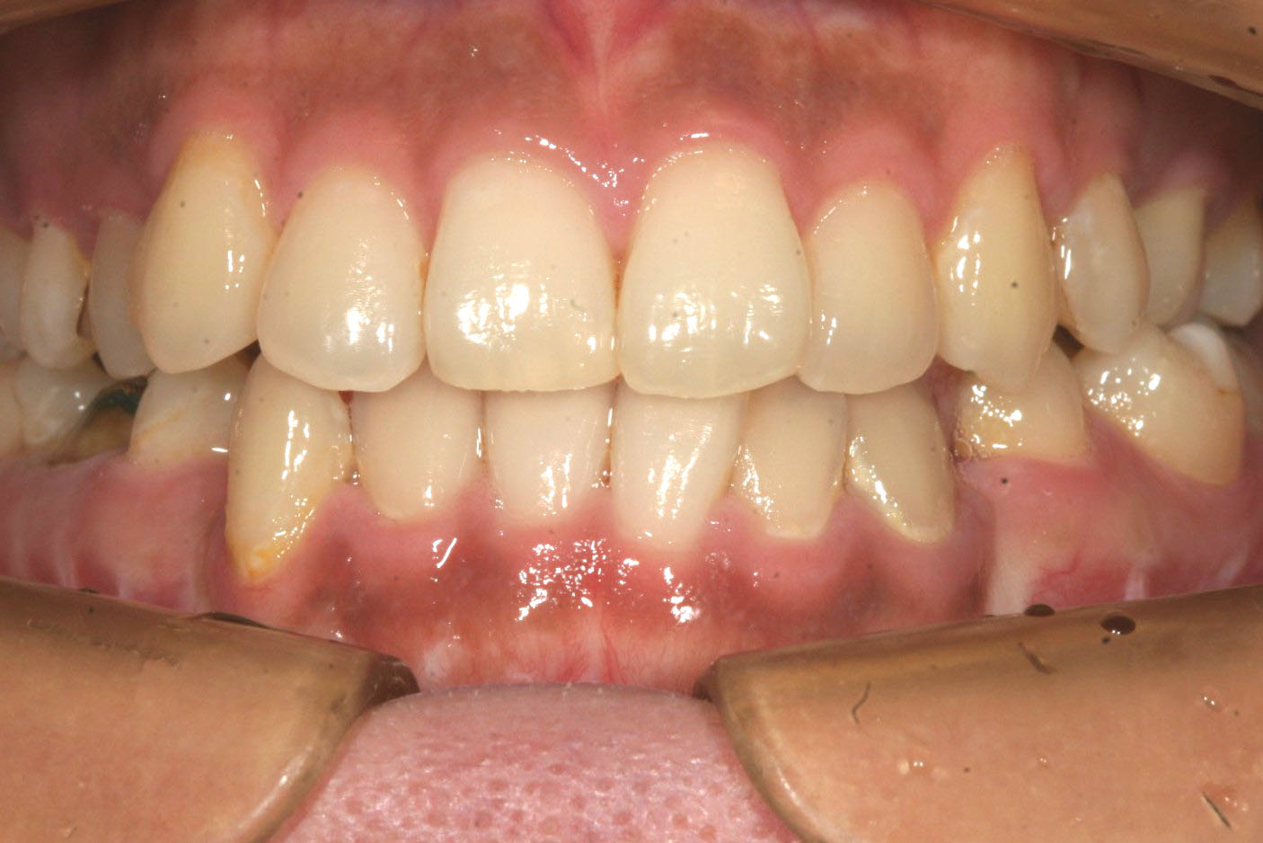
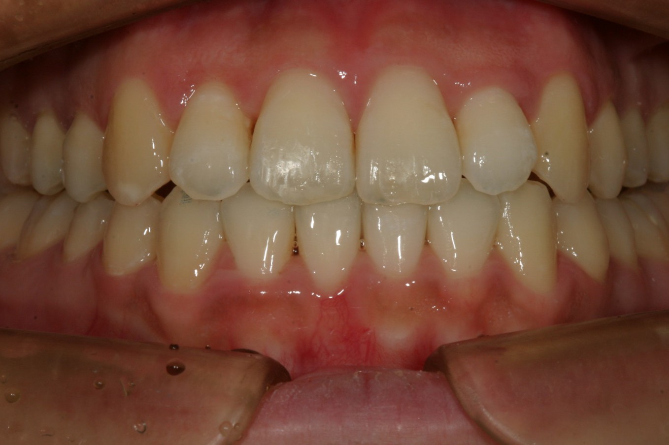
カテゴリー: でこぼこの歯・叢生(そうせい)の症例(非抜歯)
翼状捻転 ねじれ でっぱ インビザライン 加速矯正装置 時短 真ん中


お悩み
前歯の翼状捻転を改善して欲しい。
年齢
32歳
性別
女性
治療に用いた装置
インビザライン
治療期間
1年5ヵ月
治療にかかった費用
