

お悩み
前歯のグチャグチャを何とか短期間で処置して欲しい。
年齢
19歳
性別
女性
治療に用いた装置
マルチループワイヤー + アップダウンエラスティック
治療期間
1年4ヵ月
治療にかかった費用
治療詳細

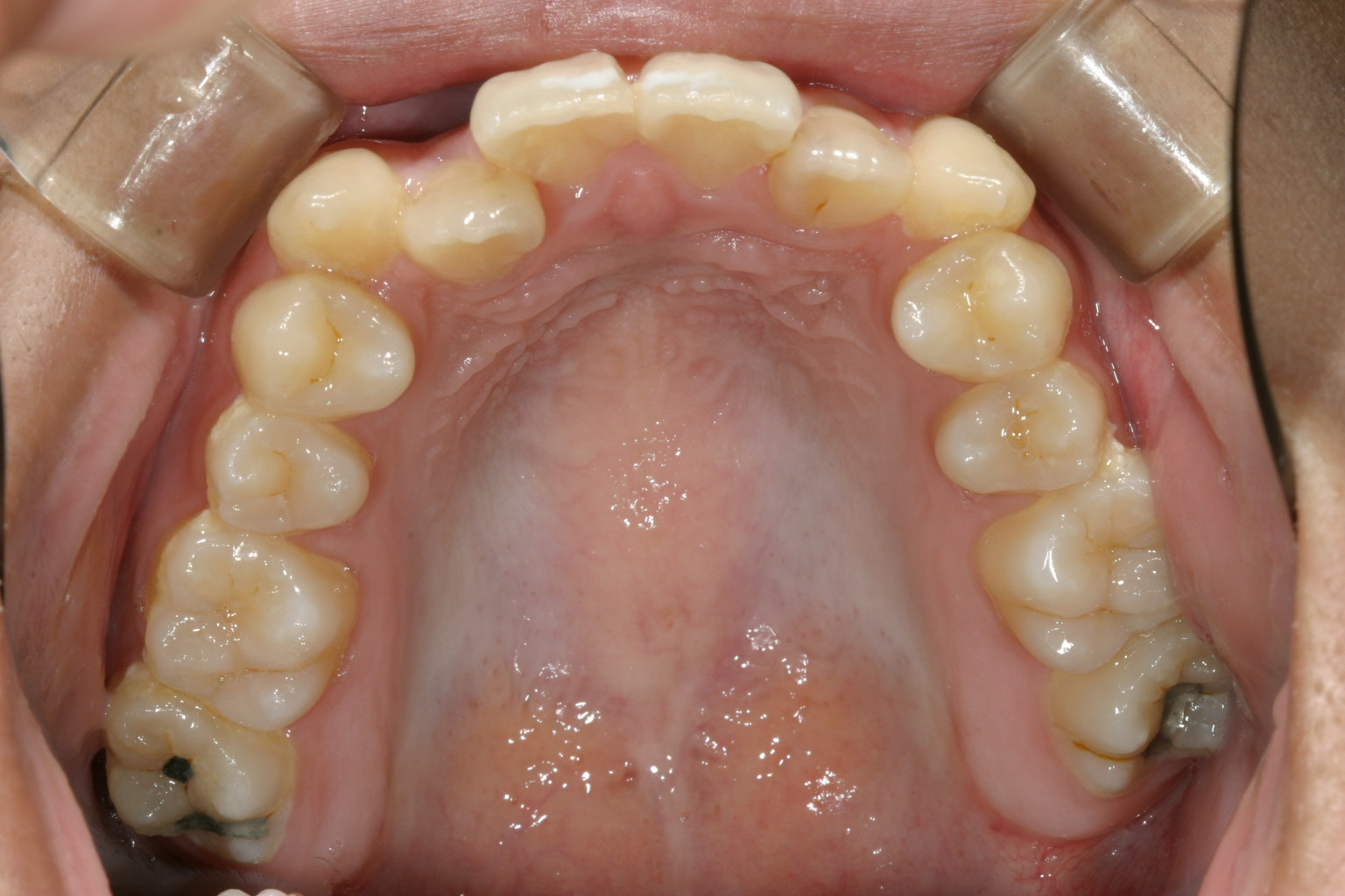
犬歯が飛び出し前歯がガチャガチャしています。

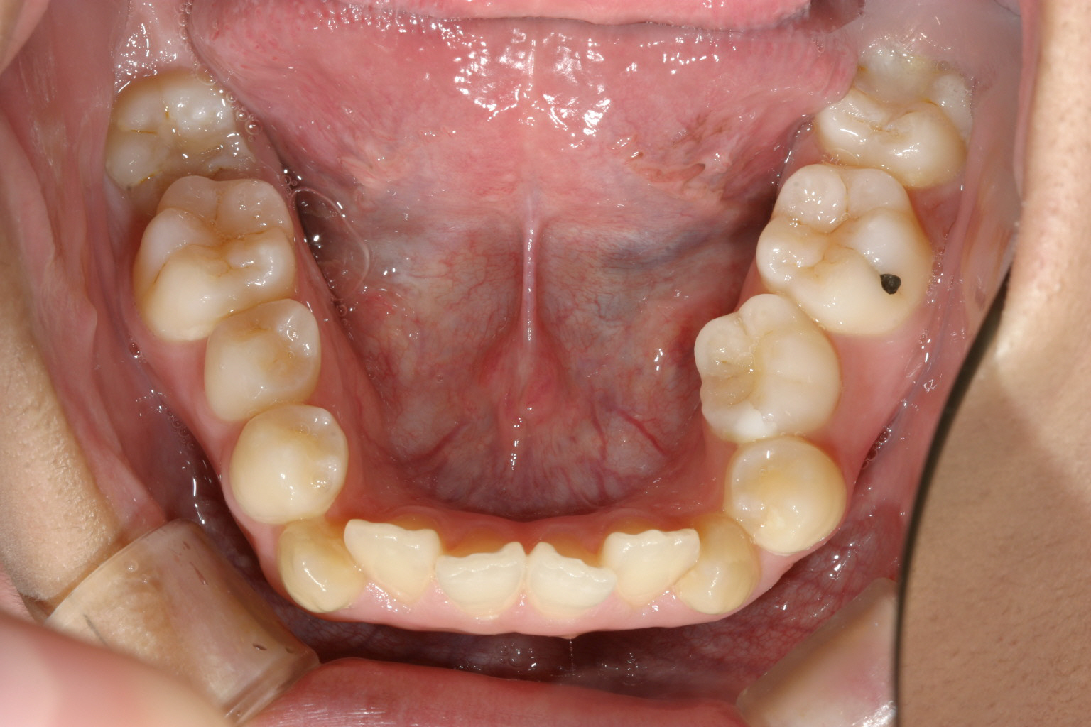
下顎もアーチが崩れガタガタです。 左側第二小臼歯が無く乳歯が残っています。

側面観もかなり乱れています。

