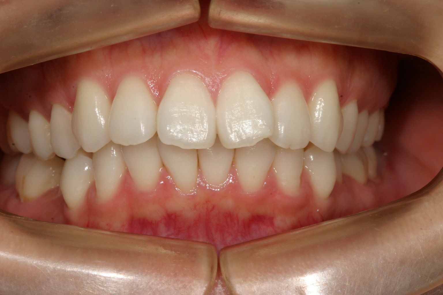
カテゴリー: 出っ歯(上顎前突)の症例 抜歯
出っ歯 小臼歯抜歯 でっぱ インビザライン アップダウンエラスティック バイトランプ


お悩み
出っ歯が気になり、口も閉じにくい。
年齢
35歳
性別
女性
治療に用いた装置
インビザライン+加速矯正装置PBM
治療期間
1年8か月
治療にかかった費用
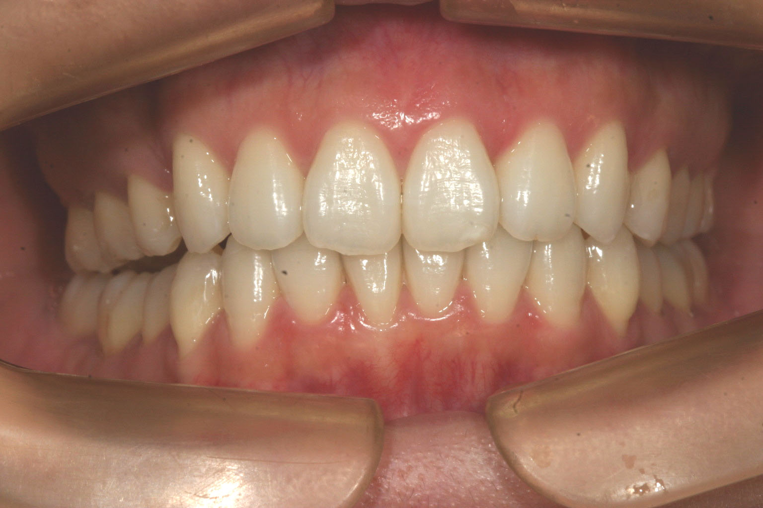
前歯 ガチャガチャ 小臼歯抜歯 叢生 オーバージェット 出っ歯


お悩み
犬歯が飛び出てガタガタも激しく見栄えが悪い。
年齢
28歳
性別
女性
治療に用いた装置
インビザライン+加速矯正装置PBM+自家製バイトアップジグ
治療期間
1年4ヵ月
治療にかかった費用
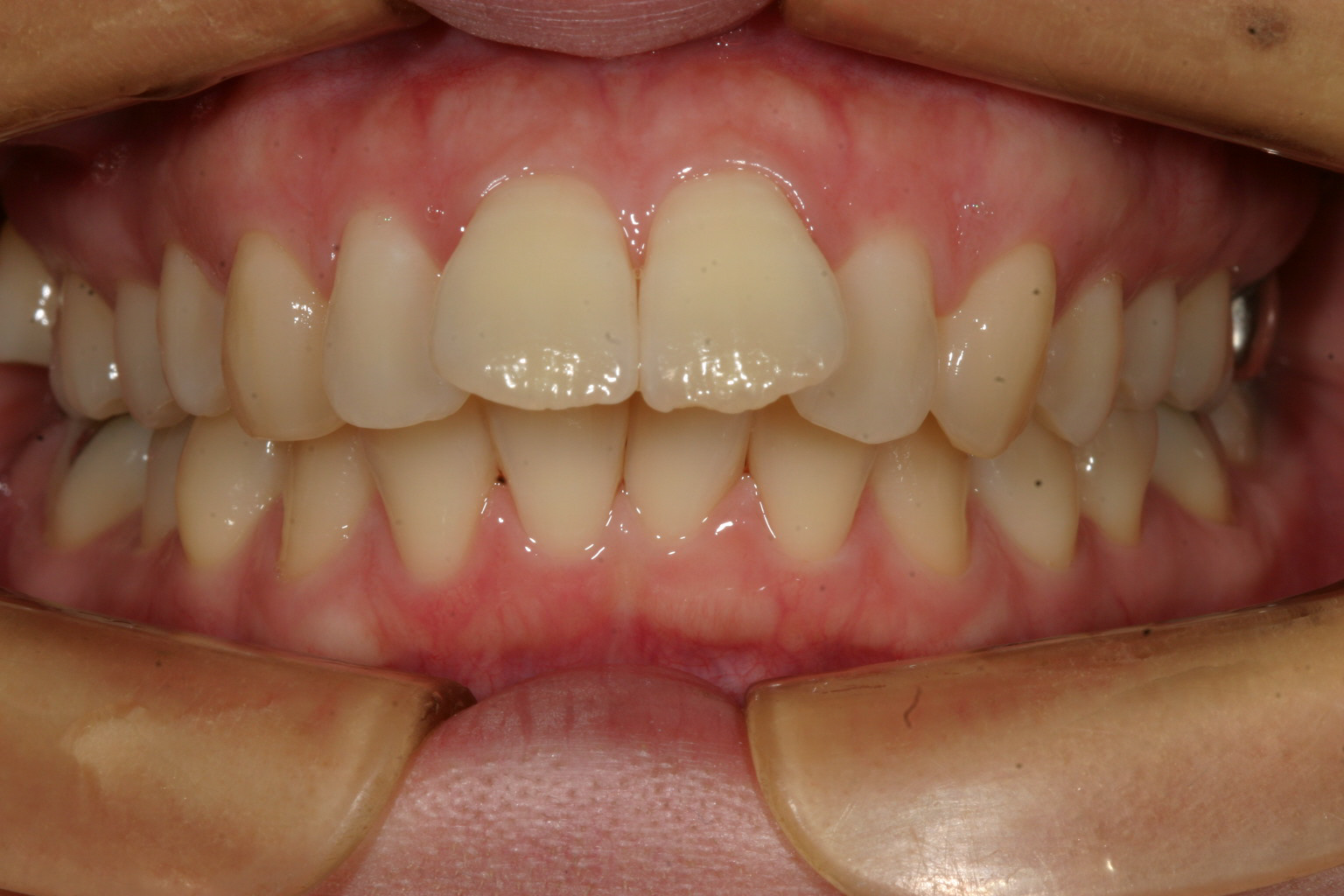
でっぱ 小臼歯抜歯 インビザライン 加速矯正装置 時間短縮 海外留学 大学在学中


