

お悩み
前歯のデコボコを改善してほしい。
年齢
24歳
性別
女性
治療に用いた装置
インビザライン
治療期間
1年5ヵ月
治療にかかった費用
治療詳細

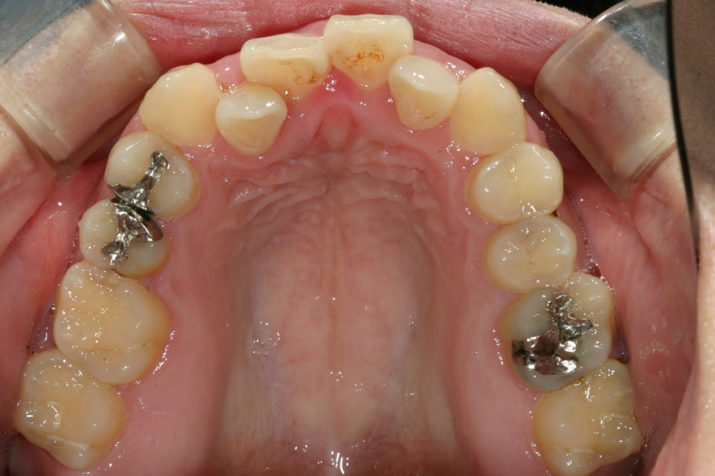
アーチが狭くて前歯が並ぶ隙間が有りません。

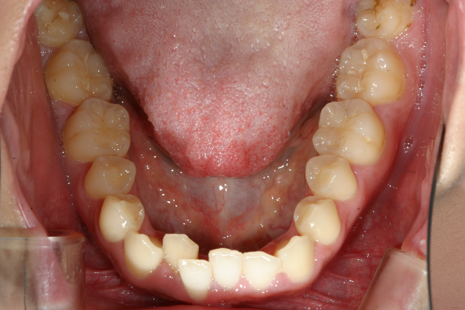
下顎もアーチが狭くV字型をしていて叢生が目立ちます。

横から見た感じは少し切端咬合気味です。

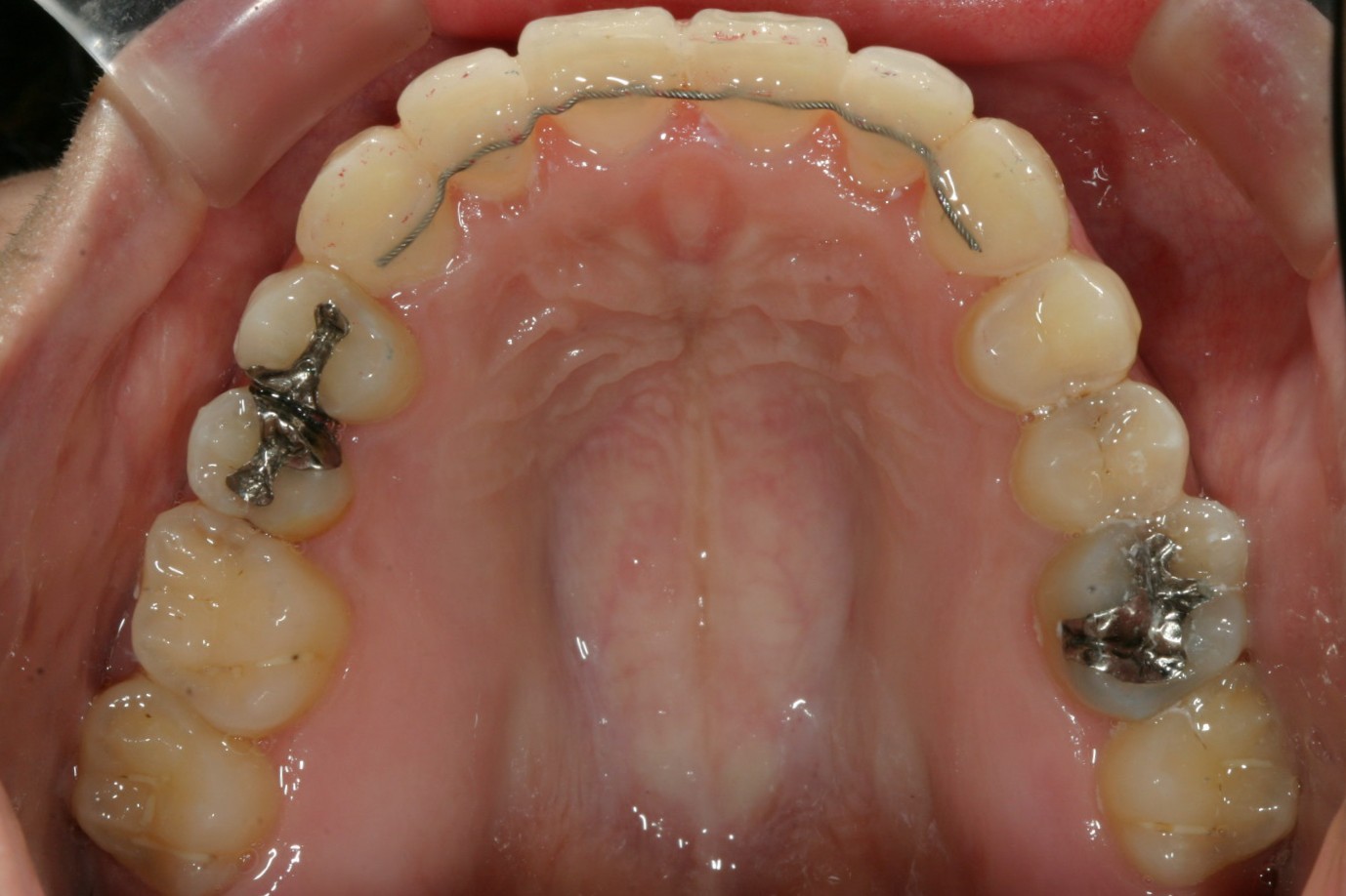
アーチを広げ綺麗に改善しました。

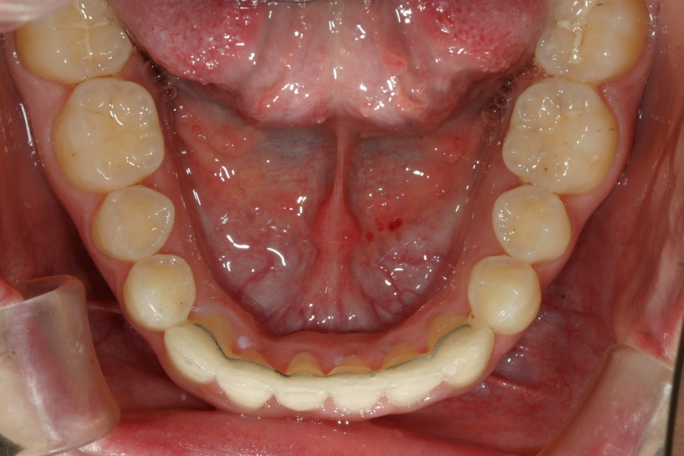
下顎も綺麗に改善してます。

術前と比べると少しオーバージェットが増しました。
当院からのコメント
今回のケースも叢生ではよくあるケースで歯列弓が全体的に狭くなり結局そのしわ寄せが前歯に来て叢生になっています。
いつも通りアーチの拡大とIPR(歯と歯の間を少し削る)によりガタガタを取り又出っ歯を改善します。
この様なケースは当院の症例紹介でも頻繁に出て来るケースで頻度の高い症例です。
これだけガタついている歯がここまで綺麗になれば他人からの第一印象もかなり変わると思います。

