

お悩み
上の奥歯が摩耗してかみ合わせが深くなり出っ歯感を被せ物で改善したい。
年齢
30歳
性別
女性
治療に用いた装置
ジルコニアクラウン補綴
治療期間
5ヵ月
治療にかかった費用
治療詳細

奥歯を見て下さ‼ 全体的にすごく摩耗して黄色い象牙質が向き出ています。

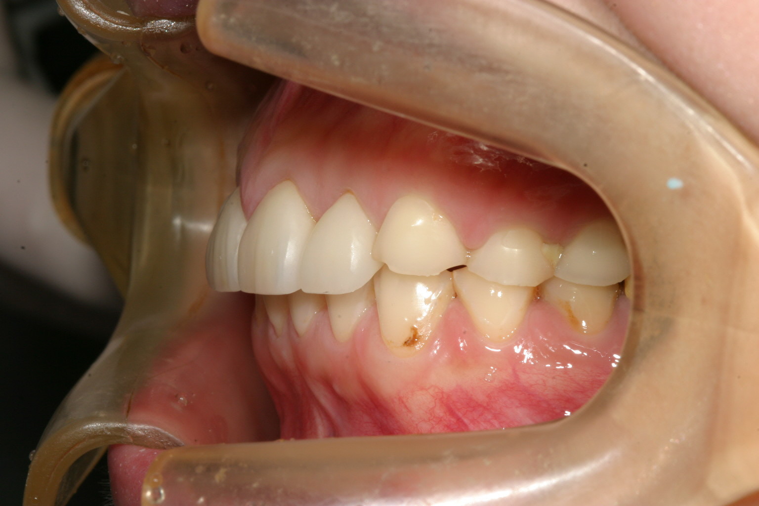
横からのかみ合わせですが奥歯が摩耗して低いとこの様に下顎が後ろに下がり顎関節症が生じ出っ歯感になります。

