かみ合わせが深い(オーバーバイト)すきっ歯 前歯に隙間のある症例でこぼこの歯・叢生(そうせい)の症例(非抜歯)ガチャガチャ歯、叢生 (抜歯症例)クワッドヘリックスセラミック矯正マルチループワイヤー矯正リンガルアーチ下前歯が乱れている症例入れ歯による噛み合わせ改善八重歯(やえば)の症例八重歯(やえば)の症例(抜歯症例)出っ歯(上顎前突)の症例 抜歯出っ歯(上顎前突)の症例(非抜歯)前歯の捻転(ねじれ)の症例(非抜歯)前歯部骨折の為ワイヤー固定受け口(下顎前突)の症例(非抜歯)受け口(下顎前突)抜歯症例咬み合わせ異常による顎関節症外科骨切除処置後の矯正治療小児矯正臼歯部のクロスバイト改善のエラスティック過蓋咬合改善の為の自家製バイトアップジグ使用開咬顎偏顎関節症マルチループワイヤー
症例紹介
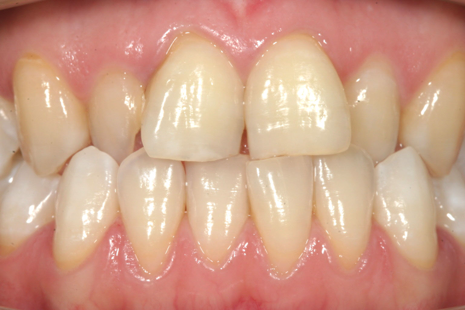
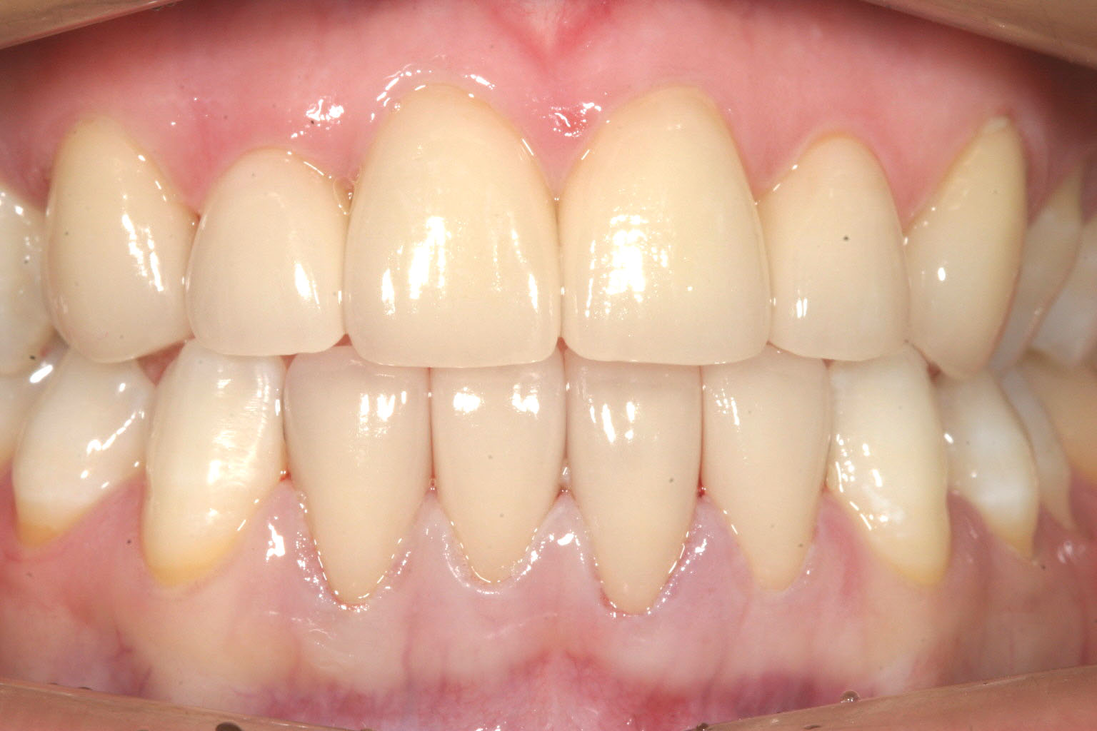
ディープバイト オーバーバイト インビザライン 顎関節症 カクカク ジャラジャラ


お悩み
下の前歯が見えず下の歯並びがガタガタ。
年齢
29歳
性別
男性
治療に用いた装置
インビザライン
治療期間
1年10か月
治療にかかった費用
¥682500
セラミック矯正 前歯 ガタつき すきっ歯 短期間


お悩み
結婚式を控えている為、前歯のガタつきを矯正の様な時間んのかかる方法じゃなくて2週間以内に治したい。
年齢
25歳
性別
女性
治療に用いた装置
エンジェルクラウン 上6本 下4本
治療期間
2週間
治療にかかった費用
50万円(税別)
小児矯正 受け口 うけ口 しゃくれ マルチループワイヤー 短期間


お悩み
子供の受け口を短期間で治療したい。
年齢
10歳
性別
女性
治療に用いた装置
マルチループワイヤー
治療期間
4ヵ月
治療にかかった費用
歯列 形状 狭い 拡大 インビザライン クワッドヘリックス ガタガタ ガチャ


お悩み
前歯が飛び出し又ガタガタが気になる。
年齢
16歳
性別
女性
治療に用いた装置
インビザライン+クワッドヘリックス
治療期間
1年4ヵ月
治療にかかった費用
インビザライン 非抜歯 出っ歯 治療 抜かない


お悩み
出っ歯の為下唇に上の前歯の型がつくのと見た目が悪い。
年齢
20歳
性別
男性
治療に用いた装置
インビザライン
治療期間
2年6ヵ月
治療にかかった費用











