

お悩み
でっぱが気になる。
年齢
25歳
性別
女性
治療に用いた装置
インビザライン
治療期間
1年8か月
治療にかかった費用
治療詳細

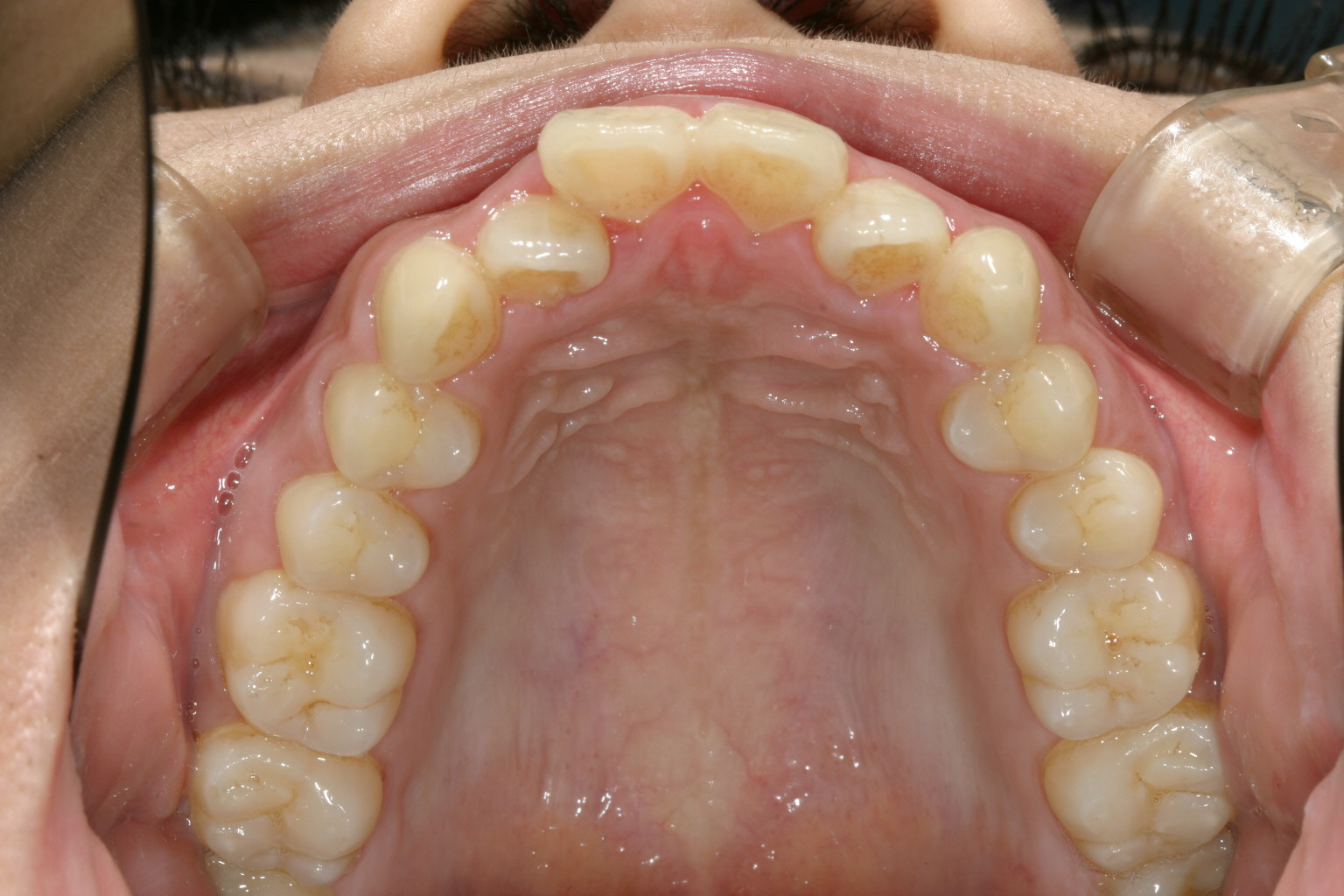
アーチがV字型で前歯が飛び出しています。

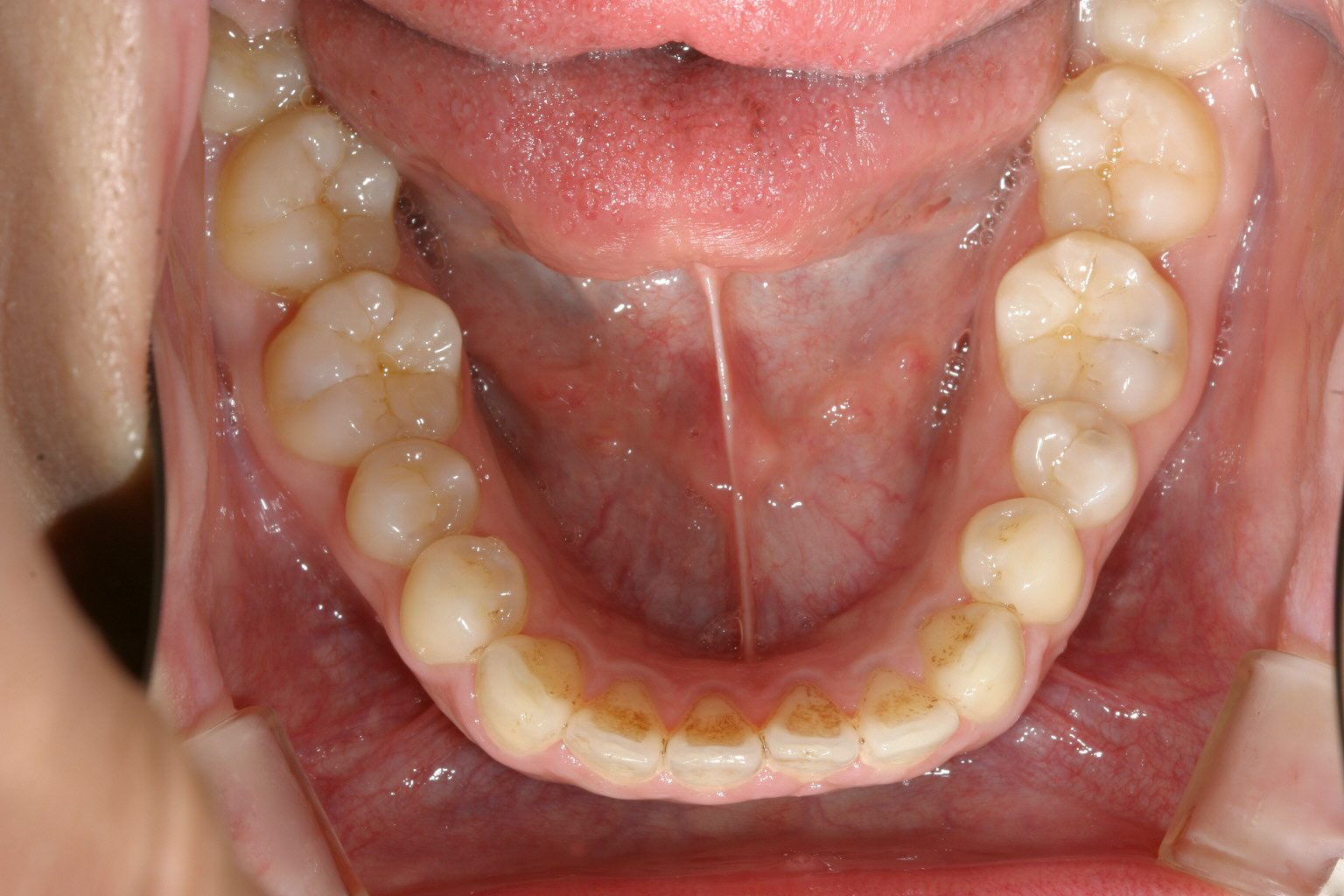
下顎はさほど問題無いみたいです。

気になさってます様に横からのでっぱ観はすごいです。

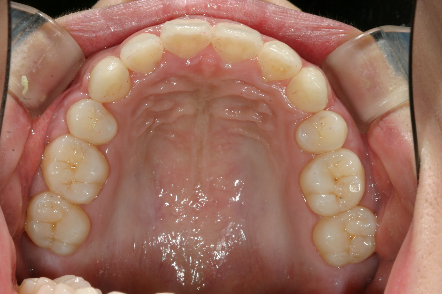