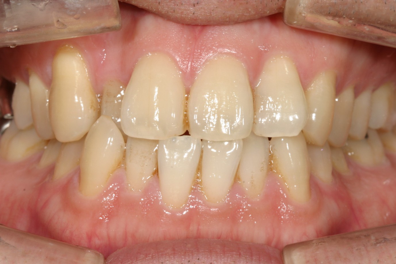
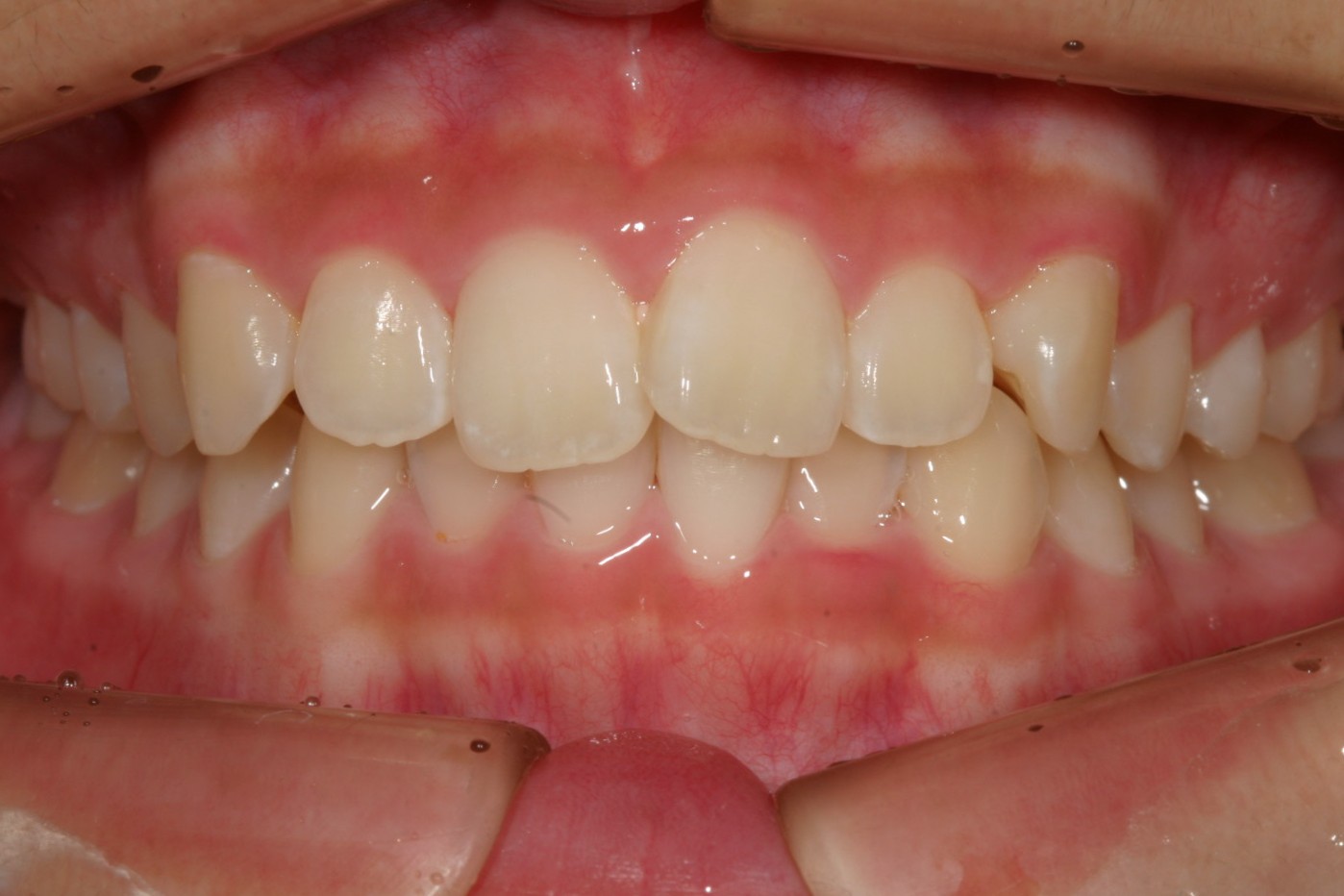
非抜歯 インビザライン 歯並び尖ってる でっぱ がちゃ 叢生


お悩み
上下前歯がガタガタなので綺麗にしたい。
年齢
28歳
性別
女性
治療に用いた装置
インビザライン
治療期間
1年10か月
治療にかかった費用
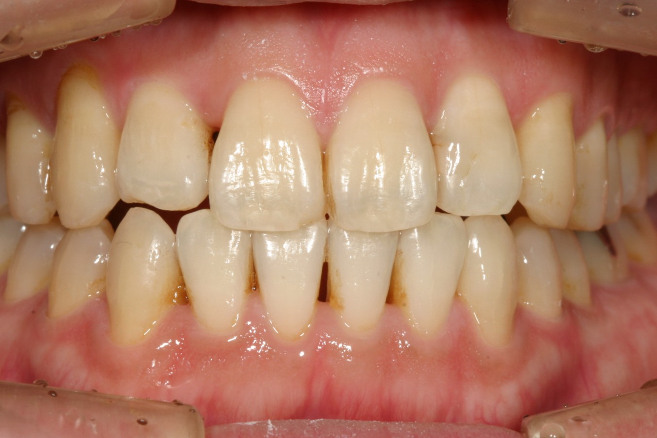
