

お悩み
子供の受け口を短期間で治療したい。
年齢
10歳
性別
女性
治療に用いた装置
マルチループワイヤー
治療期間
4ヵ月
治療にかかった費用
治療詳細

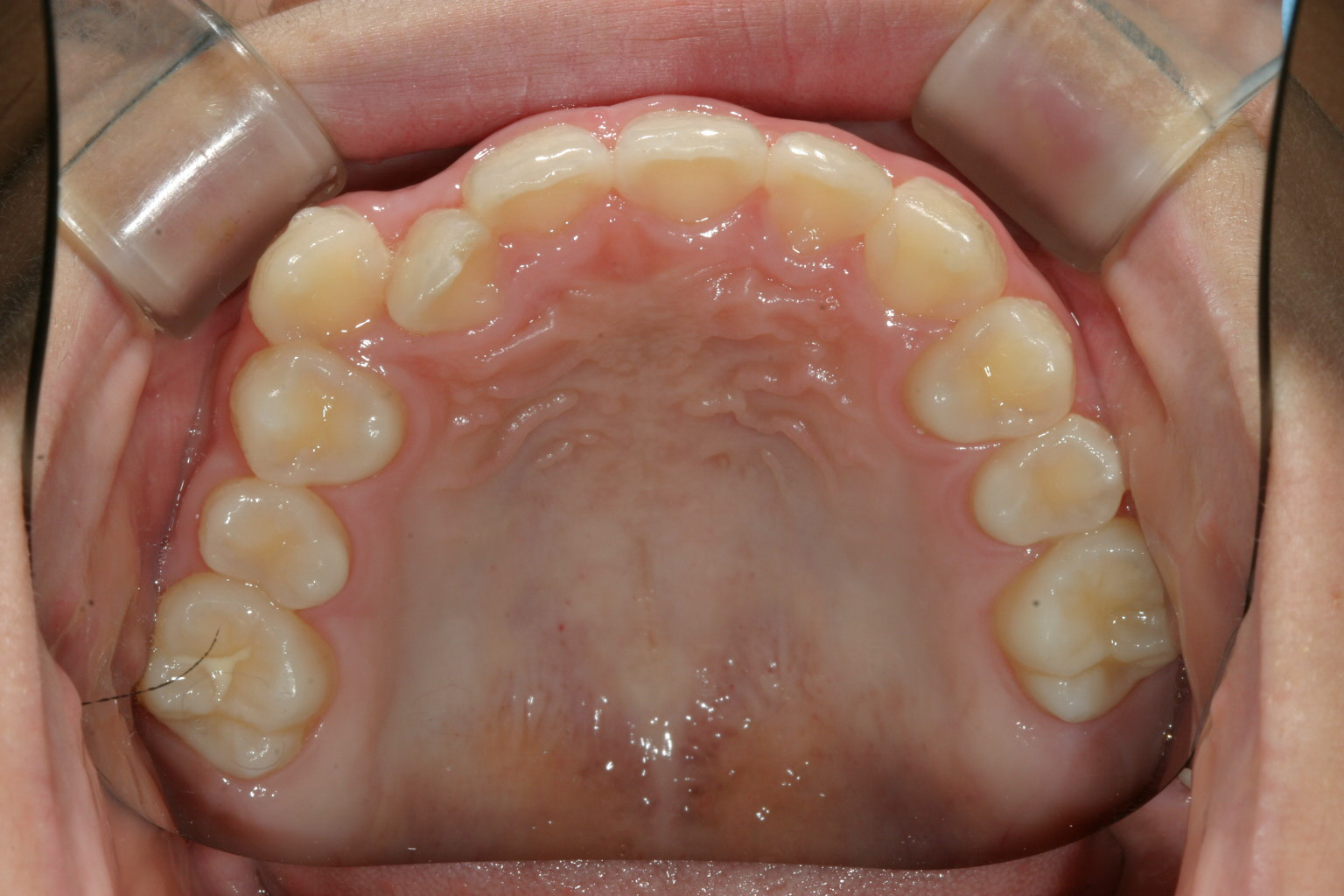
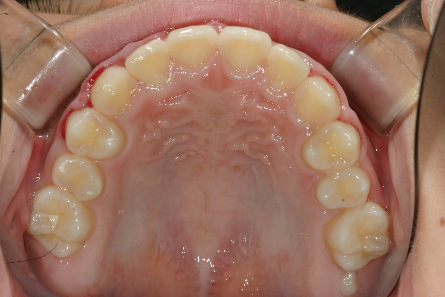
前歯部が内方に入ってます。

