

お悩み
前歯のかみ合わせが深いのと下の前歯がガタガタ
年齢
38歳
性別
女性
治療に用いた装置
インビザライン
治療期間
1年4ヵ月
治療にかかった費用
治療詳細

右前歯がねじれているのが見受けられます。

下顎はアーチが狭く結構な叢生です。

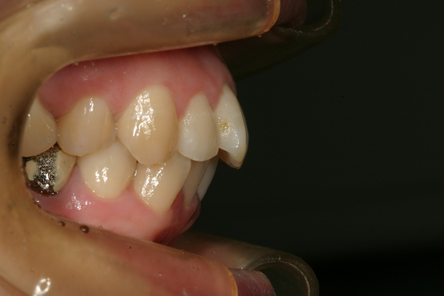
横から見ると上下額とも前突しています。

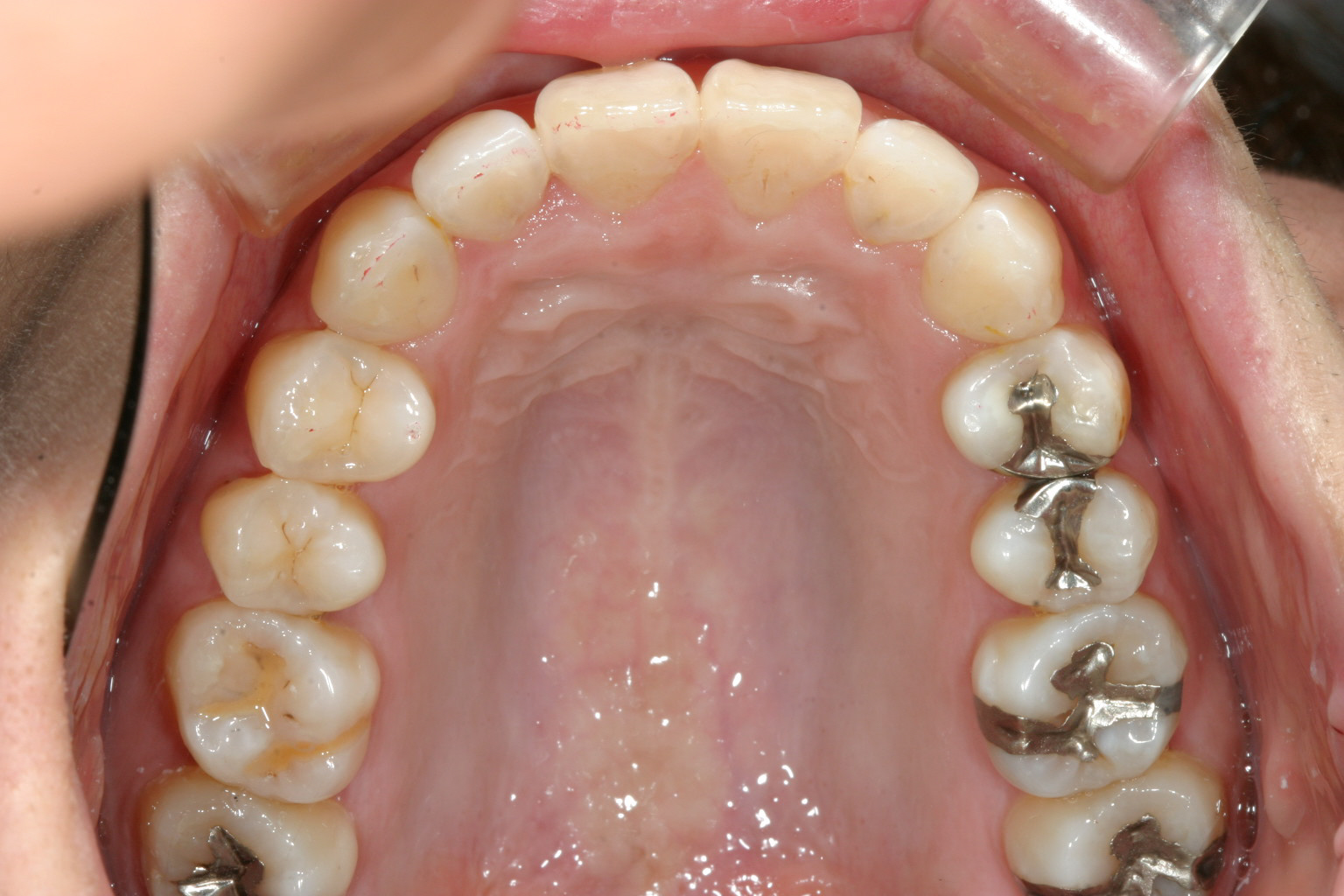
アーチを少し拡大し綺麗に改善しました。

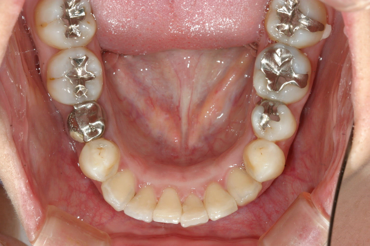
下顎もアーチを少し拡大し凄く綺麗に改善しました。

横から見ますと前突が改善し又かみ合わせも浅くなっているのが分かると思います。
当院からのコメント
今回のケースですがポピュラーなケースでアーチか狭窄している為前歯に叢生が出来ると言う症例です。
先ずはアーチの拡大から始め続いてIPR(歯と歯の隙間を削る)を行う事により前突するのを防ぐと言う事です。
IPRしないとガタガタは改善したがその副産物として出っ歯になります。
それと今回のケースの様にかみ合わせが深いのを改善する為に下顎前歯の圧下と下顎小臼歯の挺出も行いました。
インビザラインではそう言った事を一度にマウスピースで行う事により短期間で治療を行う事が出来ます。

