

お悩み
上の前歯が出てるのと下の前歯のガタガタ
年齢
29歳
性別
女性
治療に用いた装置
インビザライン
治療期間
8か月
治療にかかった費用
治療詳細

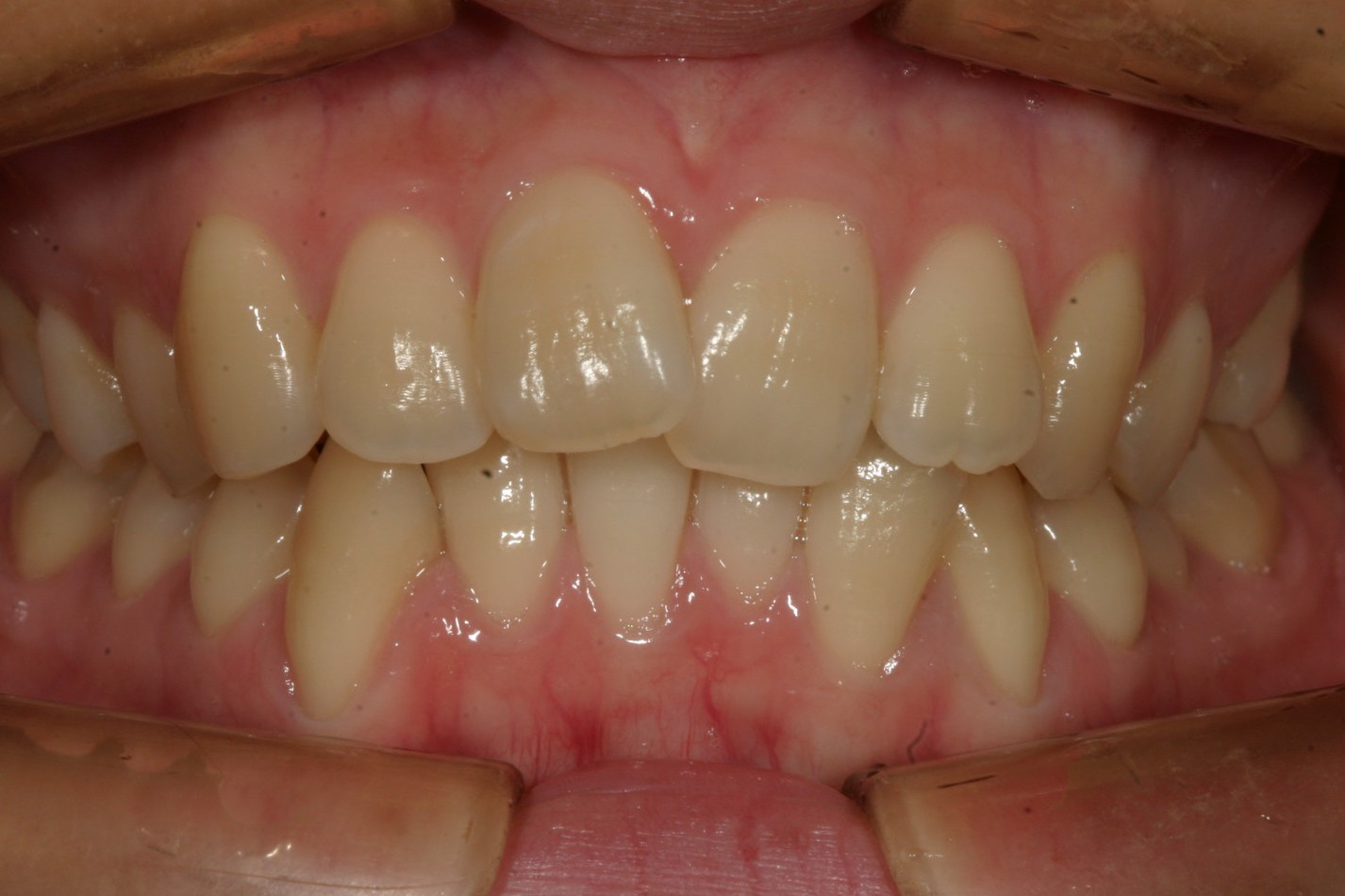
一歯だけ飛び出てるのが気になります。

下の前歯は歯列がV字形の為4本の前歯が上手く並ばずガタガタになってます。

側面観はちょい出っ歯です。

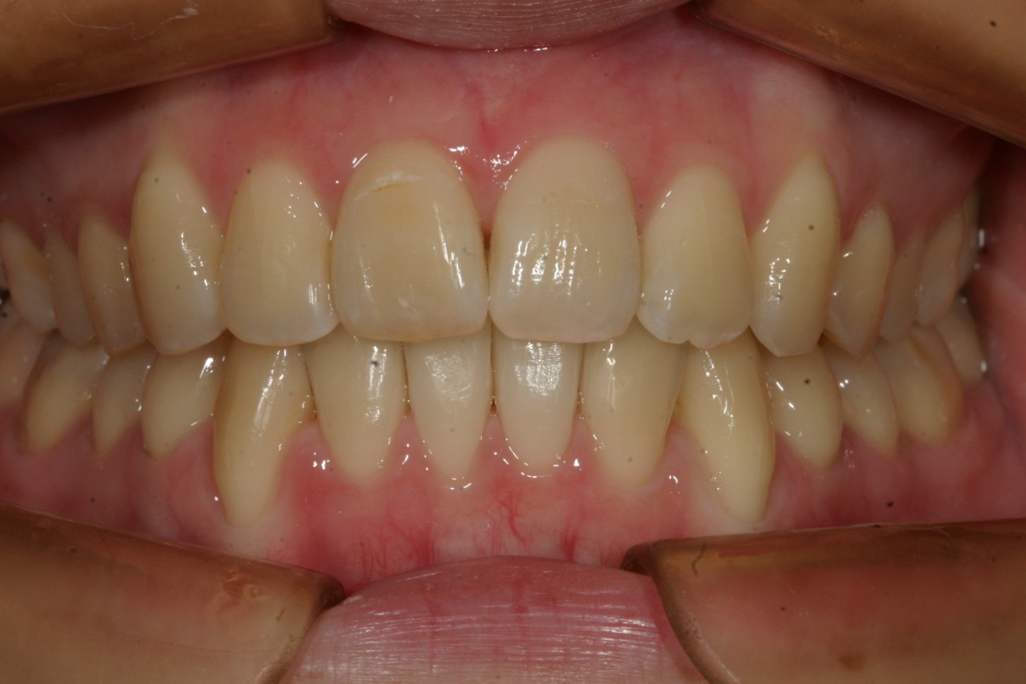
短期間で綺麗に改善しました。

こちらも歯列をU字形にする事により綺麗に改善してます。

出っ歯もこんなに改善です。
当院からのコメント
こちらの症例は典型的な症例で歯列形が悪い為の不正咬合です。
これって言って特別何をしたって事無く歯列を V字形をU字形にするだけでここまで改善します。
皆様の中にこの様な感じの歯列でお悩みの方が居られましたらどうぞ気楽に相談にお越しください。

