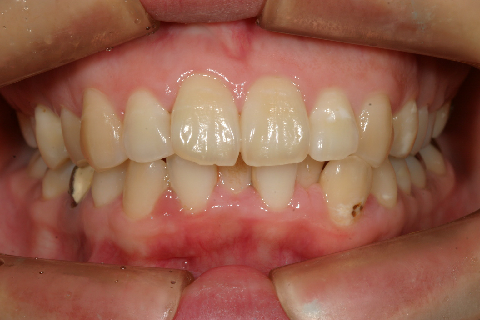
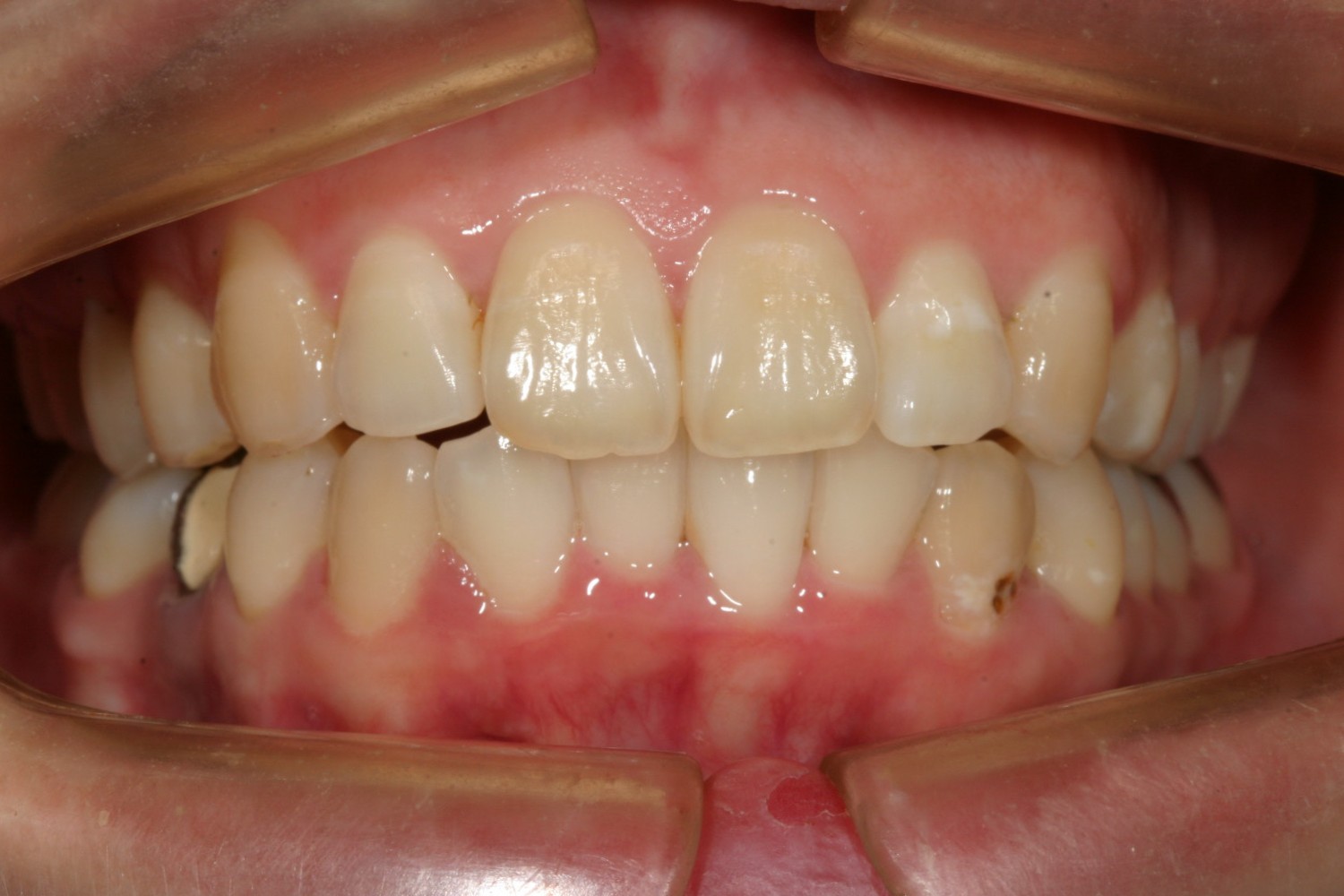
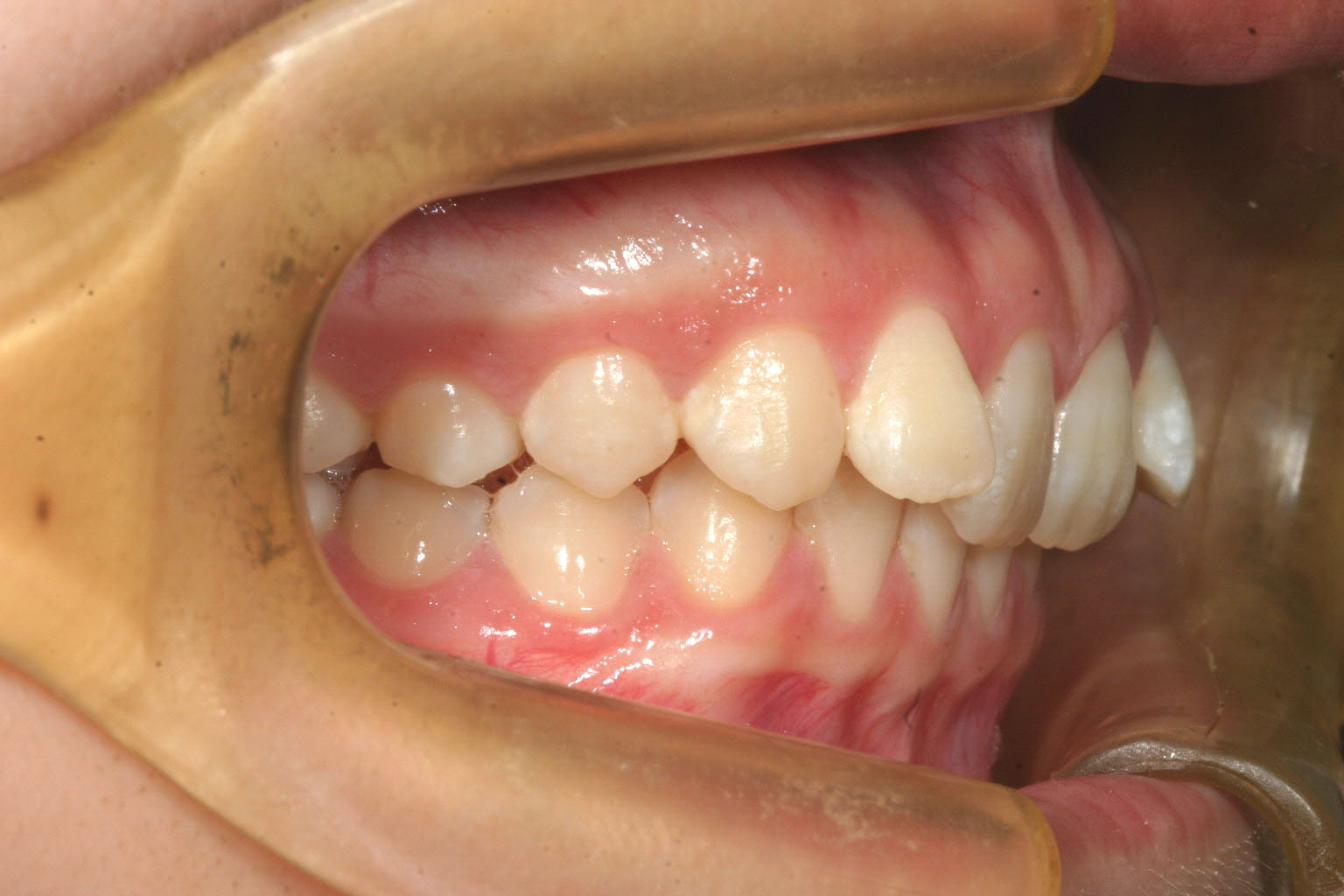
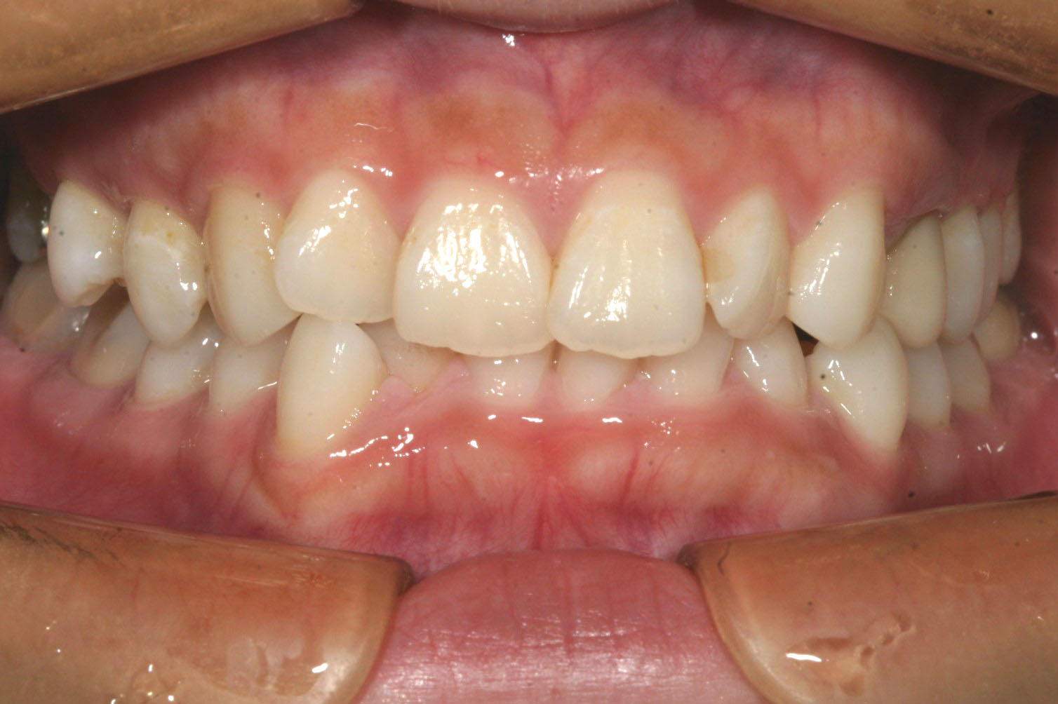
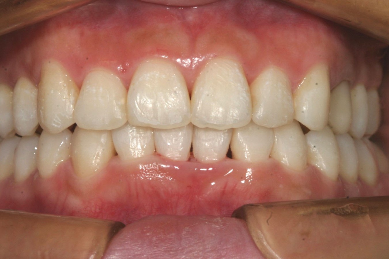
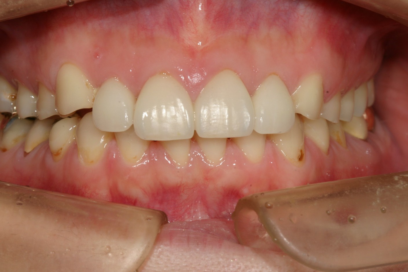
カテゴリー: かみ合わせが深い(オーバーバイト)
