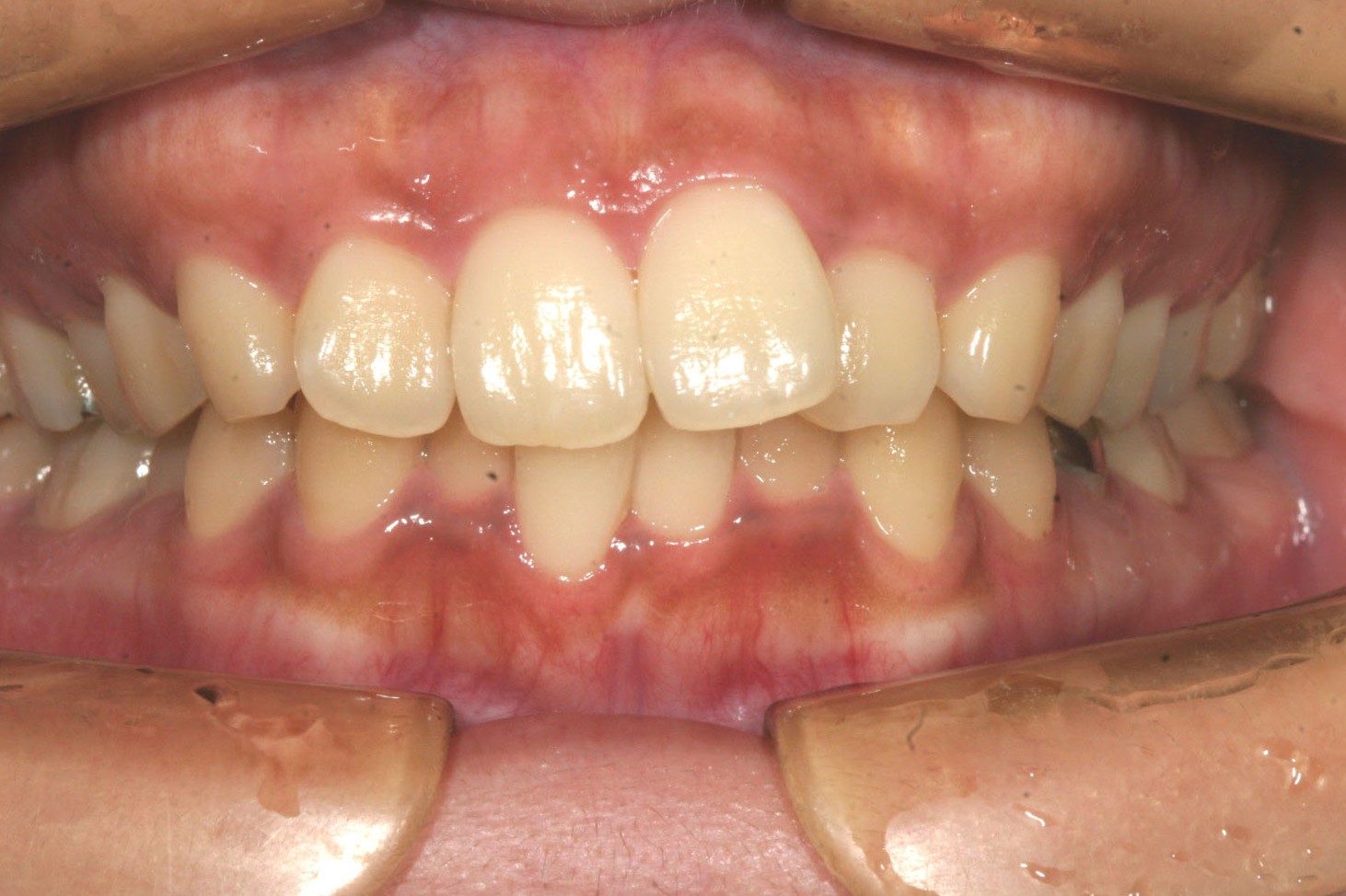
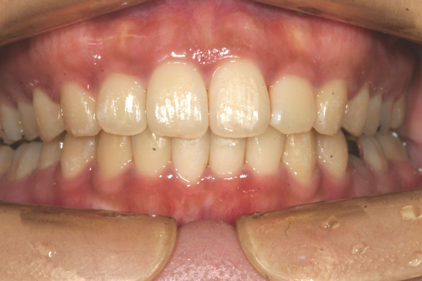
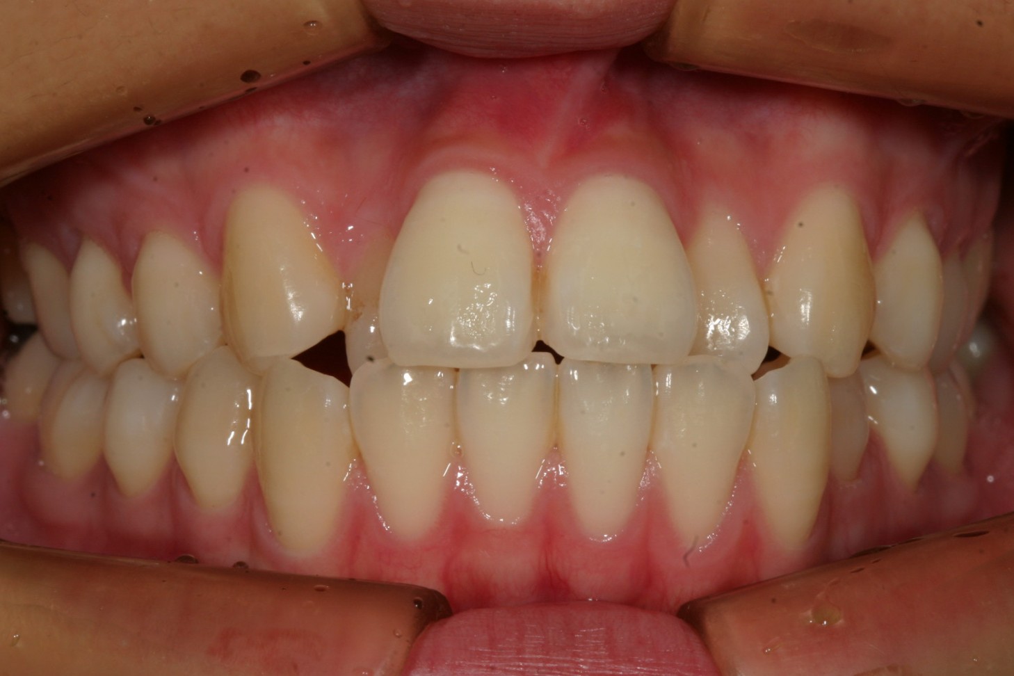
カテゴリー: でこぼこの歯・叢生(そうせい)の症例(非抜歯)
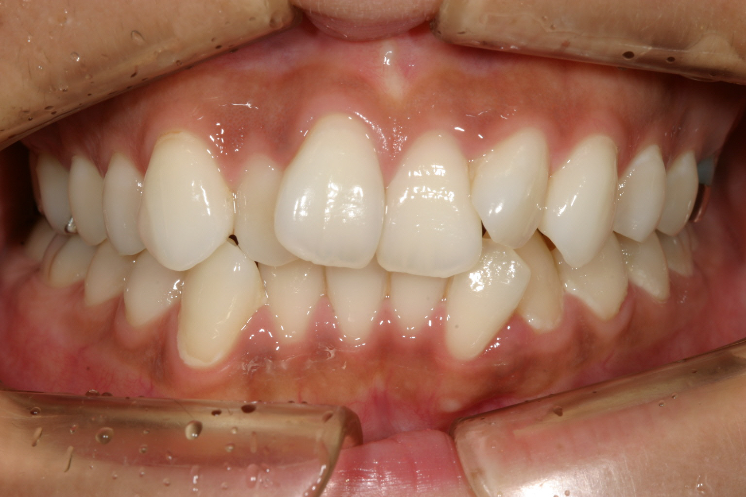
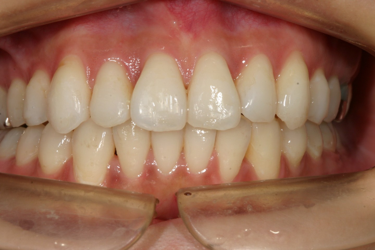
