すきっ歯 前歯に隙間のある症例 大阪で矯正歯科40年 橋本矯正歯科
\お問い合わせはお気軽に/
診療時間9:00~15:00(土曜は17:00)
休診日木曜・日曜・祝日

カテゴリー: すきっ歯 前歯に隙間のある症例

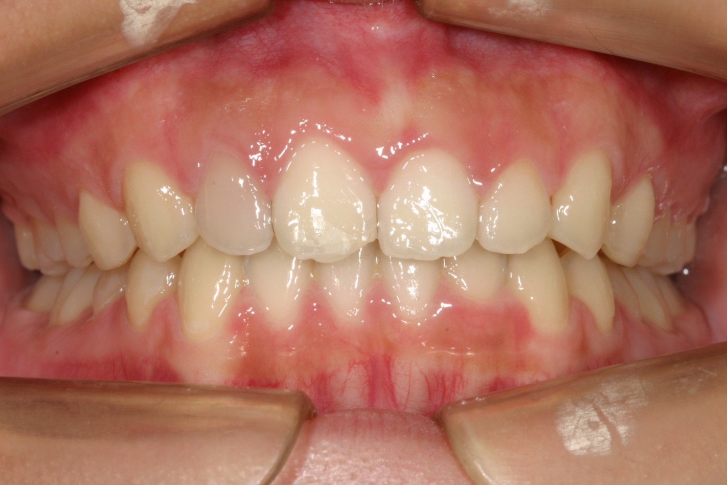
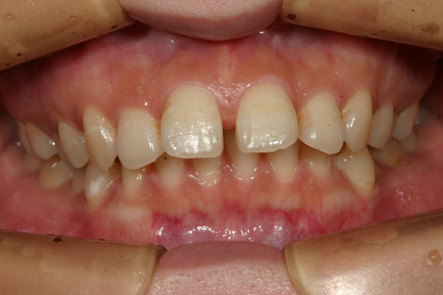
すきっ歯 出っ歯 でっぱ 時短 インビザライン    

