

お悩み
糸切り歯の飛び出しが気になる。
年齢
17
性別
男性
治療に用いた装置
インビザライン
治療期間
11ヵ月
治療にかかった費用
治療詳細

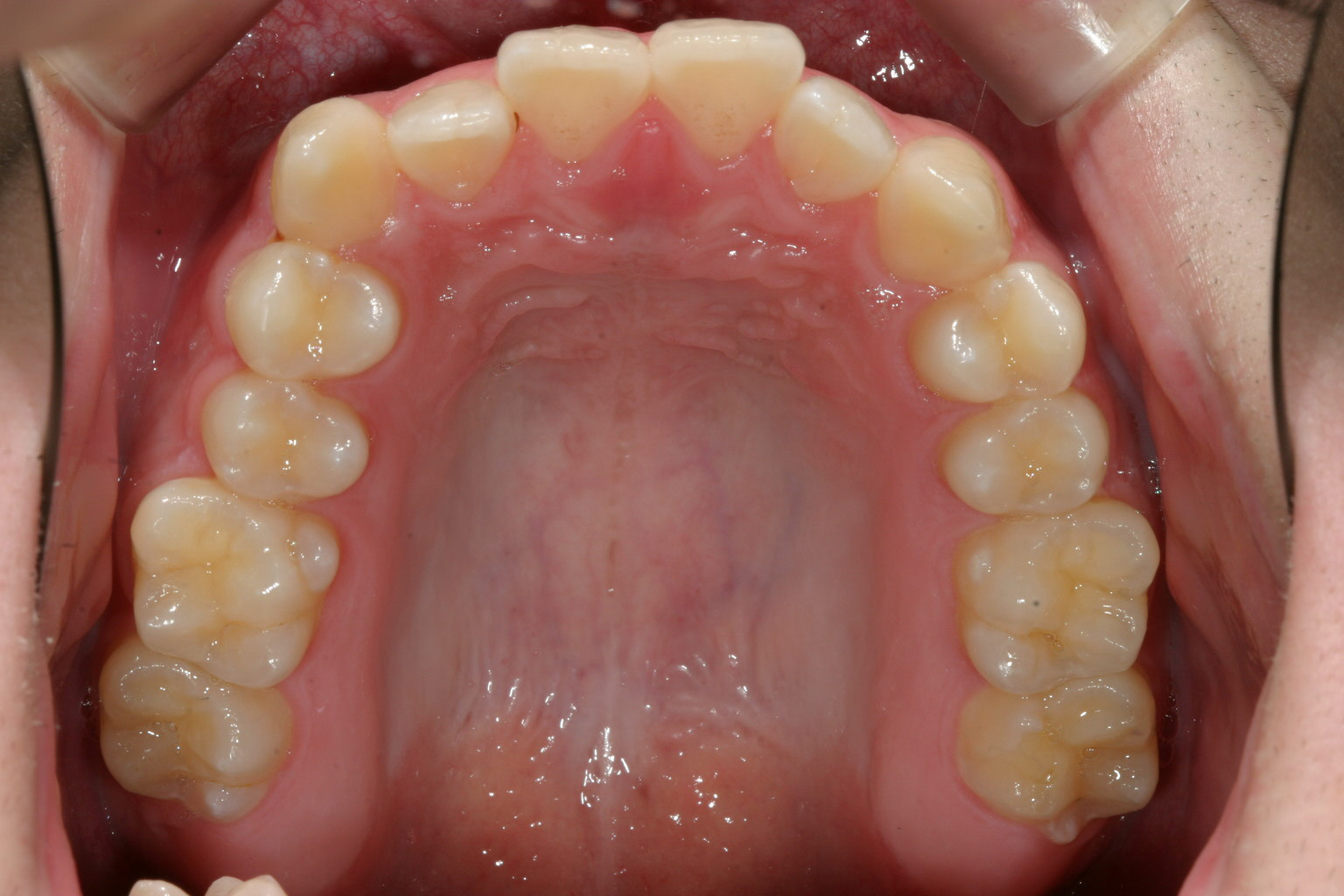
右側の犬歯の飛び出しが目立ちますね~

下顎はアーチが狭い為に叢生になっています。

前歯部に前突が目立ちます。

アーチを広げ綺麗に改善しました。

下顎も綺麗に改善してます。

上下顎前突も改善しています。
当院からのコメント
今回の症例はアーチが狭い為に起こる叢生と上下顎前突です。
アーチを拡大するのと少し隠し味であるIPR(歯と歯の隙間を削る)を加えるだけでこの様に改善します。
世の中の多くの叢生はこの様にして、たいていは改善出来ます。
何年も悩んで当院に来られる患者様も居られますが、そんなに悩まずとりあえず相談だけでも
お越し頂ければ的確なアドバイスさせて頂けます。

