

お悩み
前歯のガタつきが気になる。
年齢
37歳
性別
女性
治療に用いた装置
インビザライン
治療期間
1年7ヵ月
治療にかかった費用
治療詳細

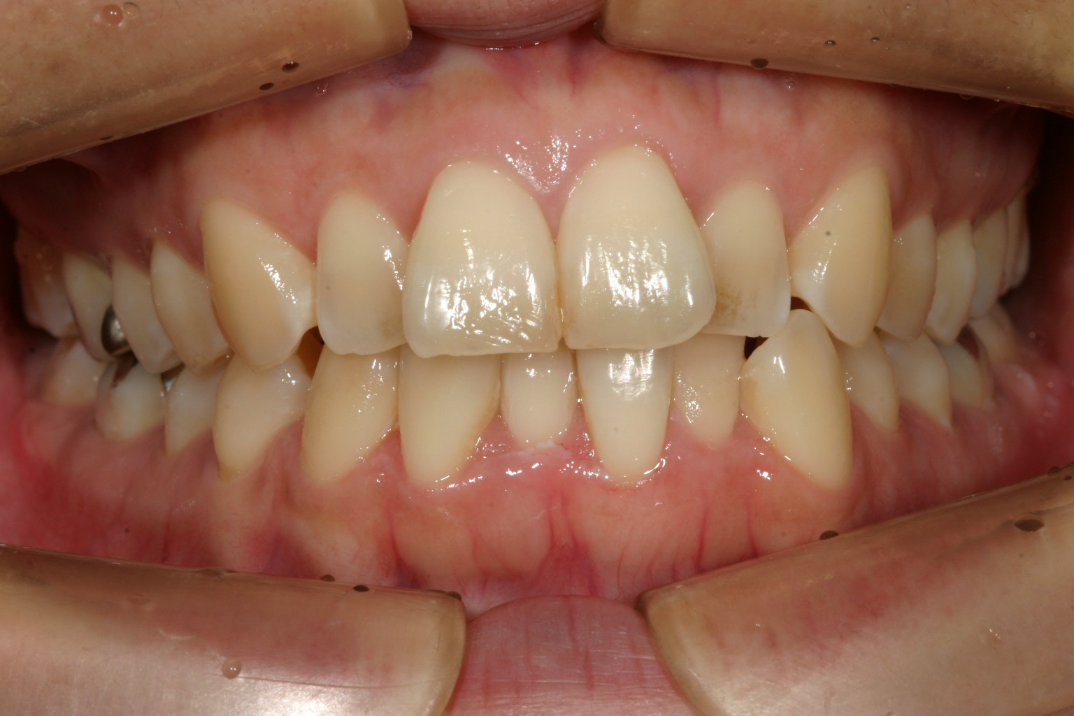
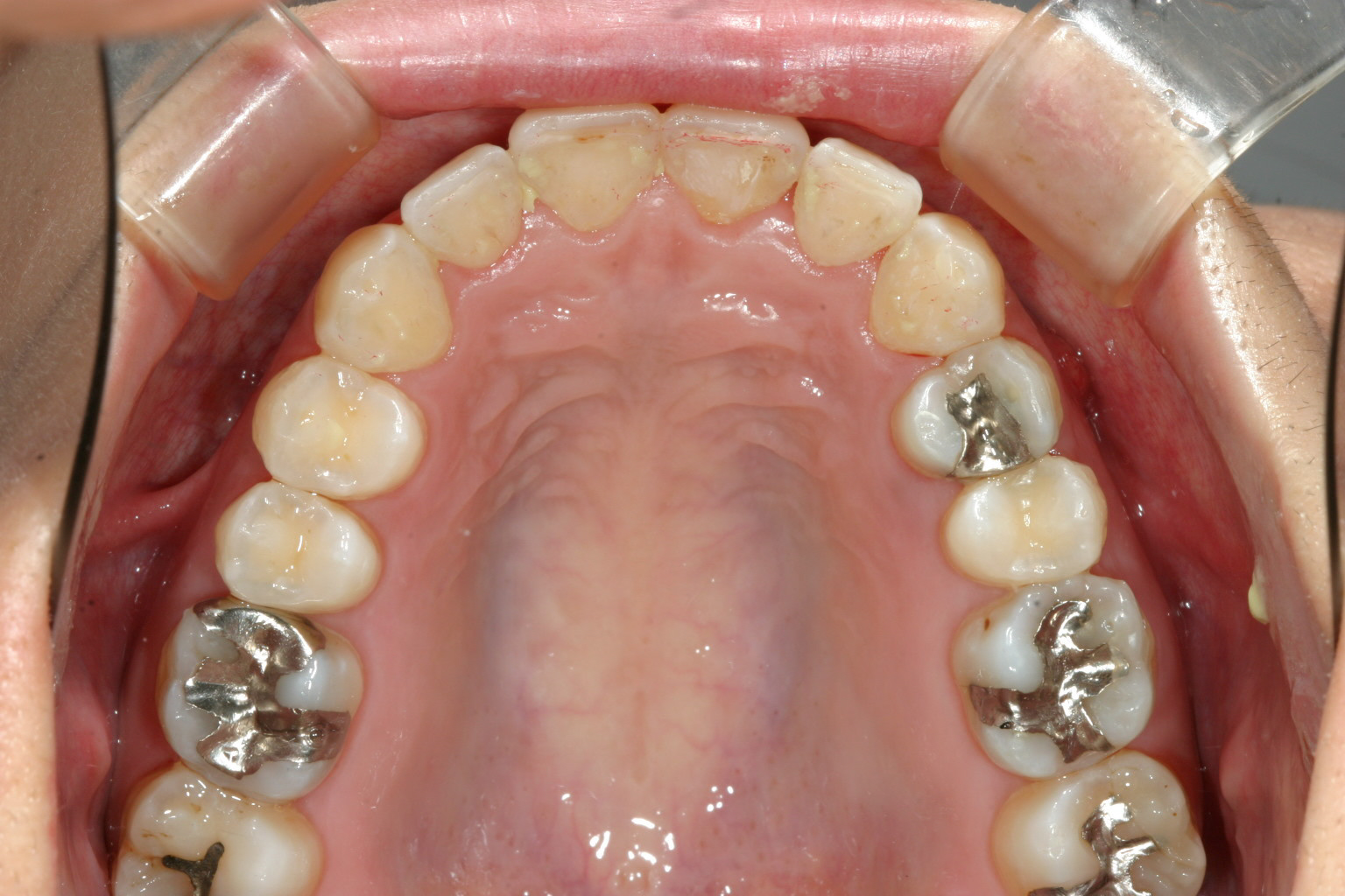
アーチが狭窄しその為前歯が突出しています。