お悩み
前歯がすきっぱで全体的に出ている。
年齢
32歳
性別
女性
治療に用いた装置
インビザライン
治療期間
11ヵ月
治療にかかった費用
詳細はこちら

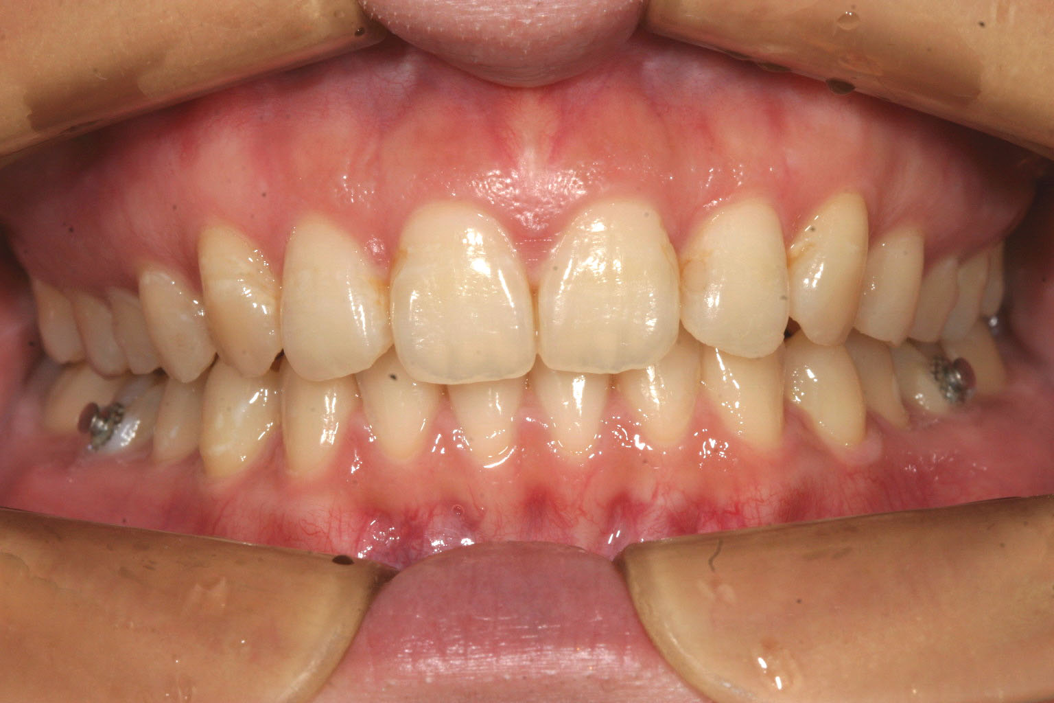
前歯 出っ歯 すきっ歯 非抜歯 自家製ジグ 顎関節症 インビザライン 

お悩み
歯が前に出て真ん中がすいているのが気になる。
年齢
26歳
性別
女性
治療に用いた装置
インビザライン+自家製バイトアップジグ
治療期間
1年2ヵ月
治療にかかった費用
詳細はこちら