インビザライン ディープバイト 深い咬み合わせ 捻転 ねじれ 叢生 ガタガタ


お悩み
前歯のかみ合わせが深いのと下の前歯がガタガタ
年齢
38歳
性別
女性
治療に用いた装置
インビザライン
治療期間
1年4ヵ月
治療にかかった費用
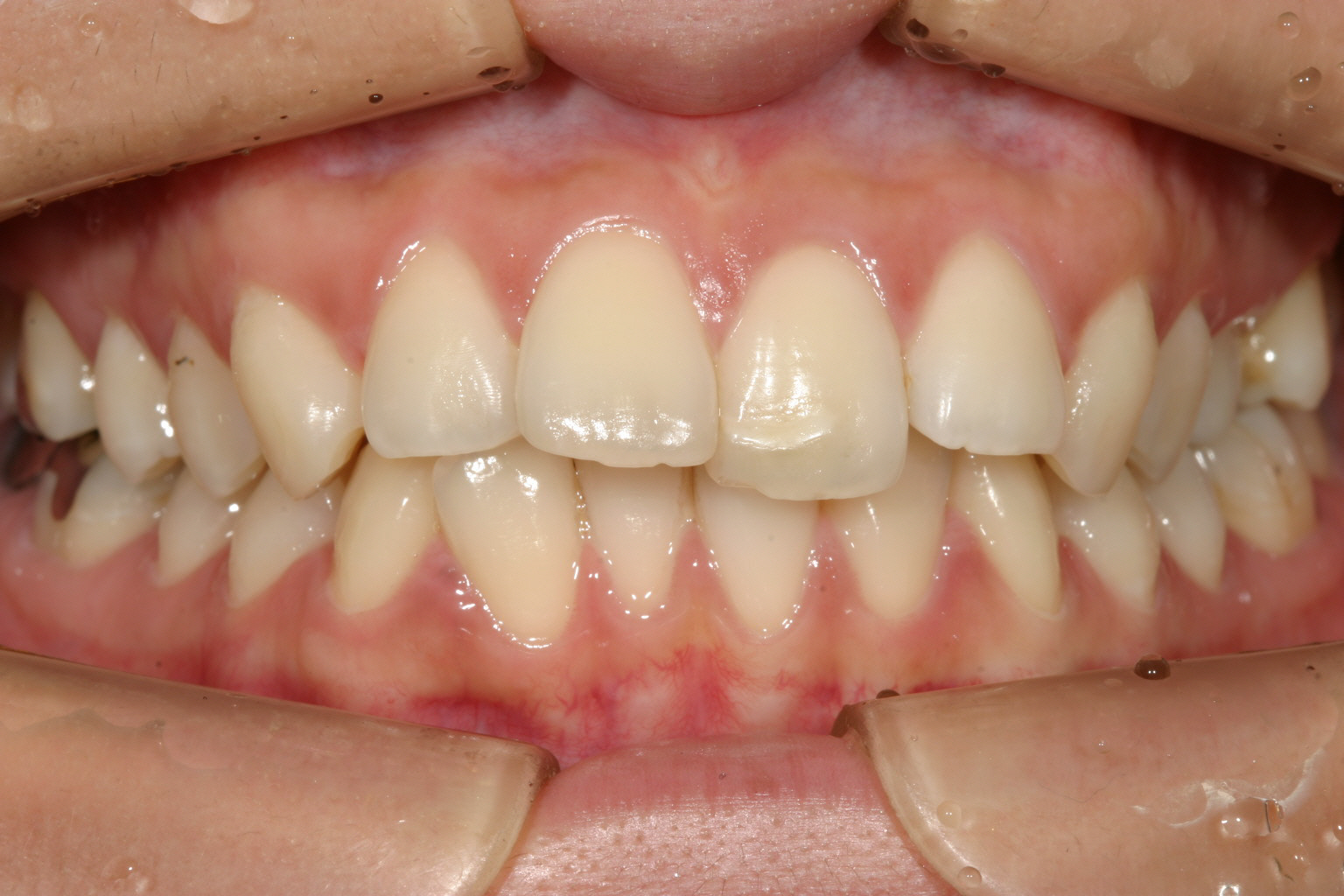
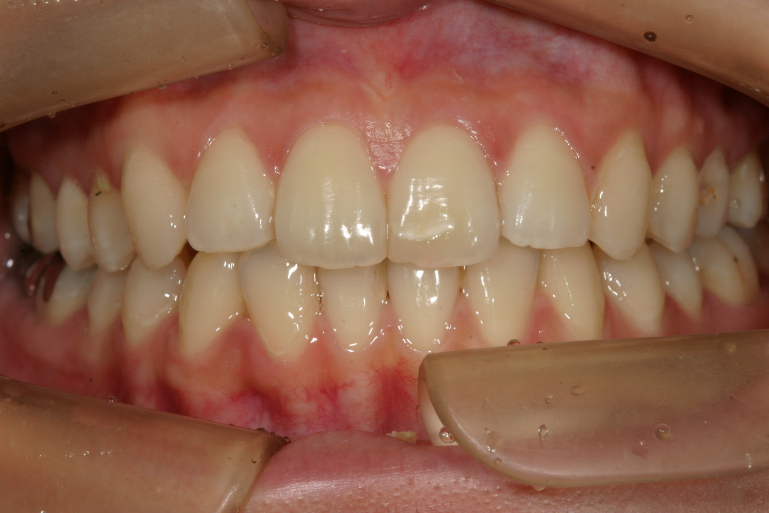
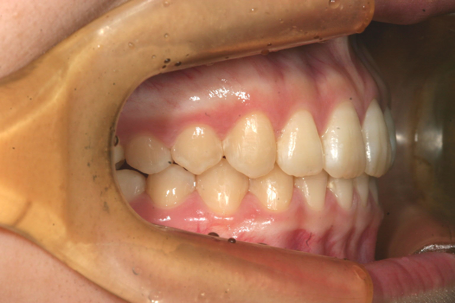