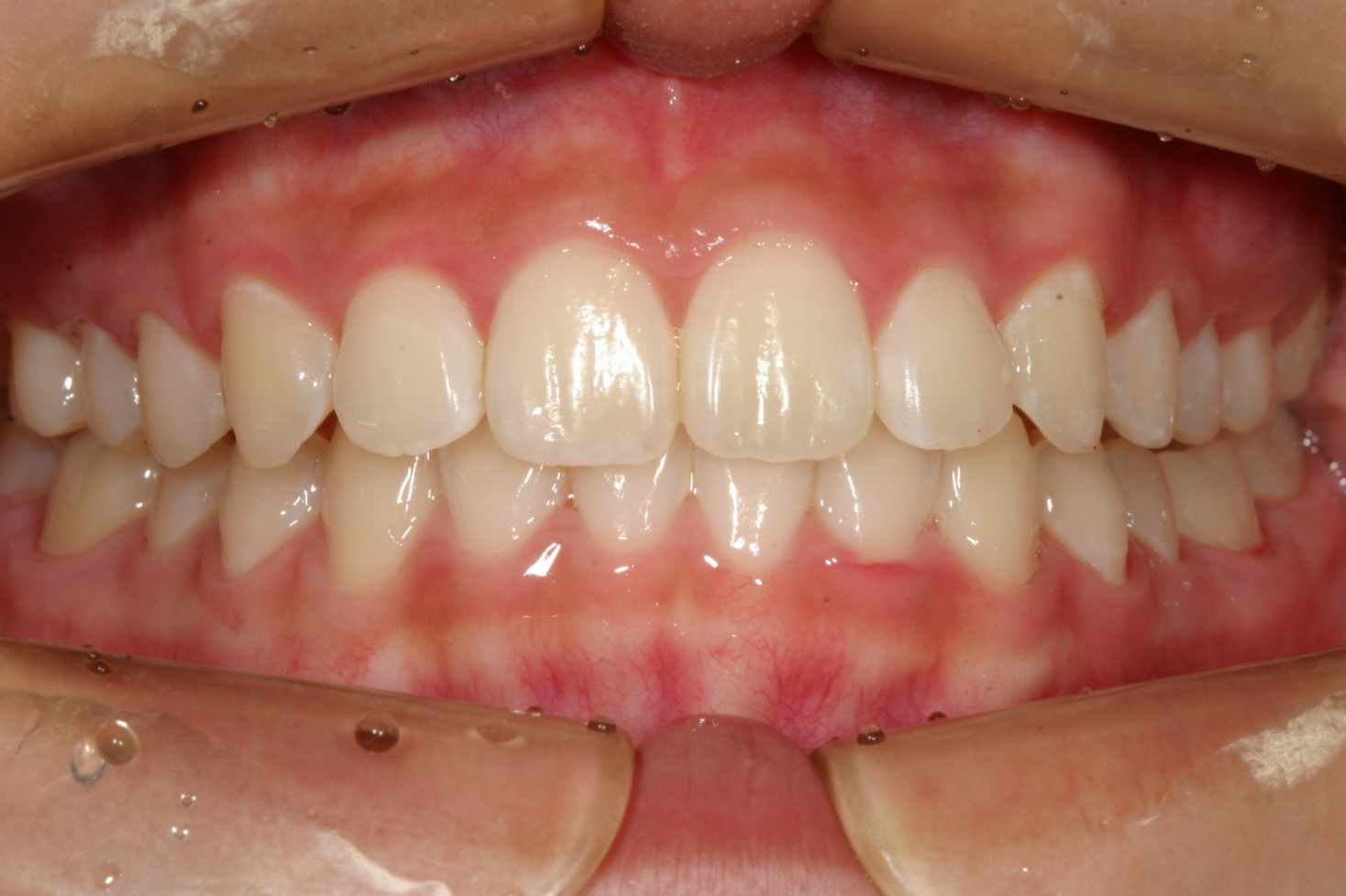
後戻り インビザライン 小臼歯抜歯矯正後 再治療 叢生


お悩み
上下とも小臼歯抜歯矯正治療後の後戻りを何とかしたい。
年齢
26歳
性別
女性
治療に用いた装置
インビザライン
治療期間
1年2ヵ月
治療にかかった費用
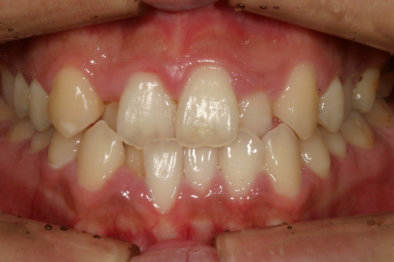
前歯 ガタガタ 犬歯 飛び出し 叢生 インビザライン アーチ狭い


お悩み
2番目の前歯がへこみ前歯がガタガタしてる。
年齢
26歳
性別
女性
治療に用いた装置
インビザライン
治療期間
1年8か月
治療にかかった費用
前歯 傾斜 リンガルアーチ インビザライン でっぱ 叢生


お悩み
前歯のねじれと出っ歯を治したい。
年齢
29歳
性別
女性
治療に用いた装置
インビザライン+リンガルアーチ
治療期間
1年11ヵ月
治療にかかった費用











