

お悩み
口が閉まらない、前歯のガタガタが気になる。
年齢
21歳
性別
女性
治療に用いた装置
ワイヤー矯正
治療期間
11ヵ月
治療にかかった費用
治療詳細

上顎の犬歯と犬歯の幅が狭い為前歯に乱れが有ります。

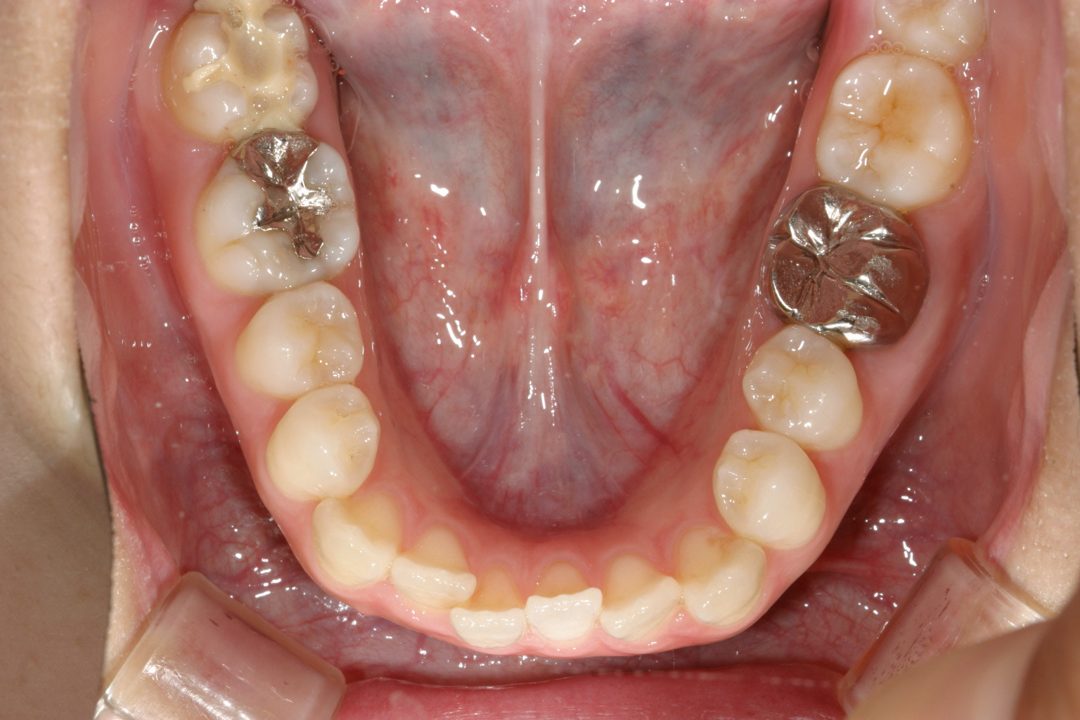
下顎も上顎と同じく犬歯間幅径が狭く叢生になってます。

側面観も叢生の為出っ張ってます。

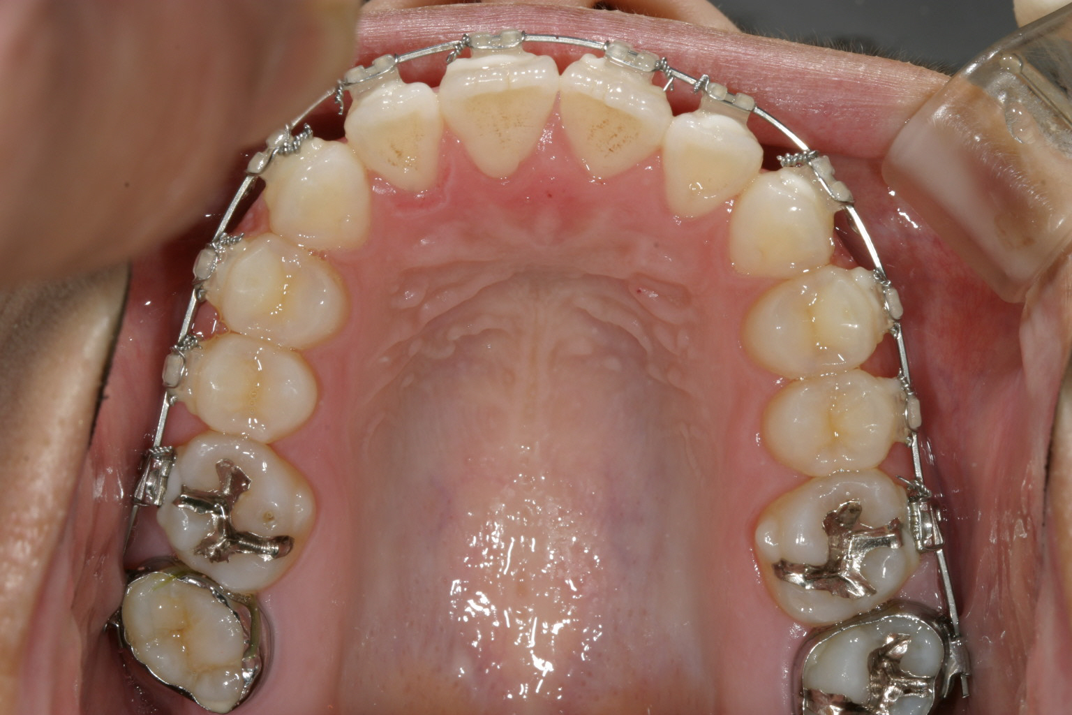
治療開始から半年後です。 犬歯間も広がり綺麗に並んできました。

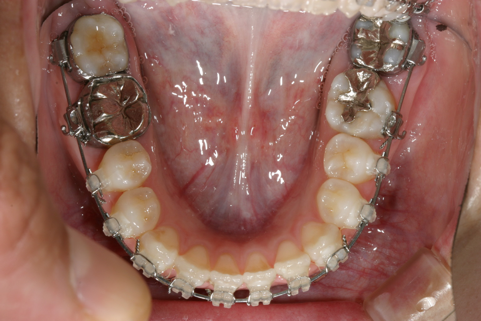
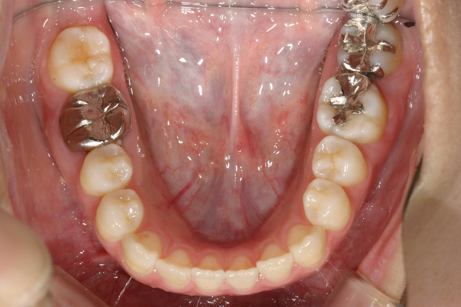
下顎も半年経つとかなり綺麗に並んでいます。

前歯部の開咬も殆どふさがってきています。 正中もピッタリです。 少し受け口傾向の為エラスティックを利用しました。 その為下顎前歯の犬歯のところに下向きの角が見受けられます。

綺麗に改善しました。

下顎もバッチリです。

開咬も改善し最高のオーバージェットです。
当院からのコメント
こちらのケースは開咬の改善の為来院されました。
ワイヤーで治療を致しまして僅か11ヵ月で終了しました。
全体的にアーチが尖ったV字歯列をされてましたのでU字に改善させ、また臼歯部を圧下させる方法により前歯を咬合させました。
そのまま前歯を引っ張ったんじゃ後戻りを生じさせる可能性があるからです。

