

お悩み
前歯のガチャが気になる。
年齢
27歳
性別
女性
治療に用いた装置
インビザライン
治療期間
1年6ヵ月
治療にかかった費用
治療詳細

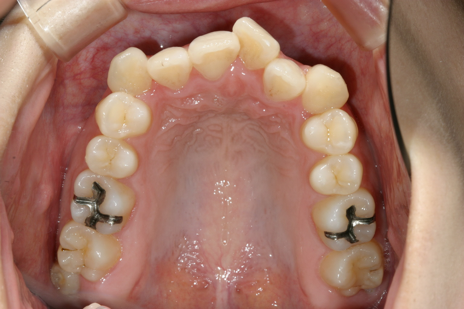
アーチが狭い為に前歯が並ばずガタガタになっています。

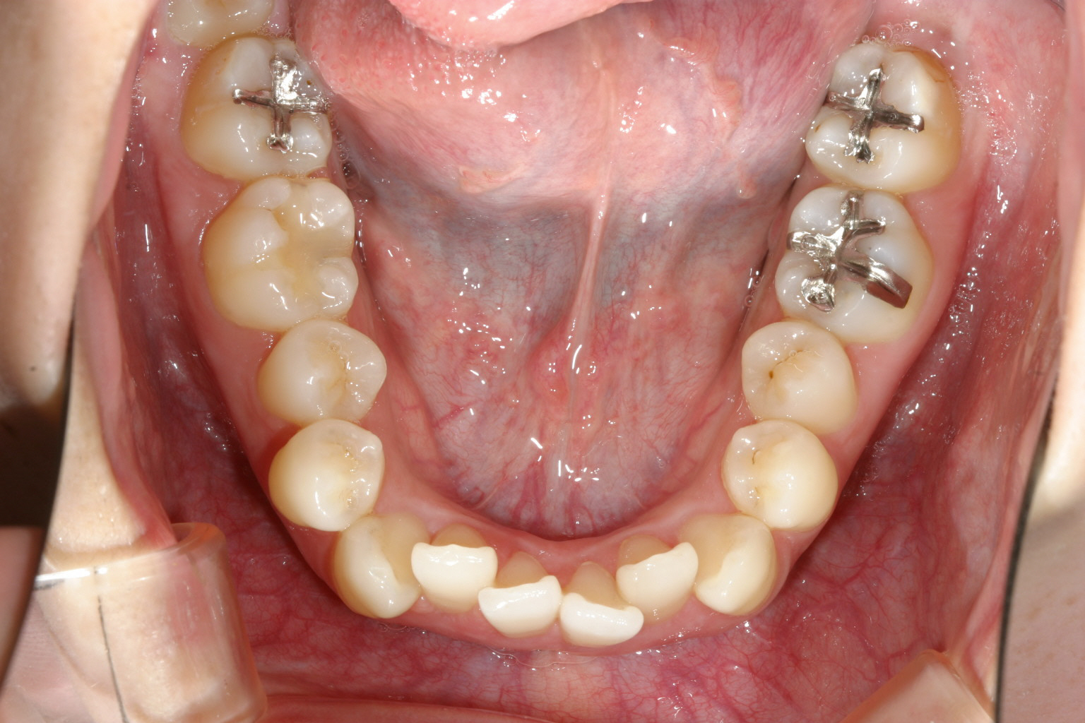
下顎も上と同じでアーチが狭いです。

上下顎とも前に出ています。

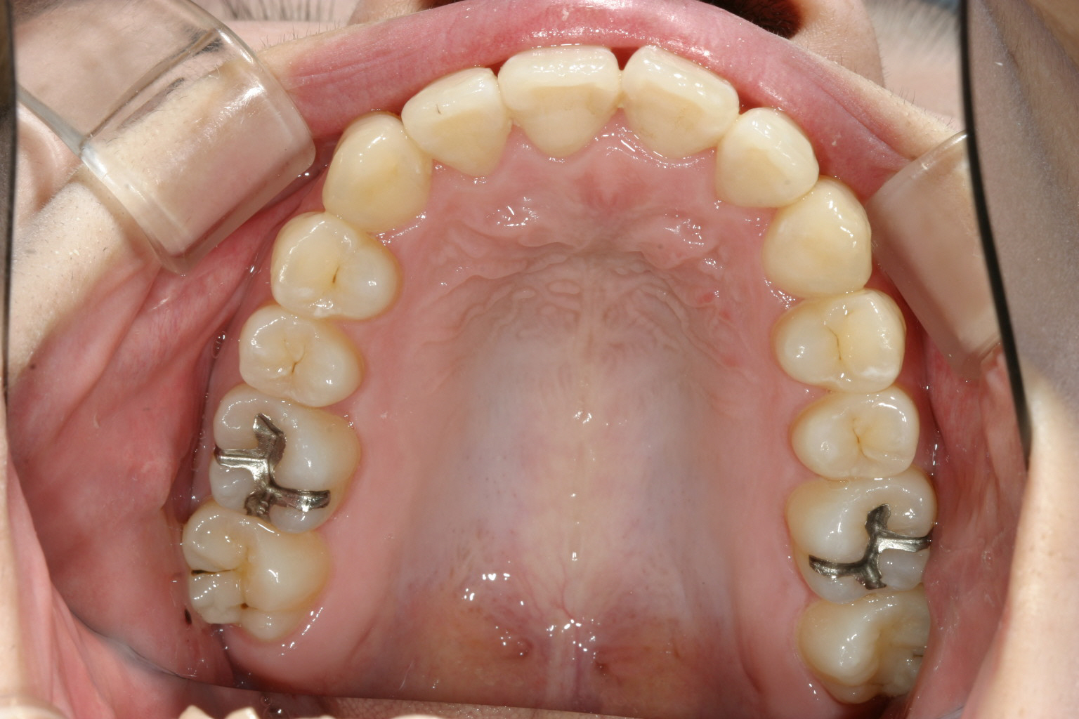
アーチをU字に広げ多少のIPR(隙間削合)を行っています。

