

お悩み
糸切り歯が飛び出しガタガタし見た目が悪いのを改善したい。
年齢
33歳
性別
女性
治療に用いた装置
インビザライン+リンガルアーチ
治療期間
2年4ヵ月
治療にかかった費用
治療詳細

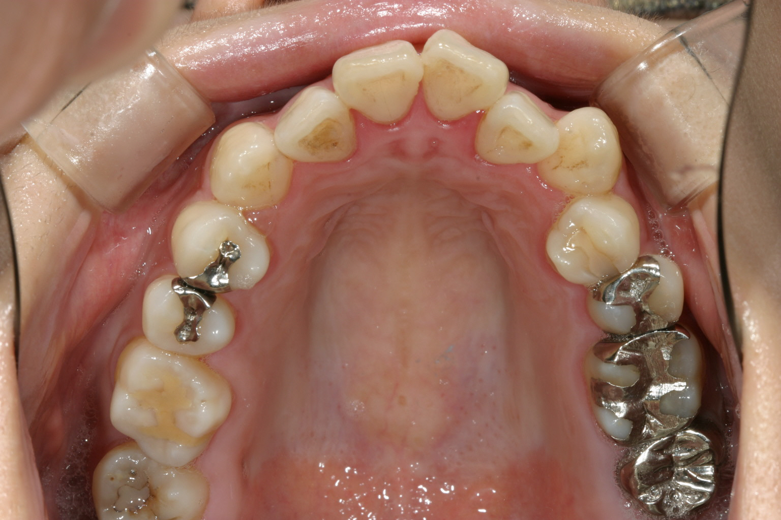
左側犬歯が飛び出し又アーチが尖っています。

下顎には少し叢生が存在します。

オーバージェットは問題無いです。

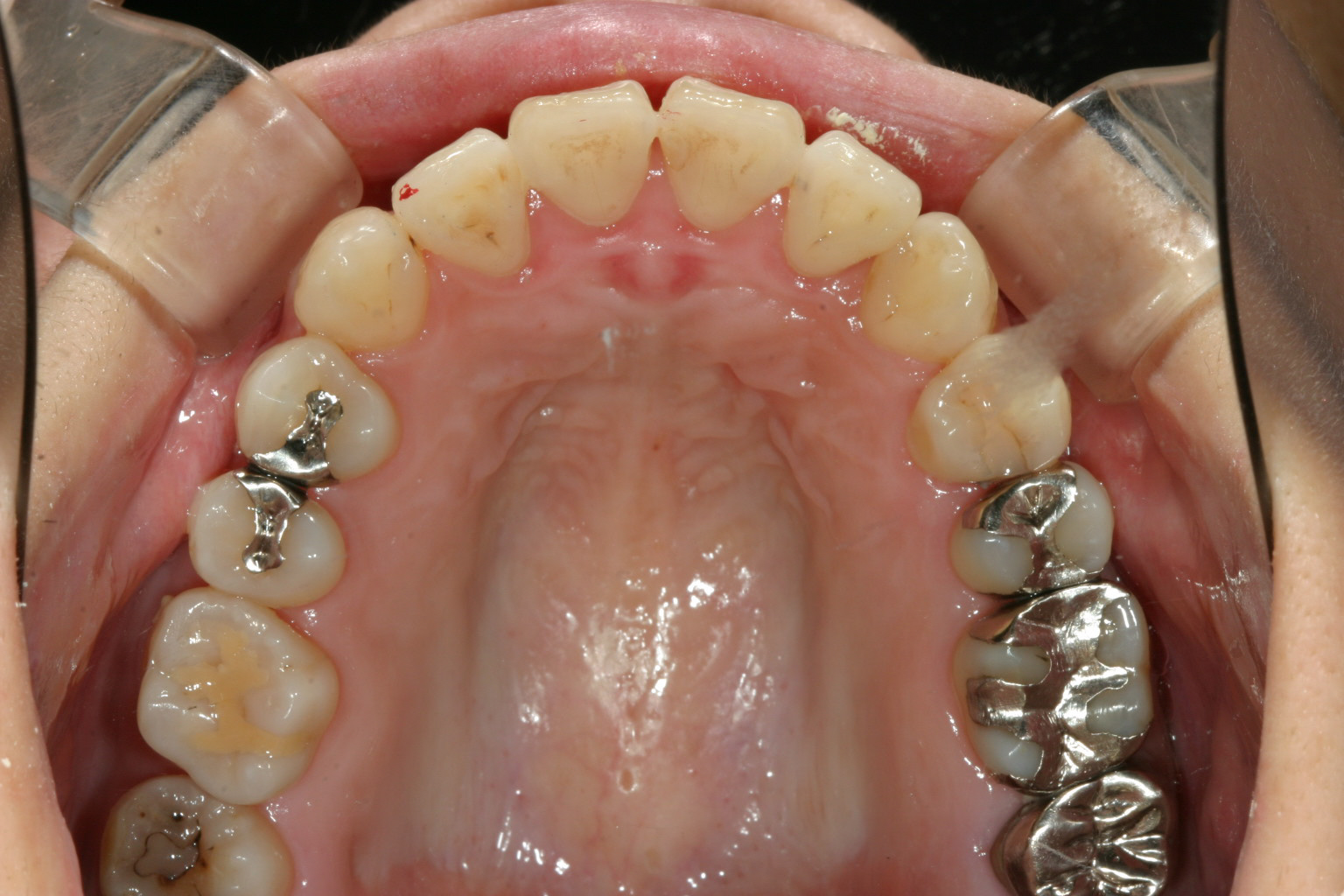
綺麗に改善出来ました。

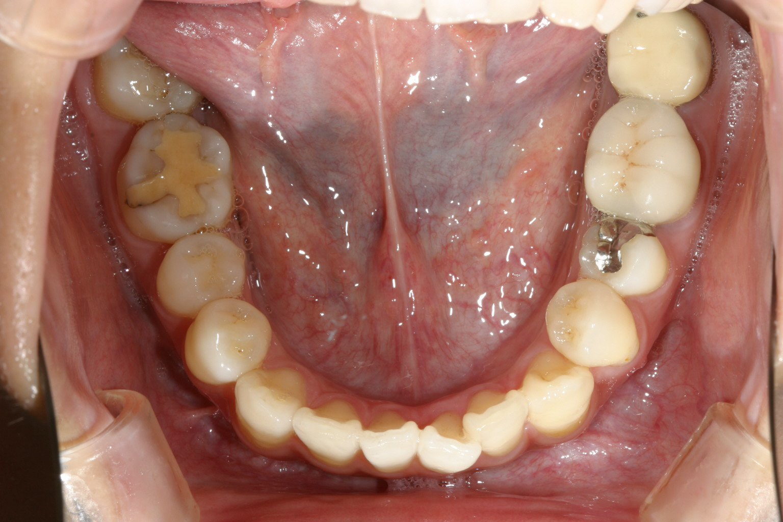
下顎も綺麗に叢生が取れています。

オーバージェットは元から綺麗ですからそんなに変化は有りません。

上顎にはインビザライン使用以前にリンガルアーチを使用しました。
当院からのコメント
このケースはかなり古い症例でインビザラインを導入して初期の頃はこの様に先ずそこそこ補助装置を利用してからインビザラインの型を取りその後インビザラインをスタートさせていました。
その為今より期間も倍近くかかりました。
このケースでは先ずリンガルアーチを10か月使用してからインビザライン使用し、インビザラインは1年4ヵ月の処置期間となりました。
現在ではインビザラインも進化しこれくらいのケースだとリンガルアーチを使用しないですから1年半位あれば処置終了します。
それに加速矯正装置使用すればタダの半年程で終わる時代になりました。
科学の進化です。
凄いですね~