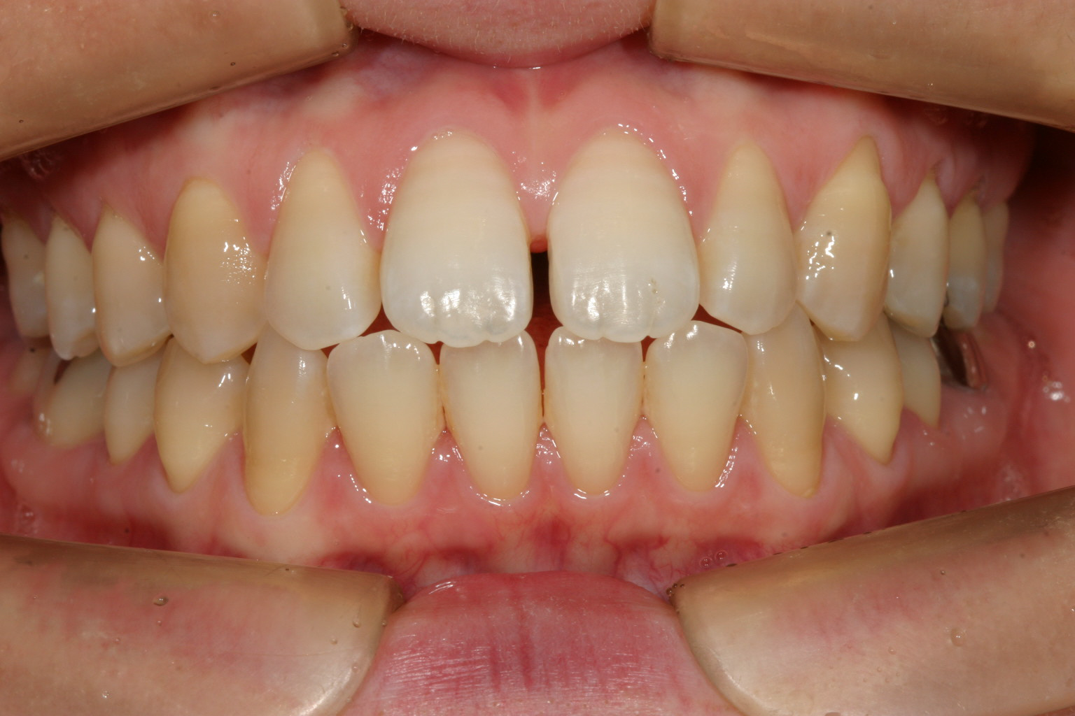
前歯 すきっ歯 part2 すきっぱ 歯の隙間 でっぱ  インビザライン   

お悩み
全体的に歯が出て真ん中が隙いている。
年齢
18歳
性別
女性
治療に用いた装置
インビザライン
治療期間
1年4カ月
治療にかかった費用
詳細はこちら

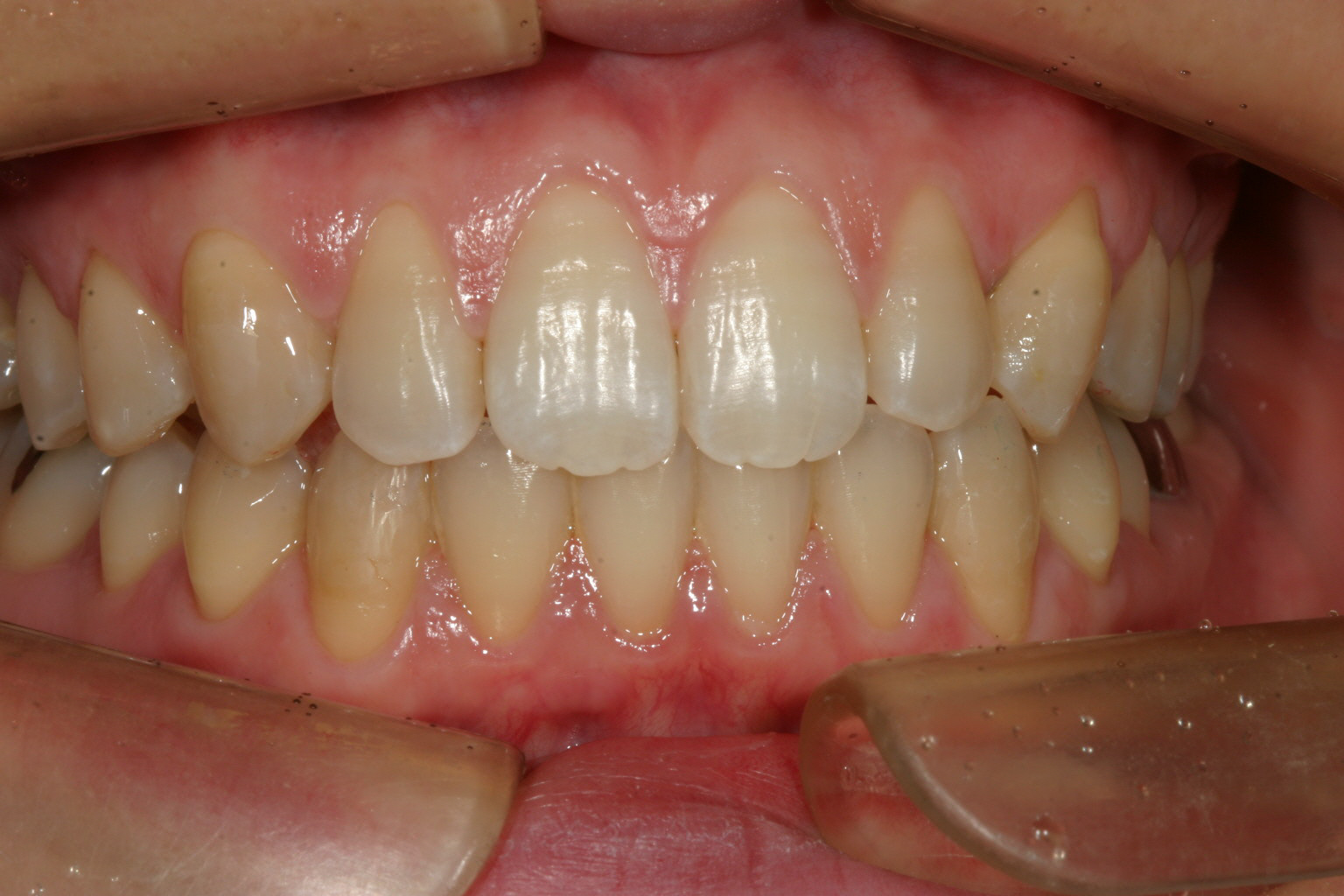
前歯 すきっ歯 歯並び(歯と歯の間の隙間)  インビザライン  

お悩み
すきっ歯が気になる。
年齢
26歳
性別
女性
治療に用いた装置
インビザライン
治療期間
1年8か月
治療にかかった費用
詳細はこちら
電話メールアクセス