インビザライン ディープバイト 深い咬み合わせ 捻転 ねじれ 叢生 ガタガタ


お悩み
前歯のかみ合わせが深いのと下の前歯がガタガタ
年齢
38歳
性別
女性
治療に用いた装置
インビザライン
治療期間
1年4ヵ月
治療にかかった費用
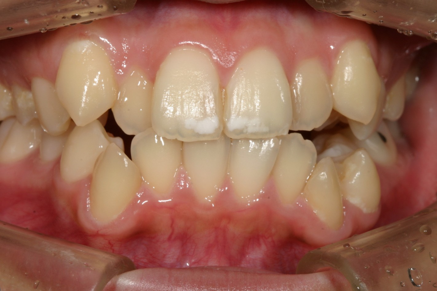
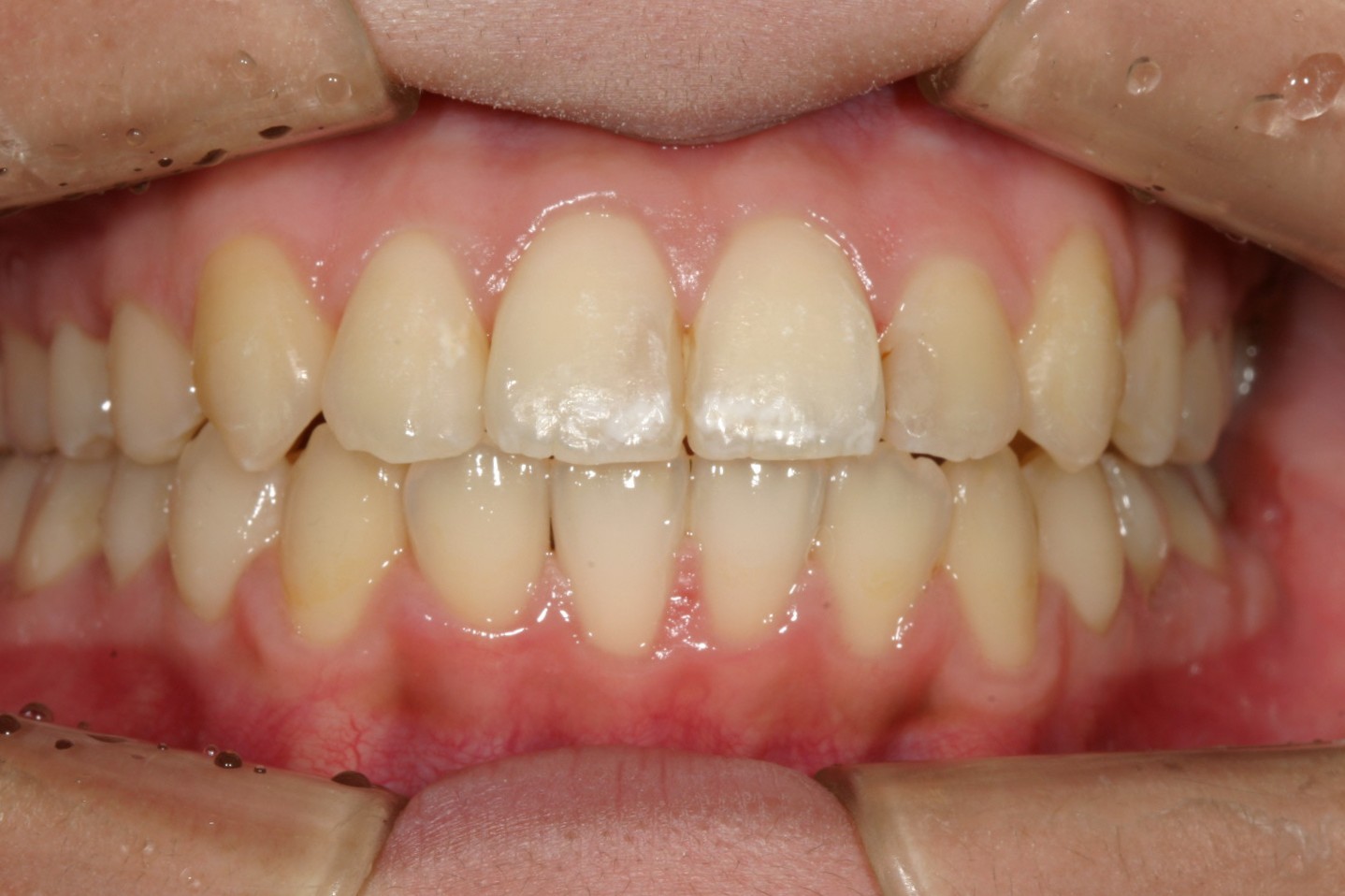
