

お悩み
前歯のガタガタが気になるのと物がつまり易い。
年齢
35歳
性別
女性
治療に用いた装置
インビザライン+ワイヤー
治療期間
2年1か月
治療にかかった費用
892、500円
治療詳細

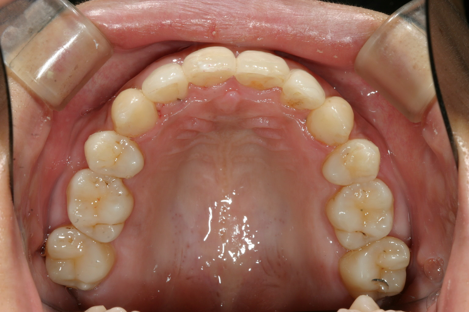
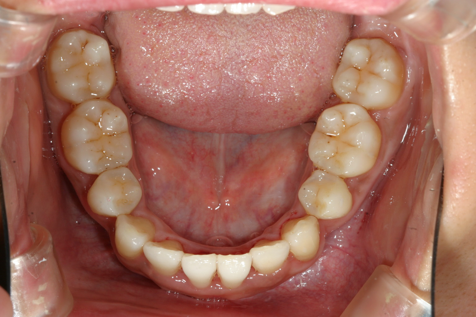
両側の八重歯が飛び出してますね!

下顎も犬歯間が狭い為に前歯がバラバラになってます。

オーバージェットはさほどでもないです。

左右の小臼歯を抜歯してその出来たスペースに八重歯を移動させました。

下顎も左右の糸切り歯抜歯して前歯のガタガタを取り除いています。

綺麗な被蓋関係になってます。
当院からのコメント
八重歯の突出が大きい為上下左右の小臼歯抜歯を選択しました。
それとアーチ幅の拡大も同時に行いました。
この時代はまだ加速矯正装置というものがなかったため、抜歯後前歯にワイヤーを使って
そこそこ犬歯移動を行った後インビザラインと言う方法を行いました。
今では第一選択枝はインビザライン+加速矯正装置となりもっと短期間で終われる時代になりました。
この様な症状でお悩みでしたらいつでも遠慮無く当院にご相談下さい。

