

お悩み
でっぱがすごくて下唇に跡形が付いて痛い。
年齢
28歳
性別
女性
治療に用いた装置
インビザライン+アップダウンエラスティック+加速矯正装置
治療期間
1年2ヵ月
治療にかかった費用
治療詳細

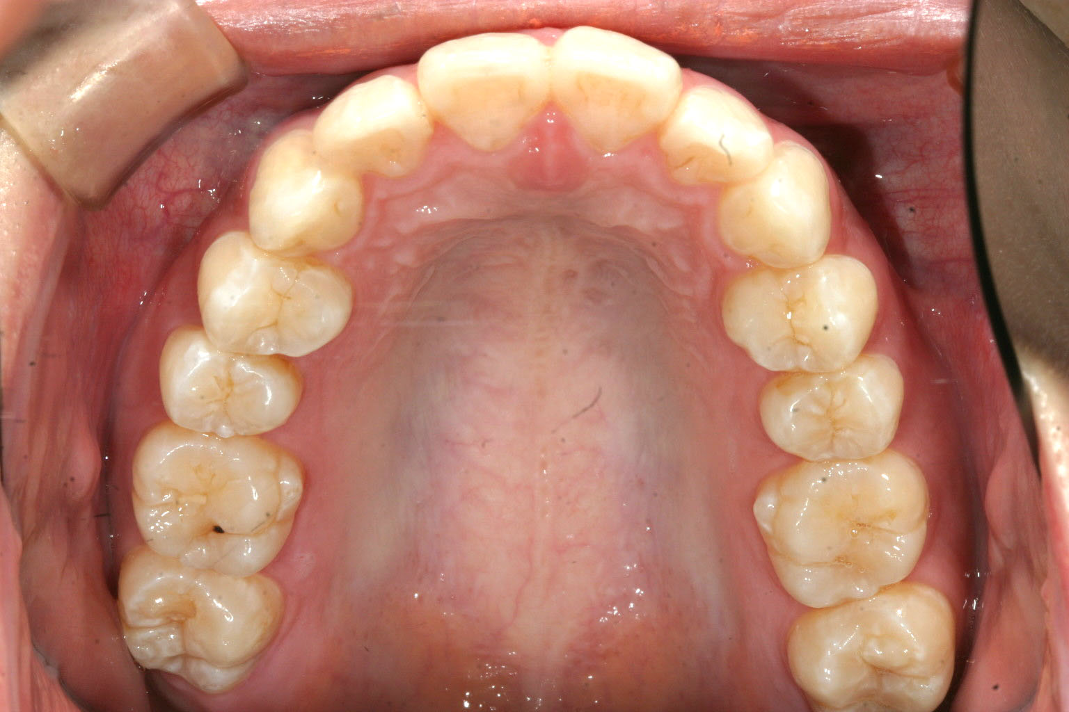
歯列だけ見れば綺麗なんですが、、、

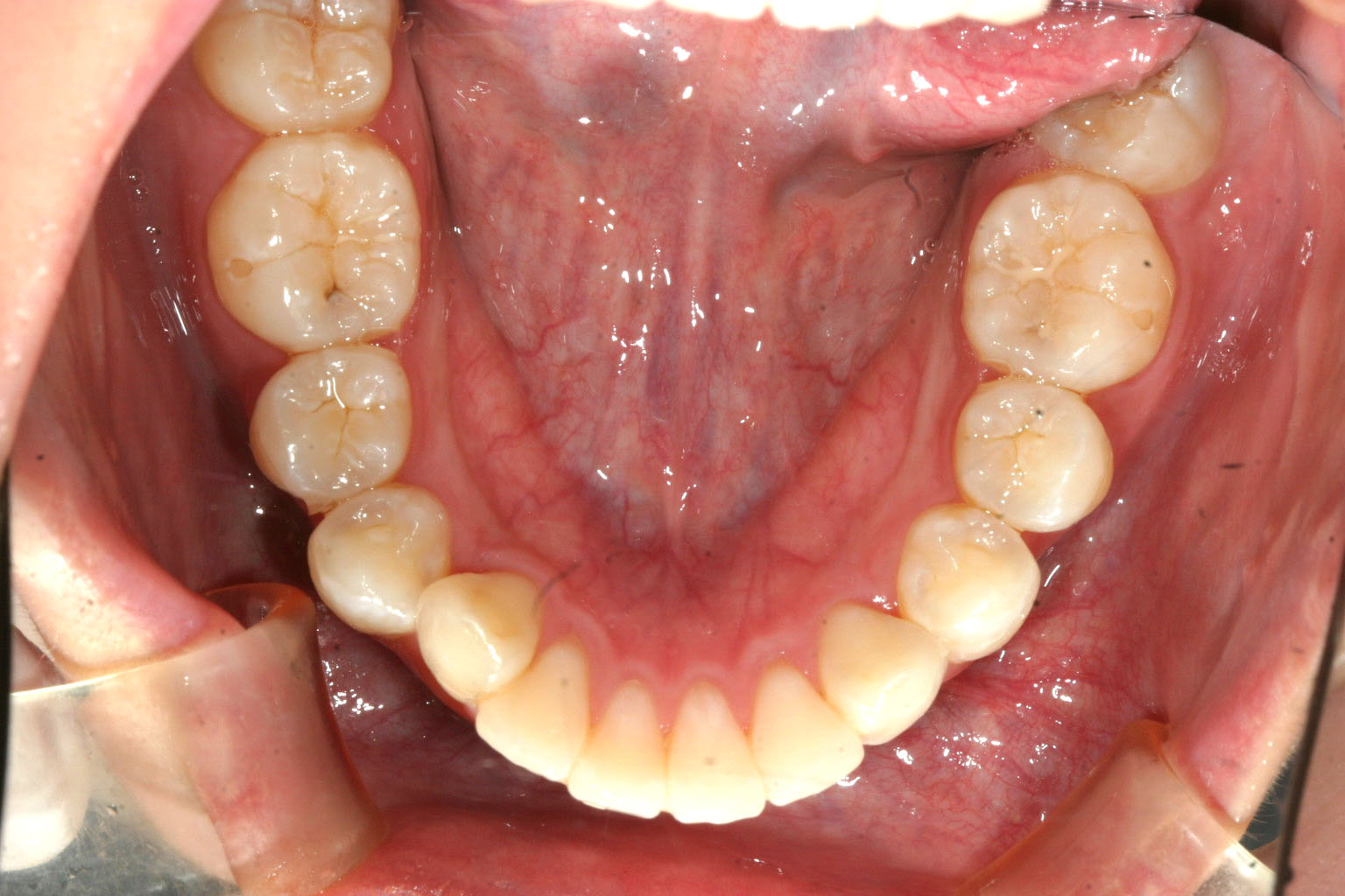
下顎もこうして歯列だけ見るとほぼ綺麗な状態です。

かなりの出っ歯です。

