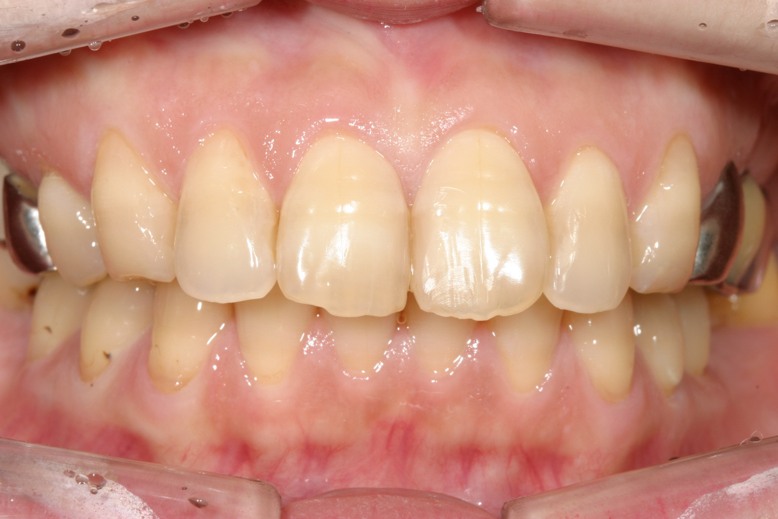
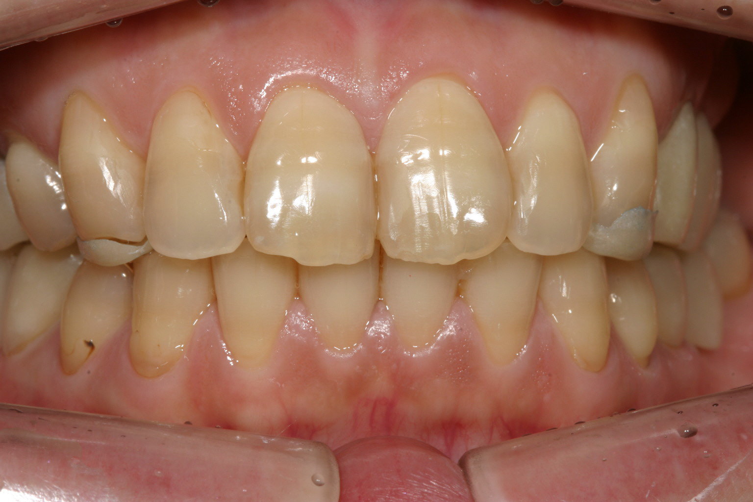
カテゴリー: 出っ歯(上顎前突)の症例(非抜歯)
前歯 出っ歯 すきっ歯 非抜歯 自家製ジグ 顎関節症 インビザライン


お悩み
歯が前に出て真ん中がすいているのが気になる。
年齢
26歳
性別
女性
治療に用いた装置
インビザライン+自家製バイトアップジグ
治療期間
1年2ヵ月
治療にかかった費用
下顎 アーチ V字変形 歯並びでっぱ ガタガタ 出っ歯 インビザライン


お悩み
歯並びがガタガタ、下顎アーチが変形、出っ歯も気になる。
年齢
25歳
性別
男性
治療に用いた装置
インビザライン+ワイヤー
治療期間
1年10か月
治療にかかった費用
前歯 出っ歯 でっ歯 上顎前突矯正 インビザライン


お悩み
人から出っ歯出っ歯って言われてからかわれる。
年齢
23歳
性別
女性
治療に用いた装置
インビザライン
治療期間
2年4か月
治療にかかった費用
66万円









