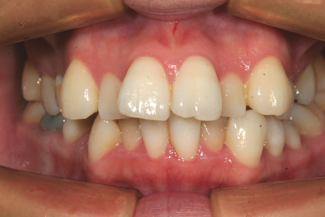
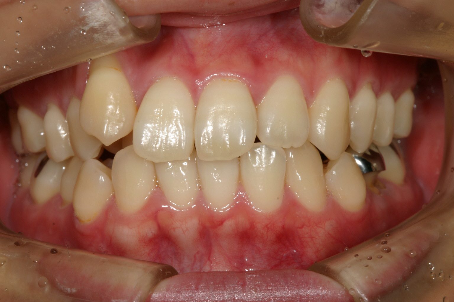
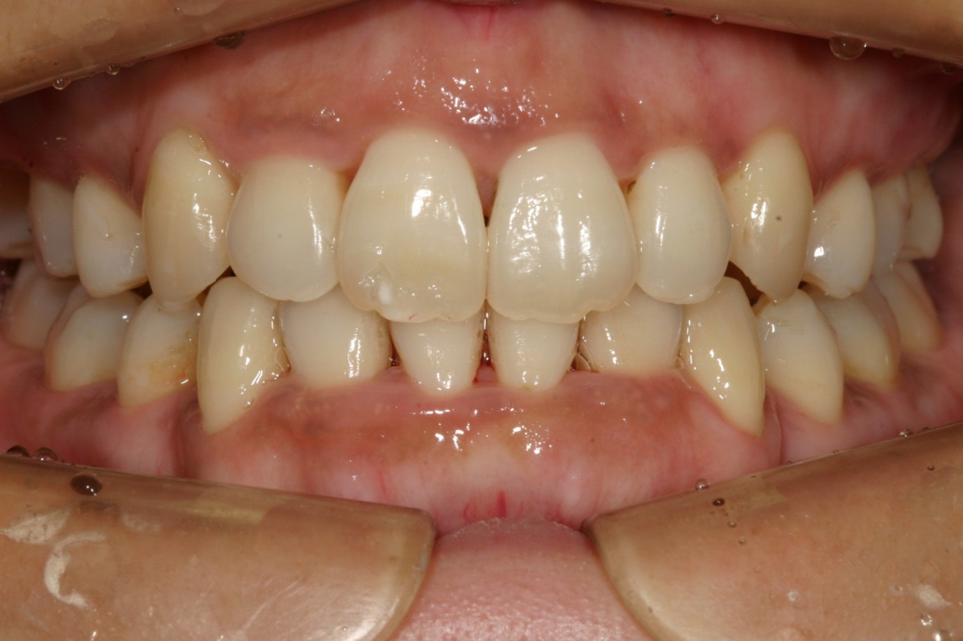
カテゴリー: 八重歯(やえば)の症例(抜歯症例)
前歯 ガチャガチャ 小臼歯抜歯 叢生 オーバージェット 出っ歯


お悩み
犬歯が飛び出てガタガタも激しく見栄えが悪い。
年齢
28歳
性別
女性
