

お悩み
出っ歯が気になり、口も閉じにくい。
年齢
35歳
性別
女性
治療に用いた装置
インビザライン+加速矯正装置PBM
治療期間
1年8か月
治療にかかった費用
治療詳細

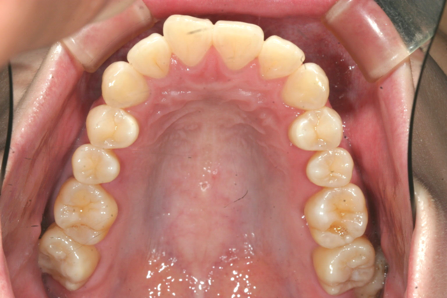
咬合面観はさほどアーチは乱れていません。

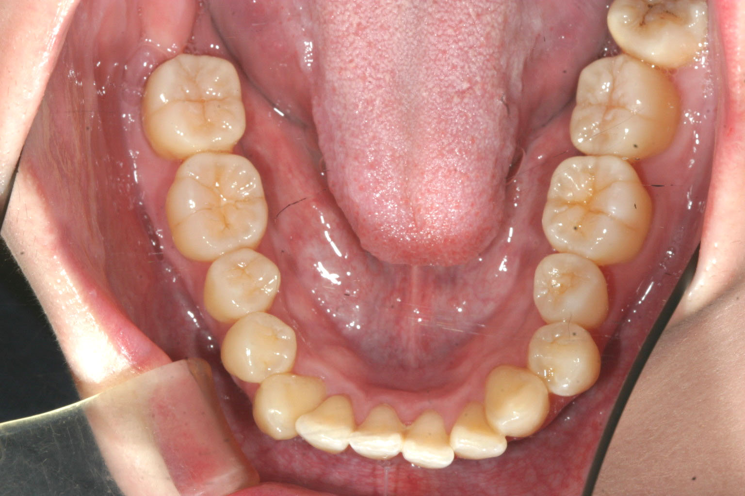
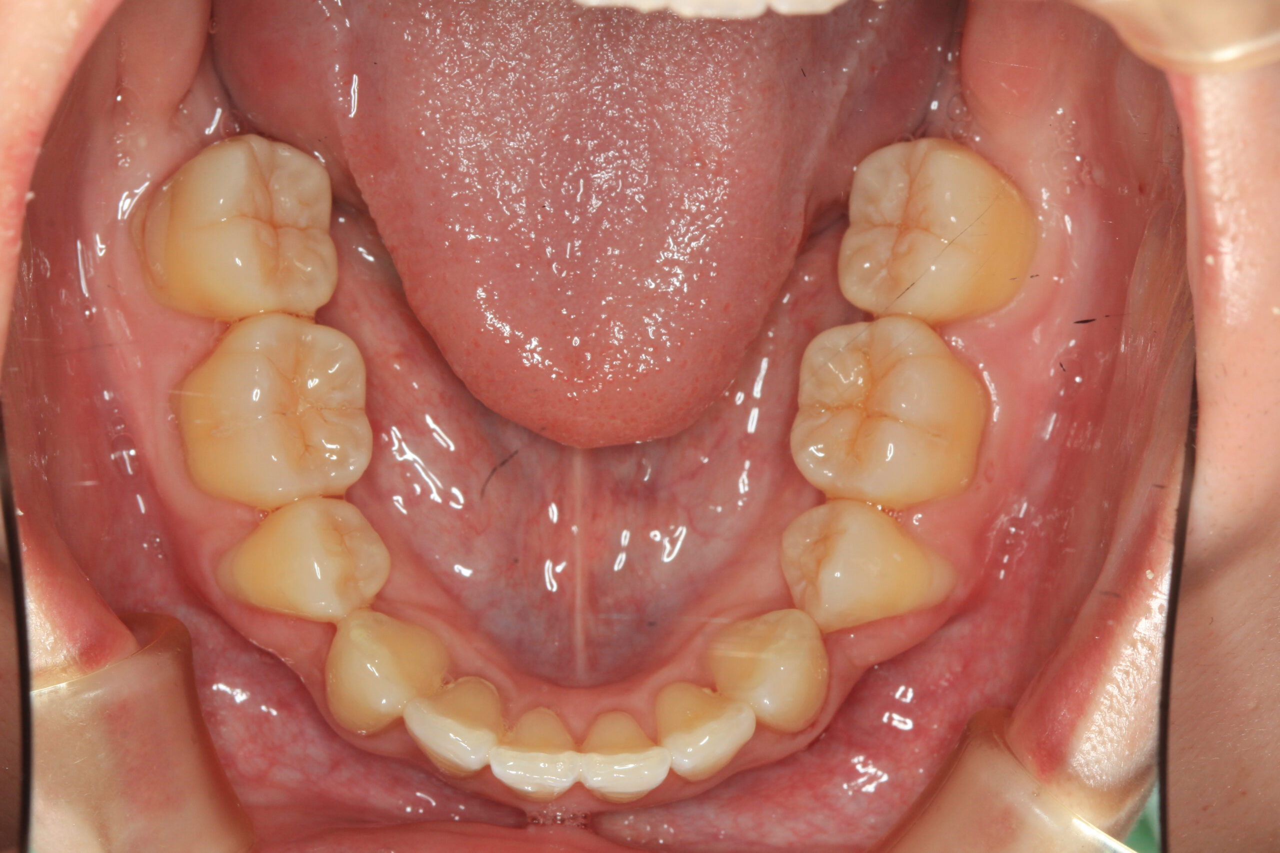
下顎のアーチも多少の前歯部にガタガタが目立つだけで大した事は有りません。

側面観はかなり前突が目立ちますね~

左右小臼歯を抜歯後綺麗に配列しました。

下顎も左右の小臼歯抜歯後綺麗に並んでいます。

上下左右小臼歯抜歯して前突を改善しました。 凄い綺麗に前突が改善されているのが分かります。
当院からのコメント
今回のケースは上下顎前突の症例です。
上下左右の小臼歯を抜歯して最大限に前歯を引っ込めました。
矯正中一番困ったことは前歯を引く事により前ばかり当たるようになり臼歯部が噛まなくなる事でした。
ここで活躍してくれたのがインビザラインに標準装備されているバイトランブと言う物です。
これを活用しアップダウンエラスティックを併有する事によりこの様に綺麗に仕上げる事が出来ました。

