

お悩み
犬歯が飛び出て審美的にも悪く気になる>
年齢
47歳
性別
女性
治療に用いた装置
インビザライン+加速矯正装置PBM
治療期間
2年3か月
治療にかかった費用
治療詳細

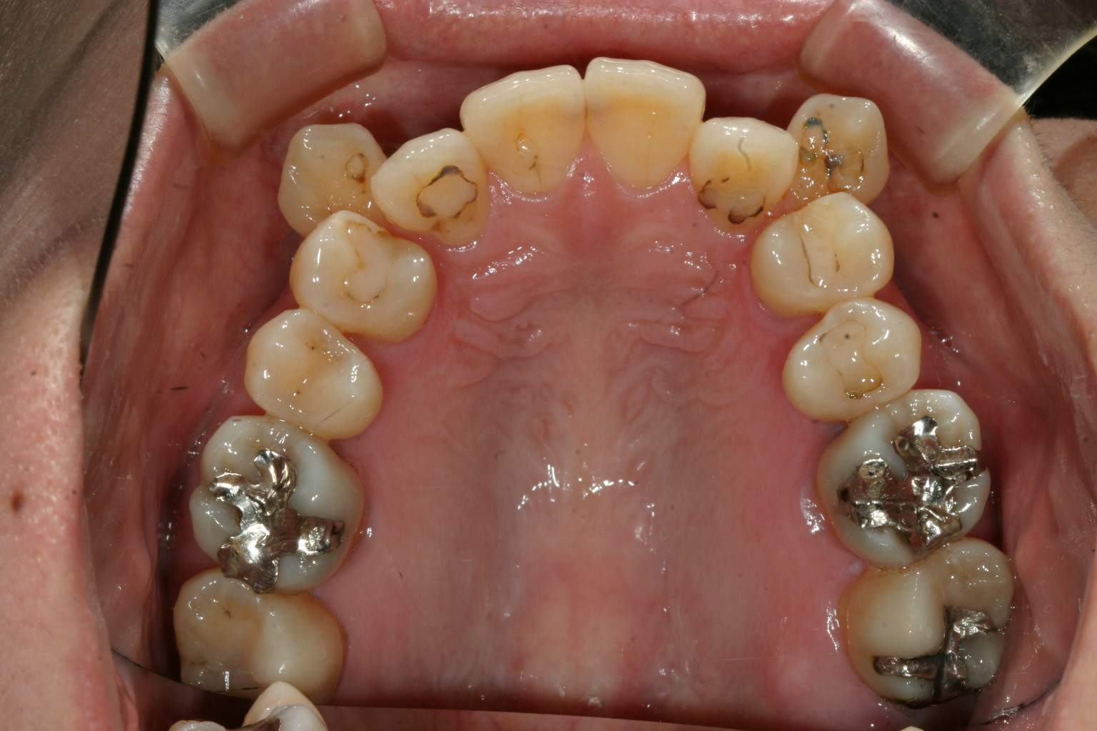
完全に犬歯が飛び出してます。こういう場合は後ろ隣の小臼歯抜いて出来たスペースに糸切り歯を入れます。

