

お悩み
犬歯が飛び出てガタガタも激しく見栄えが悪い。
年齢
28歳
性別
女性
治療に用いた装置
インビザライン+加速矯正装置PBM+自家製バイトアップジグ
治療期間
1年4ヵ月
治療にかかった費用
治療詳細

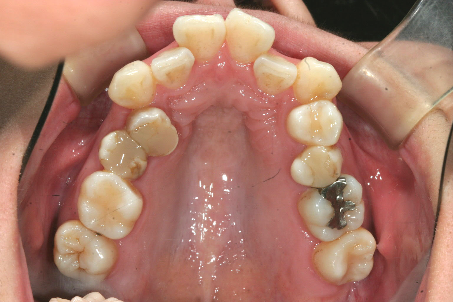
アーチが狭く犬歯が飛び出してかなりのガタガタです。

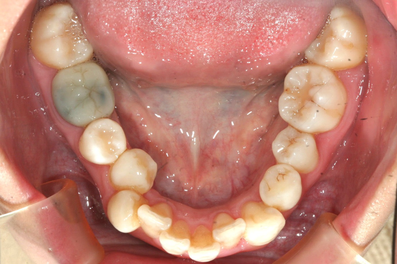
下顎もアーチが狭い為ガタガタが目立ちますね~

側面観ですが前歯の飛び出しが気になるみたいです。

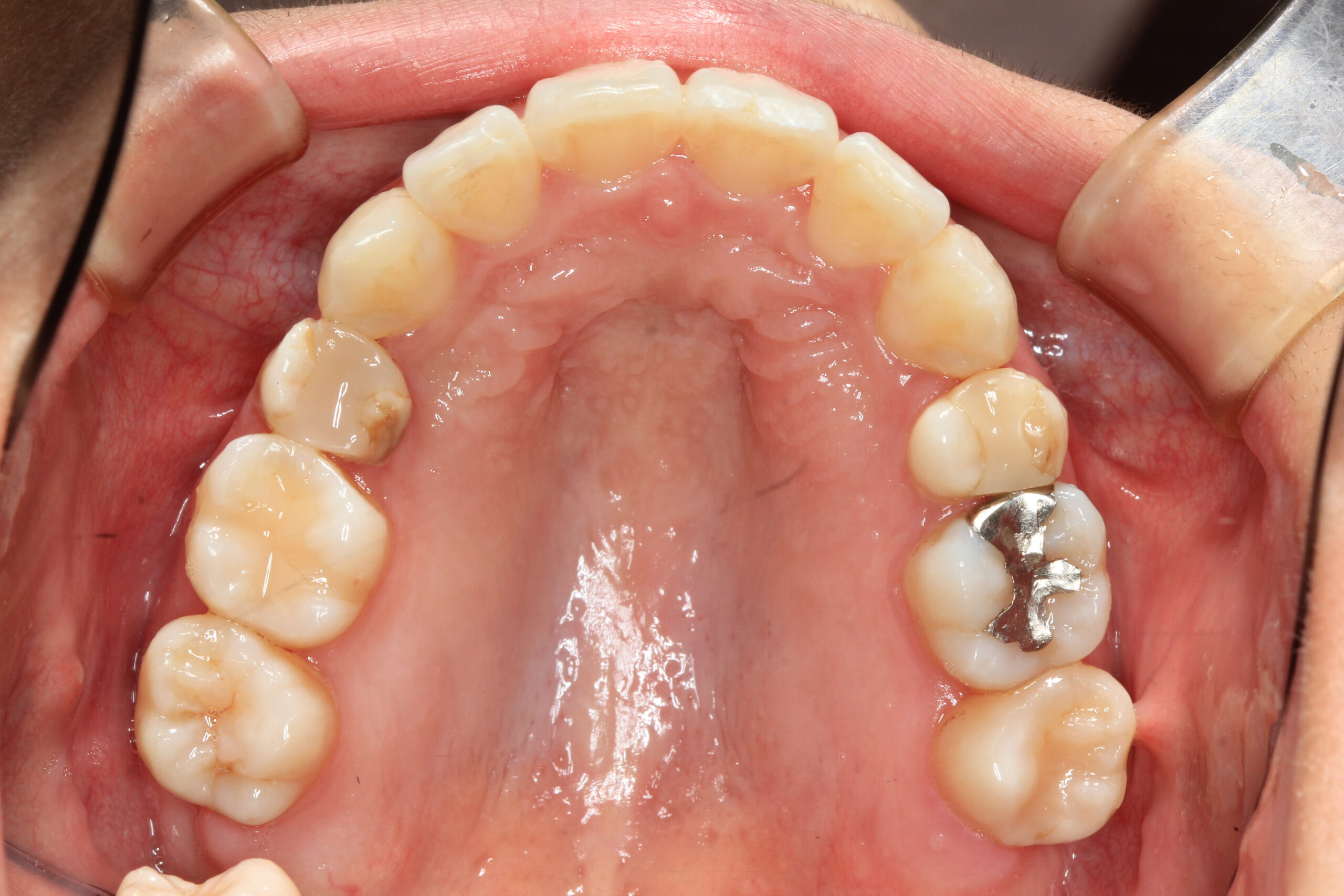
左右の小臼歯を抜歯する事で前突を改善し、又アーチを広げました。

下顎はアーチの改善だけでこんなに綺麗になりました。

側面観術前と比較してみてください。 見違える様になりました。
当院からのコメント
こちらのケースはアーチ形状の乱れと上下の奥歯の咬む位置のズレにより前歯が前突し、犬歯が飛び出し
ガタガタの歯並びとなっていました、
上顎のみ左右の小臼歯を抜歯する事により前突を改善し、アーチを拡大する事により叢生も改善しました。
又抜歯する事により起こる嚙み合わせの深さは当院自慢の自家製バイトアップジグにより改善しました。
かなり綺麗に改善出来た症例です。

