カテゴリー: 八重歯(やえば)の症例
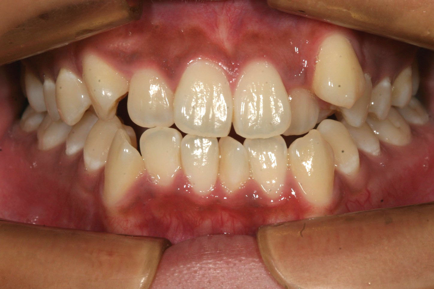
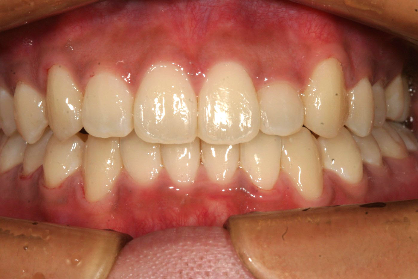
八重歯(やえば)犬歯 ガチャ歯 叢生 ゴム使用 インビザライン


お悩み
前歯のガタガタを何とかして欲しい。
年齢
24歳
性別
女性
治療に用いた装置
インビザライン+アップダウンエラスティック
治療期間
2年3ヵ月
治療にかかった費用
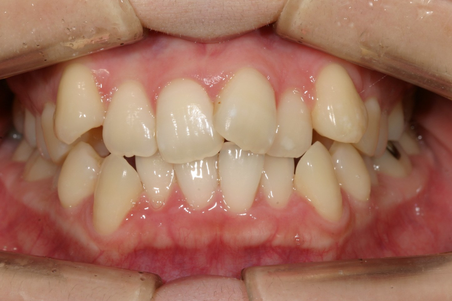
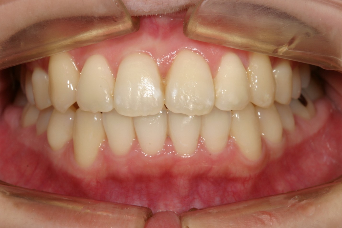
前歯 ガチャガチャ 叢生 八重歯 マルチループワイヤー


お悩み
右上の犬歯が飛び出て審美的にも悪く、又ガタガタも気になる。
年齢
38歳
性別
女性
治療に用いた装置
インビザライン+マルチループワイヤー
治療期間
1年11ヵ月
治療にかかった費用
犬歯 糸切り歯 八重歯 前歯ガタガタ インビザライン 加速矯正装置


お悩み
八重歯、糸切り歯、犬歯が出てガタガタが気になる。
年齢
25歳
性別
男性
治療に用いた装置
インビザライン+加速矯正装置PBM
治療期間
1年3か月
治療にかかった費用
825,000円
犬歯(八重歯)唇側転移 インプラント 遠心移動(後方移動) 小臼歯 回転 インビザライン


お悩み
右側糸切り歯が飛び出してるのが気になる。
年齢
18歳
性別
女性
治療に用いた装置
インビザライン マルチループワイヤー マイクロインプラント
治療期間
2年10か月
治療にかかった費用
85万円











