カテゴリー: 八重歯(やえば)の症例
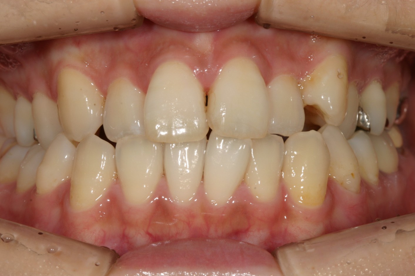
前歯 グチャグチャ 犬歯 飛び出し 非抜歯 マルチループワイヤー


お悩み
前歯のグチャグチャを何とか短期間で処置して欲しい。
年齢
19歳
性別
女性
治療に用いた装置
マルチループワイヤー + アップダウンエラスティック
治療期間
1年4ヵ月
治療にかかった費用
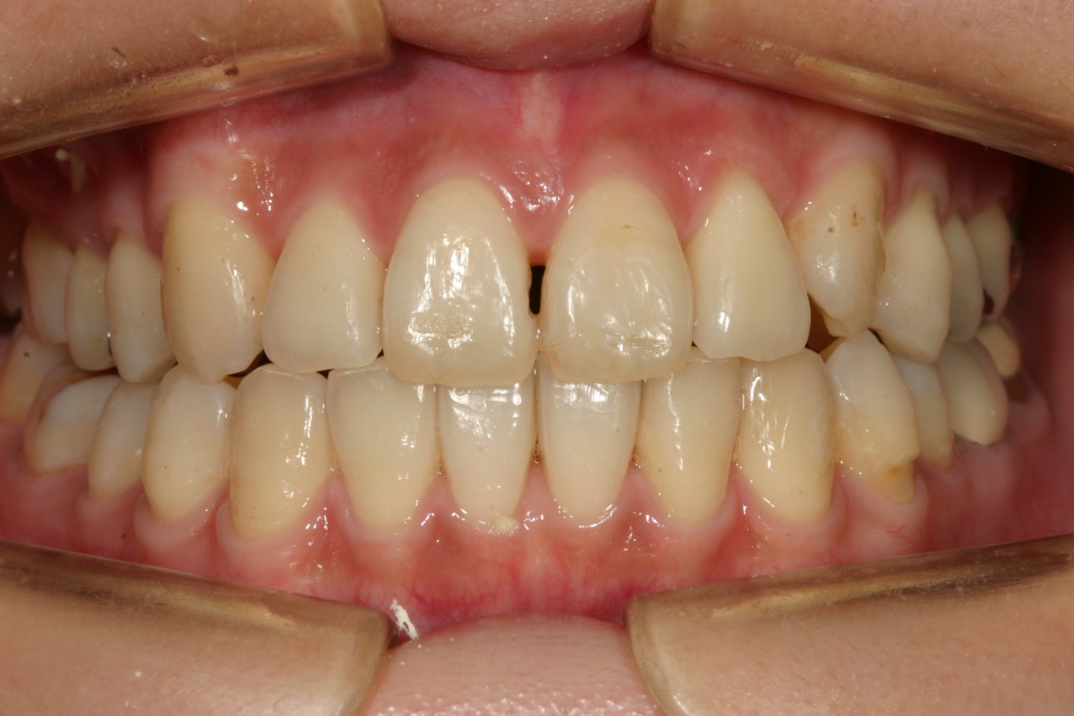
前歯 ガタガタ 犬歯 飛び出し 叢生 インビザライン アーチ狭い


お悩み
2番目の前歯がへこみ前歯がガタガタしてる。
年齢
26歳
性別
女性
治療に用いた装置
インビザライン
治療期間
1年8か月
治療にかかった費用
犬歯 飛び出し 前歯 内方傾斜 ガタガタ がちゃ マルチループワイヤー


お悩み
前歯が内に傾斜し糸切り歯も飛び出ている。
年齢
50歳
性別
女性
治療に用いた装置
マルチループワイヤー
治療期間
1年2ヵ月
治療にかかった費用
両側八重歯(やえば)犬歯 ガチャ歯 非抜歯 ガタガタ インビザライン


お悩み
前歯がガタガタで犬歯が飛び出て見栄えが悪い
年齢
30歳
性別
女性
治療に用いた装置
インビザライン
治療期間
1年2ヵ月
治療にかかった費用
八重歯 非抜歯 リンガルアーチ 補助装置 インビザライン


お悩み
糸切り歯が飛び出しガタガタし見た目が悪いのを改善したい。
年齢
33歳
性別
女性
治療に用いた装置
インビザライン+リンガルアーチ
治療期間
2年4ヵ月
治療にかかった費用
マルチループワイヤー でっぱ 犬歯 飛び出し 八重歯 時間短縮


お悩み
前歯が飛び出しガタガタしている。
年齢
26歳
性別
男性
治療に用いた装置
マルチループワイヤー
治療期間
11ヵ月
治療にかかった費用









