

お悩み
前歯のガタガタを何とかして欲しい。
年齢
24歳
性別
女性
治療に用いた装置
インビザライン+アップダウンエラスティック
治療期間
2年3ヵ月
治療にかかった費用
治療詳細

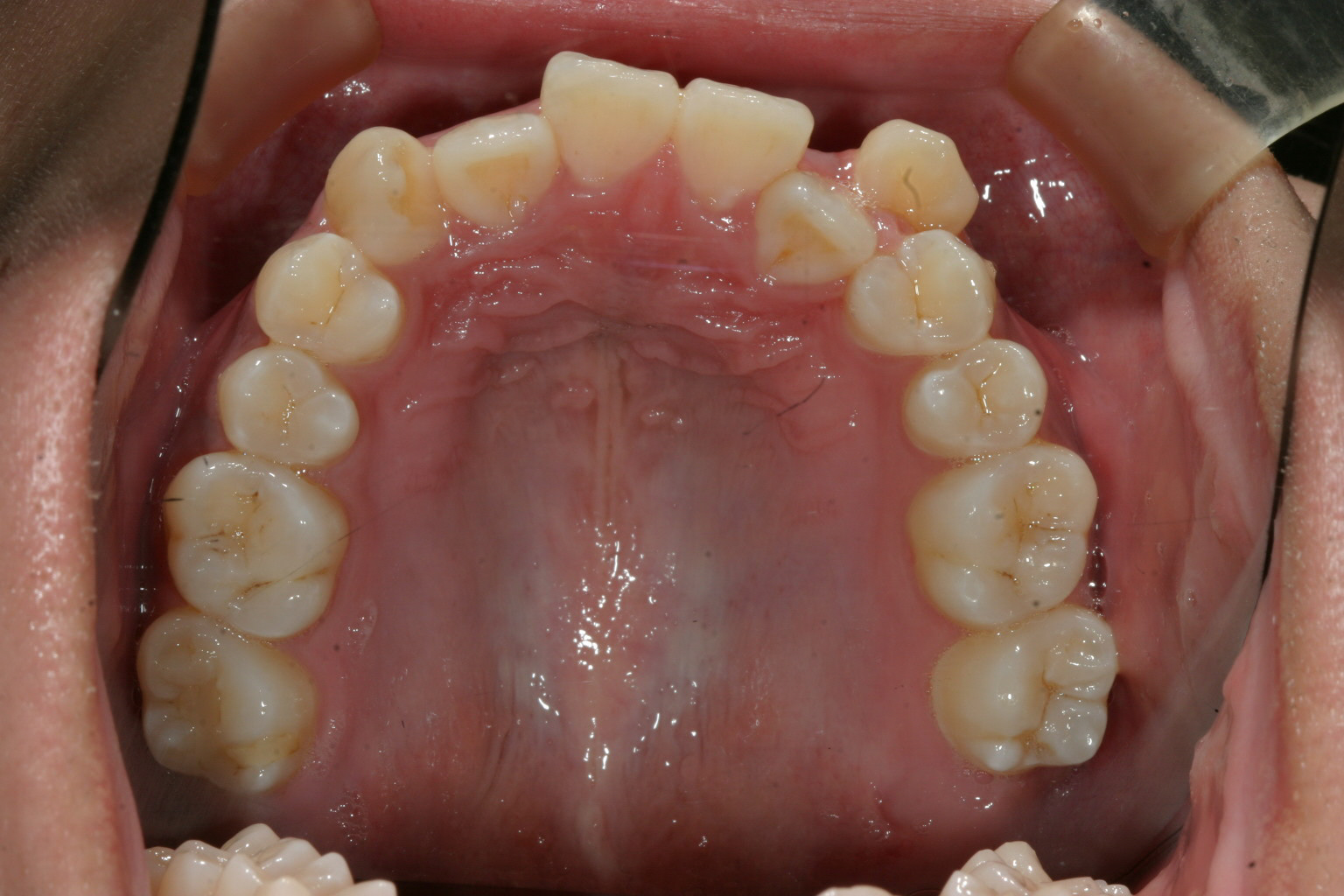
左の犬歯が完全にはじき出されています。

前歯部に叢生が見られます。

横から拝見しますと受け口っぽいですね~

飛び出た犬歯もアーチに入り綺麗に並びましたね!

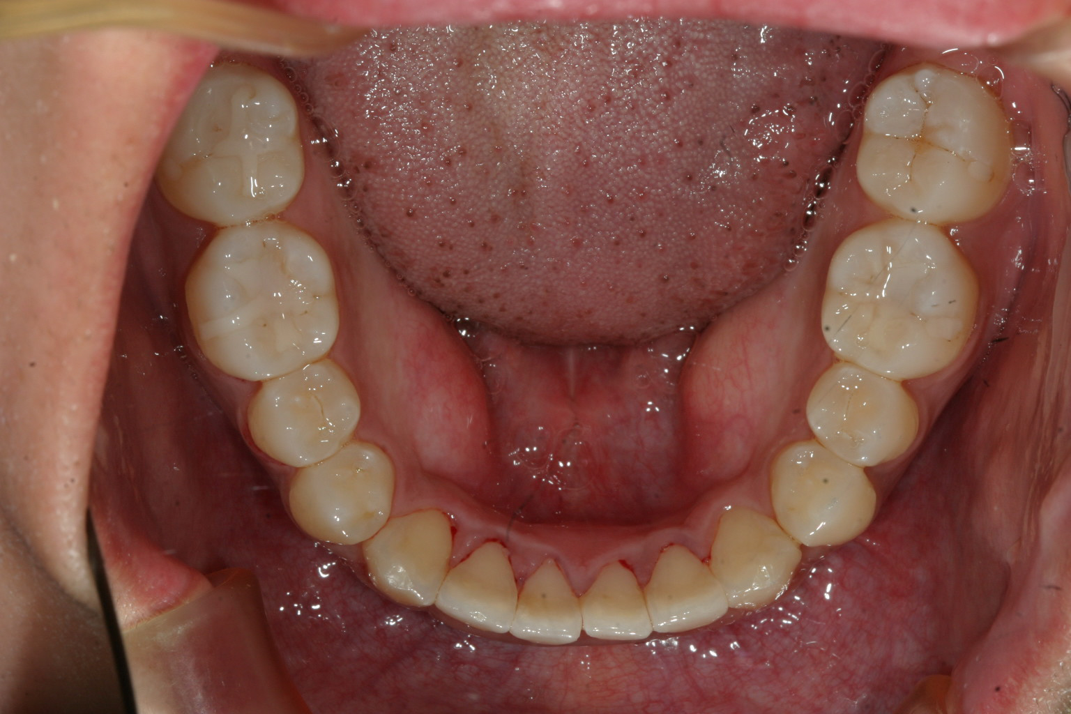
叢生も綺麗になっています。

上下の被蓋関係も良好です。
当院からのコメント
今回のインビザラインケースは上顎犬歯の飛び出し改善です。
非抜歯で行いましたが加速矯正装置無しでしたから結構の時間がかかりました。
この様な複雑なケースは加速矯正装置を使用すべきだったと後で思いました。
しかし患者様の並々ならぬ努力があり綺麗に改善し喜んで頂いています。
今回の様に糸切り歯が飛び出した場合、綺麗にアーチに修める手助けとしてゴムの力を利用します。
又、最終的に奥歯全体的に上手く噛ませるのにもゴムの力を利用しました。

