

お悩み
8歳の子に舌癖が有り前歯が閉じない。
年齢
8歳
性別
女性
治療に用いた装置
ワイヤー
治療期間
2ヵ月
治療にかかった費用
治療詳細

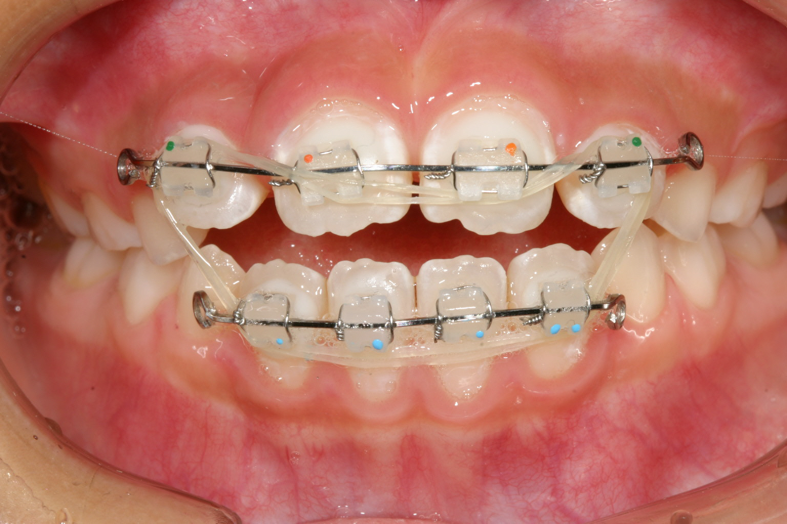
舌癖がある場合下を切歯の間に入れる為この様に前歯があいたままになります。 アップダウンエラスティック使用してます。

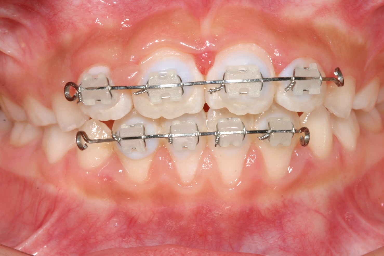
僅か2ヵ月でこの様に改善しました。
当院からのコメント
今回のケースは舌癖で悩んでおられた患者様に僅か2ヵ月でワイヤーにて改善しました。
この様な場合アップダウンエラスティック使用して矯正的に閉じてやることでもう舌が出る事が出来ない状態を作ってやれば癖は無くなります。
この様なケースでお悩みの患者様が居られましたらまずは相談にお越しください。