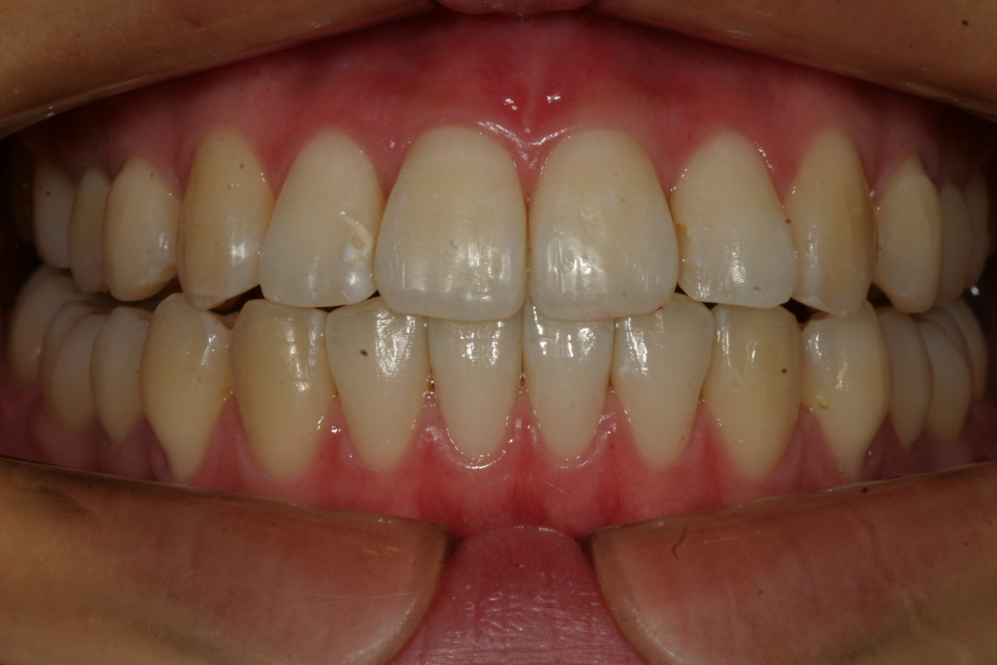
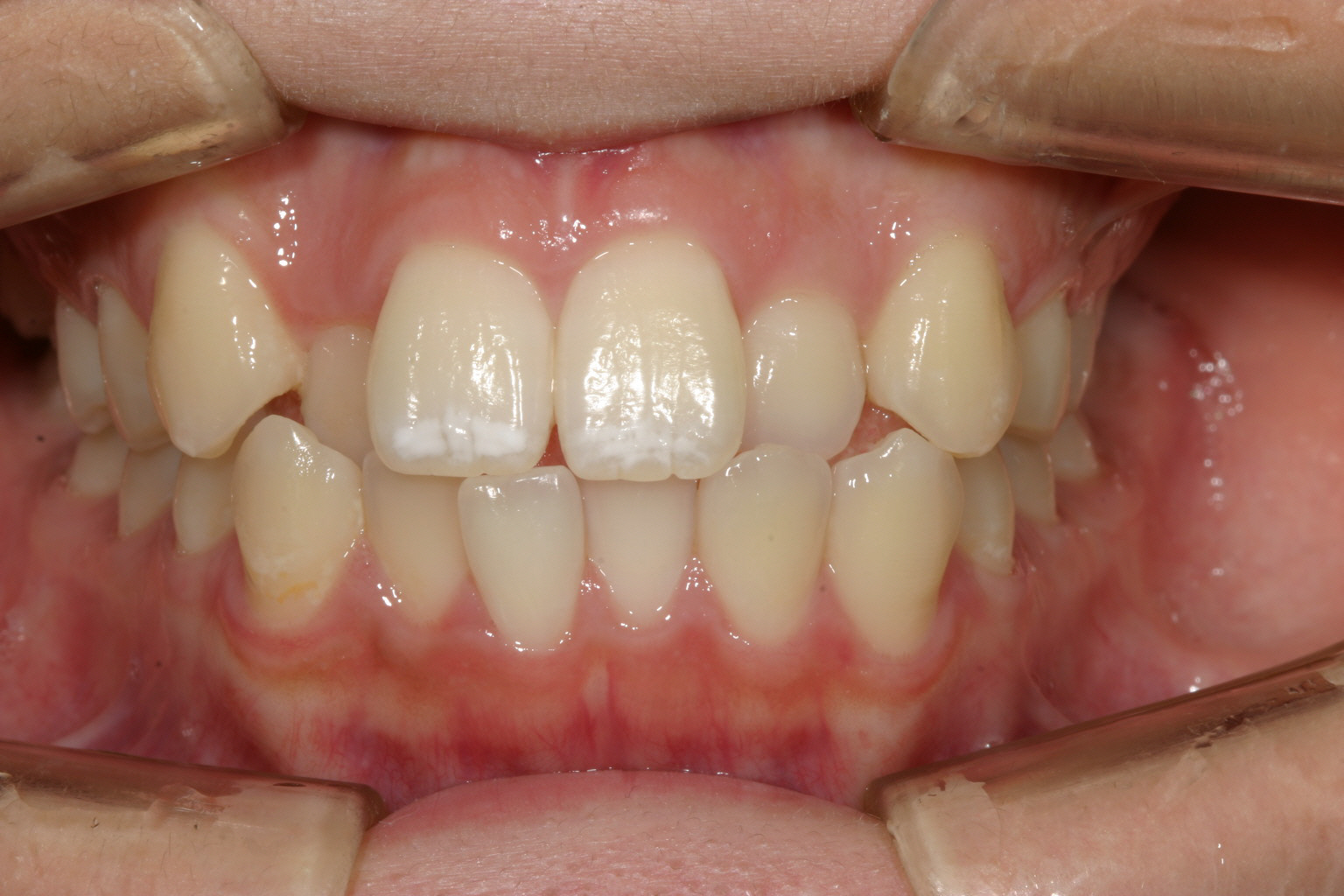
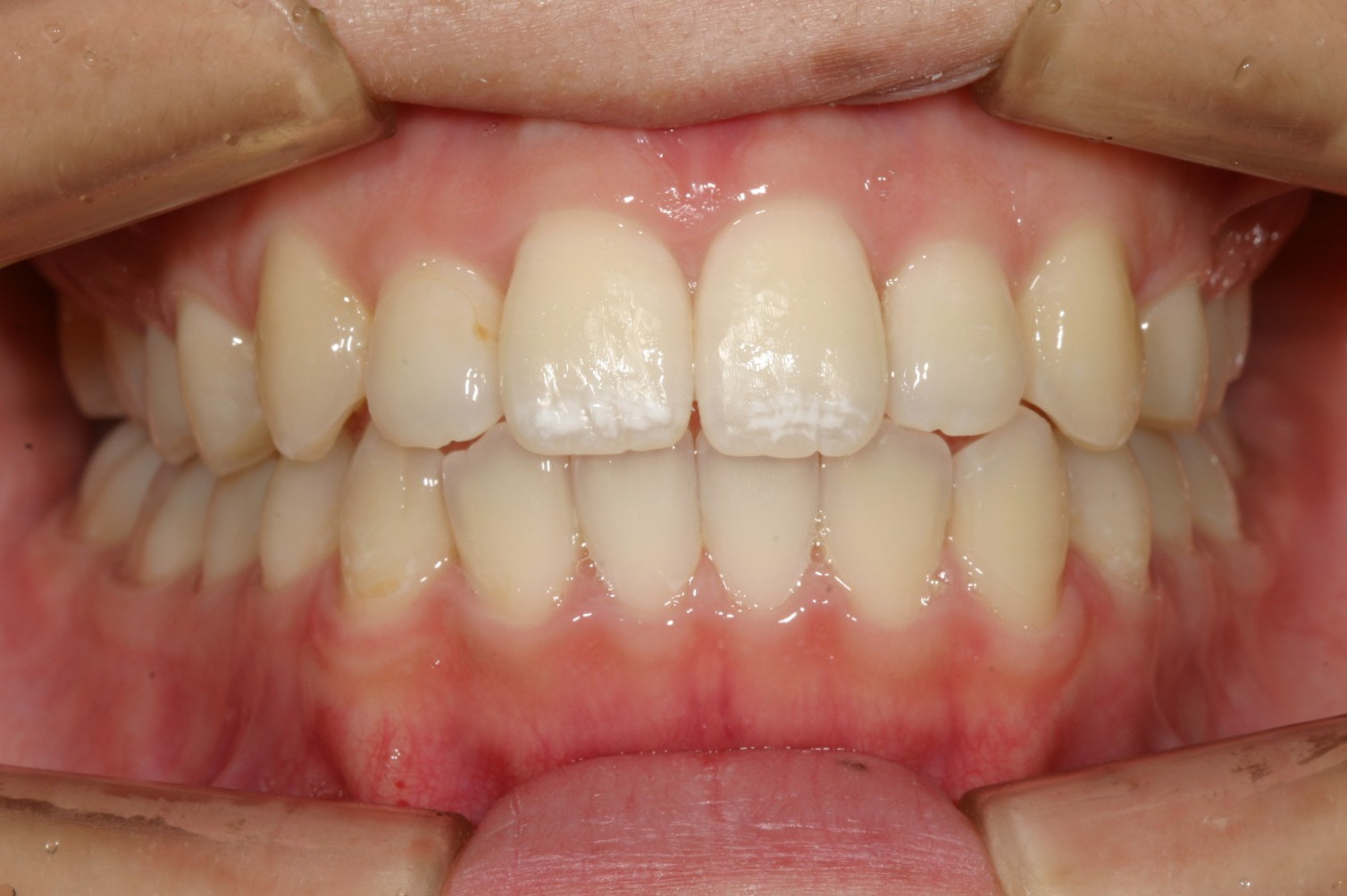
インビザライン マルチループワイヤー 前歯 歪み 小臼歯 回転


お悩み
前歯の歪みと片前歯の下への出っ張りが気になる。
年齢
31歳
性別
女性
治療に用いた装置
インビザライン
治療期間
1年4ヵ月
