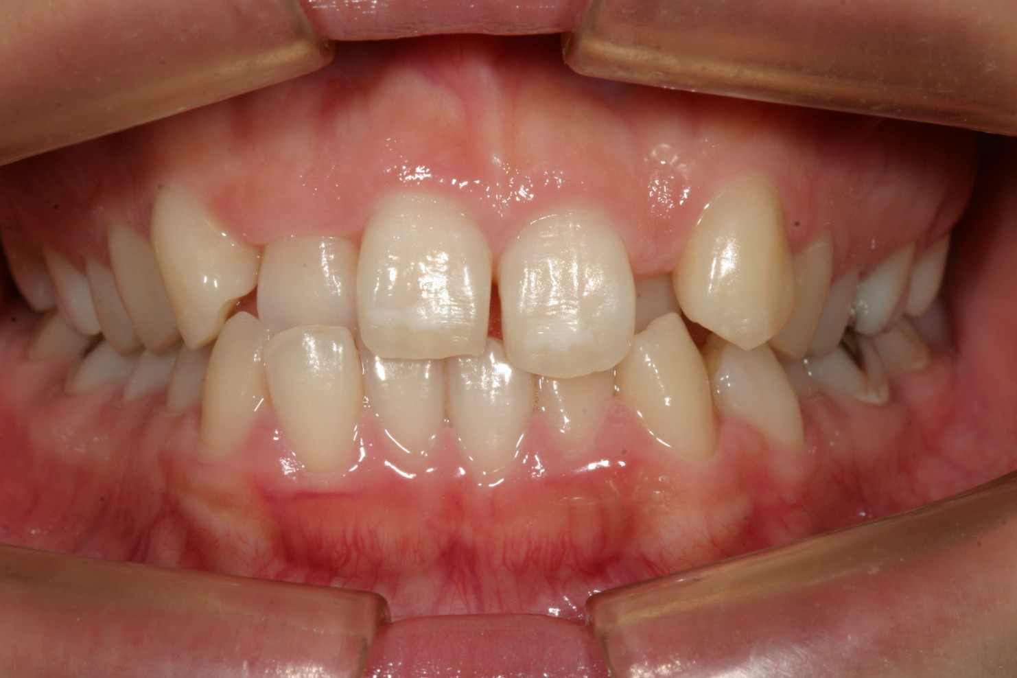
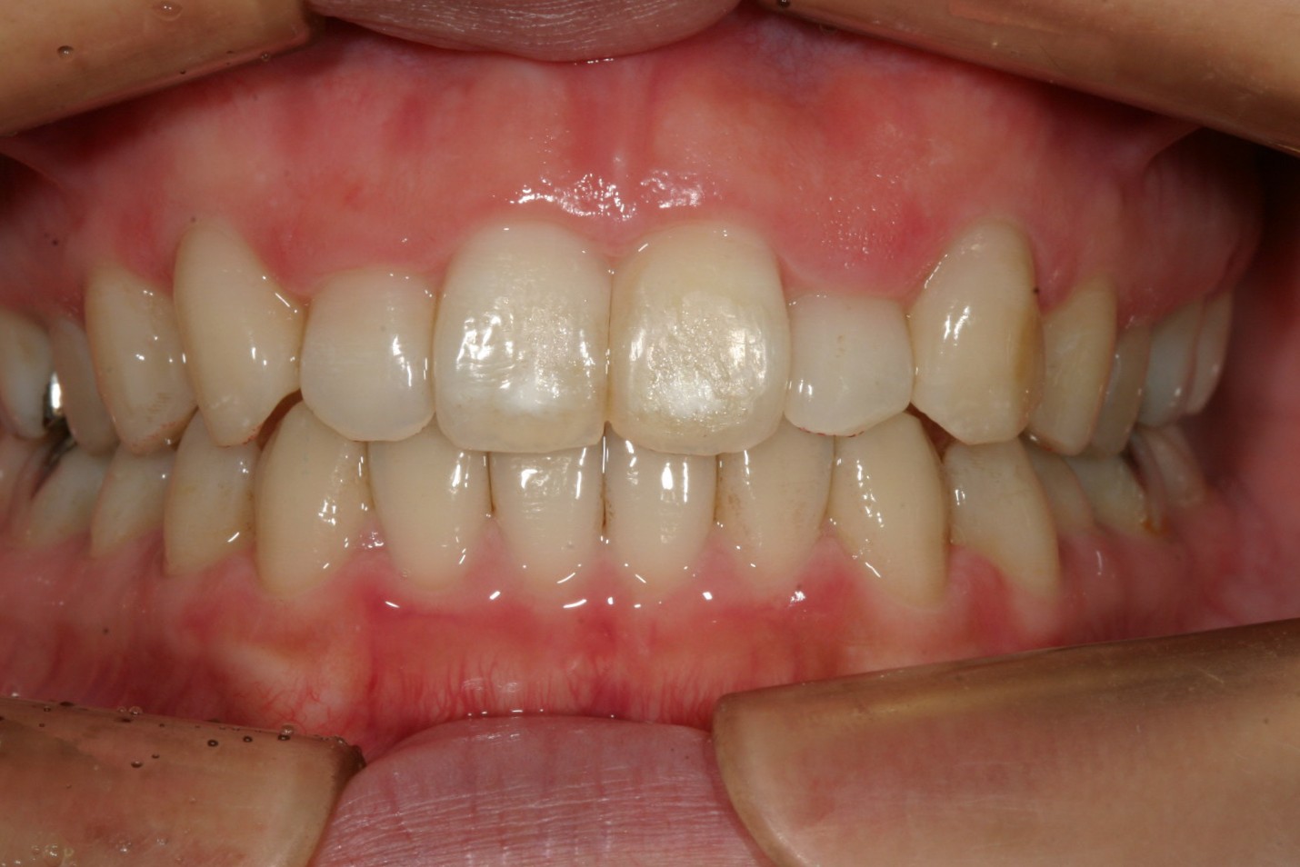
インビザライン マルチループワイヤー 前歯 歪み 小臼歯 回転