左側第二小臼歯が内転してますからこれを抜くことにしましょう。 右側の第二小臼歯も少し内転してますからこれも抜歯する事で左右のバランスを取ります。

犬歯の問題だけでオーバージェット(前歯の前突)はさほど見られません。

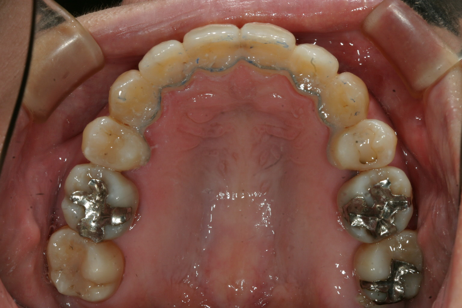
小臼歯抜歯した後に綺麗に犬歯が入りました。

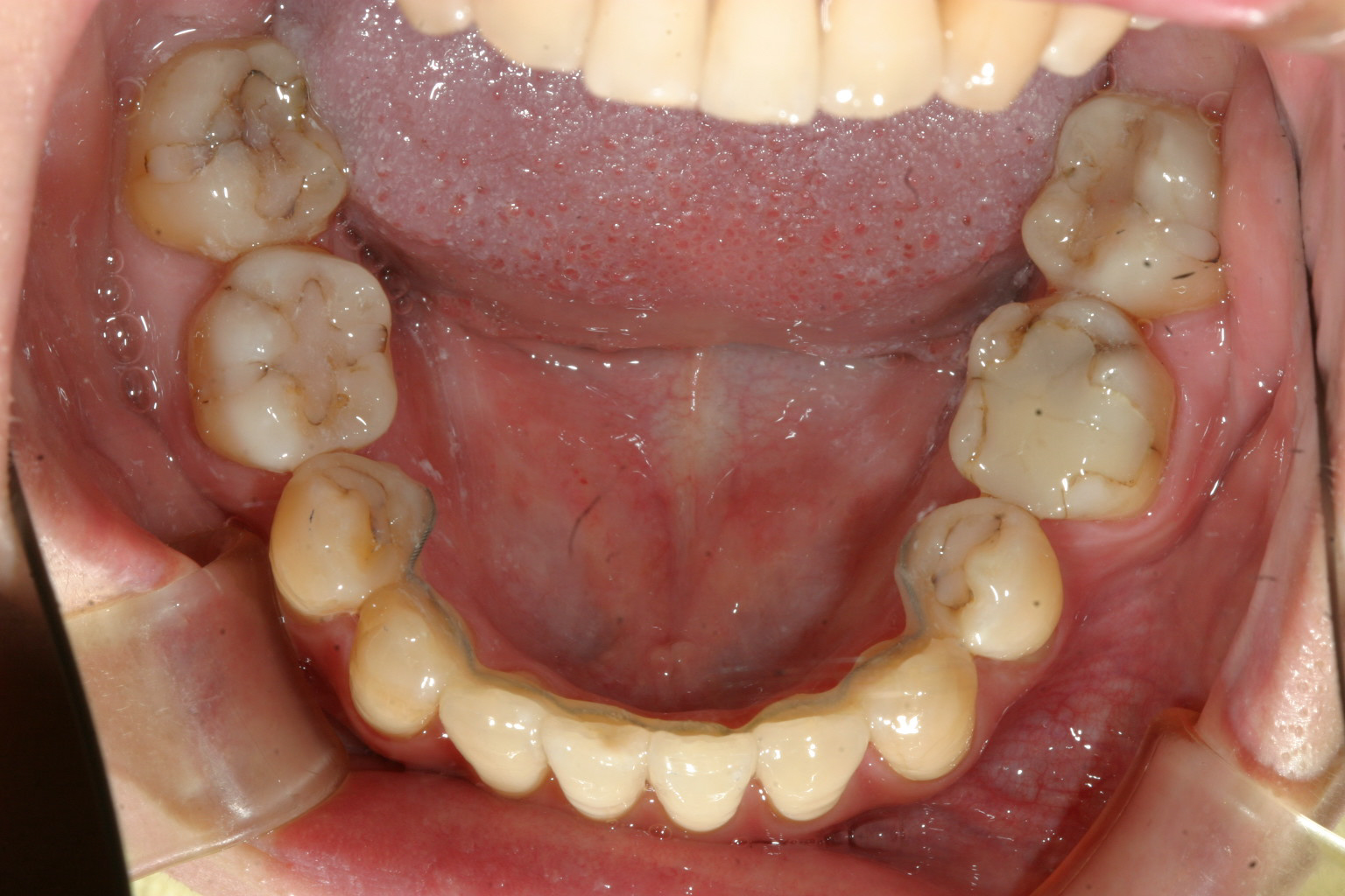
下顎も抜歯スペース綺麗に閉じました。

オーバージェットもバッチリです。
当院からのコメント
上下左右の小臼歯抜歯してインビザラインと加速矯正装置利用で矯正しました。
かなり綺麗に仕上がりました。
途中で抜歯スペース閉鎖する時に後ろの歯が前に倒れて来て立てるのに部分ワイヤー矯正も併用し少し時間を食いましたが一切追加費用無しで終了しました。
当医院では途中で部分ワイヤー使用したり、臼歯部咬合緊密にする為のアップダウンゴム使用の際も追加料金は必要有りません。
この様な症状でお悩みでしたらいつでも遠慮無く当院にご相談下さい。