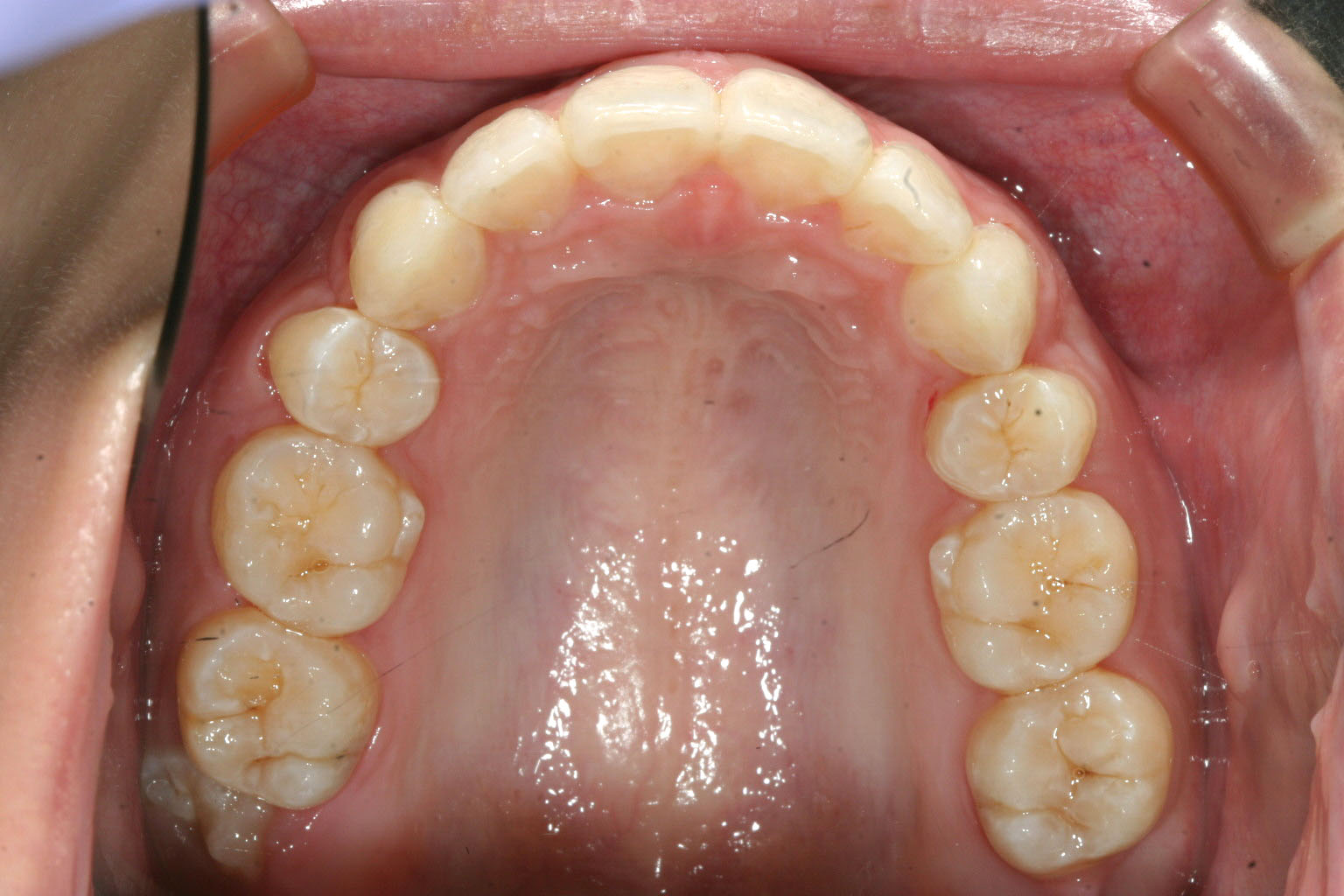
左右小臼歯の抜歯を行い矯正行いました。

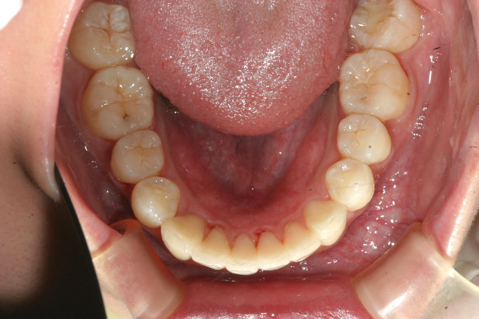
下顎はそのまま歯列を整えました。

上の写真と見比べてください、かなり引っ込みました。
当院からのコメント
今回の症例は過度の上顎前突の上顎小臼歯抜歯による矯正症例です。
こちらの症例は上顎が下顎に比べて全体的に前方に移動していた為、やむなく上顎の左右小臼歯抜歯を行いました。
一般的に小臼歯抜歯を行う矯正治療には3年前後の治療期間を要するとされていますが、今回は加速矯正装置を使用する事で半分以下のの治療期間で終了する事が出来ました。
インビザラインの様なマウスピース矯正装置と加速矯正装置は相性が良く期間を大幅に短縮する事が出来ます。
大学卒業までに終了したいとか、海外留学を控えているとか等で期間が限られている患者様には最適な装置です。
当医院ではどの様な症例にでも70万円(税別)と言う格安な価格で治療を行っています。
歯並びでお悩みの方が居られましたら是非一度相談だけでも結構でのでお越しください。

