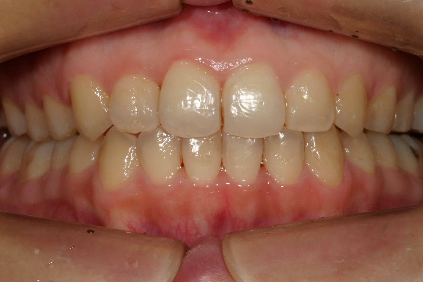
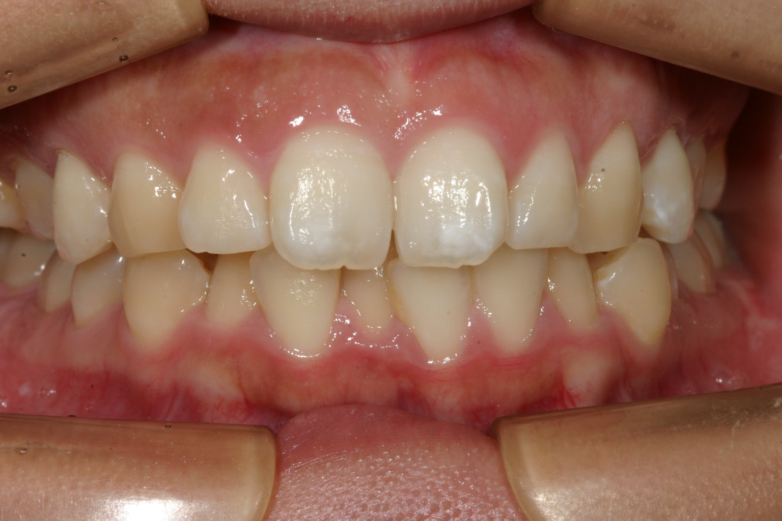
カテゴリー: 前歯の捻転(ねじれ)の症例(非抜歯)
インビザライン 前歯 ねじれ 傾く 出っ歯 叢生 ガチャ


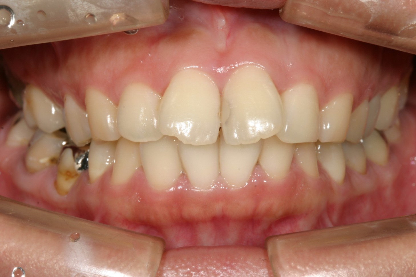
お悩み
前歯が傾いているのとガタガタが気になる。
年齢
25歳
性別
女性
治療に用いた装置
インビザライン
治療期間
1年2ヵ月
治療にかかった費用
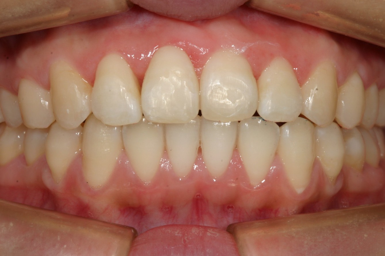
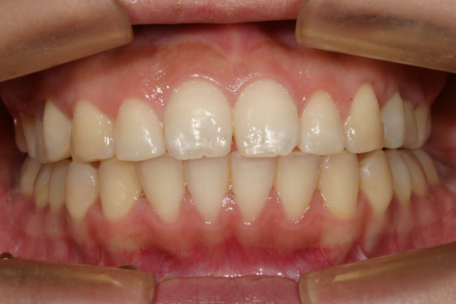
翼状捻転 ねじれ でっぱ インビザライン 加速矯正装置 時短 真ん中


