

お悩み
上下とも小臼歯抜歯矯正治療後の後戻りを何とかしたい。
年齢
26歳
性別
女性
治療に用いた装置
インビザライン
治療期間
1年2ヵ月
治療にかかった費用
治療詳細

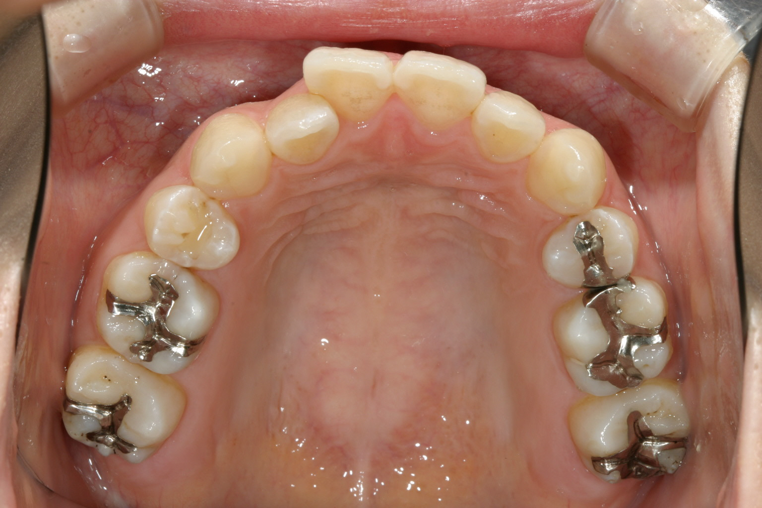
前歯の一部が内方に入りガタガタがでています。

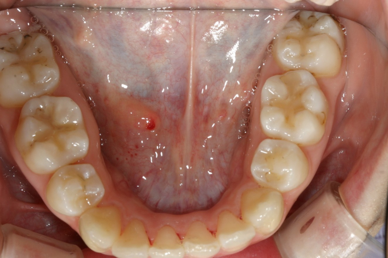
下顎はさほど戻っていませんね!

側面観は前歯が少しガタガタしている関係上出っ張って見えます。

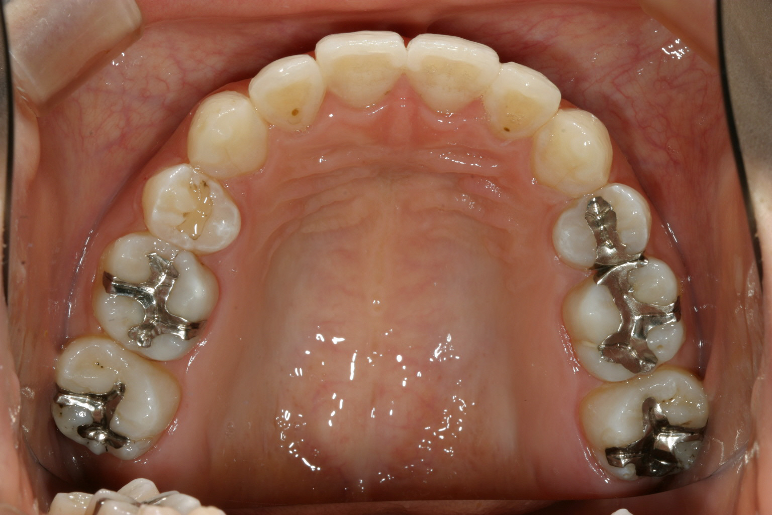
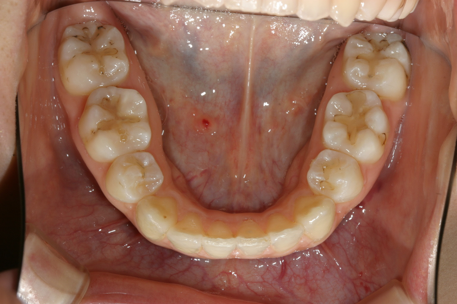
短期間で綺麗に改善しました。

下顎もアーチを少し広げて綺麗になっています。

出っ歯感も綺麗になっています。
当院からのコメント
今回のケースは他院で上下左右小臼歯抜歯後の再治療でお越しになりました。
少しアーチが狭くなってきていた関係で前歯にガタつきが出て来ていましたので、アーチを僅か拡大する事により歯の入るスペースを作り
改善しました。
この様な後戻りケースや僅かの叢生ケースにはインビザラインが最適の装置です。
現在なら当院でこの様なケースは加速矯正装置費用込みで税別70万円で治療行っております。
加速矯正装置を使用すればこの様なケースは4~5ヵ月で治療行う事が出来ます。
よろしければ一度相談にお越しください。