上顎は左右の小臼歯抜歯して出た前歯を引っ込めました。

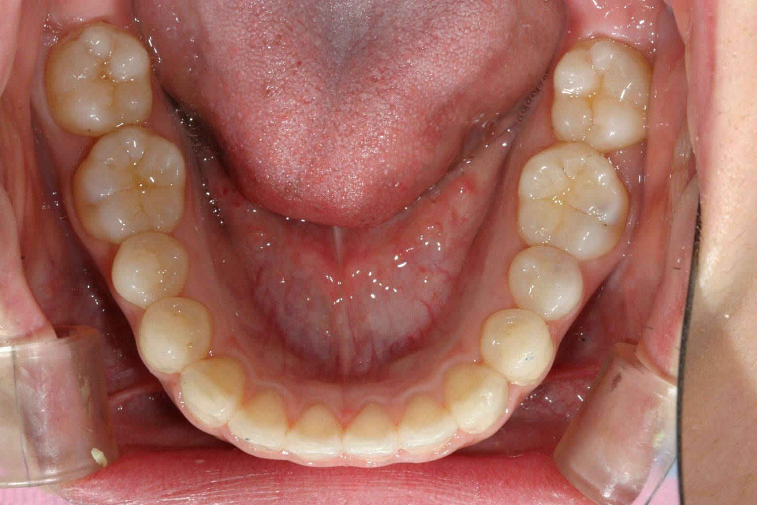
下顎はアーチを広げました。

上の写真と比較してください。 かなり引っ込みました。
当院からのコメント
今回のケースは上顎左右小臼歯抜歯による矯正の紹介です。
私個人と致しましては出来る限り抜歯はしたくないのですが、これだけ出っ張ってますと抜かずにはいられないと言うか、抜くしか方法が無いですね~
V字型のアーチをU字に改善するのと小臼歯抜歯する事でインビザラインで最大限に引き込めました。
かなり綺麗に仕上がったと思います。