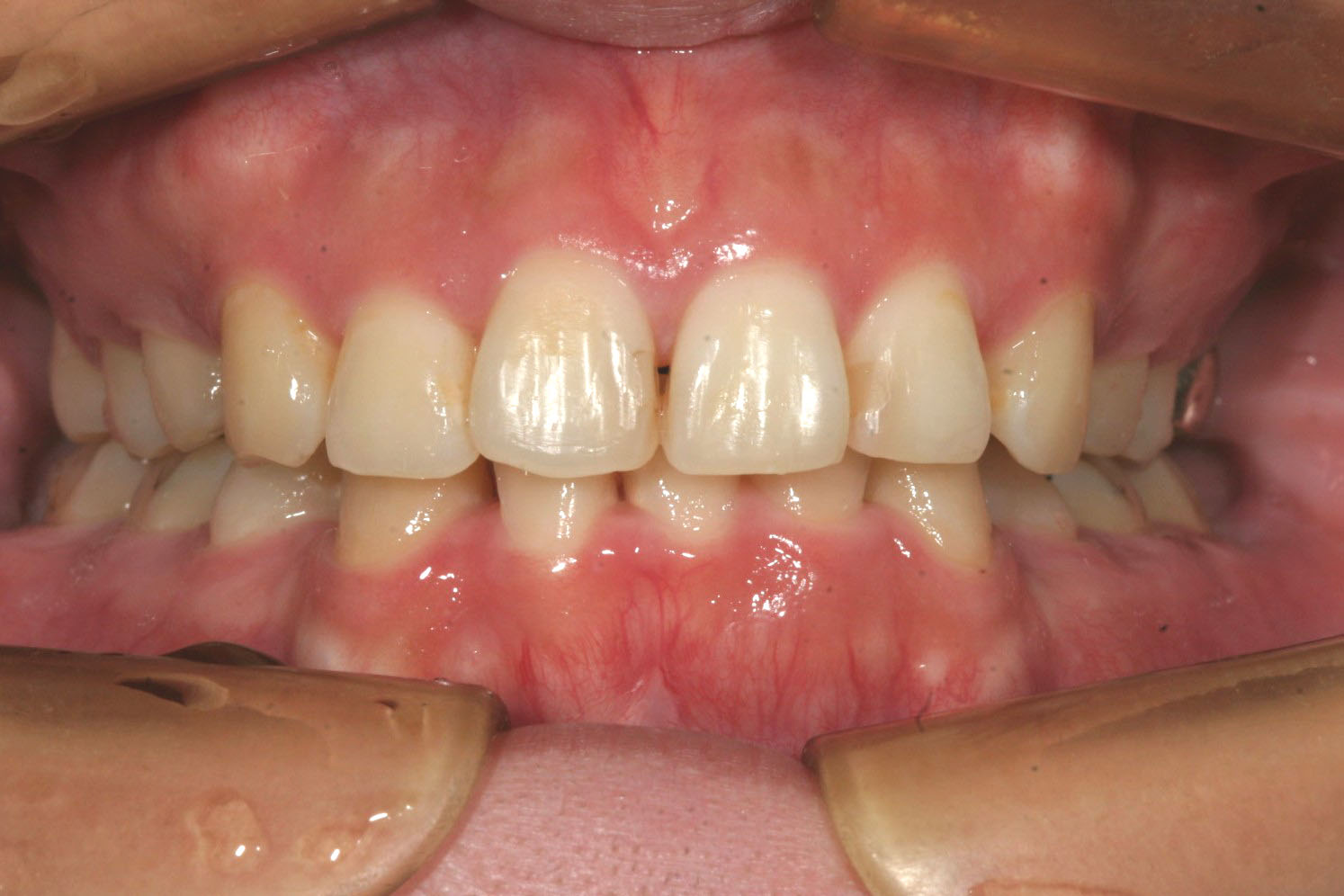
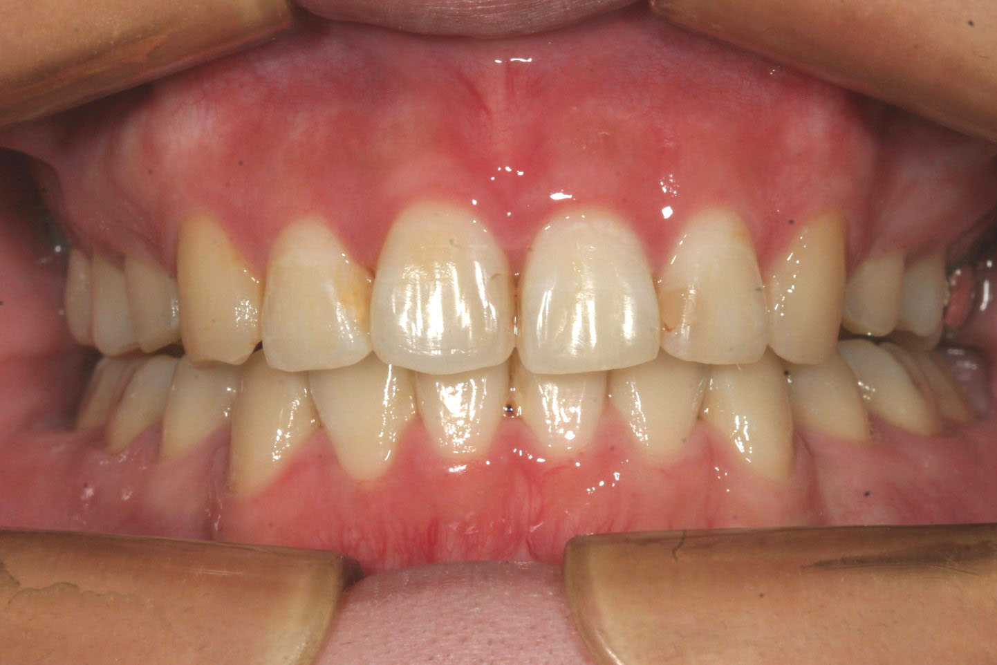
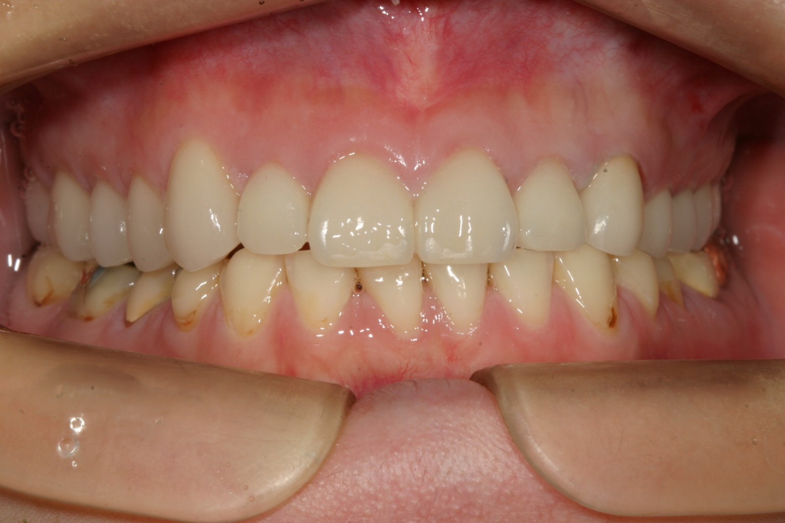
インビザライン マルチループワイヤー 前歯 歪み 小臼歯 回転


お悩み
前歯の歪みと片前歯の下への出っ張りが気になる。
年齢
31歳
性別
女性
治療に用いた装置
インビザライン
治療期間
1年4ヵ月
治療にかかった費用
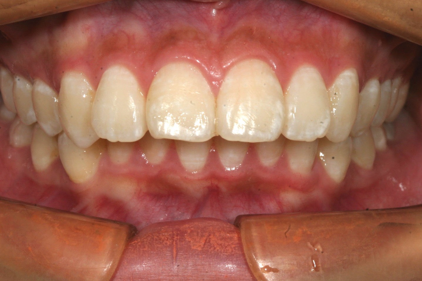