お悩み
でっぱがすごくて下唇に跡形が付いて痛い。
年齢
28歳
性別
女性
治療に用いた装置
インビザライン+アップダウンエラスティック+加速矯正装置
治療期間
1年2ヵ月
治療にかかった費用
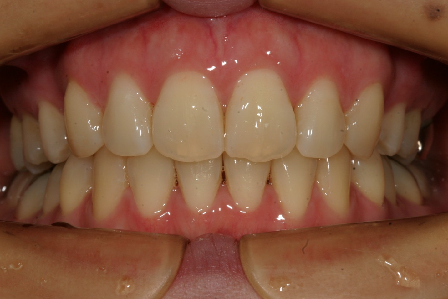
前歯 ガタガタ でっぱ 抜歯矯正 インビザライン 加速矯正装置 時間短縮


お悩み
前歯のガタガタが気になるのと出っ歯を改善したい。
年齢
18歳
性別
女性
治療に用いた装置
インビザライン+加速矯正装置PBM
治療期間
1年3か月
治療にかかった費用
前歯 出っ歯 小臼歯 抜歯 加速矯正装置 時短 インビザライン


お悩み
出っ歯を何とかしてほしい。
年齢
31歳
性別
女性
治療に用いた装置
インビザライン+加速矯正装置PBM
治療期間
1年6ヵ月
治療にかかった費用
出っ歯 口ゴボ 開咬 ガタガタ ガチャ 抜歯 インビザライン


お悩み
前歯が出て口が塞がらず上手く噛めない。
年齢
18歳
性別
女性
治療に用いた装置
インビザライン+加速矯正装置
治療期間
1年7か月
治療にかかった費用
前歯 口ゴボ 上下顎前突 出っ歯 小臼歯 抜歯 インビザライン


お悩み
上下の前歯が出て口元もゴボっと出た感じがすごく気になる。
年齢
30歳
性別
女性
治療に用いた装置
インビザライン+
治療期間
2年3ヵ月
治療にかかった費用
前歯 出っ歯 改善 口ゴボ 上顎1歯抜歯 捻転(ねじれ)転移 インビザライン


お悩み
出っ歯と前歯のねじれが気になる。
年齢
34歳
性別
女性
治療に用いた装置
インビザライン
治療期間
1年8か月
治療にかかった費用





