

お悩み
犬歯が飛び出しガタガタし見た目が悪い。
年齢
35歳
性別
女性
治療に用いた装置
インビザライン
治療期間
2年9カ月
治療にかかった費用
治療詳細

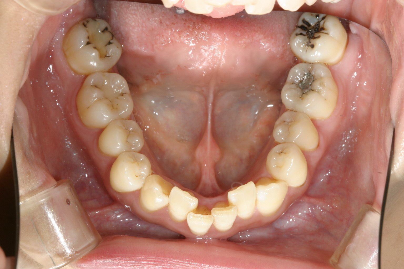
犬歯が飛び出しアーチは崩れ凄いことになっています。

下顎は少しアーチが狭く少し叢生が目立ちます。

出っ歯感はそれほど目立ちません。

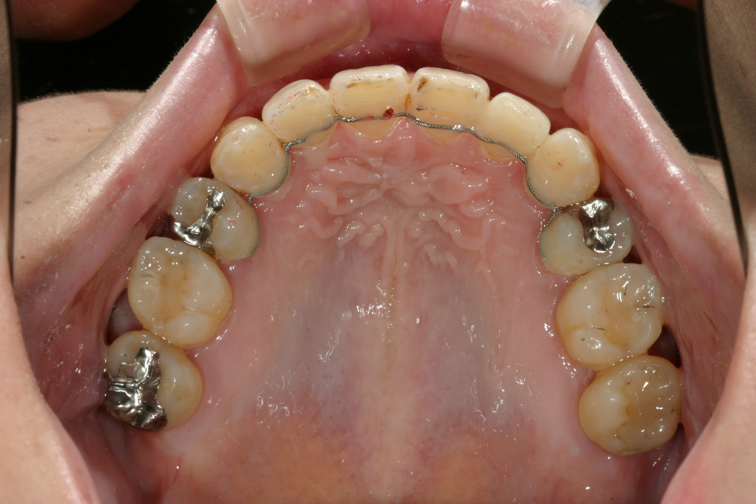
上顎左右小臼歯抜歯して治療致しました。

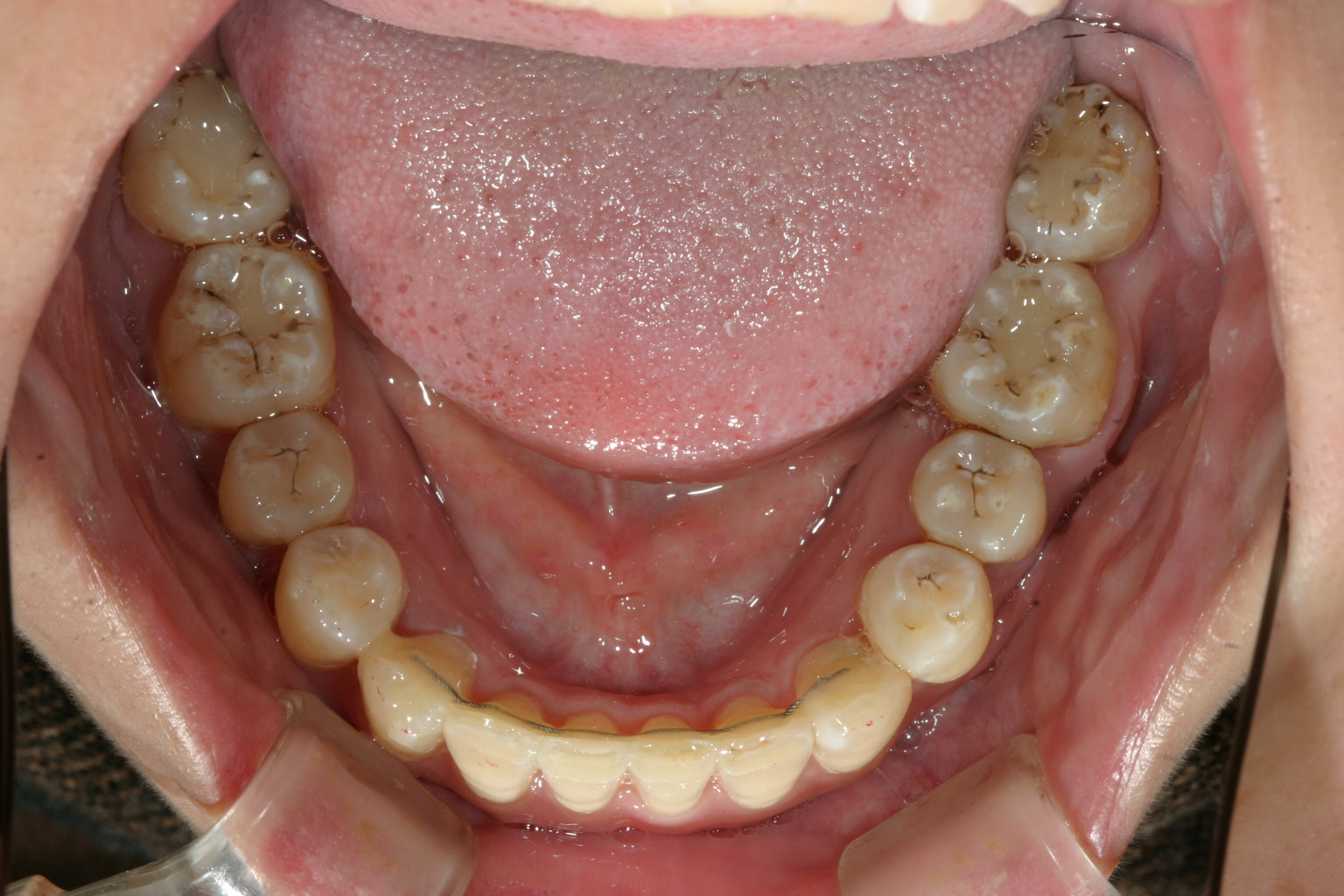
下顎は非抜歯で叢生改善してます。

綺麗な側面観です。
当院からのコメント
こちらのケースは当院インビザライン導入初期のケースで結構難儀した思い出があります。
アーチは崩れ、犬歯は飛び出し、抜歯矯正となりなかなかインビザラインのマウスピースだけでは下に降りて来ずボタン貼ってアップダウンエラスティックかけたり、アーチの改善には写真は無いのですがクワッドヘリックス使い色々工夫しました。
この様な難しいケースを初期のうちに経験させて頂いたお陰で今ではどの様なケースが来ようが難なく対処出来るようになりました。
感謝しか有りません。

