

お悩み
前歯のでっぱとガタつきを何とかしい。
年齢
20歳
性別
女性
治療に用いた装置
インビザライン
治療期間
1年4ヵ月
治療にかかった費用
治療詳細

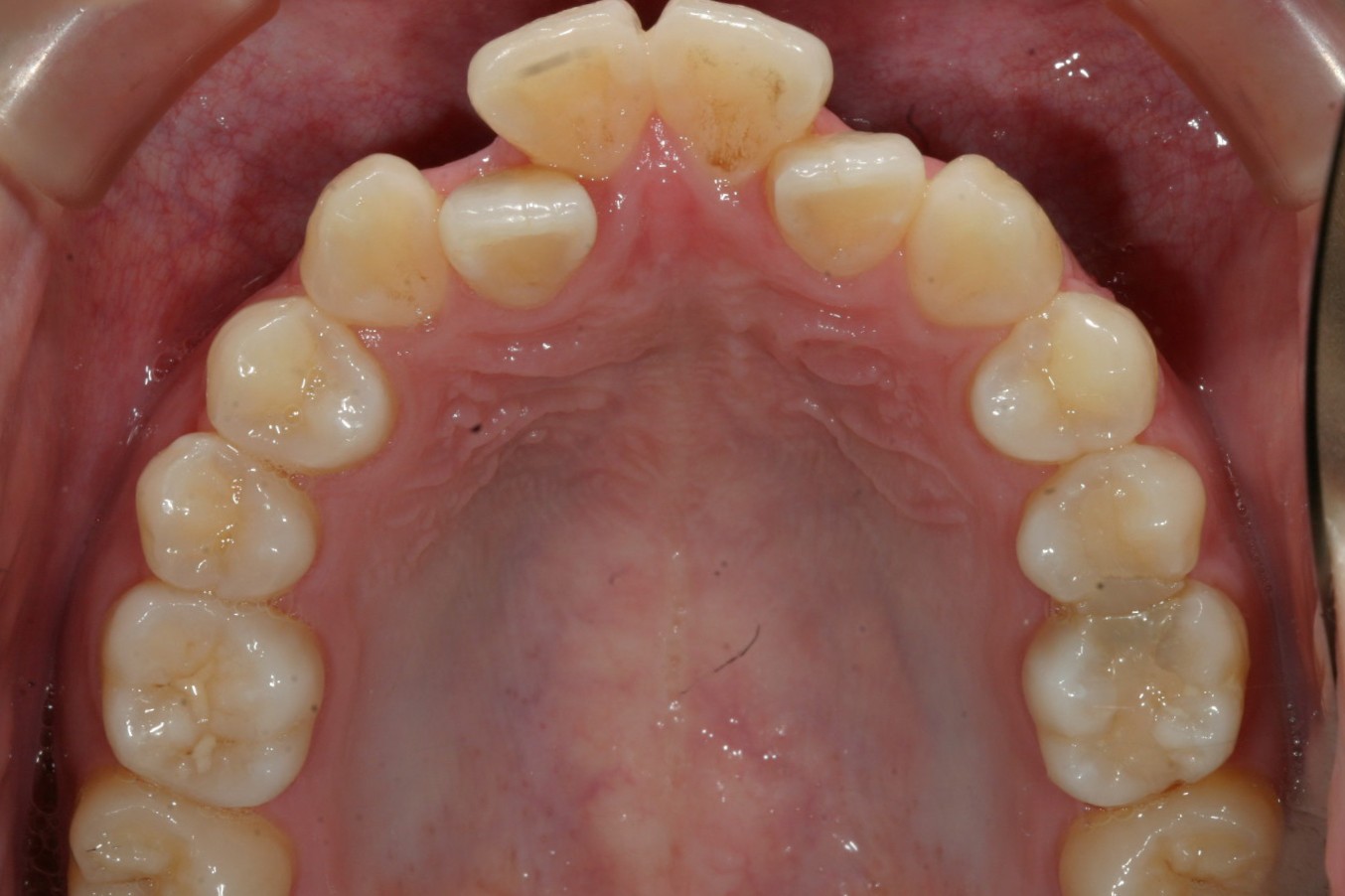
前歯がすごく飛び出てガタついています。

上顎の割に下顎の叢生は臼歯部に乱れがあります。

少し出っ歯感があります。

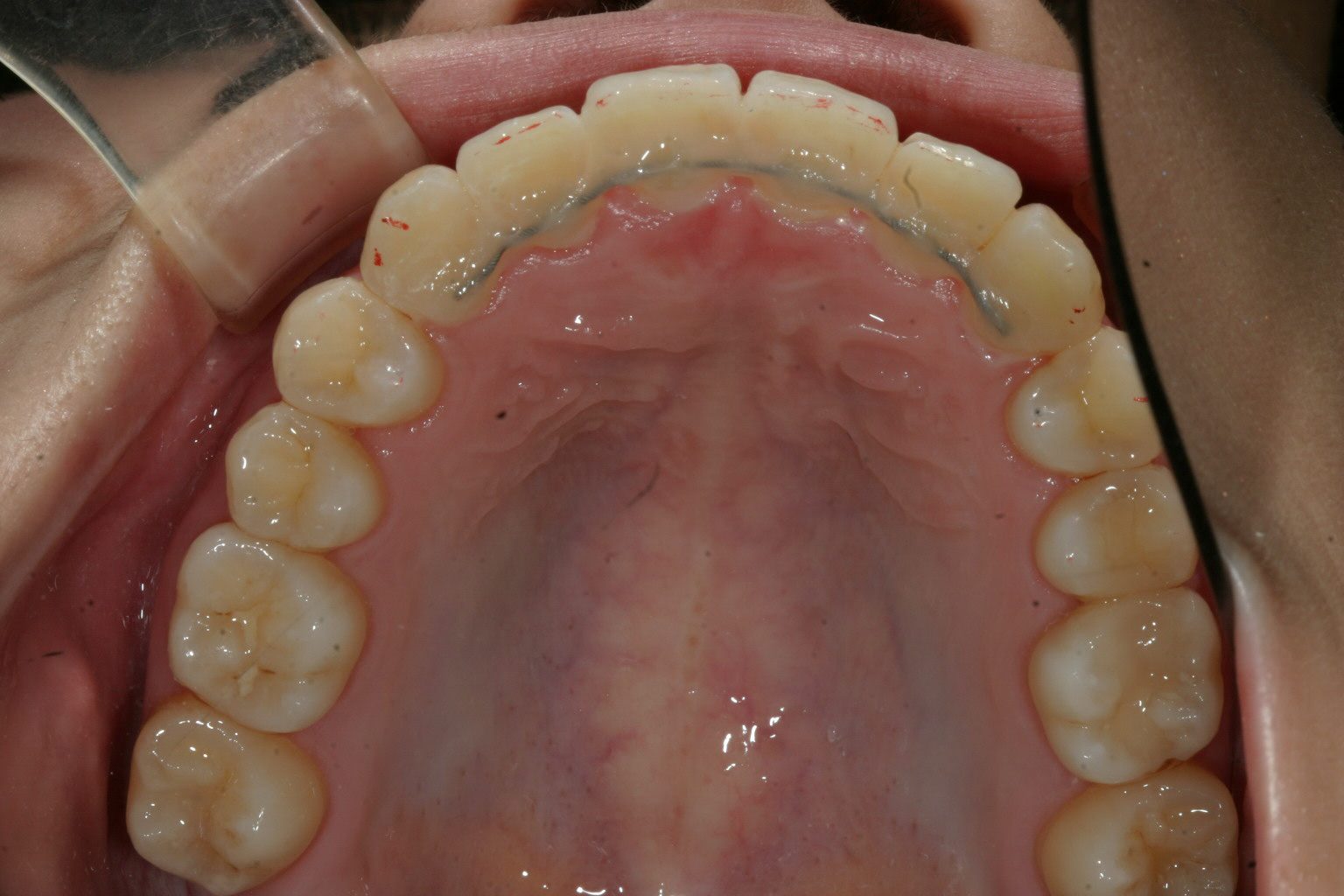
綺麗に改善出来ています。

下顎も前歯、臼歯綺麗になっています。

オーバージェット感も問題ないです。
当院からのコメント
今回のケースは極度な前歯の飛び出しによる叢生改善です。
やはりいつも言っているのですが叢生になる原因はたいていの場合アーチフォームの前歯部が狭い為に前歯が並ばないと言う事です。
この様な場合アーチフォームのU字型に改善するのとIPR(歯と歯の間を削る)による事で、でっぱ改善を行います。
それで終わる場合とかみ合わせが今一しっくり噛んでない場合にはアップダウンエラスティックにて緊密な咬合を作ります。
今回の様なケースは見た目は大変そうに見えるのですが治療してみるとそうでも有りませんよ!
この様なケースでお悩みの患者様が居られましたら一度相談にお越しください。