治療にかかった費用
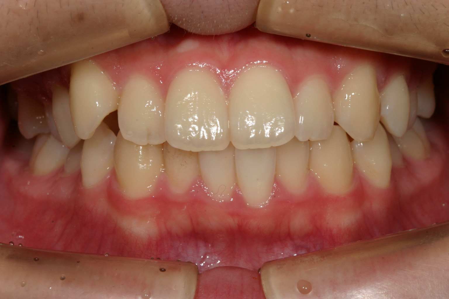
インビザライン 前歯 ねじれ 傾く 出っ歯 叢生 ガチャ


お悩み
前歯が傾いているのとガタガタが気になる。
年齢
25歳
性別
女性
治療に用いた装置
インビザライン
治療期間
1年2ヵ月
治療にかかった費用
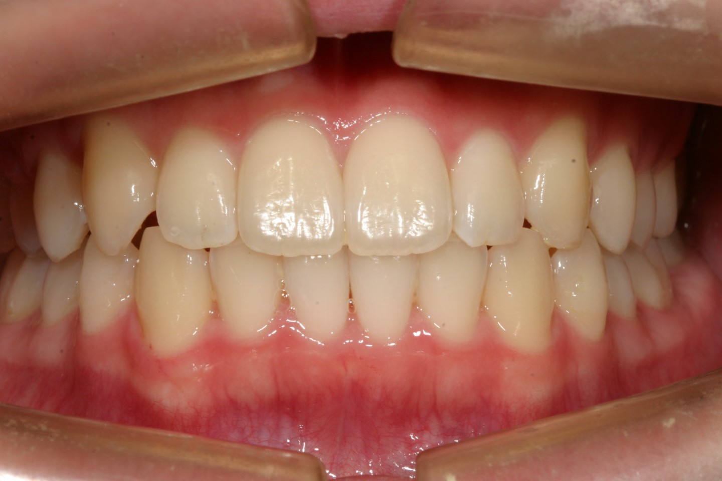
前歯 グチャグチャ 犬歯 飛び出し 非抜歯 マルチループワイヤー


お悩み
前歯のグチャグチャを何とか短期間で処置して欲しい。
年齢
19歳
性別
女性
治療に用いた装置
マルチループワイヤー + アップダウンエラスティック
治療期間
1年4ヵ月
治療にかかった費用
開咬 前歯 マルチループワイヤー がちゃ 口閉じない


お悩み
口が閉じないのとガタガタを治したい。
年齢
32歳
性別
女性
治療に用いた装置
マルチループワイヤー
治療期間
1年9カ月
治療にかかった費用
でっぱ 叢生 インビザライン 歯列V字 アップダウンエラスティック


お悩み
前歯のでっぱとガタつきを何とかしい。
年齢
20歳
性別
女性
治療に用いた装置
インビザライン
治療期間
1年4ヵ月
治療にかかった費用
オーバーバイト 過蓋咬合 叢生 インビザライン 歯列狭い


お悩み
噛み合わせが深く下の前歯が余り見えない。
年齢
26歳
性別
女性
治療に用いた装置
インビザライン
治療期間
1年5ヵ月
治療にかかった費用







