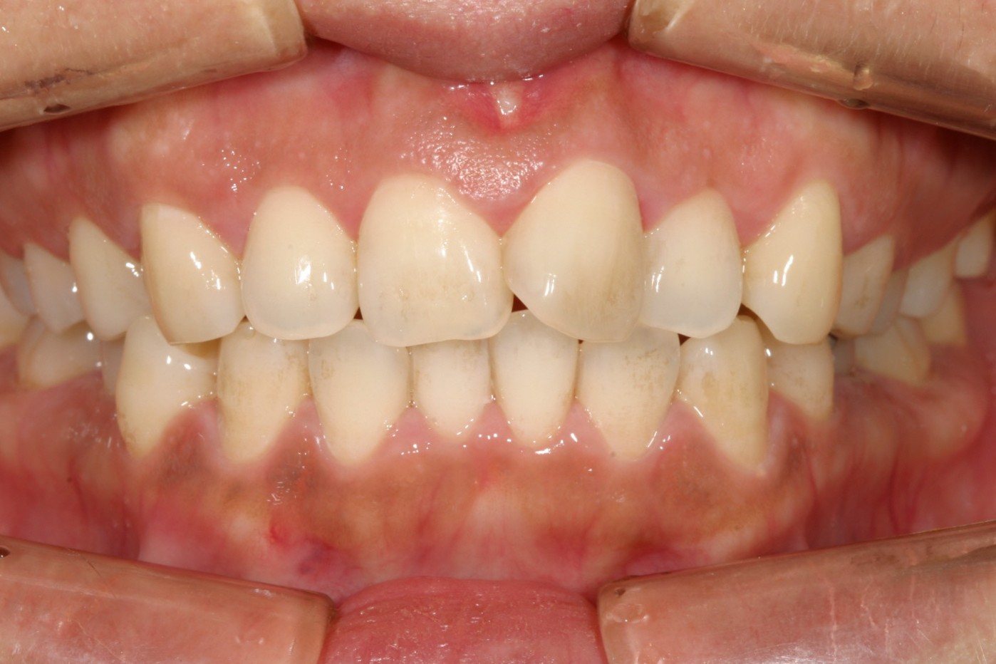
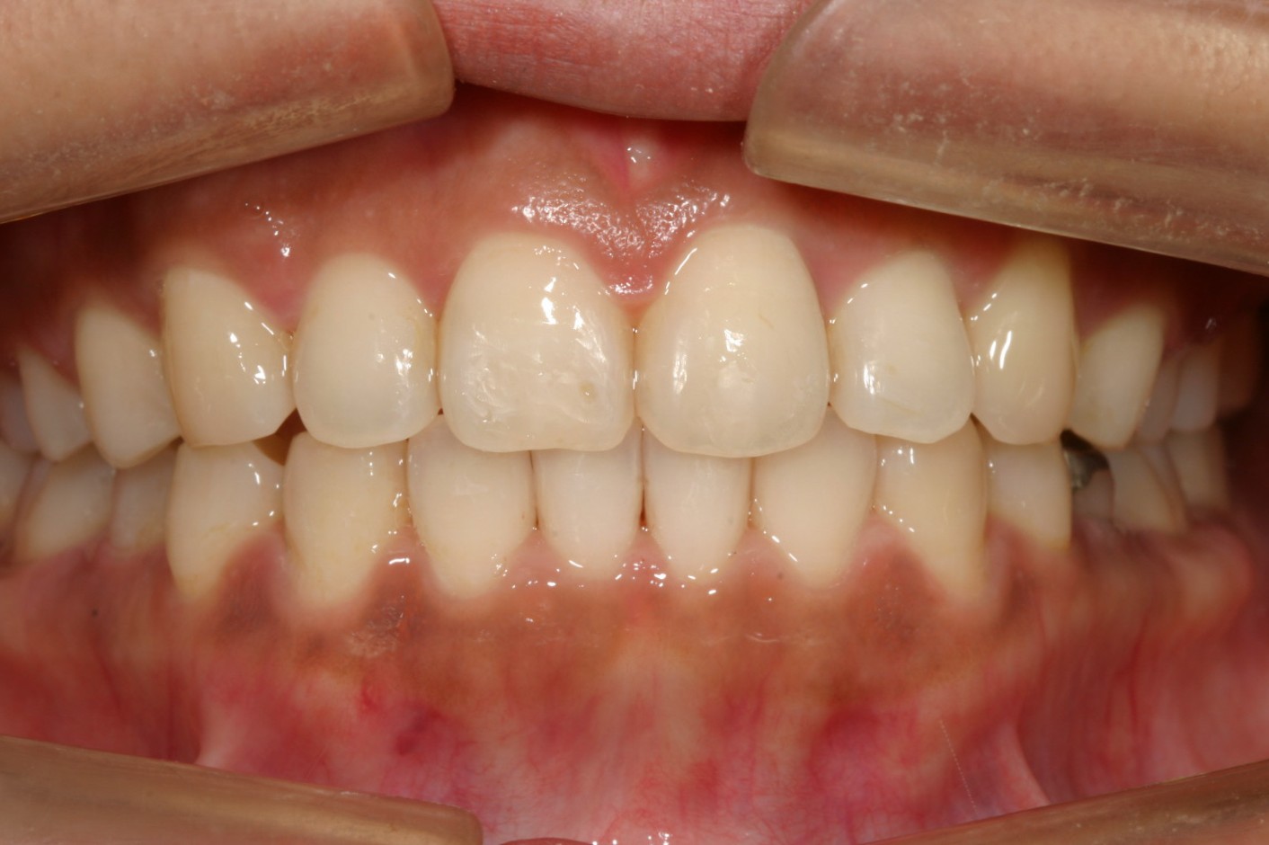
カテゴリー: でこぼこの歯・叢生(そうせい)の症例(非抜歯)
犬歯 飛び出し 前歯 内方傾斜 ガタガタ がちゃ マルチループワイヤー


お悩み
前歯が内に傾斜し糸切り歯も飛び出ている。
年齢
50歳
性別
女性
治療に用いた装置
マルチループワイヤー
治療期間
1年2ヵ月
治療にかかった費用
前歯 パラパラ 叢生 ガチャ ガタガタ スクエア インビザライン


お悩み
前歯のガタガタとかみ合わせを治したい。
年齢
27歳
性別
女性
治療に用いた装置
インビザライン
治療期間
2年
治療にかかった費用
両側八重歯(やえば)犬歯 ガチャ歯 非抜歯 ガタガタ インビザライン


お悩み
前歯がガタガタで犬歯が飛び出て見栄えが悪い
年齢
30歳
性別
女性
治療に用いた装置
インビザライン
治療期間
1年2ヵ月
治療にかかった費用
八重歯 非抜歯 リンガルアーチ 補助装置 インビザライン


お悩み
糸切り歯が飛び出しガタガタし見た目が悪いのを改善したい。
年齢
33歳
性別
女性
治療に用いた装置
インビザライン+リンガルアーチ
治療期間
2年4ヵ月
治療にかかった費用
他院での抜歯矯正後 後戻り 再治療 マウスピース矯正 インビザライン


お悩み
矯正治療後の後戻りを何とかしたい。
年齢
30歳
性別
女性
治療に用いた装置
インビザライン
治療期間
1年6ヵ月
治療にかかった費用