治療に用いた装置
インビザライン+加速矯正装置PBM+自家製バイトアップジグ
治療期間
1年4ヵ月
治療にかかった費用
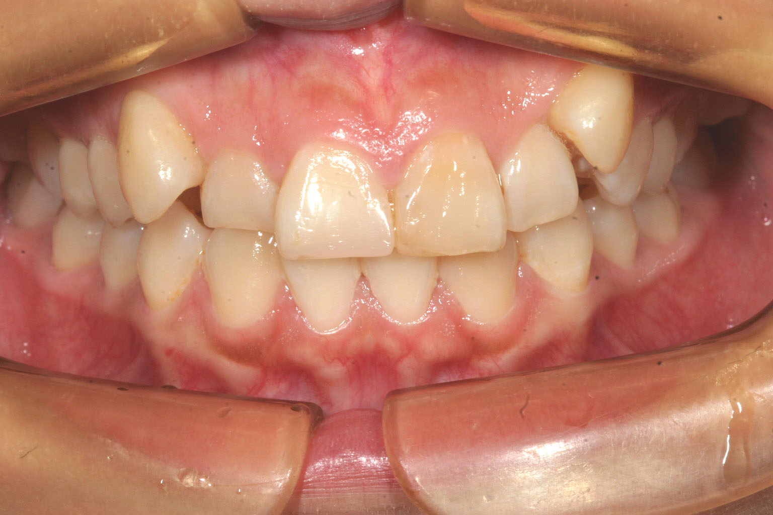
犬歯 八重歯 飛び出し インビザライン 難症例 小臼歯抜歯 クワッドヘリックス アップダウンエラスティック ガタガタ ガチャ


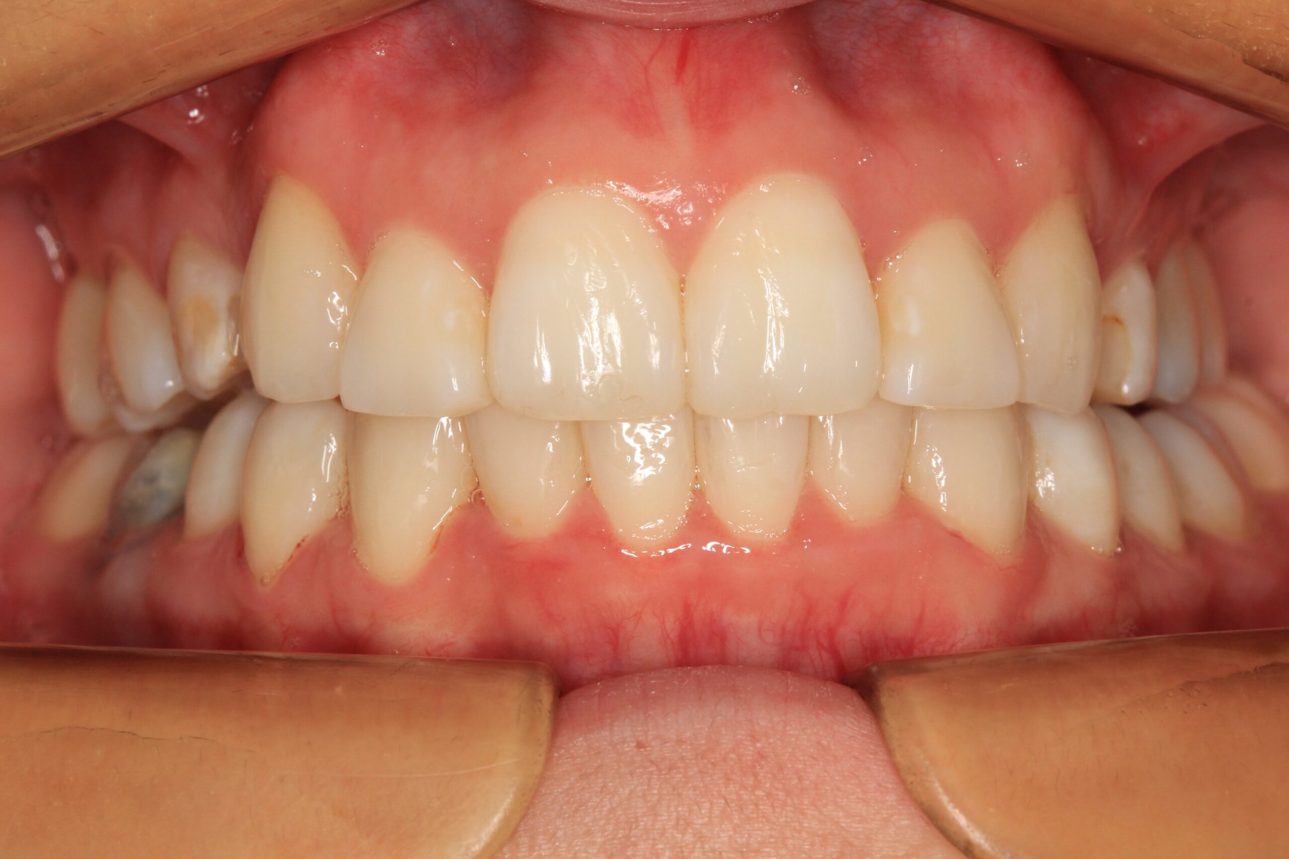
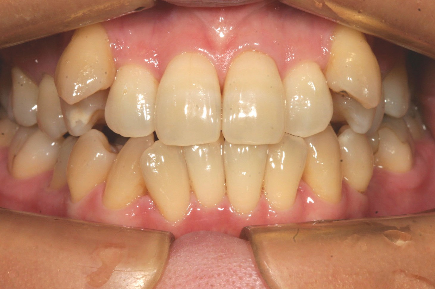