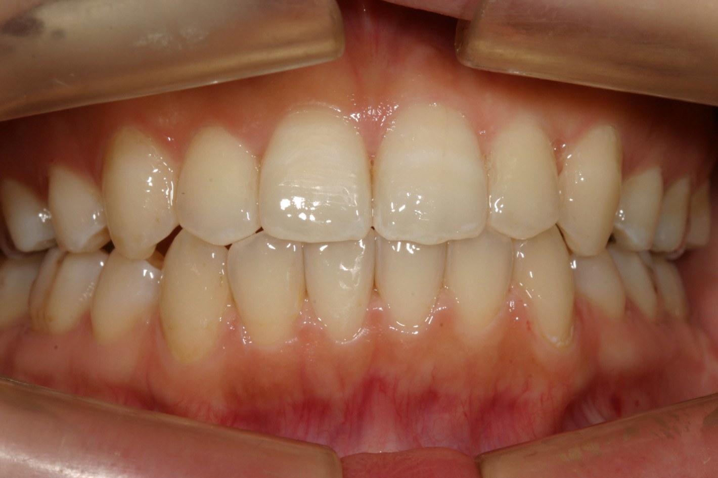
お悩み
前歯の翼状捻転を改善して欲しい。
年齢
32歳
性別
女性
治療に用いた装置
インビザライン
治療期間
1年5ヵ月
治療にかかった費用
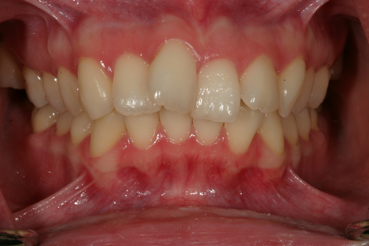
後戻り インビザライン 小臼歯抜歯矯正後 再治療 叢生


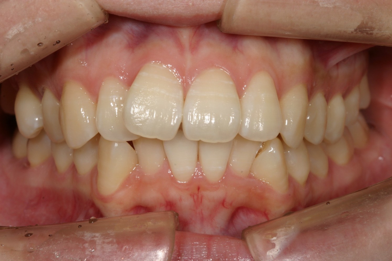
お悩み
上下とも小臼歯抜歯矯正治療後の後戻りを何とかしたい。
年齢
26歳
性別
女性
治療に用いた装置
インビザライン
治療期間
1年2ヵ月
治療にかかった費用
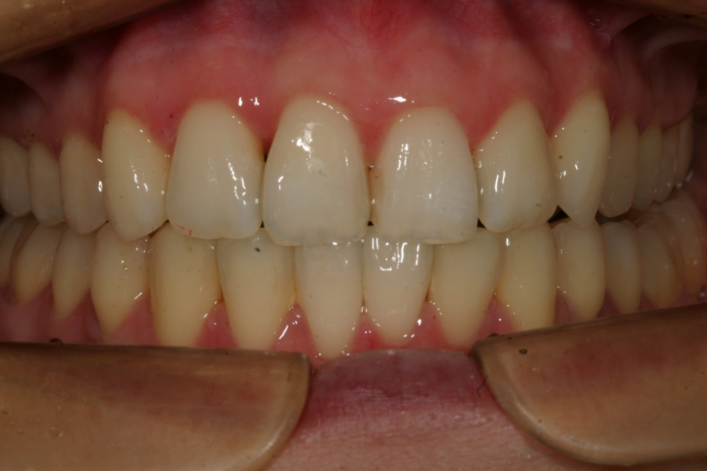
前歯 傾斜 リンガルアーチ インビザライン でっぱ 叢生


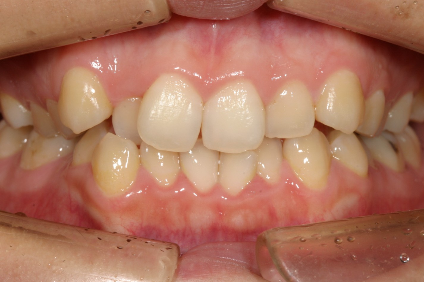
お悩み
前歯のねじれと出っ歯を治したい。
年齢
29歳
性別
女性
治療に用いた装置
インビザライン+リンガルアーチ
治療期間
1年11ヵ月
治療にかかった費用
前歯 パラパラ 叢生 ガチャ ガタガタ スクエア インビザライン


お悩み
前歯のガタガタとかみ合わせを治したい。
年齢
27歳
性別
女性
治療に用いた装置
インビザライン
治療期間
2年
治療にかかった費用
深い咬み合わせ 捻転 ねじれ インビザライン オーバーバイト ディープバイト


お悩み
前歯のねじれとかみ合わせが深い。
年齢
38歳
性別
女性
治療に用いた装置
インビザライン
治療期間
1年2ヵ月
治療にかかった費用









