

お悩み
前歯の受け口(しゃくれ)とガタガタの改善
年齢
25歳
性別
女性
治療に用いた装置
インビザライン
治療期間
1年3か月
治療にかかった費用
治療詳細

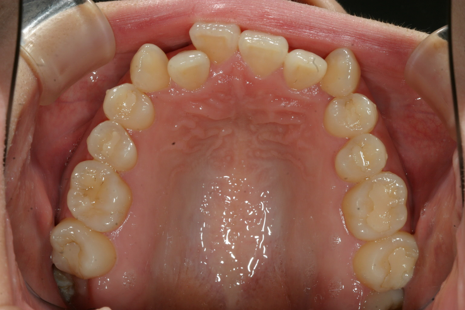
前歯のアーチがガタガタのせいで内方に入ってます。

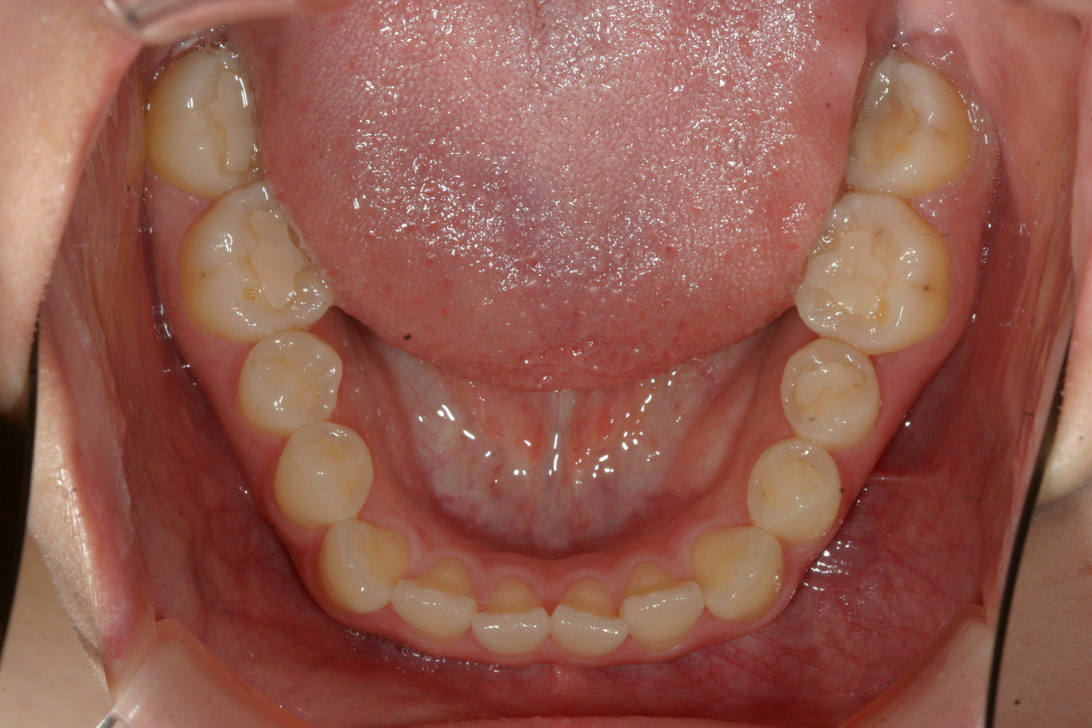
下顎は強いて問題ないですね~

少し受け口ですね~

