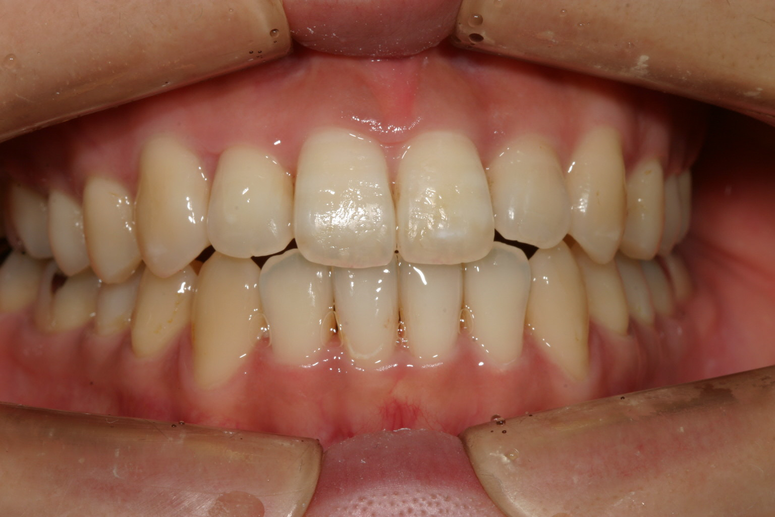
カテゴリー: でこぼこの歯・叢生(そうせい)の症例(非抜歯)
前歯 ガチャガチャ 叢生 八重歯 マルチループワイヤー


お悩み
右上の犬歯が飛び出て審美的にも悪く、又ガタガタも気になる。
年齢
38歳
性別
女性
治療に用いた装置
インビザライン+マルチループワイヤー
治療期間
1年11ヵ月
治療にかかった費用
前歯 出っ歯 ガタガタ 二番目へこんでる 叢生 翼状捻転 インビザライン


お悩み
前歯 出っ歯 ガタガタ 二番目へこんでる 叢生 翼状捻転
年齢
24歳
性別
女性
治療に用いた装置
インビザライン
治療期間
1年2ヵ月
治療にかかった費用
前歯 叢生 でっぱ インビザライン ガタガタ ガチャ 短期間 学生


お悩み
前歯が出っ張ってガタガタが気になる。
年齢
23歳
性別
女性
治療に用いた装置
インビザライン
治療期間
1年5ヵ月
治療にかかった費用
前歯 飛び出し ガタガタ ガチャ 叢生 マルチループワイヤー


お悩み
前歯のガタガタが気になるのと物がつまり易い。
年齢
31歳
性別
女性
治療に用いた装置
マルチループワイヤー
治療期間
1年2か月
治療にかかった費用
前歯 開咬 叢生 ガタガタ ガチャ ワイヤー part3


お悩み
口が閉まらない、前歯のガタガタが気になる。
年齢
21歳
性別
女性
治療に用いた装置
ワイヤー矯正
治療期間
11ヵ月
治療にかかった費用