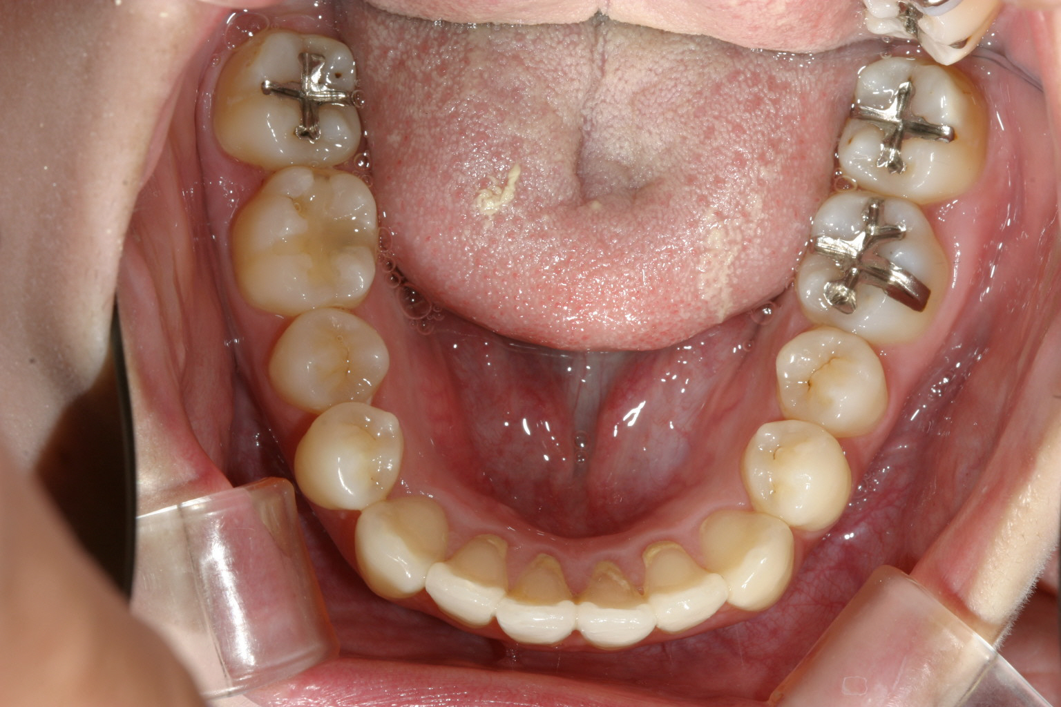
下顎も上と同じように調整しました。

綺麗なオーバージェットに改善しました。
当院からのコメント
今回のケースは上下額ともアーチがV字の為U字に出来たガチャガチャを改善しIPRを行い矯正しました。
日本人の不正咬合の中でよくあるケースです。
大抵の場合アーチ形状の修正とIPRを行えば抜歯を行うことなく終えることが出来ます。
むやみに小臼歯を抜歯するのではなくインビザラインではIPRと言う方法が有るので積極的に使うべきだと私は思います。

