

お悩み
前歯が飛び出し又ガタガタが気になる。
年齢
16歳
性別
女性
治療に用いた装置
インビザライン+クワッドヘリックス
治療期間
1年4ヵ月
治療にかかった費用
治療詳細

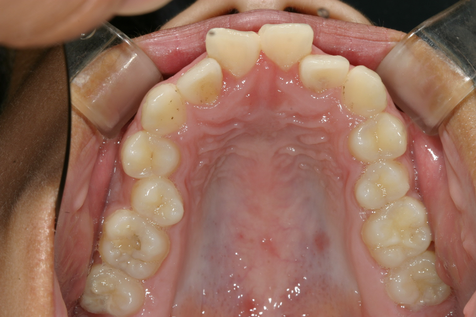
かなりアーチが変形しその為犬歯間が狭まり前歯が飛び出しています。

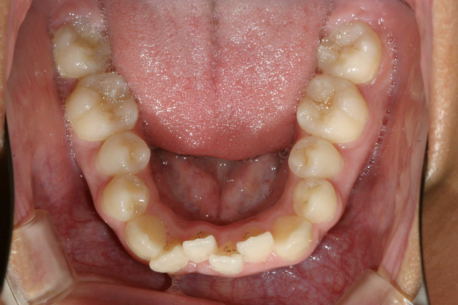
臼歯部が内方に倒れアーチが狭まり前歯がガタついています。

オーバージェットも目立ちます。

この症例はかなり古い症例で今ではこの様な装置は使用しませんが以前はインビザライン治療に入る前にこの様な装置でアーチを広げてからインビザライン処置に入ってました。

