

お悩み
噛み合わせが深く下の前歯が余り見えない。
年齢
26歳
性別
女性
治療に用いた装置
インビザライン
治療期間
1年5ヵ月
治療にかかった費用
治療詳細

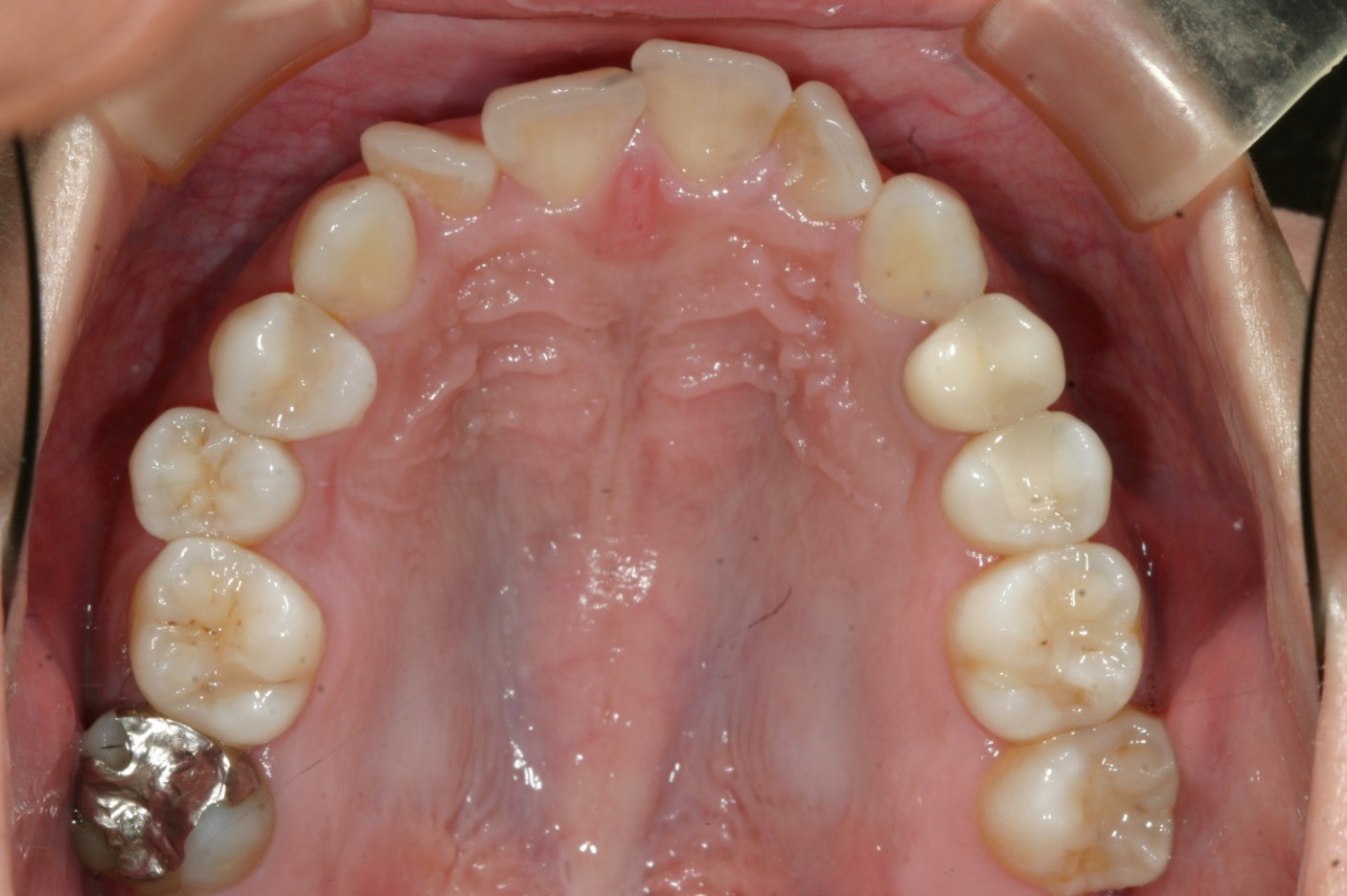
アーチが少し狭く前歯に叢生が見られます。 特に右側2番目の歯が捻転してますがこういった回転はインビザラインじゃ苦手な動きです。

