

お悩み
前歯のガタガタが気になるのと出っ歯を改善したい。
年齢
18歳
性別
女性
治療に用いた装置
インビザライン+加速矯正装置PBM
治療期間
1年3か月
治療にかかった費用
治療詳細

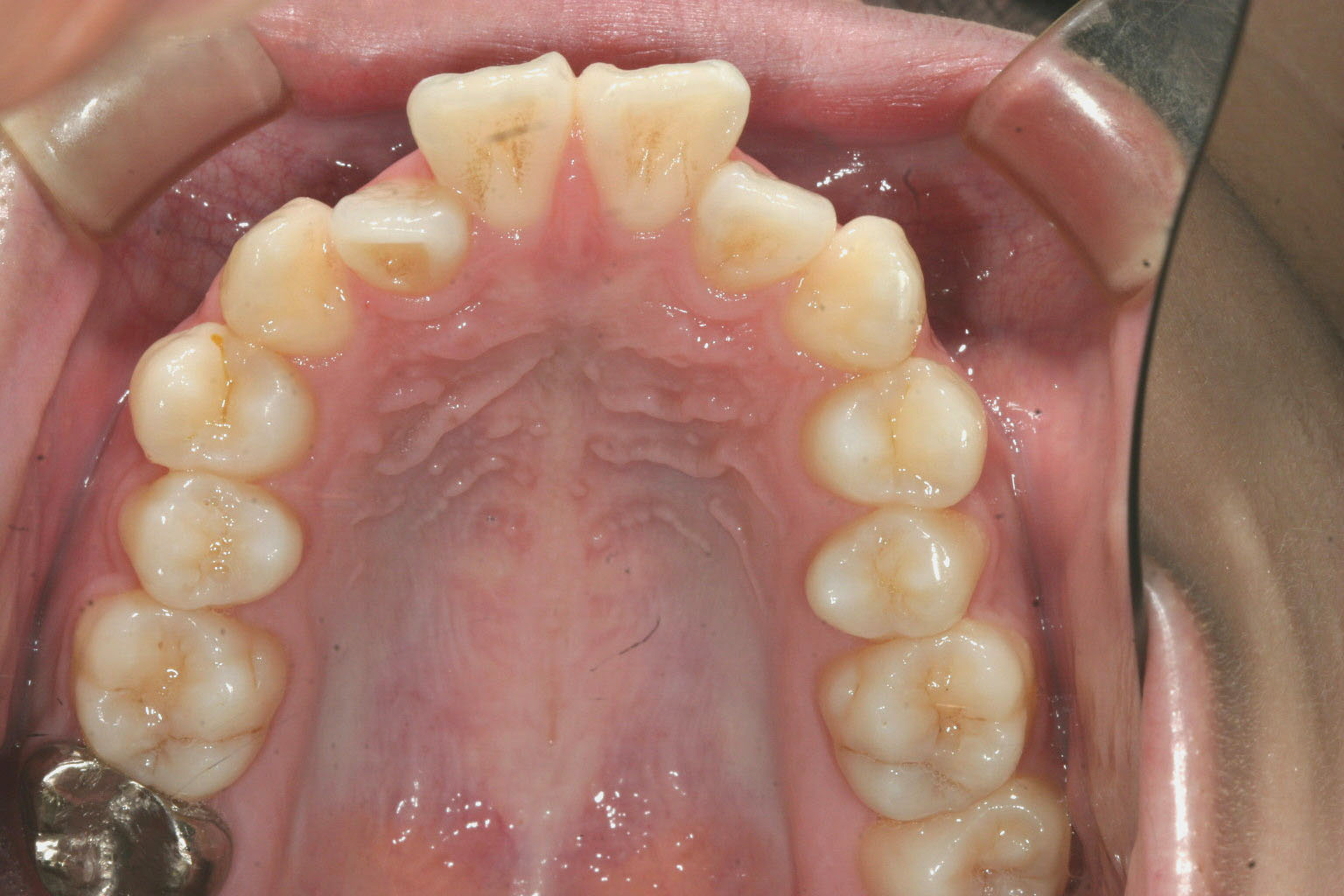
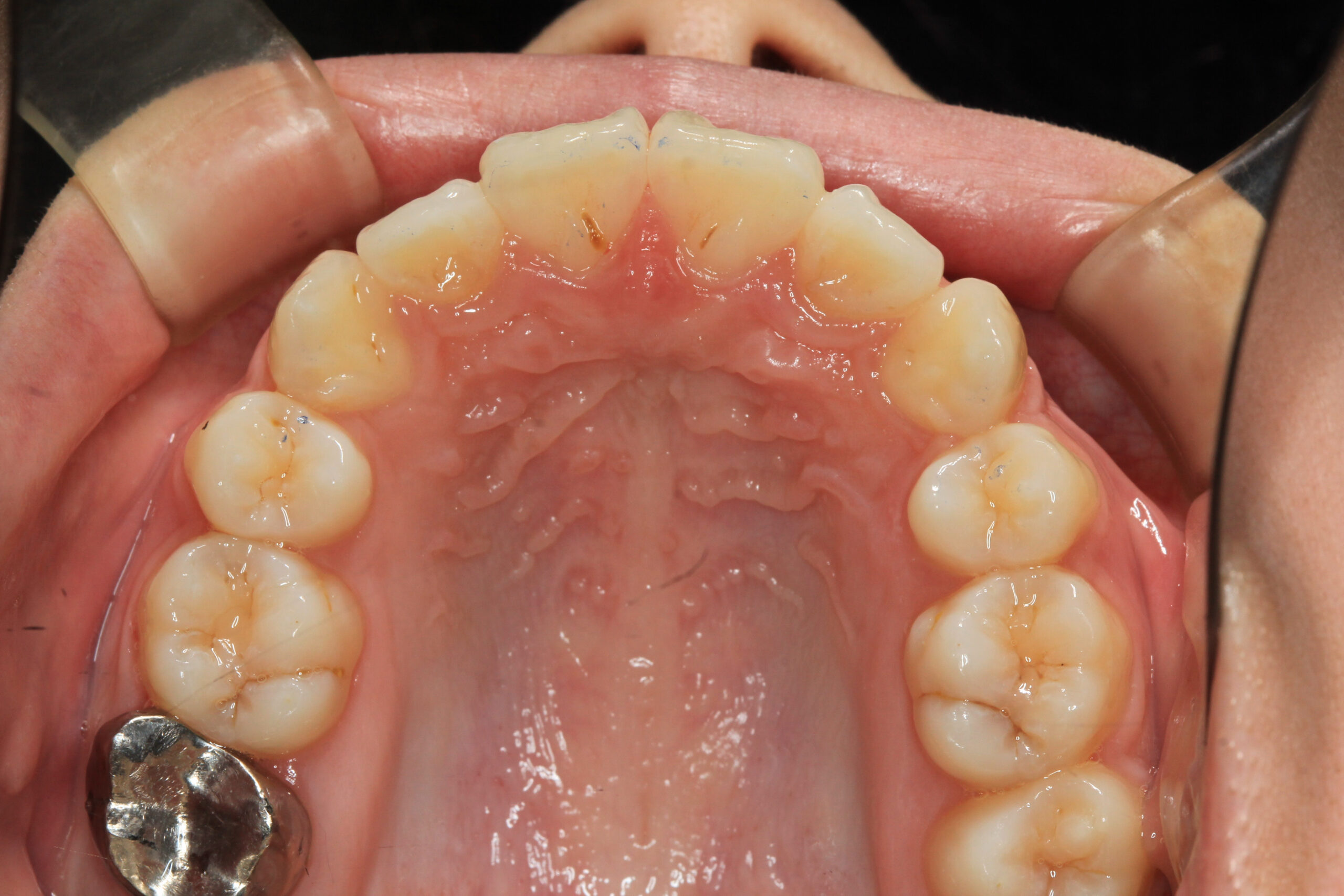
歯列が狭い為にしわ寄せが前歯に現れ、かなりの出っ歯になっています。