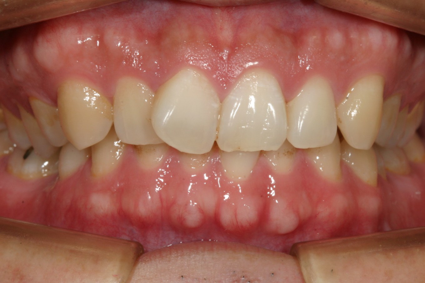
インビザライン アップダウンエラスティック 顎関節症 前歯 内傾斜 ディープバイト オーバーバイト 深い


お悩み
前の歯が内向いていて顎がカクカクする。
年齢
18歳
性別
女性
治療に用いた装置
インビザライン+自家製バイトアップジグ+アップダウンエラスティック
治療期間
1年4ヵ月
治療にかかった費用
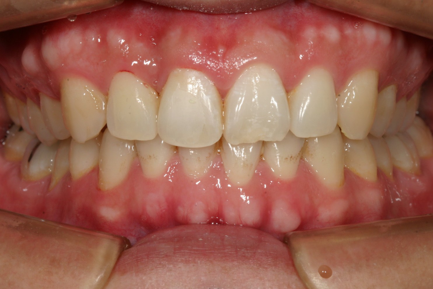
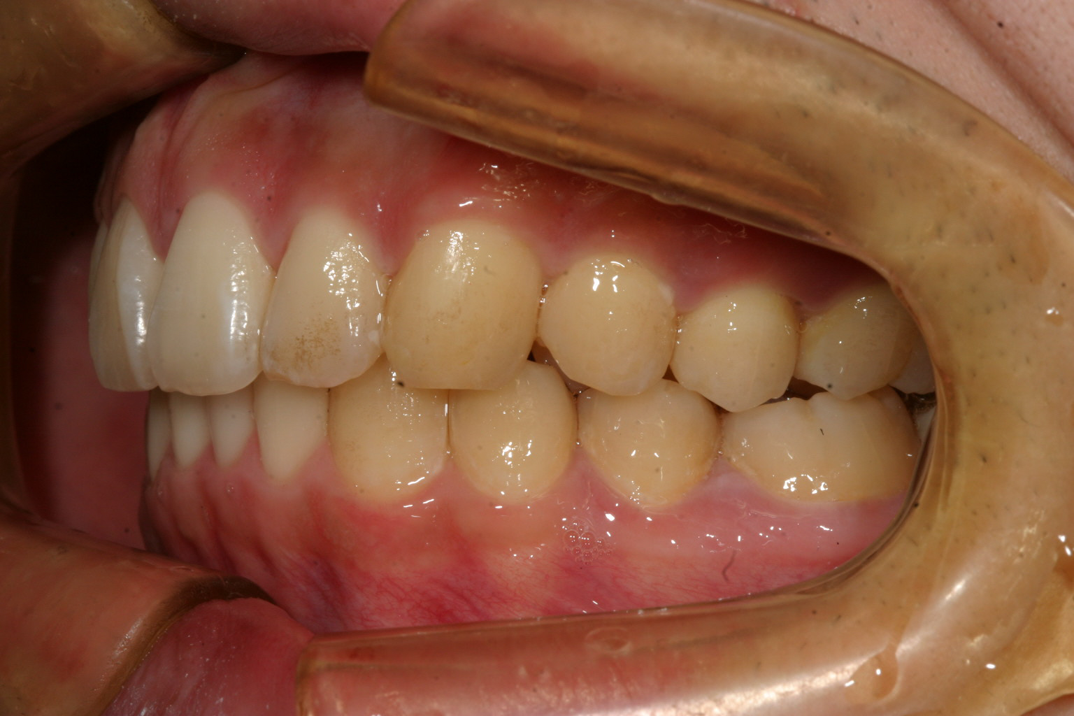
でっぱ 小臼歯抜歯 インビザライン 加速矯正装置 時間短縮 海外留学 大学在学中


お悩み
でっぱがすごくて下唇に跡形が付いて痛い。
年齢
28歳
性別
女性
治療に用いた装置
インビザライン+アップダウンエラスティック+加速矯正装置
治療期間
1年2ヵ月
治療にかかった費用
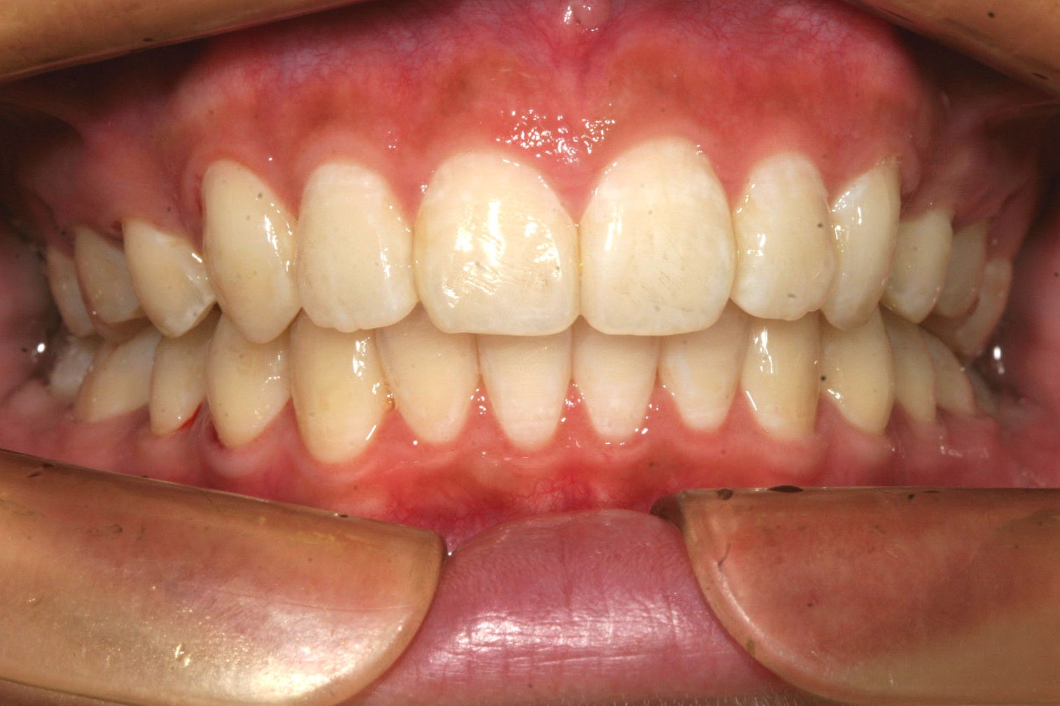
オーバーバイト 過蓋咬合 叢生 インビザライン 歯列狭い


お悩み
噛み合わせが深く下の前歯が余り見えない。
