

お悩み
上下前歯がガタガタなので綺麗にしたい。
年齢
28歳
性別
女性
治療に用いた装置
インビザライン
治療期間
1年10か月
治療にかかった費用
治療詳細

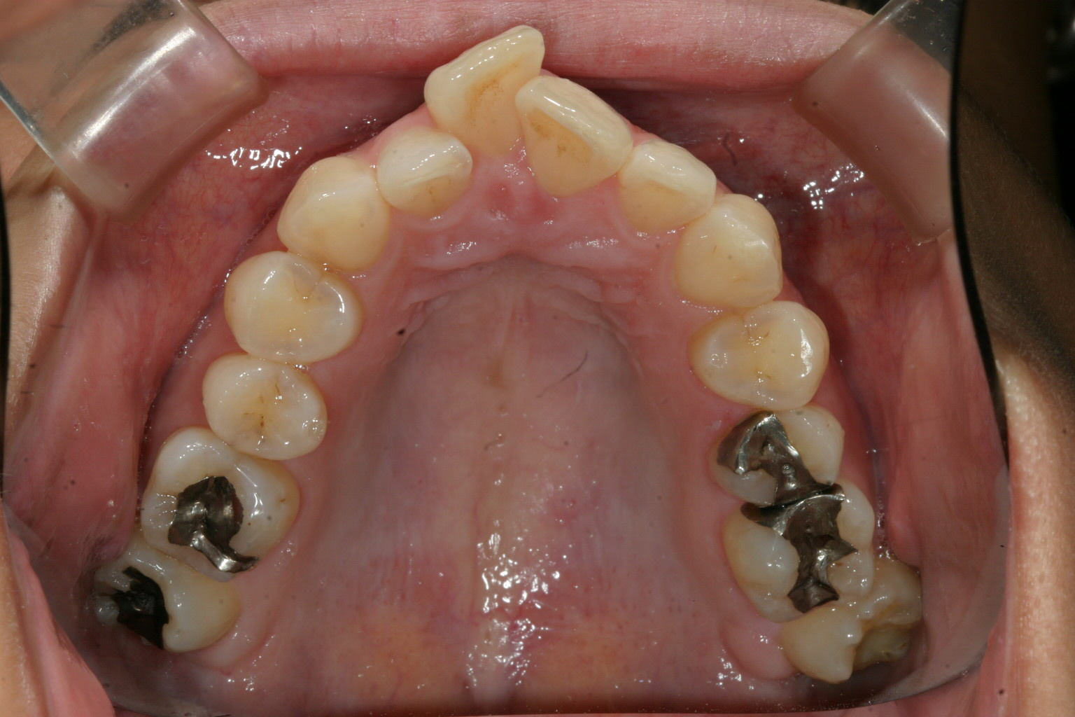
完全に歯列が尖っています。 両側犬歯の幅が狭い為にアーチがV字型になっています。