横から見てもこの様に出っ歯感が分かります。

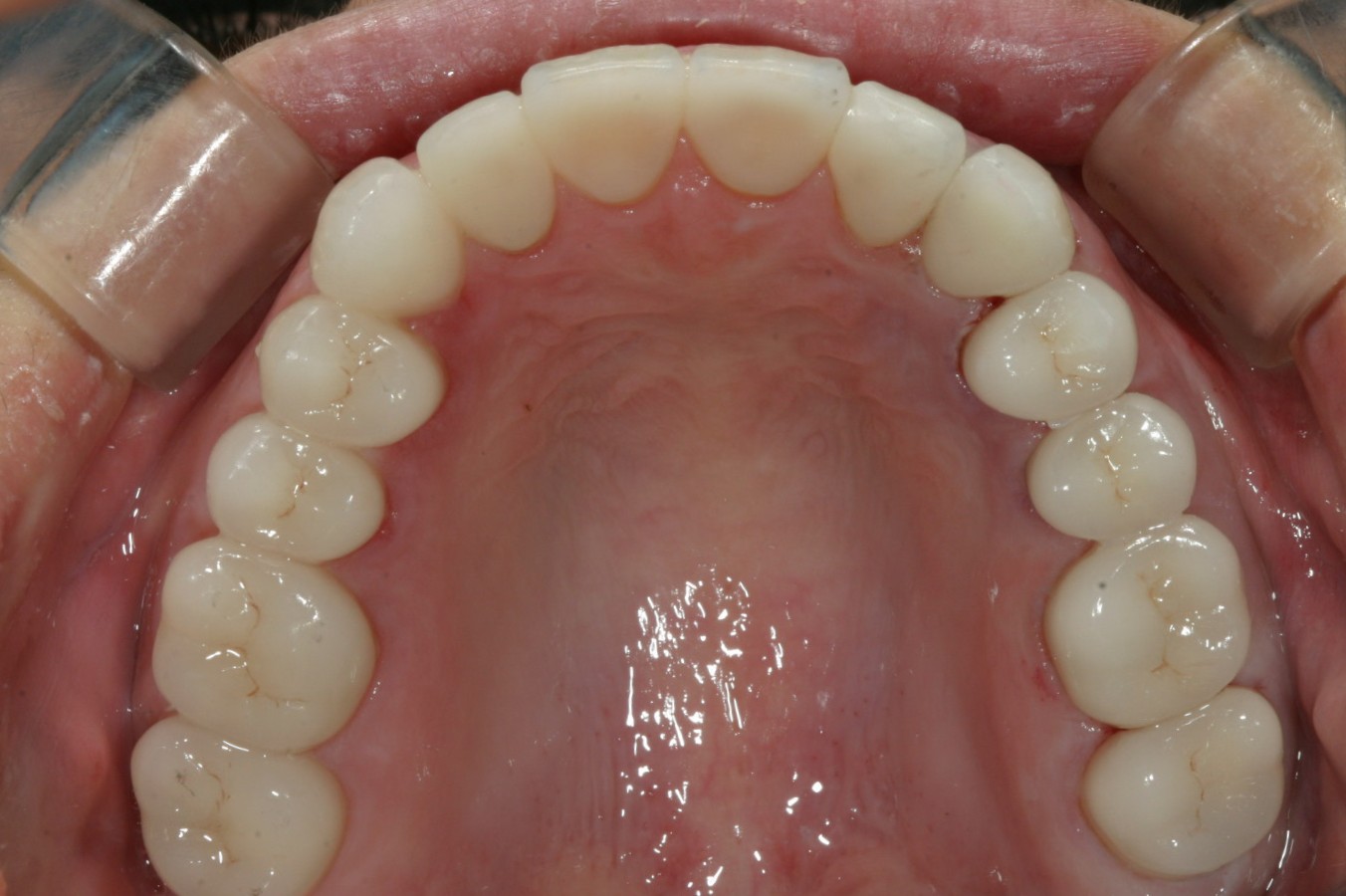
上顎全部ジルコニアクラウンで適正な高さを与え修復しました。

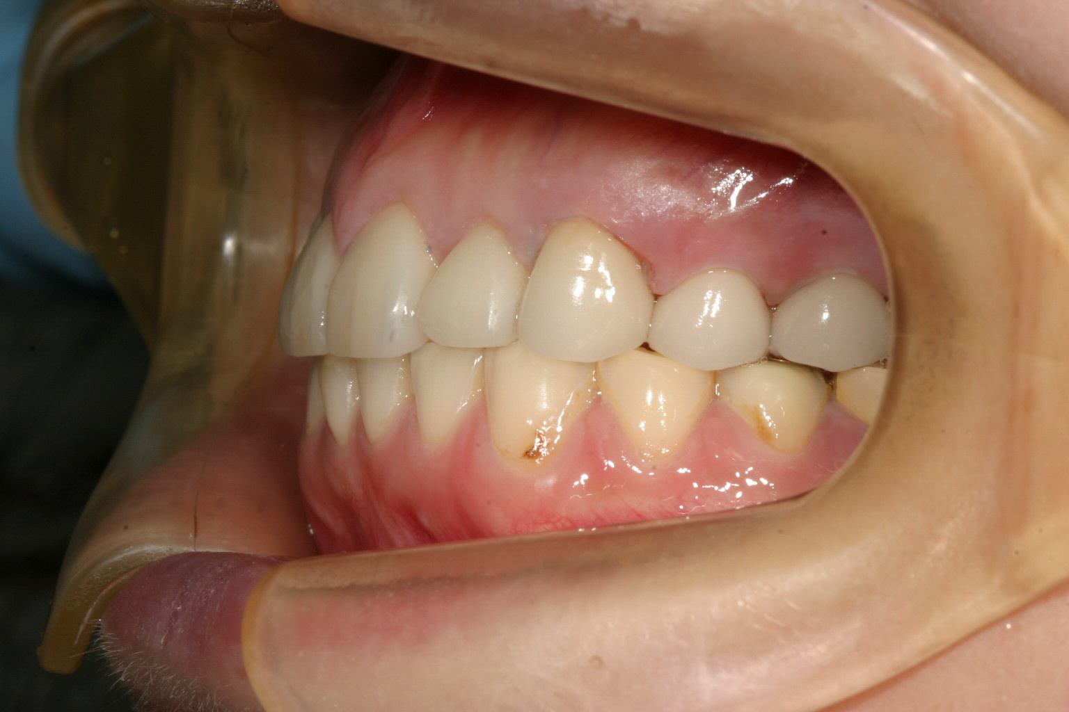
横からの咬み合わせも綺麗に改善しました。

オーバーバイトも綺麗にいい感じになっています。
当院からのコメント
今回の症例はちょっと珍しいですが補綴による咬合改善です。(治療予算の関係上 下顎は触っていません)
普通の歯医者に行けば上の歯が摩耗していても咬み合わせ迄見てくれないですからだだ歯を被せるだけで出っ歯はそのまま出っ歯のまま
被せが終了します。
当院では咬み合わせに力入れていますから同じ被せるなら最終的に見た目良く改善したいですよね~
ちょっと特殊な道具を使ってこの様に咬み合わせを元のいい位置に改善してジルコニアクラウンにて被せ物で治療させて頂いています。
咬合改善は別に特別な費用を頂くわけでなくその辺はサービスです。

