

お悩み
八重歯の飛び出しが気になる
年齢
38歳
性別
女性
治療に用いた装置
インビザライン+加速矯正装置+アップダウンエラスティック
治療期間
1年4ヵ月
治療にかかった費用
治療詳細

上の糸切り歯ですがかなり飛び出してます。

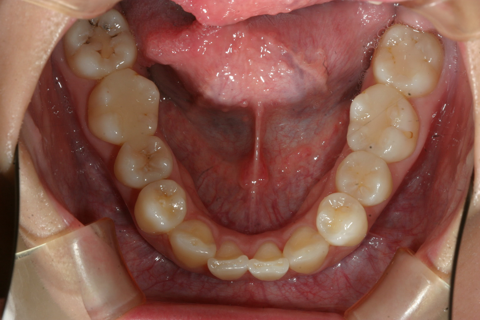
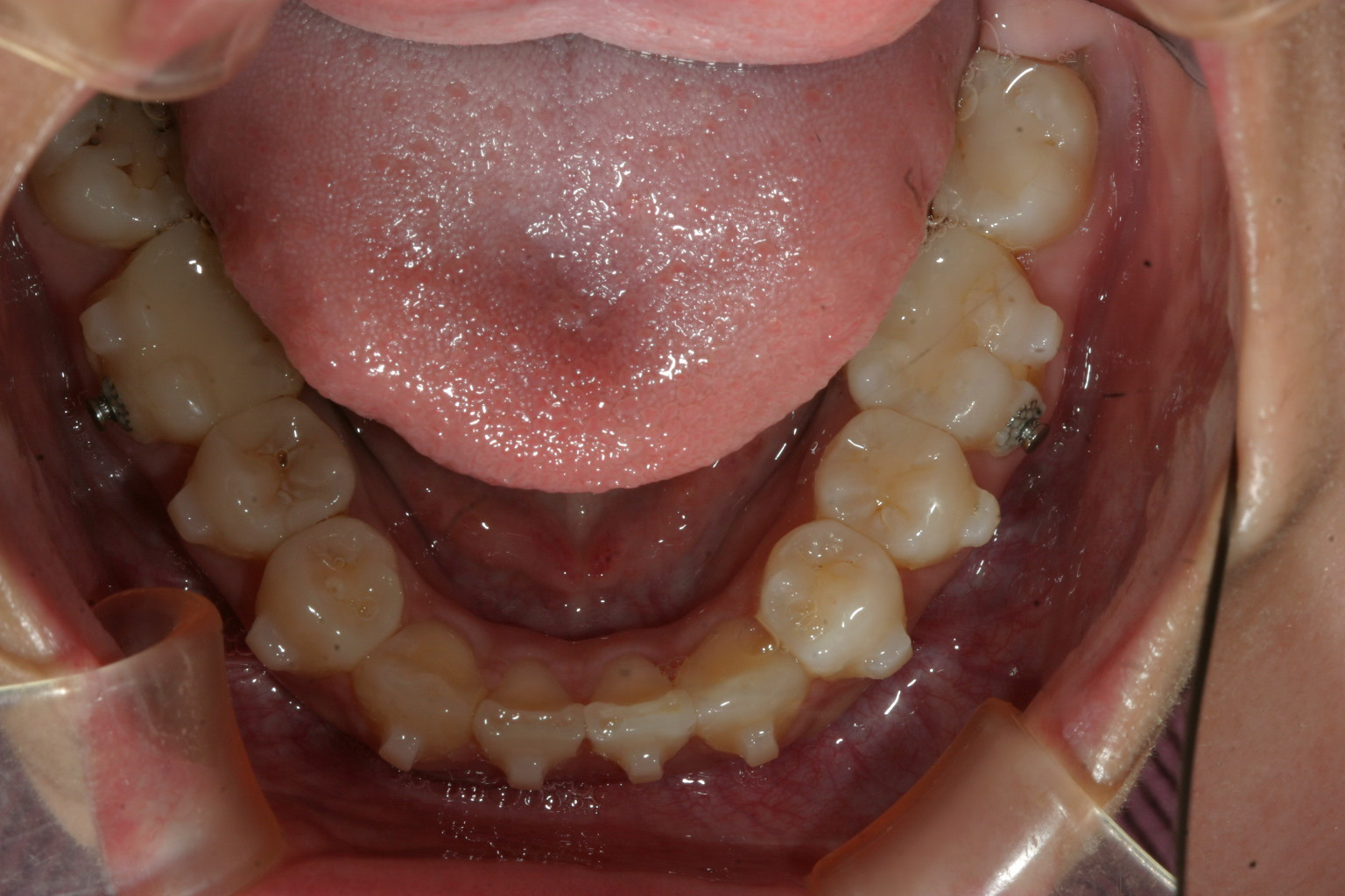
下顎は綺麗なもんです。