下顎もかなりの叢生です。

ちょっと出っ歯感が大きいですね~

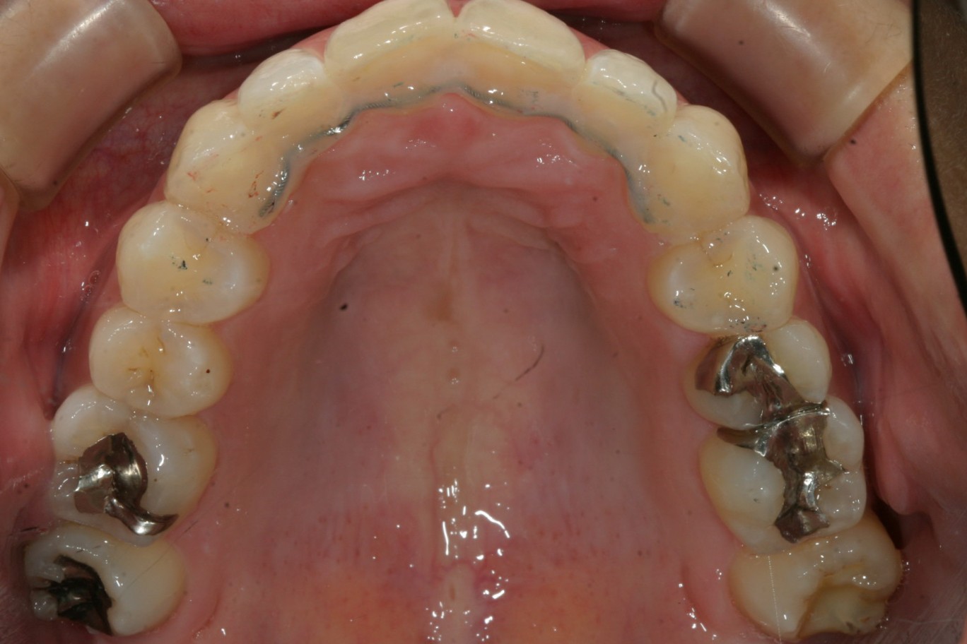
アーチを拡大する事によりこの様に綺麗に改善しました。 非抜歯ですよ。

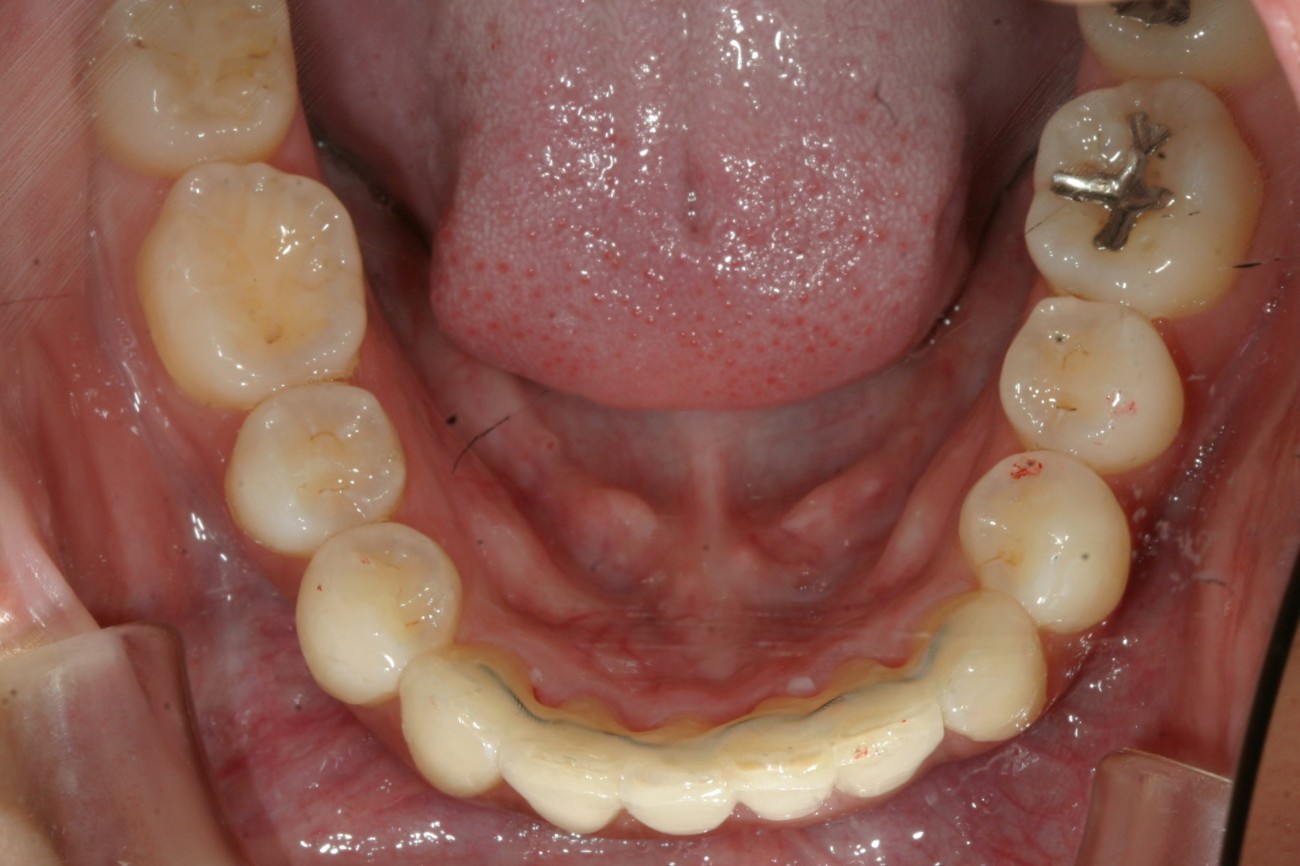
下顎もアーチを拡大する事でここまで綺麗に改善しました。

上の写真と比べてください。 抜歯もせずにここまで綺麗になりました。
当院からのコメント
今回の症例は非抜歯で過度な叢生と出っ歯を何処まで改善できるかと言う事で来院されました。
先ずはいつものようにアーチフォームの拡大を行い、それと出っ歯改善の為のIPR(歯と歯の隙間を削る)を行いました。
ご覧くださいインビザラインで非抜歯でもここまで出来ると言う症例となりました。
当院では出来る限り抜歯矯正は避けたいと言う考えで矯正を行っています。
そういう考えに同調して頂ける患者様は歓迎です。

