

お悩み
上下の前歯が出て口元もゴボっと出た感じがすごく気になる。
年齢
30歳
性別
女性
治療に用いた装置
インビザライン+
治療期間
2年3ヵ月
治療にかかった費用
治療詳細

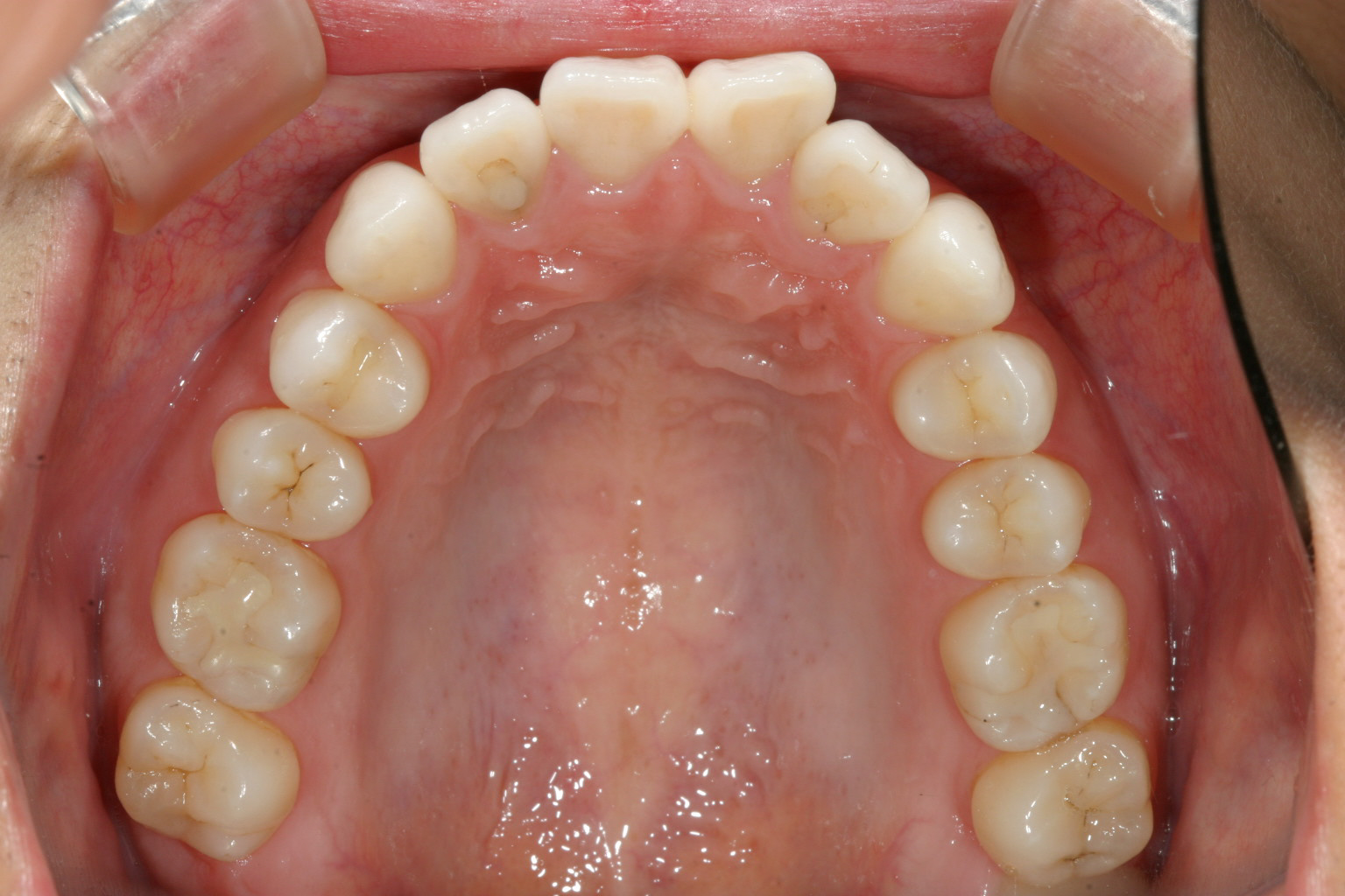
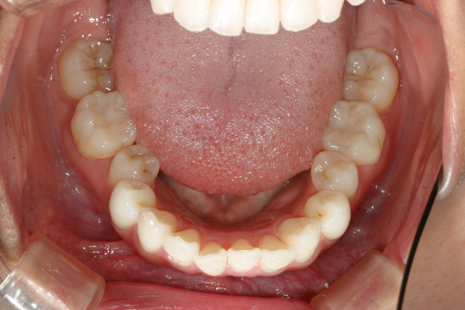
前歯が少し翼状捻転してます。