お悩み
犬歯が飛び出しガタガタし見た目が悪い。
年齢
35歳
性別
女性
治療に用いた装置
インビザライン
治療期間
2年9カ月
治療にかかった費用
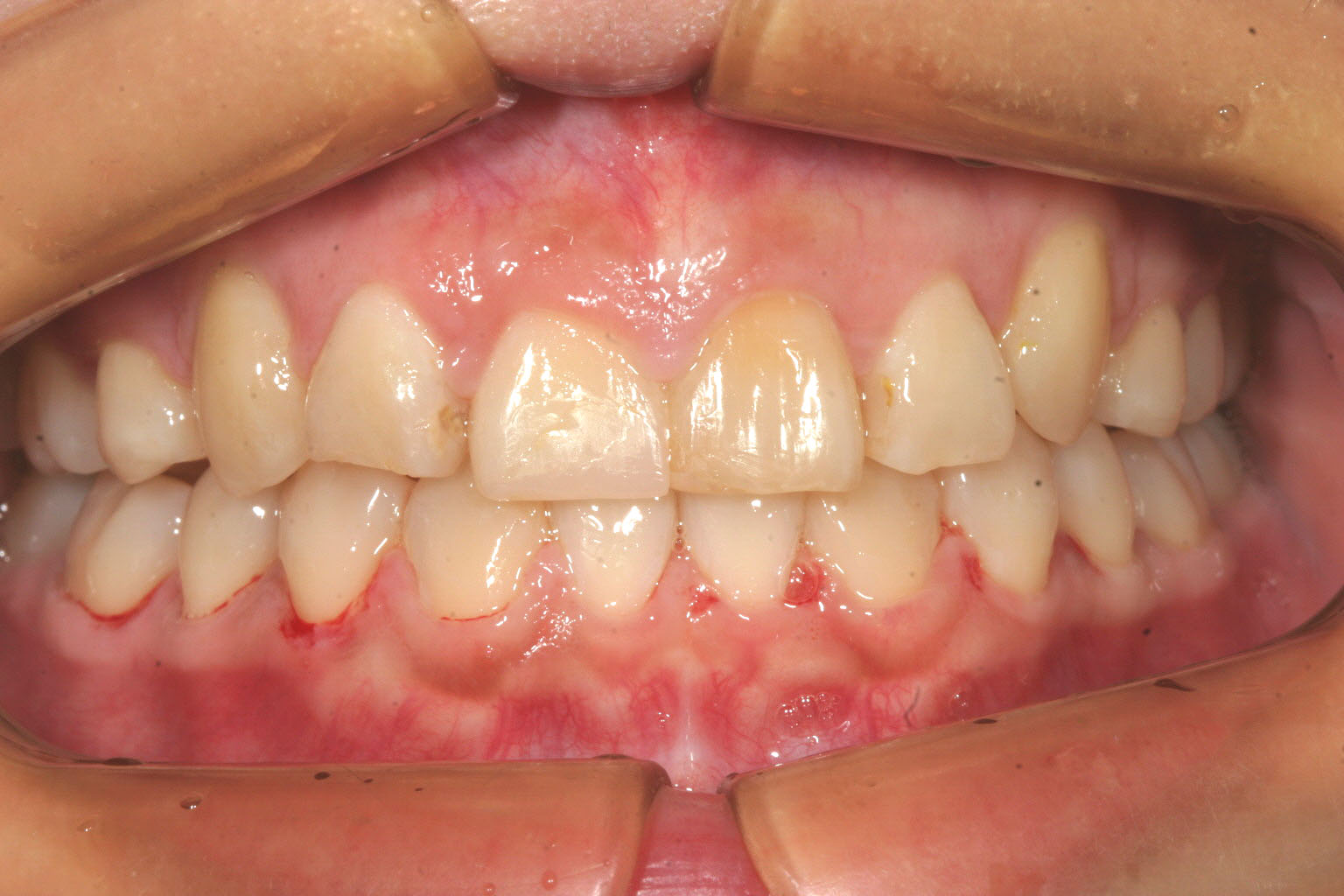
犬歯外に飛び出し マルチループワイヤー リンガルアーチ


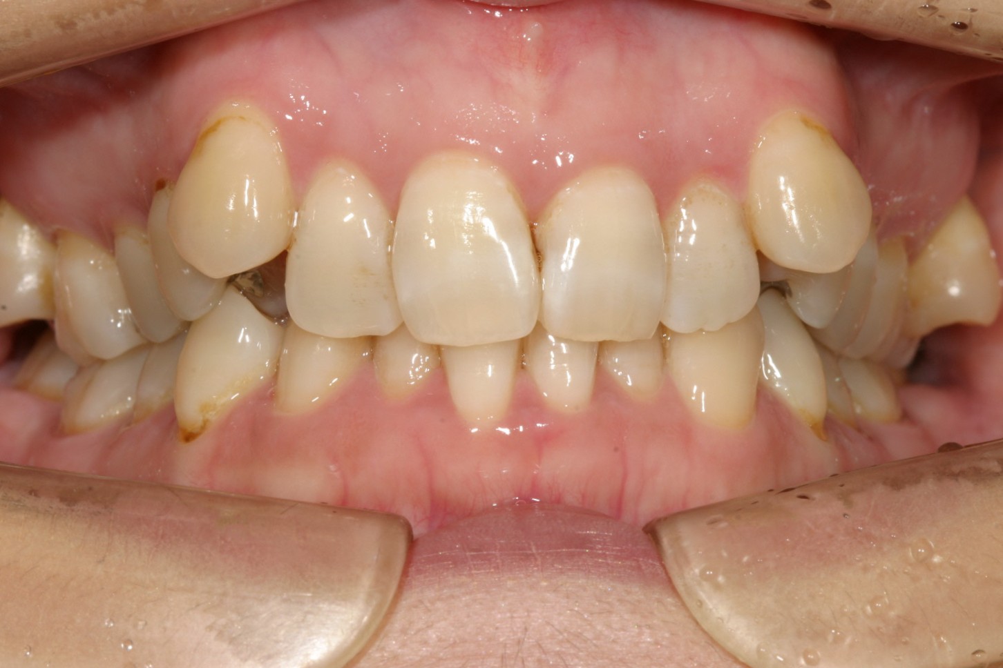
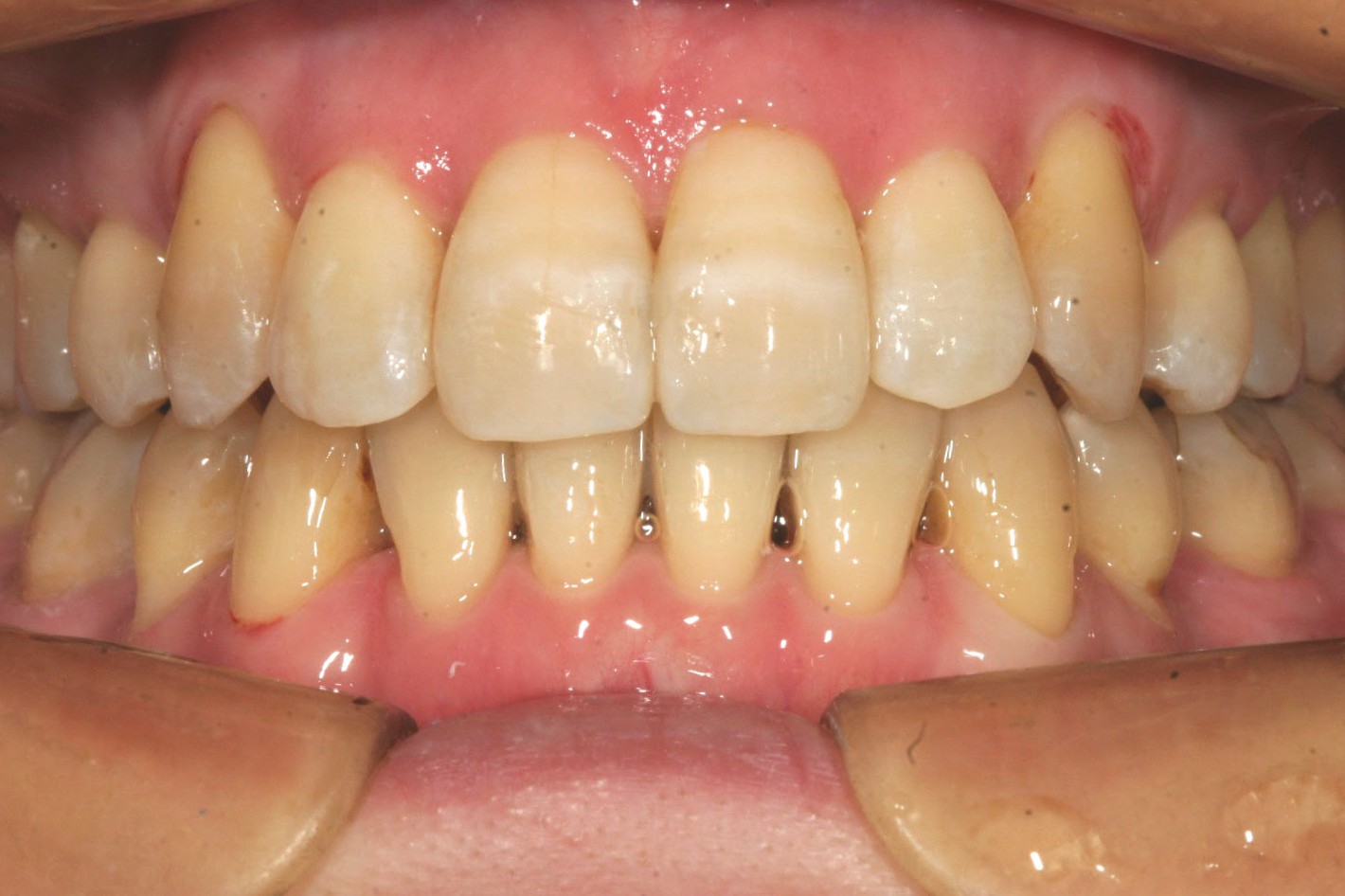
