

お悩み
前歯が傾いているのとガタガタが気になる。
年齢
25歳
性別
女性
治療に用いた装置
インビザライン
治療期間
1年2ヵ月
治療にかかった費用
治療詳細

左の前歯が大きく捻転し飛び出ています。

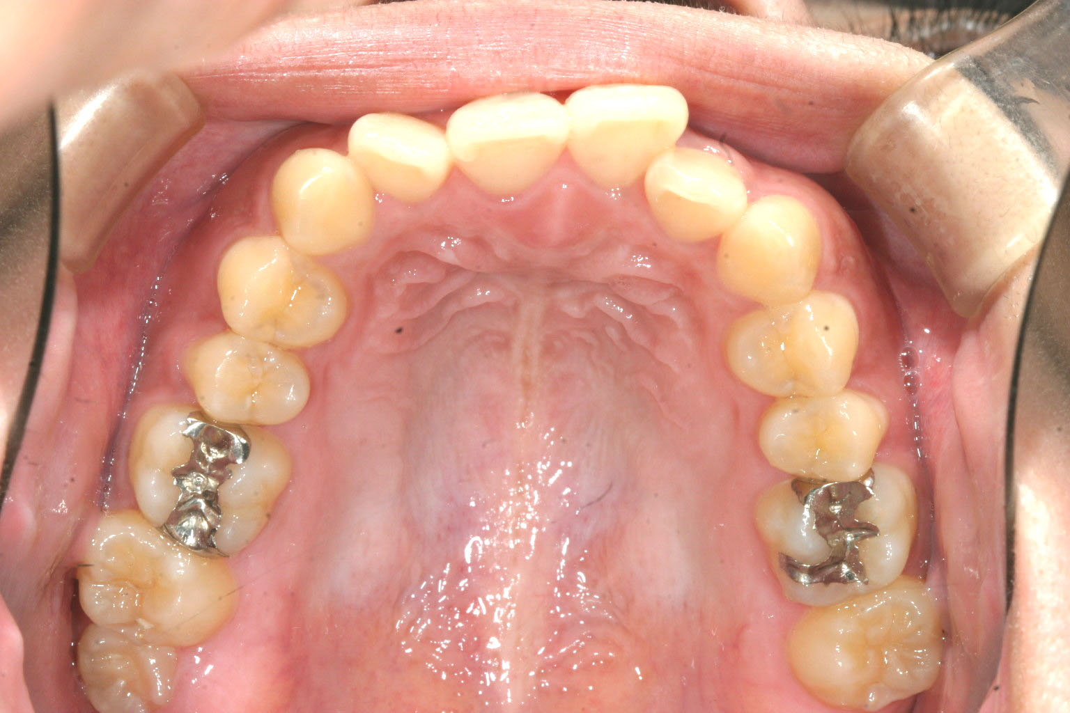
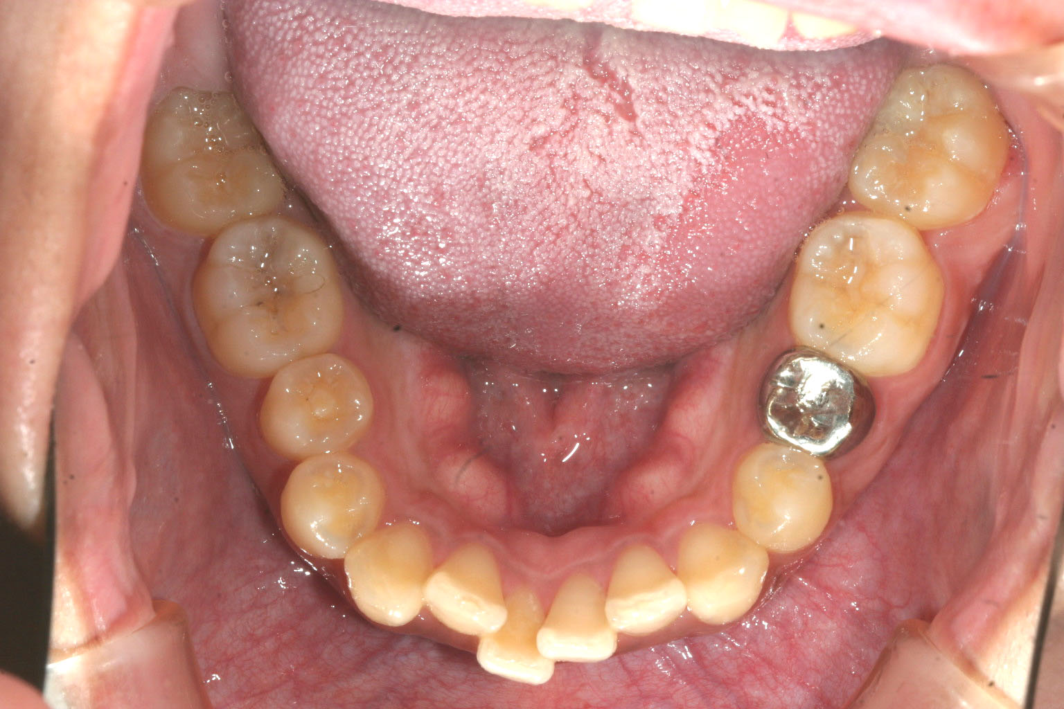
下顎のアーチが狭く前歯部に叢生が目立ちます。

上下とも前突感が気になります。

アーチを少し拡大し綺麗に並べてみました。

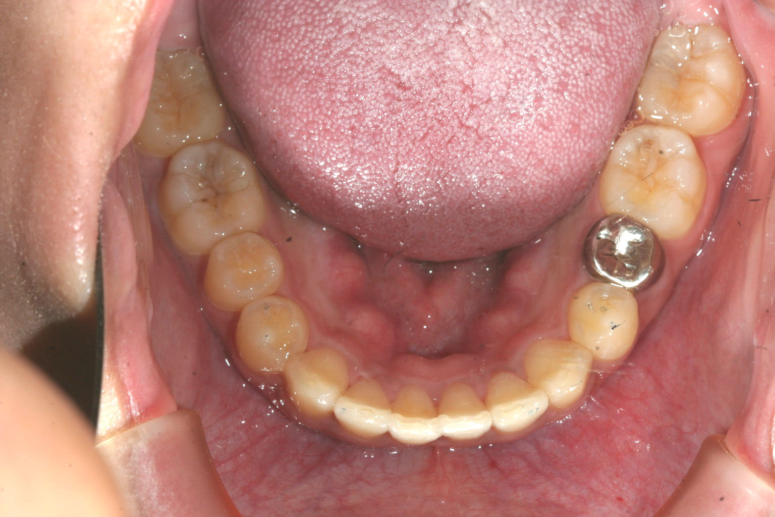
下顎も綺麗に改善しました。

上下顎前突もすっきりしています。
当院からのコメント
今回のケースは上下顎の前突と前歯のねじれ改善が大きな目的です。
全体的にアーチを拡大する事により叢生が取れ前突も改善し、更なる前突改善の為IPR(歯と歯の隙間を削る)を加えました。
前歯のねじれに関しましてはチューイーをしっかり噛む事により自動的に改善するような
設計にしてありました。
今回の患者様はこちらの指示に良く従って頂いたお陰で難なく短期間でこの様に綺麗な症例に仕上がりました。