下顎小臼歯部が少しガタついてます。

横から見るとかなり前に出てるのが分かります。

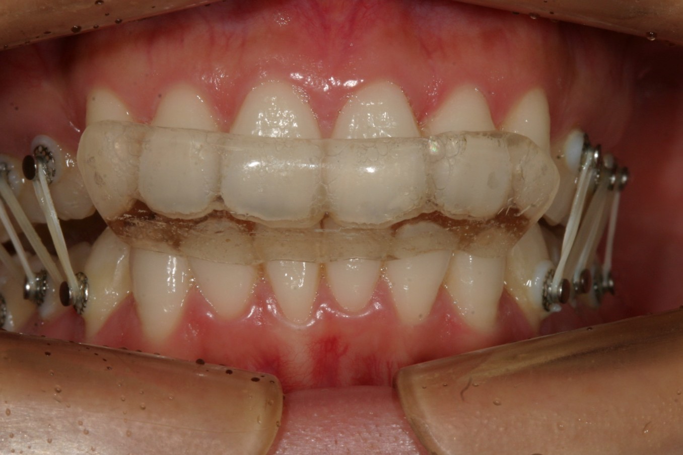
前歯に自家製バイトアップジグが入ってアップダウンエラスティック使用してます。

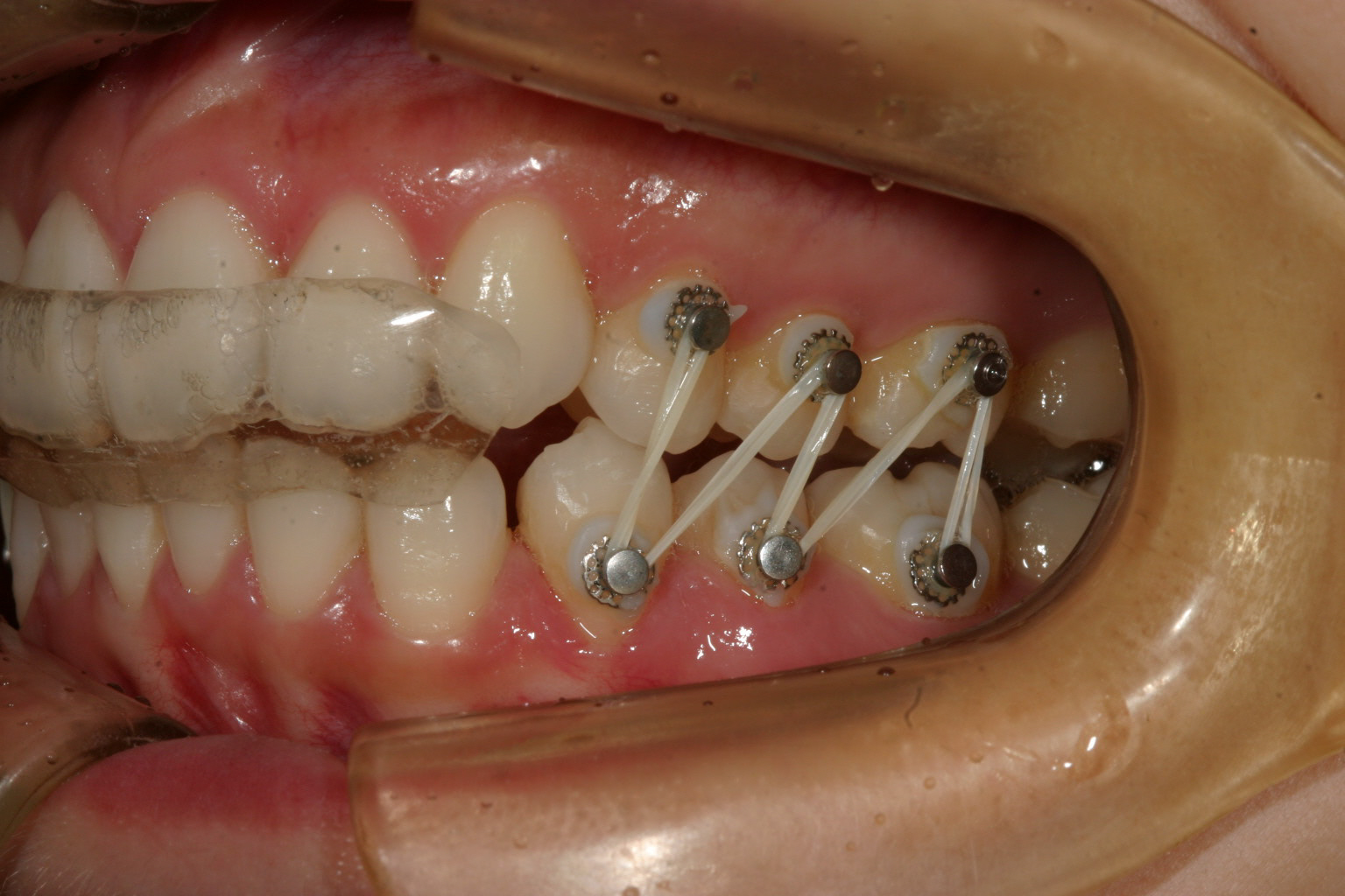
アップダウンエラスティックの右側です。

アップダウンエラスティックの左側です。

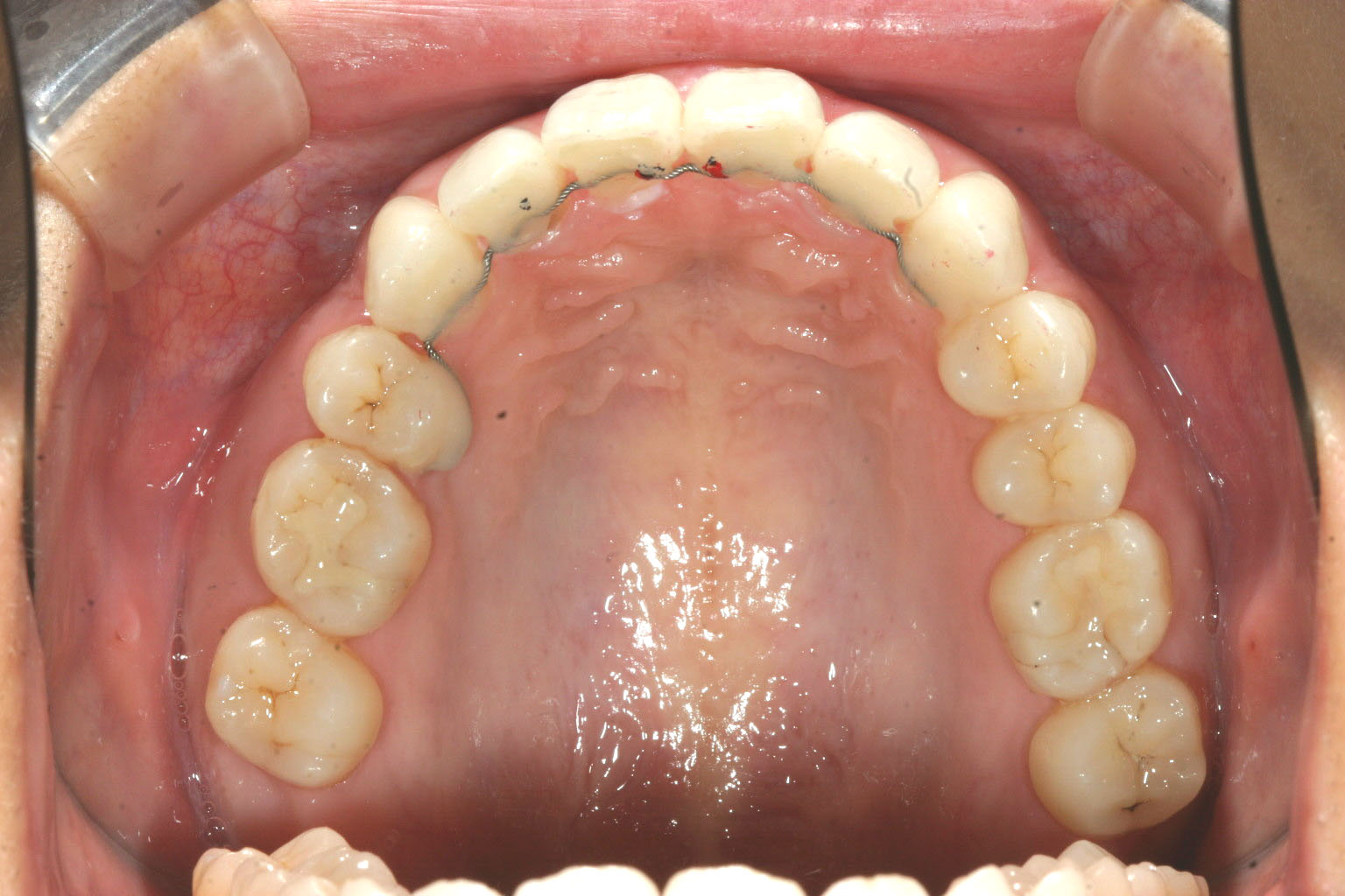
右側第一小臼歯のみ抜歯し翼状捻転も綺麗に改善してます。

小臼歯部も綺麗に改善してます。

側面観見てもらえればどれだけ上下顎前突が入ったかお分かり頂けると思います。
当院からのコメント
こちらのケースは抜歯を右側上顎第一小臼歯だけと極力最小限にとどめて上下顎のオーバージェットを改善しました。
又臼歯部のかみ合わせが低い為自家製バイトアップジグにて臼歯部を挺出させて咬合を上げました。
これだけ上下顎前突が内に入れば口元のゴボっとした出具合も綺麗に改善されます。