下顎も上顎同様先ずはアーチ拡大からです。

クワッドヘリックスによる拡大は約8か月行いました。

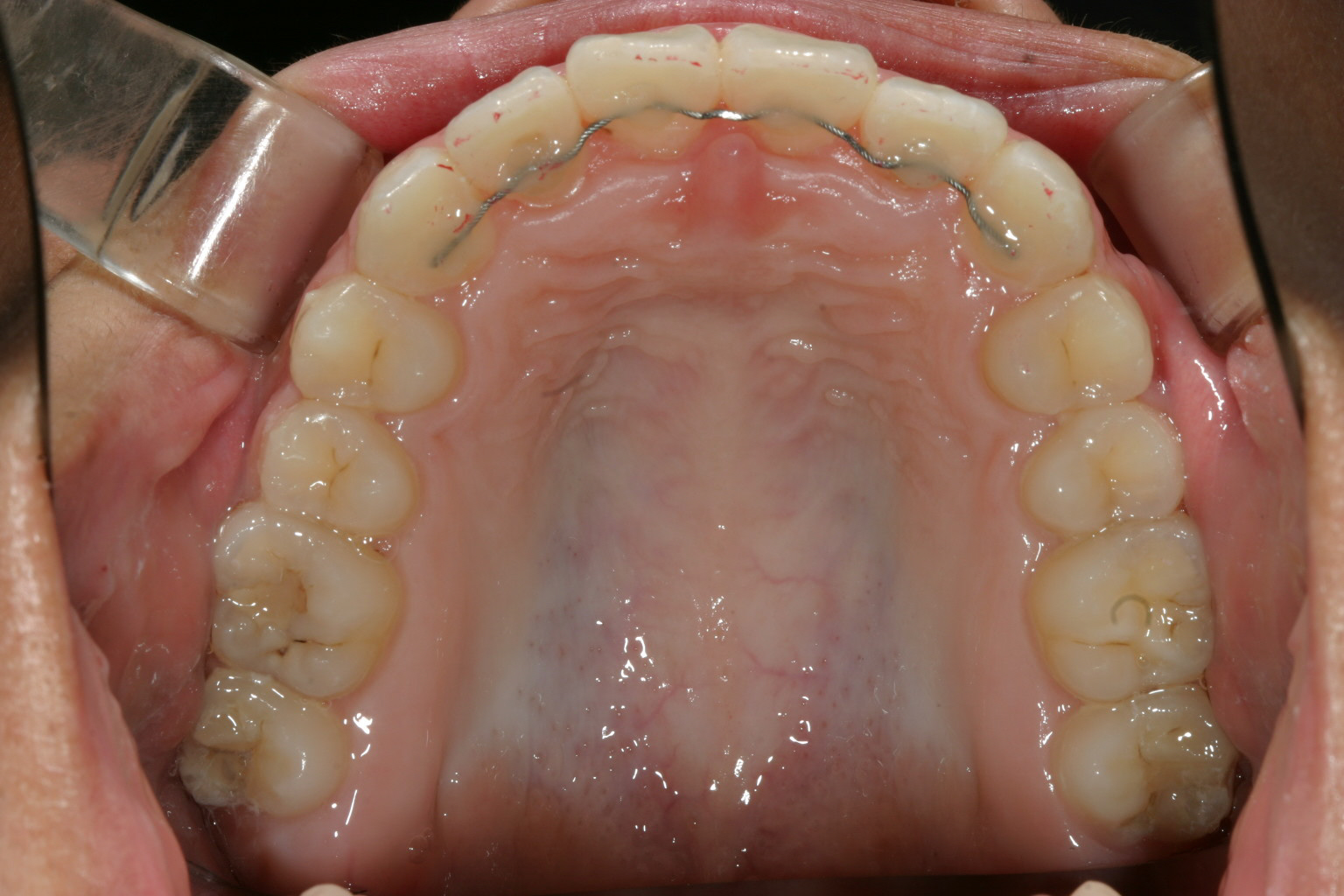
こちらが8か月後です。 ここからインビザラインの為の型を取ります。

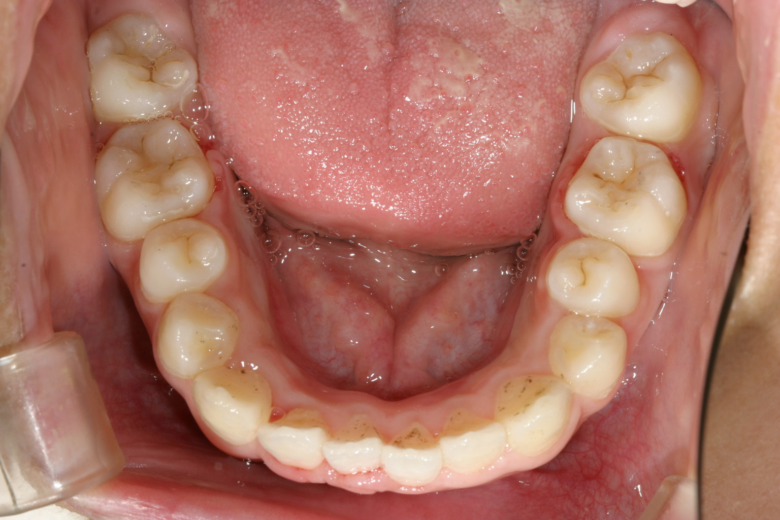
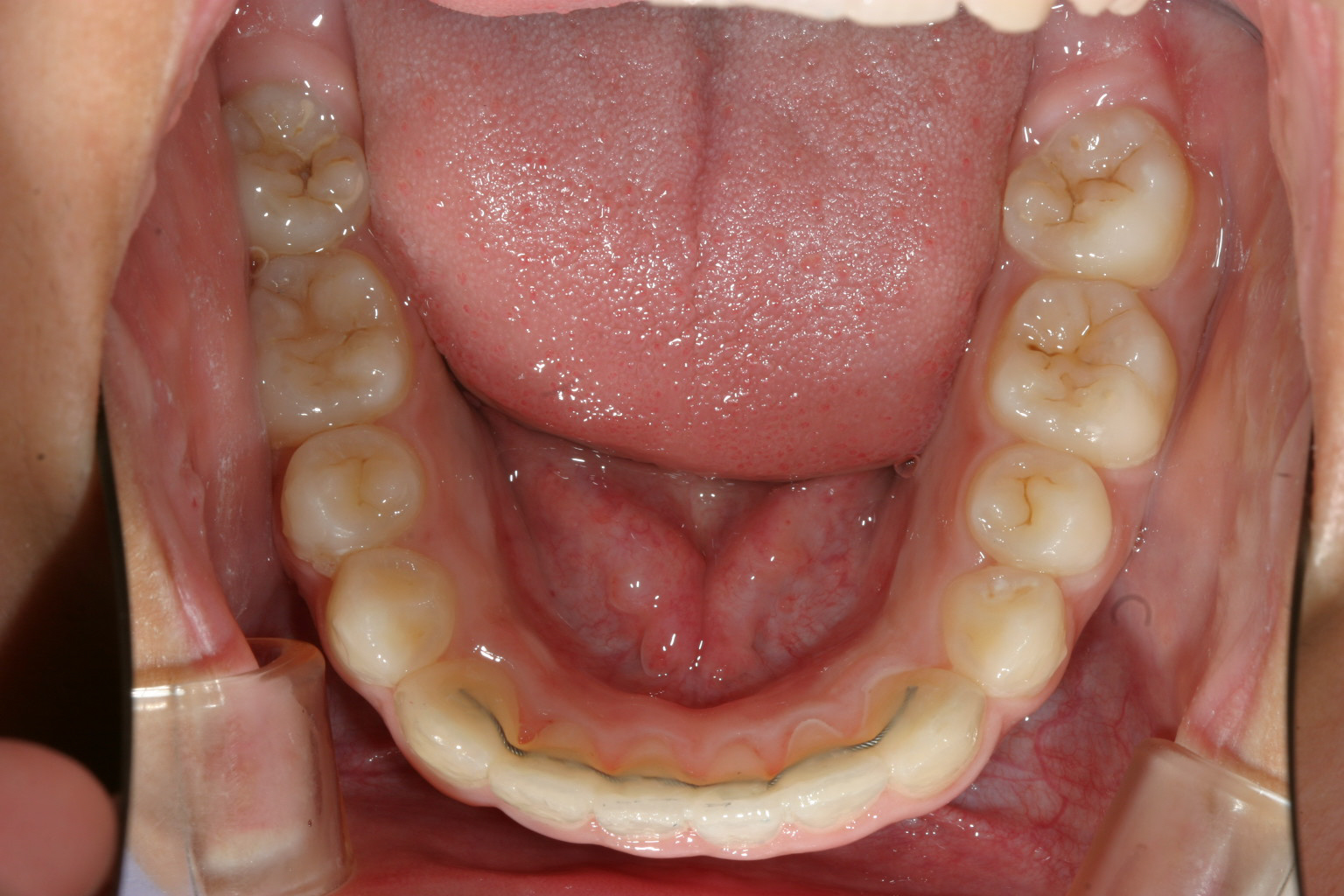
こちらも8か月後です。 もう既にかなり綺麗に整列しています。 ここからインビザラインの為の型を取ります。

まだまだオーバージェットは改善していません。

インビザラインを8か月行いました。 全体的に綺麗に整列しています。

下顎もインビザライン8か月後です。

オーバージェットも綺麗に改善しています。
当院からのコメント
こちらのケースはインビザラインを当院で取り扱って初期のケースな為この様なアーチ形状の乱れまでマウスピースで改善出来るか不安が有り、先ずアーチ形状拡大してからインビザライン治療を行った症例です。
今ではこの様なワイヤー(クワッドヘリックス)は使わずいきなりインビザラインを使用しますが、、、
17年もインビザライン取り扱ってますとインビザラインも私の技量も進化しました。笑