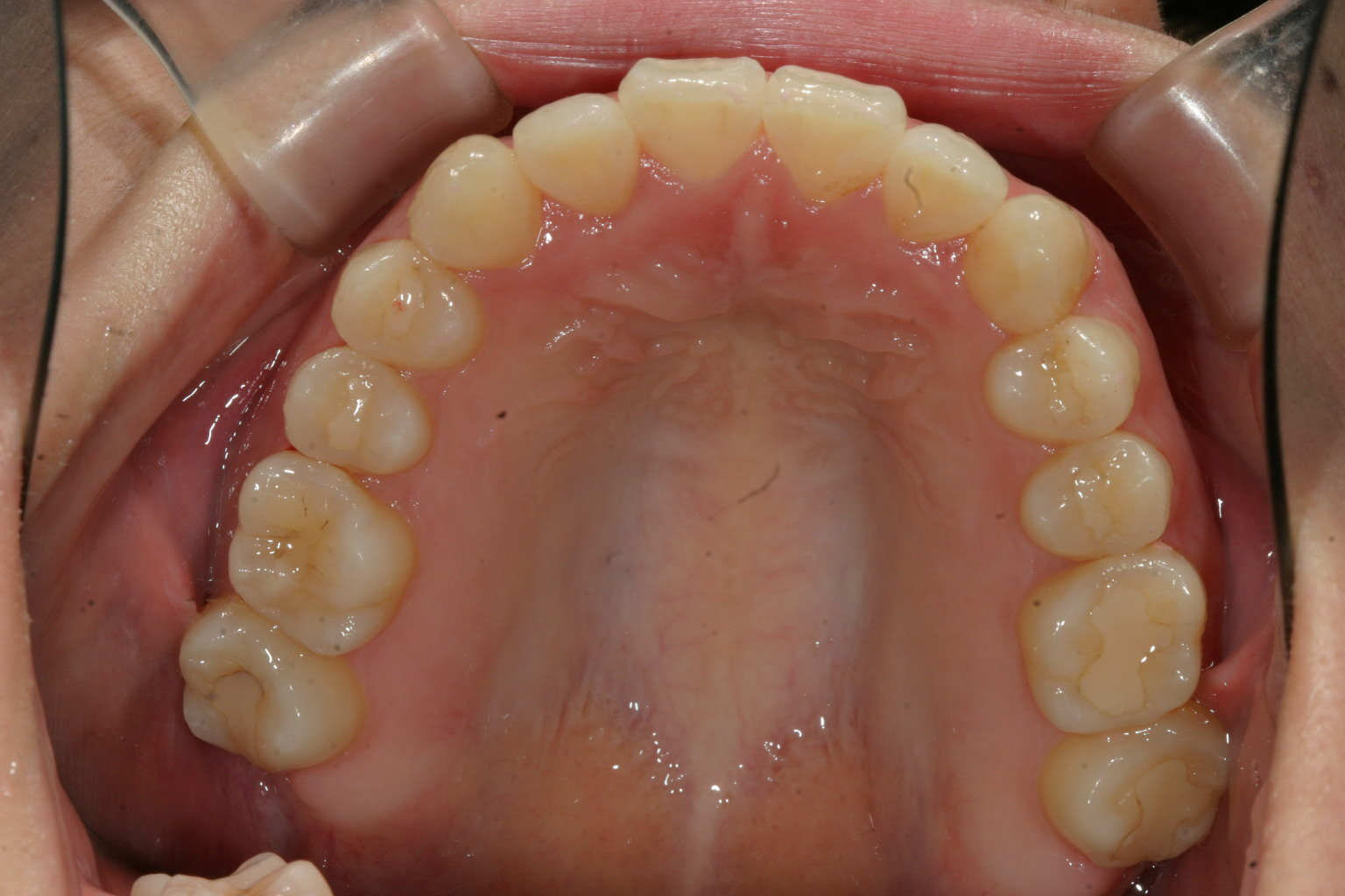
綺麗に改善してます。

下顎はさほど変化ないです。

綺麗な被蓋関係が出来ました。
当院からのコメント
この様な上顎アーチが内方に入った為に起こる受け口改善はそんなに困難では有りません。骨格的な受け口は口の中だけ改善させてもしゃくれた横顔に変化はありません。つまりは外科矯正治療になるケースが多いです。
もし気になるけれど御辛抱されてられる患者様がおられましたら是非一度ご相談にお越しください。