年齢
26歳
性別
女性
治療に用いた装置
インビザライン
治療期間
1年5ヵ月
治療にかかった費用
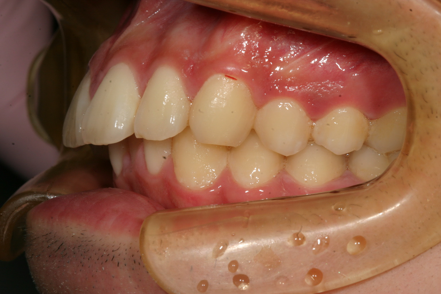
小臼歯 抜歯 ディープバイト 叢生 臼歯部傾斜 インビザライン


お悩み
他院で小臼歯抜歯した為臼歯部に隙間と咬み合わせが深い。
年齢
28歳
性別
女性
治療に用いた装置
インビザライン
治療期間
1年3ヵ月
治療にかかった費用
ジルコニアクラウン 出っ歯改善 補綴 咬み合わせ セラミック矯正 ディープバイト


お悩み
上の奥歯が摩耗してかみ合わせが深くなり出っ歯感を被せ物で改善したい。
年齢
30歳
性別
女性
治療に用いた装置
ジルコニアクラウン補綴
治療期間
5ヵ月
治療にかかった費用
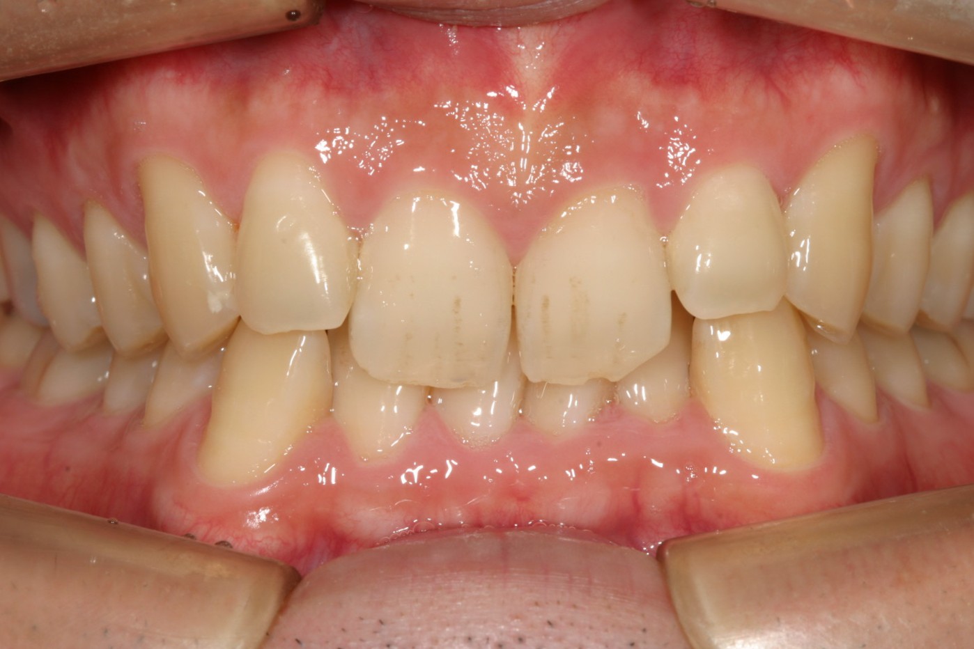
深い咬み合わせ 捻転 ねじれ インビザライン オーバーバイト ディープバイト


お悩み
前歯のねじれとかみ合わせが深い。
年齢
38歳
性別
女性
治療に用いた装置
インビザライン
治療期間
1年2ヵ月
治療にかかった費用
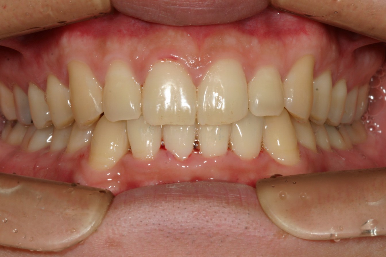
ディープバイト オーバーバイト インビザライン 顎関節症 カクカク ジャラジャラ


お悩み
下の前歯が見えず下の歯並びがガタガタ。
年齢
29歳
性別
男性
治療に用いた装置
インビザライン
治療期間
1年10か月
治療にかかった費用
¥682500
インビザライン 非抜歯 出っ歯 治療 抜かない


お悩み
出っ歯の為下唇に上の前歯の型がつくのと見た目が悪い。
年齢
20歳
性別
男性
治療に用いた装置
インビザライン
治療期間
2年6ヵ月
治療にかかった費用