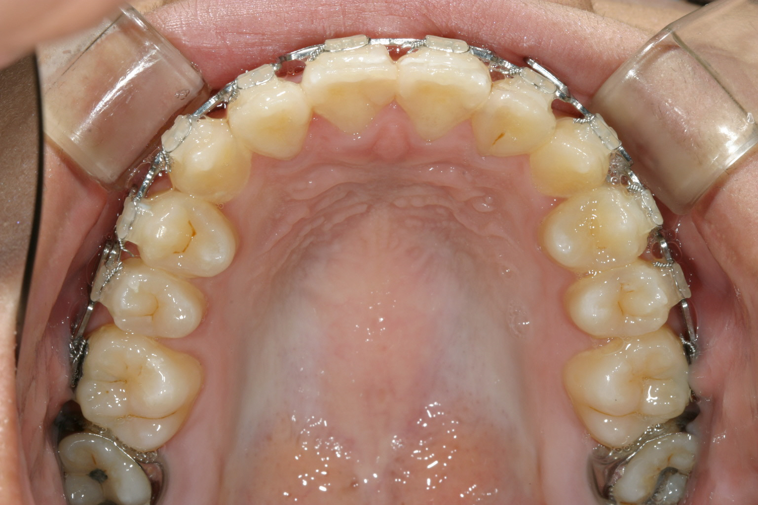
マルチループワイヤー装着5か月後です。 殆ど並んでいます。

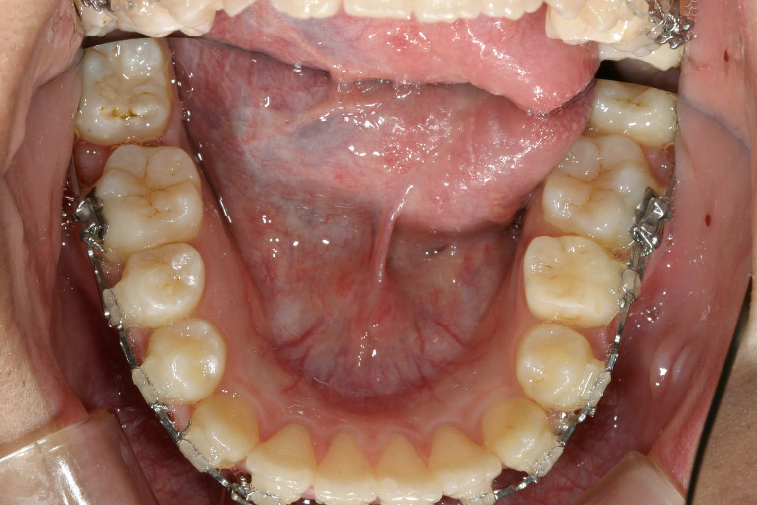
下顎もマルチループワイヤー装着後5ヵ月です。

側面観は開咬になっています。

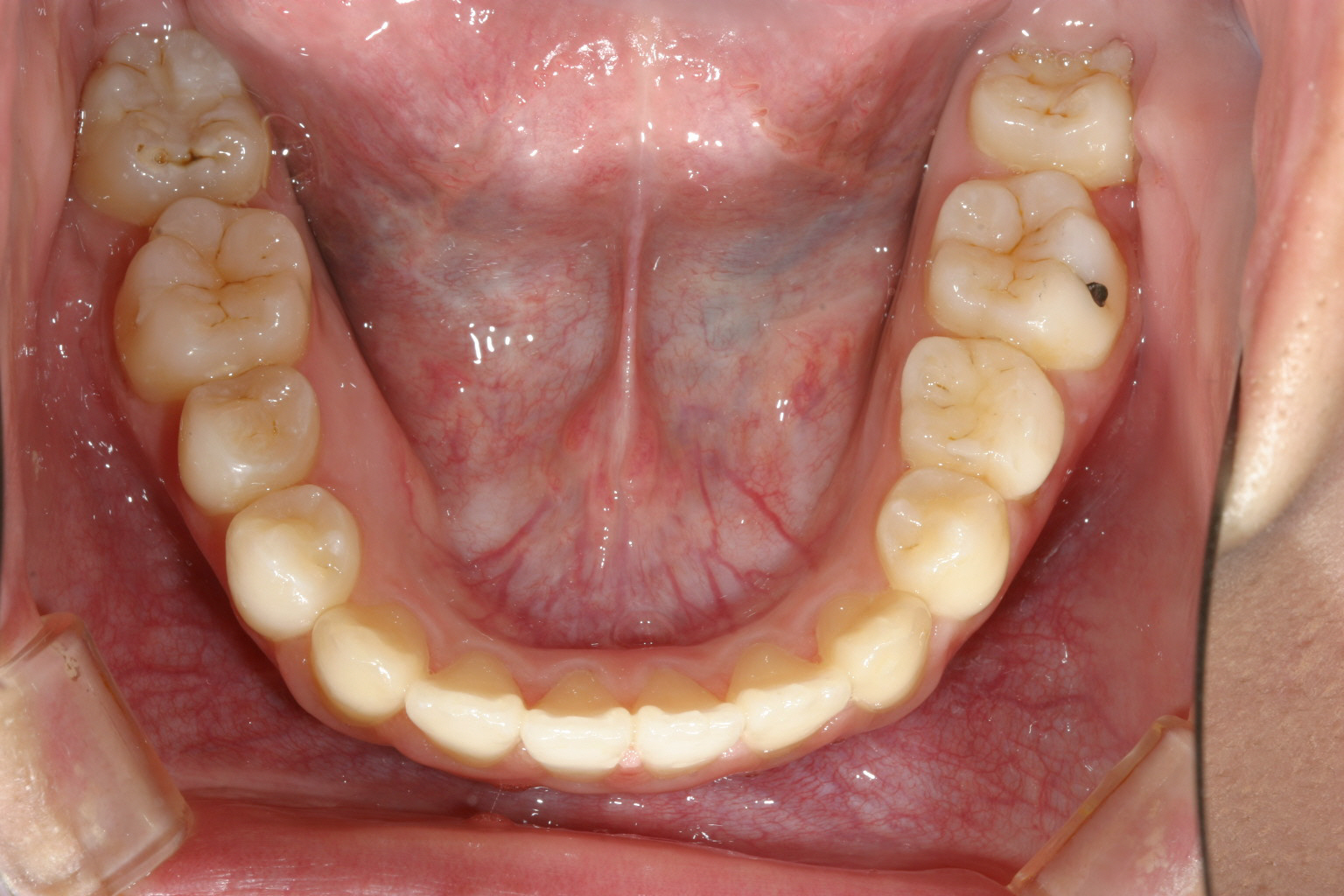
僅か1年4ヵ月で終了です。 きれいですね~

下顎も綺麗です。

開咬も改善し綺麗に咬んでます。
当院からのコメント
今回のケースはマルチループワイヤーにてかみ合わせ改善しました症例です。
ガタガタがかなりひどかったのでマルチループワイヤーで短期間で非抜歯でと言う事で依頼お受けいたしました。
マルチループワイヤーを使用しますと僅か1年4ヵ月でここまで改善します。
ワイヤー装着5ヵ月の写真アップしてますが殆ど並んでいます。
ここから上下のかみ合わせを改善する為に半年費やし、後は微調整でした。
当院では開咬、受け口、顎偏、過度のガタガタケースにはマルチループワイヤーが最適だと思い使用しています。
期間もかなり短縮出来ます。
見かけはいいとは言えませんがそれを除けば最高の装置です。
いかがでしょうか?