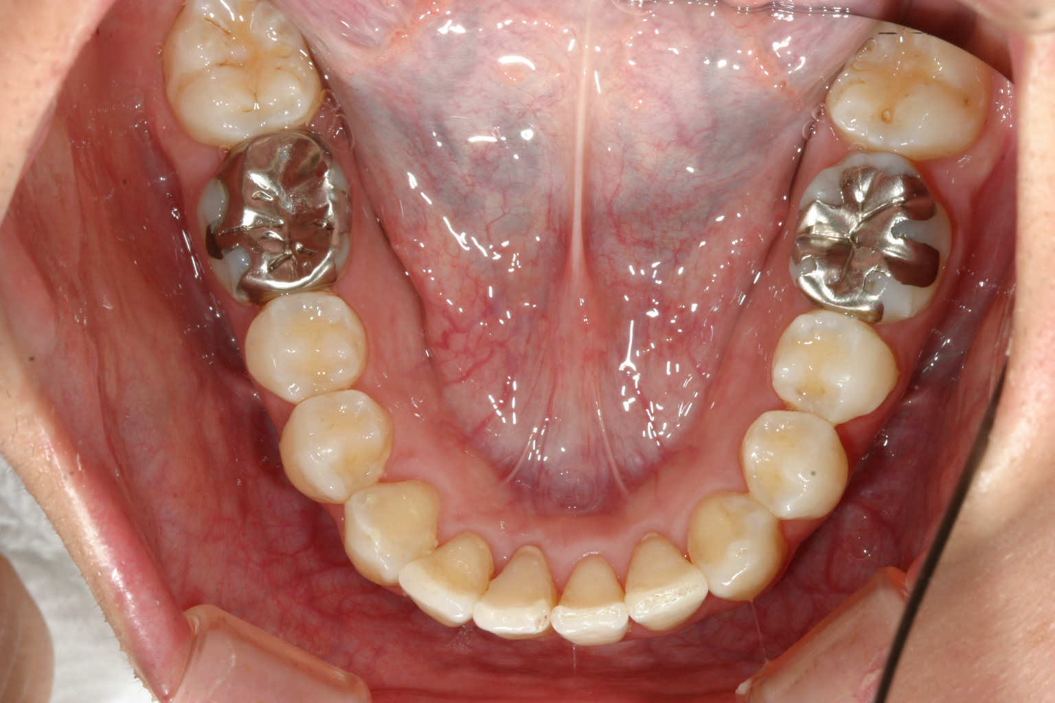
下顎も上顎同様アーチが狭いです。

少し前歯が出ているのが分かります。

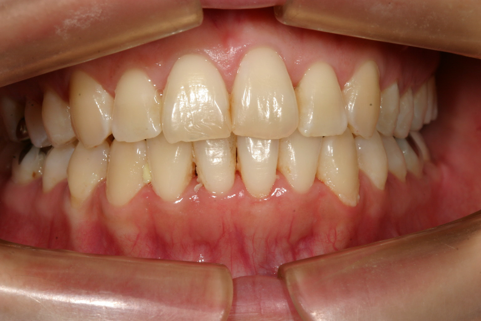
アーチを広げて綺麗に改善しました。

下顎も綺麗に並んでいます。

出ていた前歯も改善し出っ歯観は無くなりました。
当院からのコメント
今回の症例はよくあるパターンでアーチが狭い為に起こる叢生です。
インビザラインでは得意の症例でアーチ拡大とIPR(歯と歯の隙間を削る)によりこの様に短期間で綺麗に改善する事が出来ます。
ガタガタした状態のままですと見た目はもとより、物がつまり易く、虫歯や歯周病の原因となり良いことは有りません。
この様に短期間で、また現在では加速矯正装置を使用すると半年程で改善出来ます。
皆様もいかがでしょうか?

