

お悩み
前歯が出て口が塞がらず上手く噛めない。
年齢
18歳
性別
女性
治療に用いた装置
インビザライン+加速矯正装置
治療期間
1年7か月
治療にかかった費用
治療詳細

かなり前歯が出てますね~ 口元もゴボっと出っ張ってます。

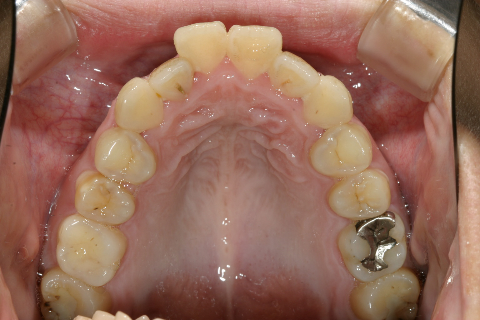
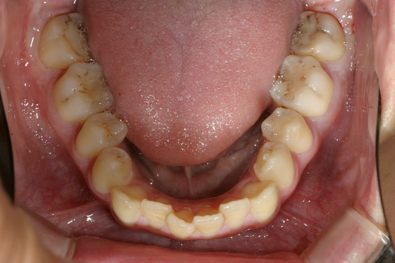
下顎もアーチが狭い為に前歯にガタつきが見受けられます。

横から見ますとオーバージェットも大きいです。

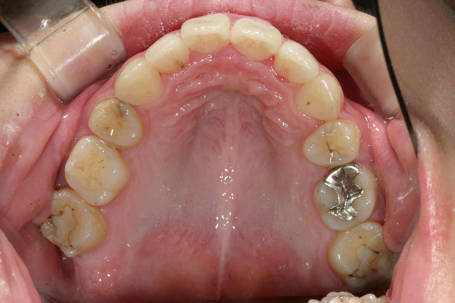
両サイドの小臼歯抜歯して前歯の出っ張りを中に入れました。

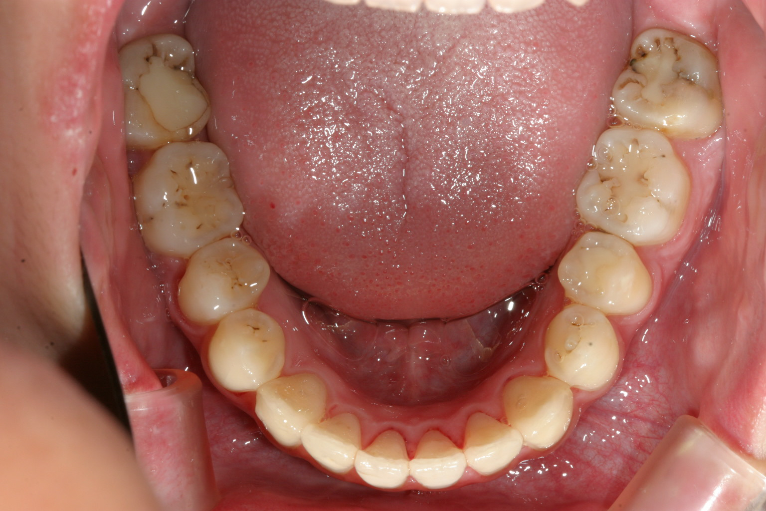
下顎は非抜歯です。アーチをU字に変えて綺麗に並んでます。

上下の出具合も抜群です。 加速矯正装置使用ですから期間も短縮されました。
当院からのコメント
こちらのケースは上顎小臼歯抜歯し加速矯正装置使用で時短で矯正しました症例です。
当初かなりの出っ歯で口も閉まらず口元がゴボっと出てるのがすごく気にされていました。
わずか1年7カ月でこんなに綺麗になるとは患者様も驚いておられました。
このレベルの不正咬合の患者様は世の中にはたくさん居られます、少しでもそのような患者様の悩みの助けになればと日々奮闘しています。
よく似た歯並びでお悩みの患者様が居られましたら一度相談にお越しください。