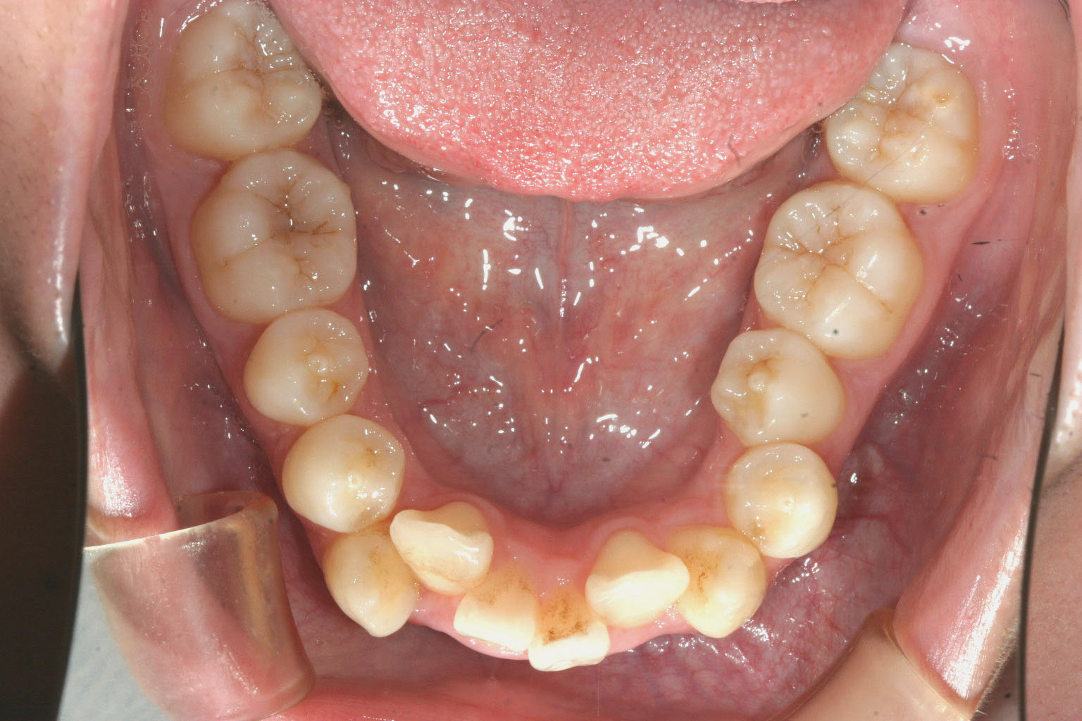
下顎もアーチが狭く前歯がガタガタになっています。

前歯の前突が目立ちます。

左右の小臼歯を抜歯し綺麗に改善しました。

下顎も左右の小臼歯を抜歯後改善しました。

上の写真と比べてください、オーバージェット感も抜群に綺麗になりました。
当院からのコメント
今回の症例はアーチがかなり狭窄されているのと顎が小さい為に歯列が前突しガタガタしていました。
私としましては可能な限り抜歯矯正はしたくないのですが、今回のケースは顎が小さい為にこのまま並べようとするとかなり前に出てしまうので仕方なく抜歯矯正を選択致しました。
通常抜歯矯正となりますと大体3年前後かかると言うのが普通なのですが今回は文明の利器である加速矯正装置をインビザラインと併用し僅か1年3か月でこの様に改善出来ました。
ここまでのガタガタをインビザラインで抜歯矯正できればもうワイヤー矯正なんて必要ないんじゃないかと思うくらい綺麗な出来です。