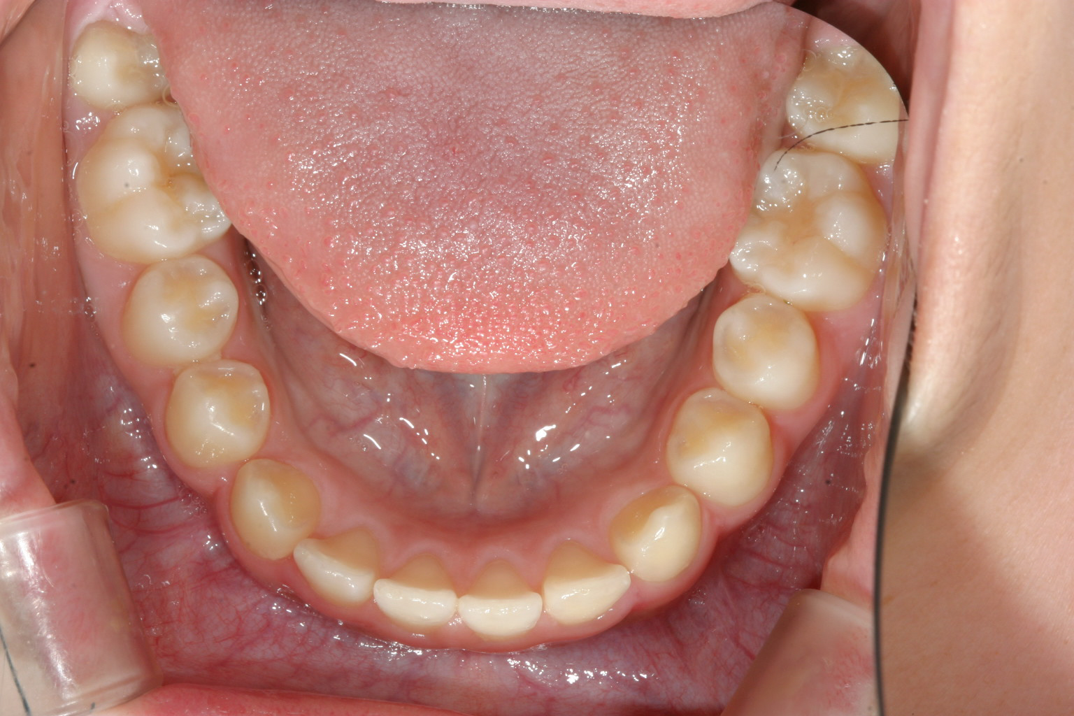
下顎は綺麗なアーチですね~

うけ口になってます。

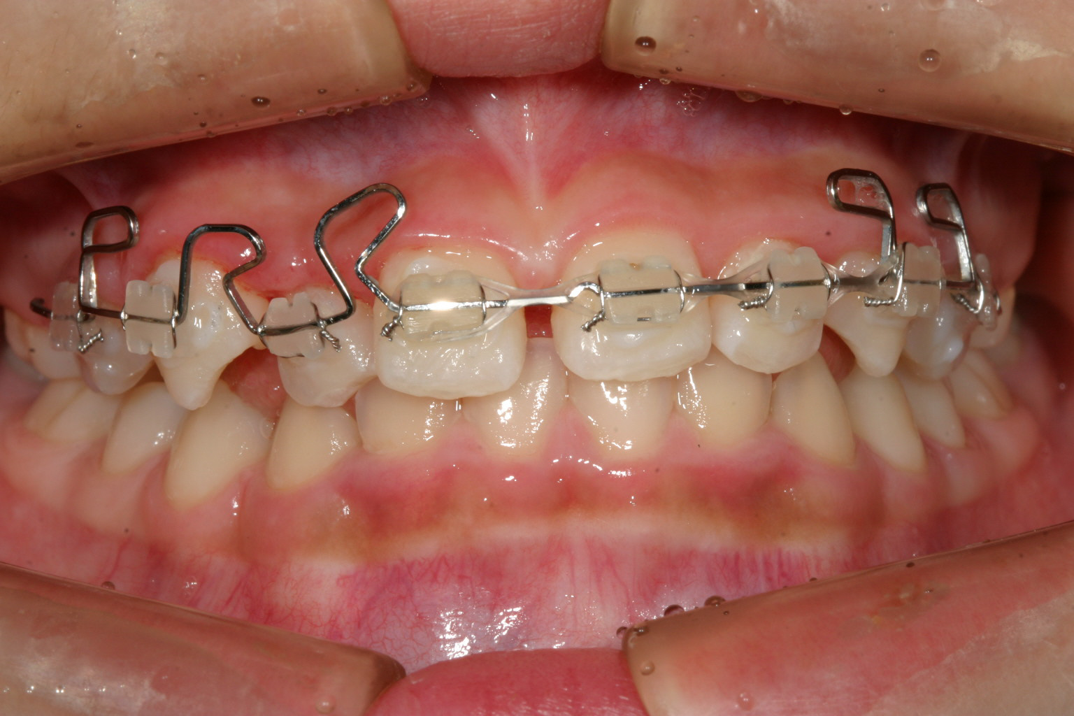
ワイヤー張って2ヵ月です。

横から見るとこんな感じです。 2か月後です。

2か月後の正面観です。

初診より4ヵ月で終了です。

初診より僅か4カ月で受け口終了しました。
当院からのコメント
まだ10歳の子供さんの為顎の骨も柔らかくマルチループワイヤーで短期間で治療する方法を試みました。
私は子供さんの場合口腔清掃に不安点があるため、ワイヤーを使っての長期の治療は避けるべきだと考えています。
又、通常小児矯正は永久歯が全部萌える迄かなりの期間を要する為、あまり手を付けないのですが、放っておくと下顎が前に出てる為上顎骨の成長を阻害する可能性が有るという意味合いで下顎による上顎骨のブロックされてるのを開放してあげる意味でも必要だと判断いたしました。
今回の場合はマルチループワイヤーを使用することにより短期間で終了致しました結果お母さまにも通院回数も少なくて喜ばれました。