お悩み
前歯の歪みと片前歯の下への出っ張りが気になる。
年齢
31歳
性別
女性
治療に用いた装置
インビザライン
治療期間
1年4ヵ月
治療にかかった費用
インビザライン アップダウンエラスティック 顎関節症 前歯 内傾斜 ディープバイト オーバーバイト 深い


お悩み
前の歯が内向いていて顎がカクカクする。
年齢
18歳
性別
女性
治療に用いた装置
インビザライン+自家製バイトアップジグ+アップダウンエラスティック
治療期間
1年4ヵ月
治療にかかった費用
インビザライン 前歯 ねじれ 傾く 出っ歯 叢生 ガチャ


お悩み
前歯が傾いているのとガタガタが気になる。
年齢
25歳
性別
女性
治療に用いた装置
インビザライン
治療期間
1年2ヵ月
治療にかかった費用
でっぱ 叢生 インビザライン 歯列V字 アップダウンエラスティック


お悩み
前歯のでっぱとガタつきを何とかしい。
年齢
20歳
性別
女性
治療に用いた装置
インビザライン
治療期間
1年4ヵ月
治療にかかった費用
翼状捻転 ねじれ でっぱ インビザライン 加速矯正装置 時短 真ん中


お悩み
前歯の翼状捻転を改善して欲しい。
年齢
32歳
性別
女性
治療に用いた装置
インビザライン
治療期間
1年5ヵ月
治療にかかった費用
非抜歯 インビザライン 歯並び尖ってる でっぱ がちゃ 叢生


お悩み
上下前歯がガタガタなので綺麗にしたい。
年齢
28歳
性別
女性
治療に用いた装置
インビザライン
治療期間
1年10か月
治療にかかった費用
前歯 ガタガタ 犬歯 飛び出し 叢生 インビザライン アーチ狭い


お悩み
2番目の前歯がへこみ前歯がガタガタしてる。
年齢
26歳
性別
女性
治療に用いた装置
インビザライン
治療期間
1年8か月
治療にかかった費用





