

お悩み
前歯の翼状捻転を改善して欲しい。
年齢
32歳
性別
女性
治療に用いた装置
インビザライン
治療期間
1年5ヵ月
治療にかかった費用
治療詳細

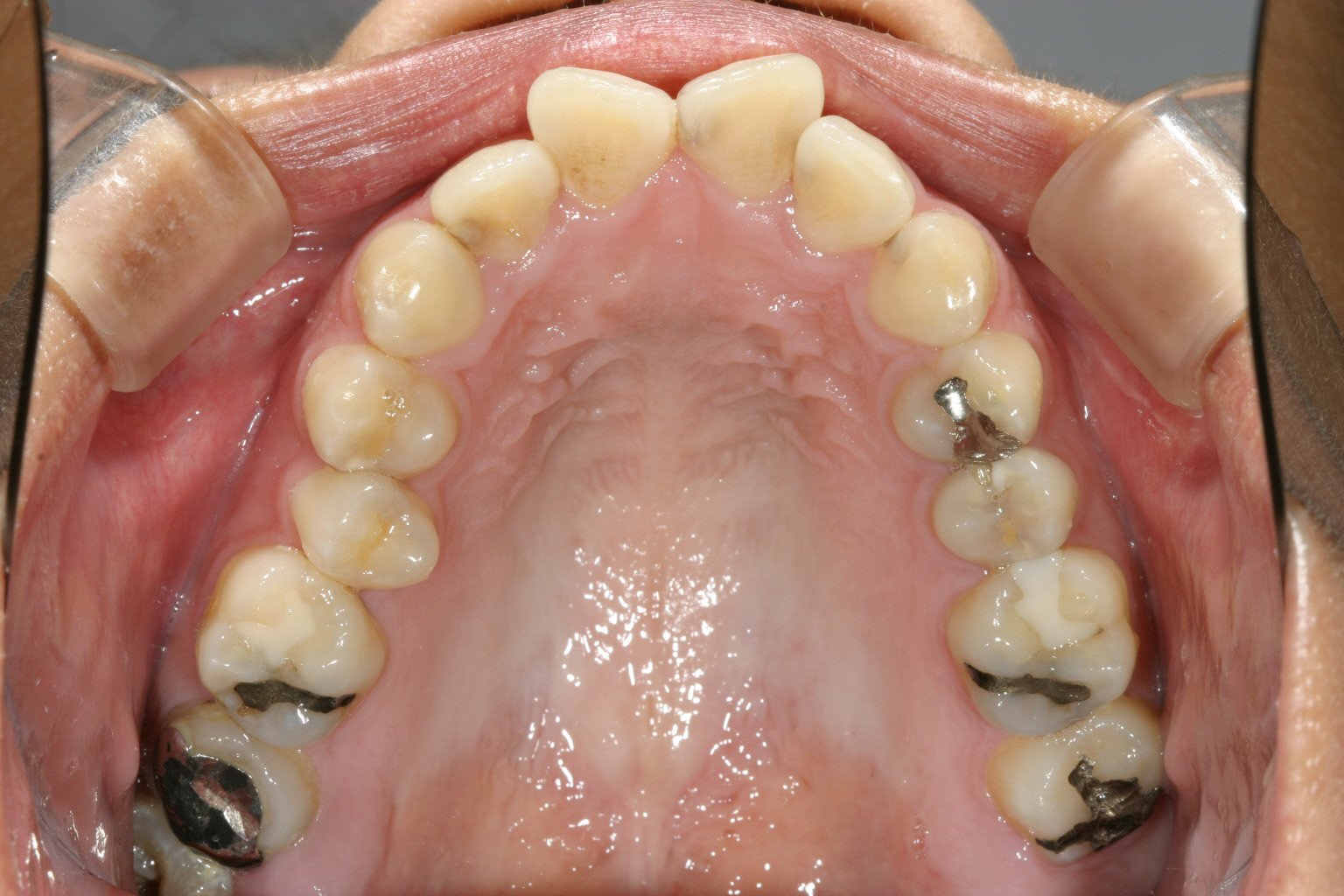
典型的な翼状捻転です。 アーチが狭いですね~

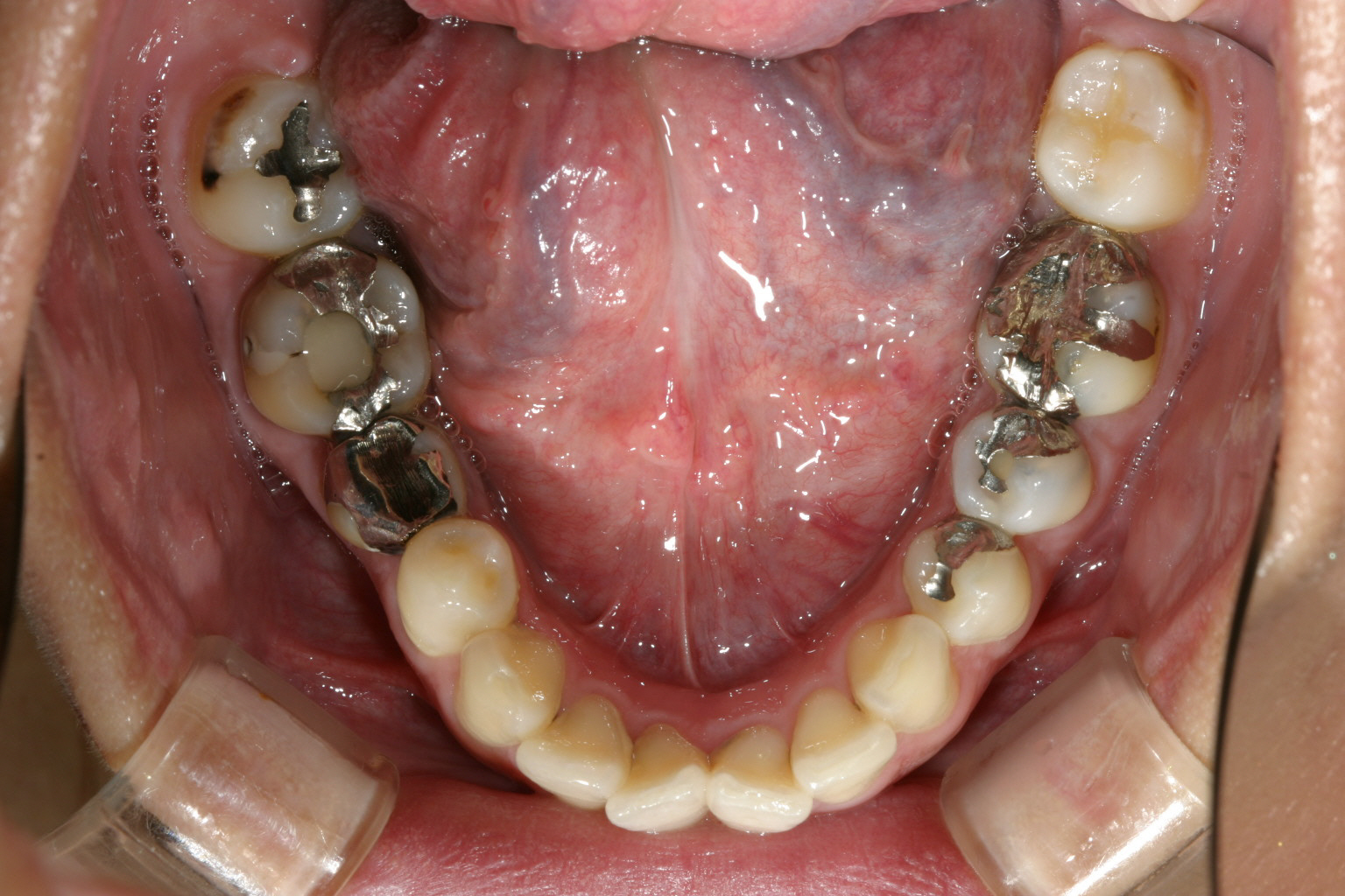
