

お悩み
前歯のガタつきを改善したい。
年齢
25歳
性別
女性
治療に用いた装置
インビザライン
治療期間
1年5ヵ月
治療にかかった費用
治療詳細

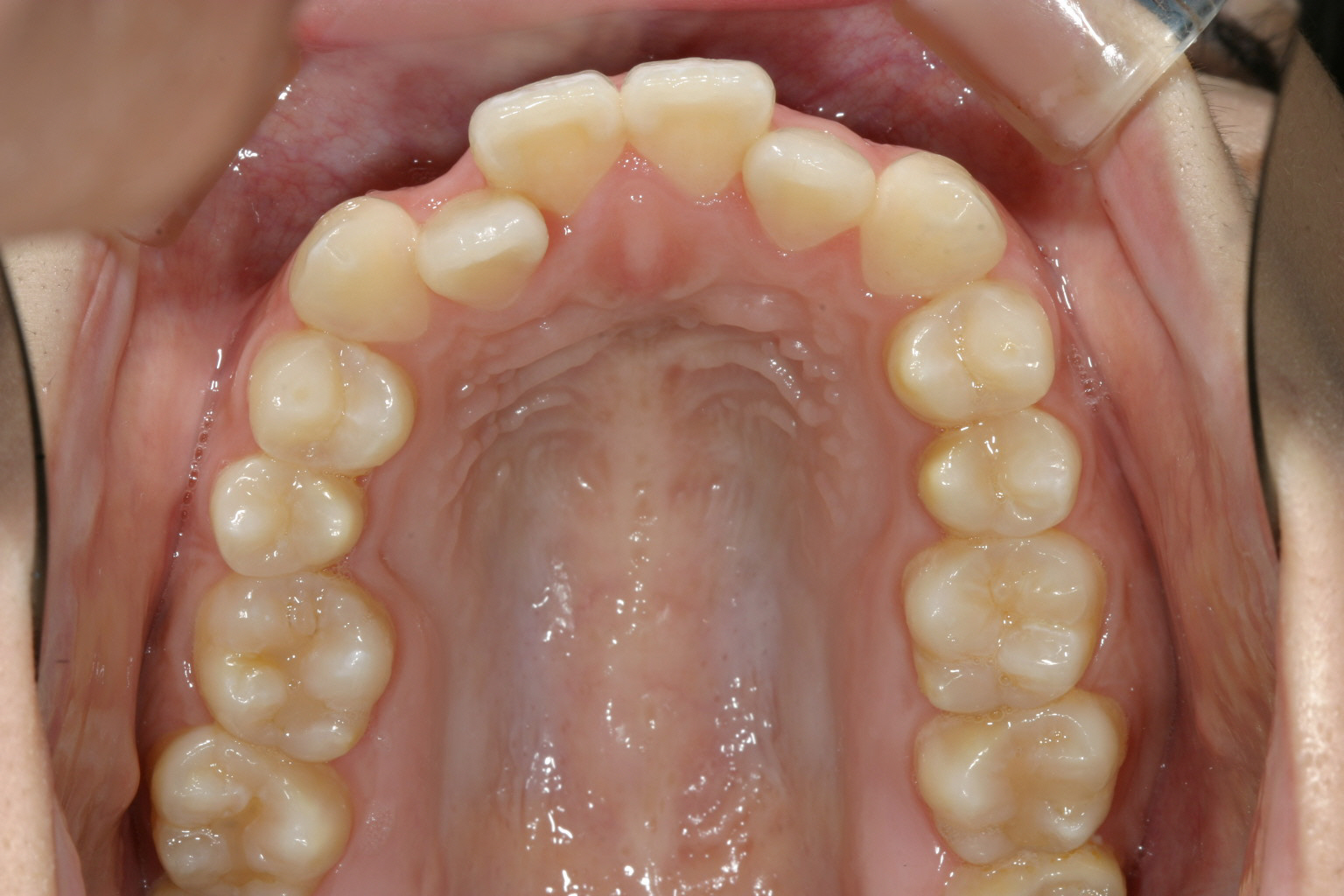
犬歯間が狭い為に前歯にガタつきが見られます。

臼歯部が内傾しアーチが狭く前歯がガタついています。

側面観にも叢生が見られます。

綺麗に叢生が取れています。

下顎の内傾も取れ叢生も綺麗になっています。

抜群の側面観です。
当院からのコメント
今回のケースはポプュラーな叢生で犬歯間が狭い為に上顎の2番目の歯が内方に入るケースです。
この手の叢生は街でよく見かけるケースで犬歯間を広げてあげればインビザラインで簡単に治るケースで出っ歯にならない様に少しIPR(歯と歯の隙間を削る)をしてあげると言うのがコツです。
このままだと色物を食べた時に良く判るのですがどうしても凹んだ歯の表面に物が溜まりやすく虫歯、歯周病の原因になります。
矯正治療も簡単ですから出来るだけ初期の段階に綺麗な歯並びに改善される事をお薦めします。

