カテゴリー: クワッドヘリックス

犬歯 八重歯 飛び出し インビザライン 難症例 小臼歯抜歯 クワッドヘリックス アップダウンエラスティック ガタガタ ガチャ    

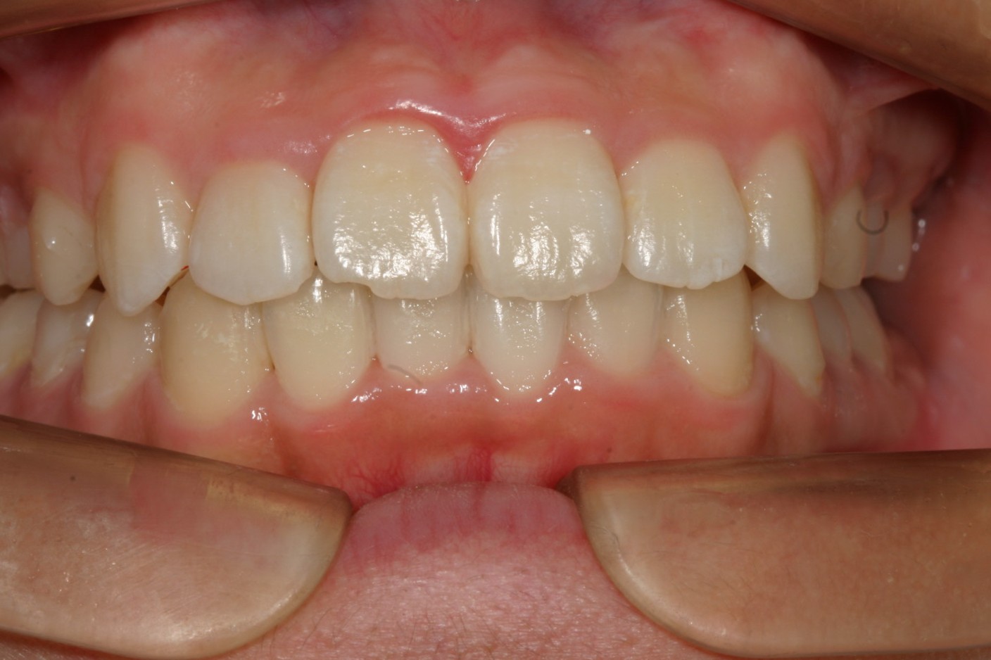
お悩み
犬歯が飛び出しガタガタし見た目が悪い。
年齢
35歳
性別
女性
治療に用いた装置
インビザライン
治療期間
2年9カ月
治療にかかった費用
詳細はこちら

歯列 形状 狭い 拡大 インビザライン クワッドヘリックス ガタガタ ガチャ   

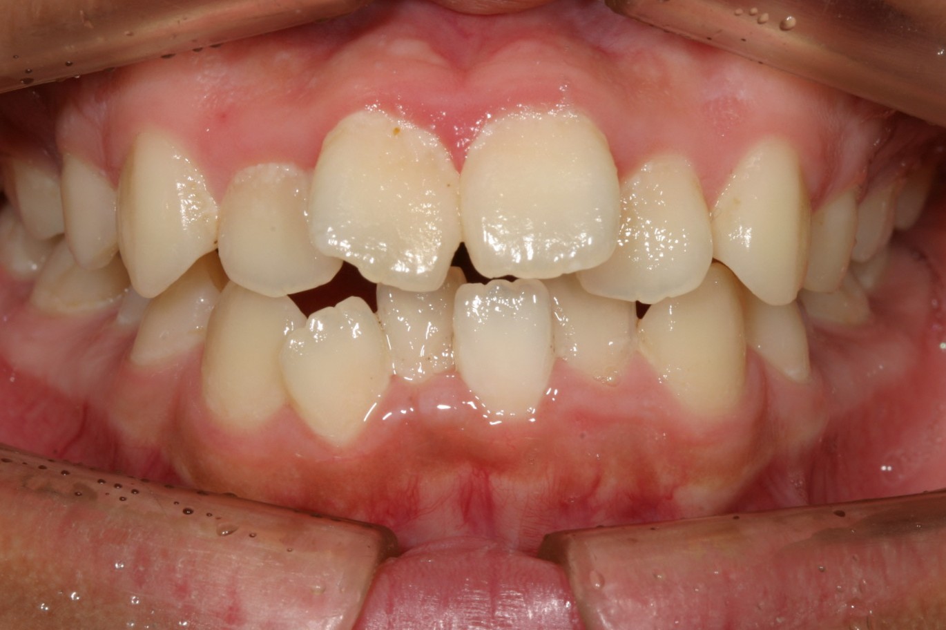
お悩み
前歯が飛び出し又ガタガタが気になる。
年齢
16歳
性別
女性
治療に用いた装置
インビザライン+クワッドヘリックス
治療期間
1年4ヵ月
治療にかかった費用
詳細はこちら

翼状捻転 part1 

お悩み
前歯のガタガタと翼状捻転を改善したい。
年齢
29歳
性別
女性
治療に用いた装置
インビザライン+クワッドヘリックスワイヤー
治療期間
2年8か月
治療にかかった費用
詳細はこちら
電話メールアクセス