お悩み
右上の八重歯が気になる。
年齢
26
性別
女性
治療に用いた装置
インビザライン+リンガルアーチ+マルチループワイヤー
治療期間
1年8ヵ月
治療にかかった費用
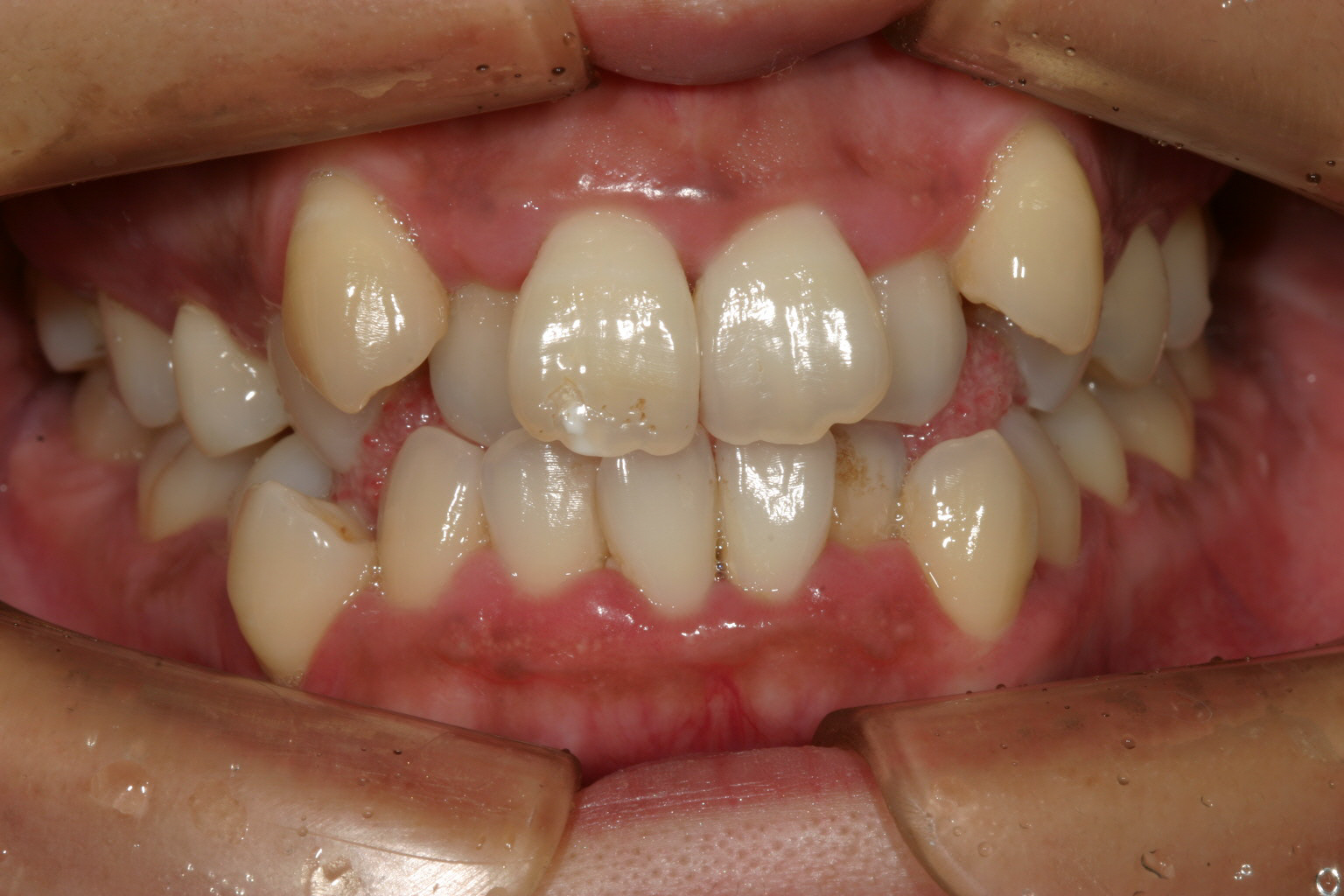
犬歯 飛び出し 加速矯正装置 エラスティック 短期間 インビザライン


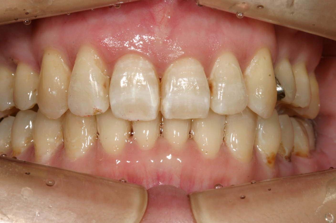
お悩み
八重歯の飛び出しが気になる
年齢
38歳
性別
女性
治療に用いた装置
インビザライン+加速矯正装置+アップダウンエラスティック
治療期間
1年4ヵ月
治療にかかった費用
前歯 歯並び 叢生 ガタガタ デコボコ 小臼歯 4本抜歯 インビザライン


お悩み
前歯のガタガタが気になるのと物がつまり易い。
年齢
35歳
性別
女性
治療に用いた装置
インビザライン+ワイヤー
治療期間
2年1か月
治療にかかった費用
892、500円
両側 八重歯(やえば)犬歯 ガチャ歯 抜歯症例 part2 インビザライン


お悩み
犬歯が飛び出て審美的にも悪く気になる>
年齢
47歳
性別
女性
治療に用いた装置
インビザライン+加速矯正装置PBM
治療期間
2年3か月
治療にかかった費用
八重歯 (犬歯 糸切り歯) 出っ張り 小臼歯 片側抜歯 インビザライン


お悩み
八重歯の出っ張りが気になる
年齢
44歳
性別
女性
治療に用いた装置
インビザライン
治療期間
1年9か月
治療にかかった費用