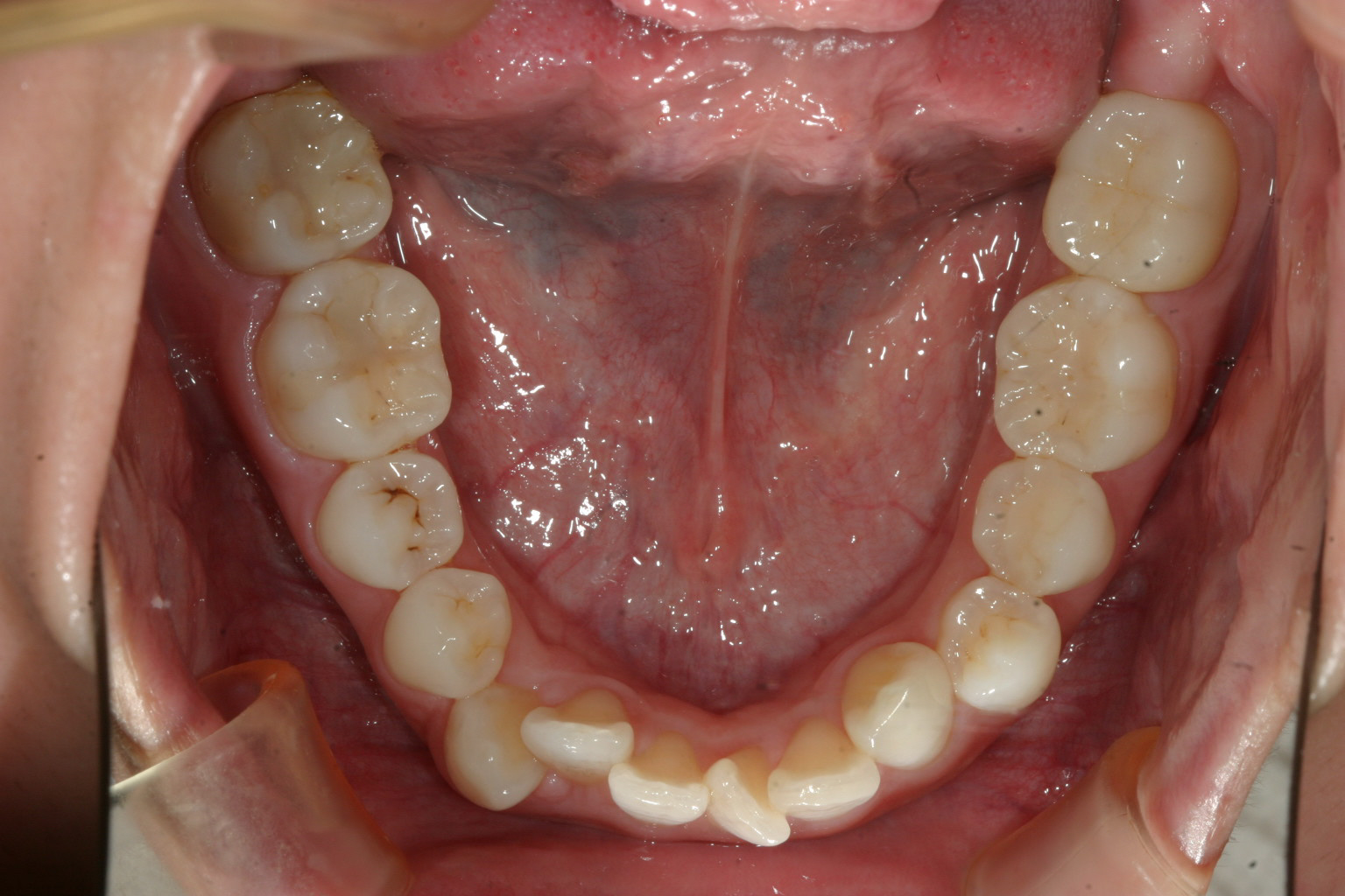
下顎も同じくアーチが狭く叢生が見受けられます。

過度なオーバジェットは無いです。

アーチをU字に広げて前歯部の叢生を綺麗に取りました。

下顎も叢生が取れて綺麗に並びました。

側面観も綺麗に治まりました。
当院からのコメント
今回のケースは前歯部のかみ合わせが深いと言う事で治療に来られました。
上顎前歯部が過剰に下の方に垂れ下がっている為、見栄えが悪く、又アーチも狭い為叢生が起きていました。
こういった場合臼歯部の挺出と上顎前歯部の圧下が必要となります。
こちらの患者様は歯科業界で仕事してられるってことで一生懸命インビザラインに時間を割いて頑張って頂きました関係上すんなりと問題は解決致しました。
マウスピース矯正って装置は患者様がどれだけ真面目に自分の口に向き合って頂けるかにかかっています。
全国のマウスピース矯正されてる方、頑張ってくださいね!