下顎もアーチが狭く前歯部に叢生が見えます。

少し出っ歯感があります。

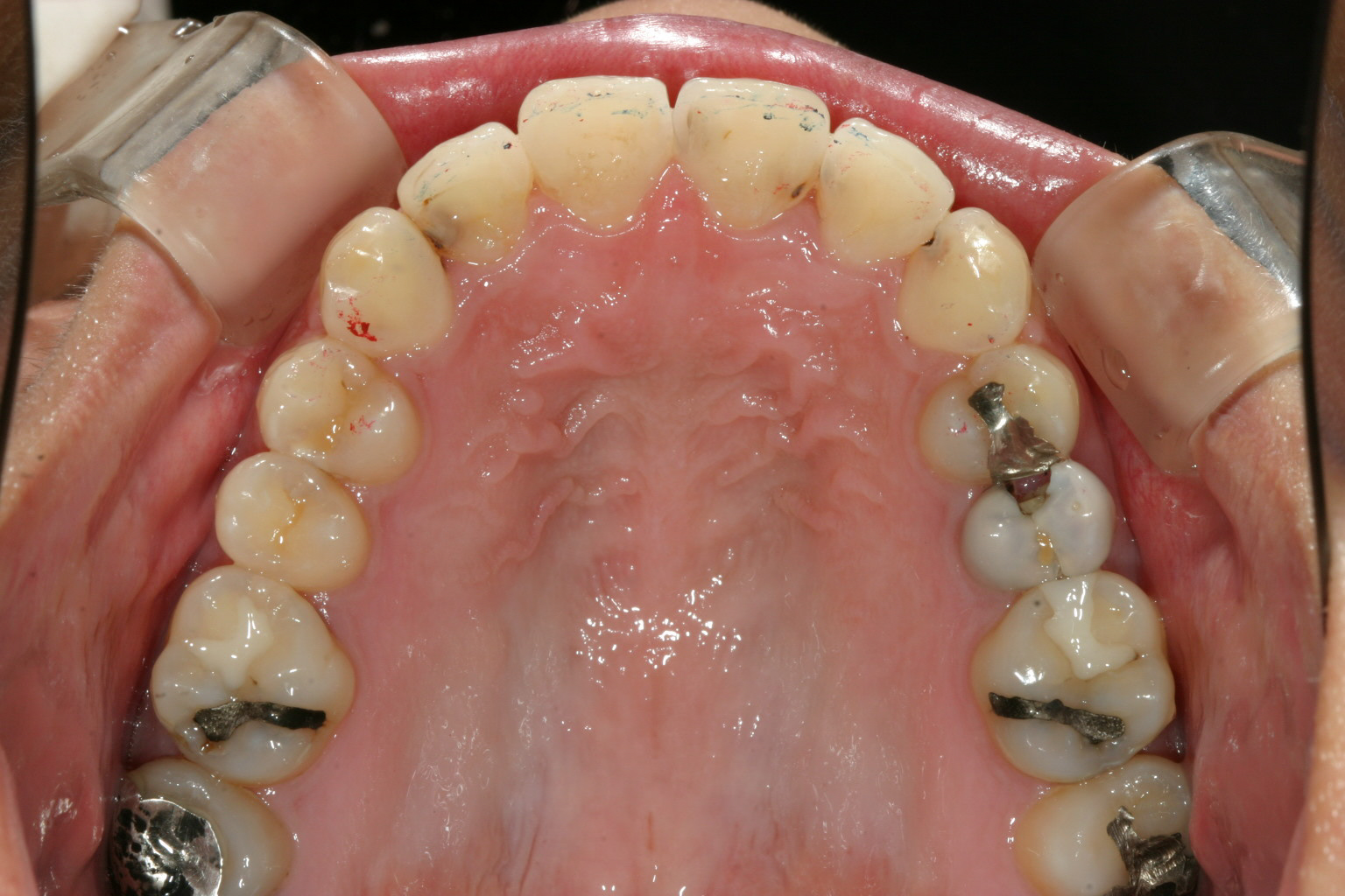
アーチを広げる事により綺麗に改善です。

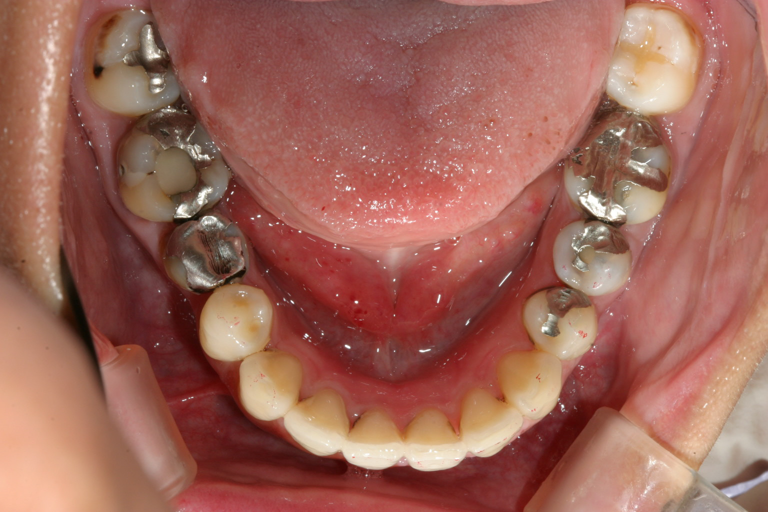
下顎もアーチ広げ改善しました。

側面観も抜群です。
当院からのコメント
今回のケースはアーチが狭いのが原因で起きる典型的な翼状捻転です。
こういうケースはさほど難しく無くアーチを拡大するのと全体的な前突を改善する為にIPR(歯と歯の隙間を削る)をする事により
抜歯する事無く出っ歯感を改善します。
前歯のど真ん中がこの様に捻じれていると対外的に第一印象も良く無く早い目に改善された方がいいのでは無いでしょうか?
現在なら加速矯正装置を使う事により半年ほどで終わります。
是非ともチャレンジしてみてください。