犬歯が飛び出してる関係で少し側面観も乱れてます。

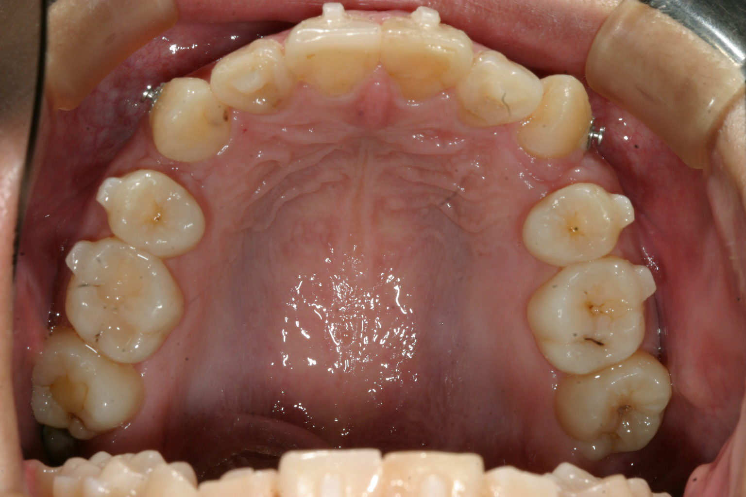
インビザライン開始後7か月後の状態です。 アタッチメントが付いているのが確認できます。 犬歯がだいぶ歯列に乗ってきてますがまだまだです。 この状態のときに犬歯にアップダウンエラスティックを使用し更にアーチ内に引き込みます。

下顎は元々そんなにひどく無かったですから殆ど改善してます。

オーバージェット感はすでに殆ど綺麗に改善してます。

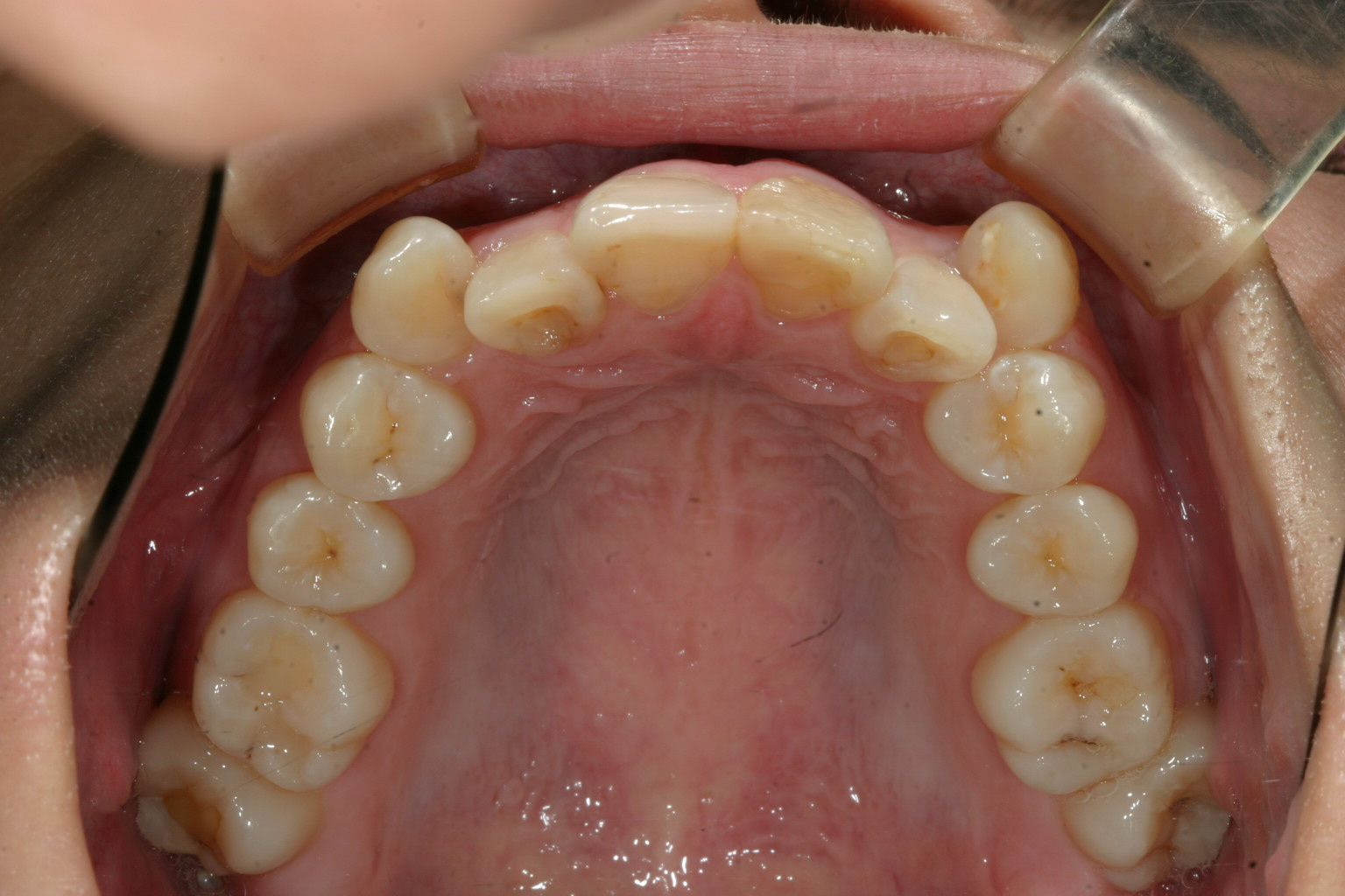
左右上顎の小臼歯を抜歯して改善致しましたケースです。 綺麗に並んでます。

下顎もアタッチメントも取れ綺麗に改善しました。

オーバージェット感もバッチリです。
当院からのコメント
上顎犬歯の唇側転移の改善の為、左右上顎の小臼歯を抜歯致しました。
加速矯正装置使用の為、通常ワイヤー矯正でしたら2年半から3年かかる所1年4ヵ月と言う短期間で改善しました。
正中もビシッと合って綺麗に改善してます。
抜歯矯正しますと特に犬歯の位置が上にある為これをマウスピースだけで下に降ろす事は
なかなか難しい為、補助装置としてアップダウンエラスティック使用してます。

