前歯の捻転(ねじれ)の症例(非抜歯) 大阪で矯正歯科40年 橋本矯正歯科 2のページです。
\お問い合わせはお気軽に/
診療時間9:00~15:00(土曜は17:00)
休診日木曜・日曜・祝日

カテゴリー: 前歯の捻転(ねじれ)の症例(非抜歯)

前歯 ねじれ 叢生 ガタガタ 捻転 インビザライン    

お悩み
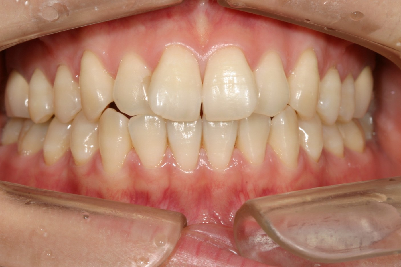
前歯のねじれが気になる
年齢
31歳
性別
女性
治療に用いた装置
インビザライン
治療期間
1年9カ月
治療にかかった費用
詳細はこちら

翼状捻転 part1 

お悩み
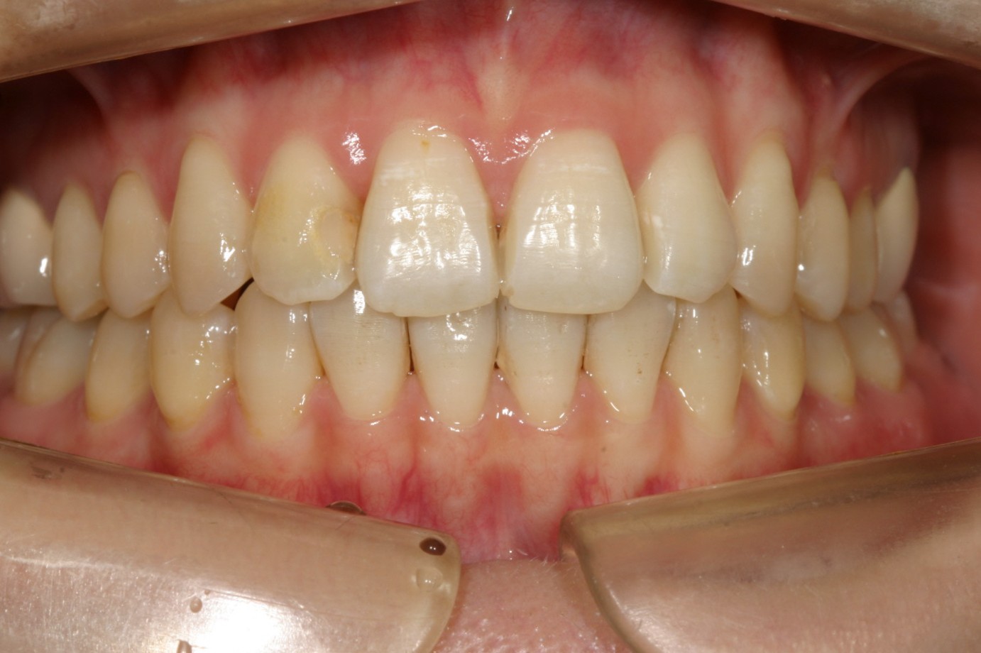
前歯のガタガタと翼状捻転を改善したい。
年齢
29歳
性別
女性
治療に用いた装置
インビザライン+クワッドヘリックスワイヤー
治療期間
2年8か月
治療にかかった費用
詳細はこちら

前歯 出っ歯 ガタガタ 二番目へこんでる 叢生 翼状捻転  インビザライン  

お悩み
前歯 出っ歯 ガタガタ 二番目へこんでる 叢生 翼状捻転
年齢
24歳
性別
女性
治療に用いた装置
インビザライン
治療期間
1年2ヵ月
治療にかかった費用
詳細はこちら

翼状捻転 叢生 前歯ねじれ ガチャ インビザライン   

お悩み
前歯がすこしねじれてる。
年齢
23歳
性別
女性
治療に用いた装置
インビザライン
治療期間
1年3ヵ月
治療にかかった費用
詳細はこちら

翼状捻転 part3    

お悩み
前歯がねじれて出っ張り下唇にあたり唇に傷が出来る
年齢
22歳
性別
女性
治療に用いた装置
インビザライン
治療期間
1年5か月
治療にかかった費用
詳細はこちら

翼状捻転 part2   

お悩み
でっ歯が反り返って唇に当たって痛い。
年齢
28歳
性別
男性
治療に用いた装置
ワイヤー矯正
治療期間
1年10か月
治療にかかった費用
詳細はこちら

前歯 翼状捻転 出っ歯 でっぱが気になる インビザライン  

お悩み
前歯のガタガタを直したい。
年齢
40歳
性別
女性
治療に用いた装置
インビザライン
治療期間
1年3か月
治療にかかった費用
66万円
詳細はこちら
電話メールアクセス