

お悩み
上下とも全体的に前歯が飛び出している。
年齢
41歳
性別
女性
治療に用いた装置
インビザライン
治療期間
1年3ヵ月
治療にかかった費用
治療詳細

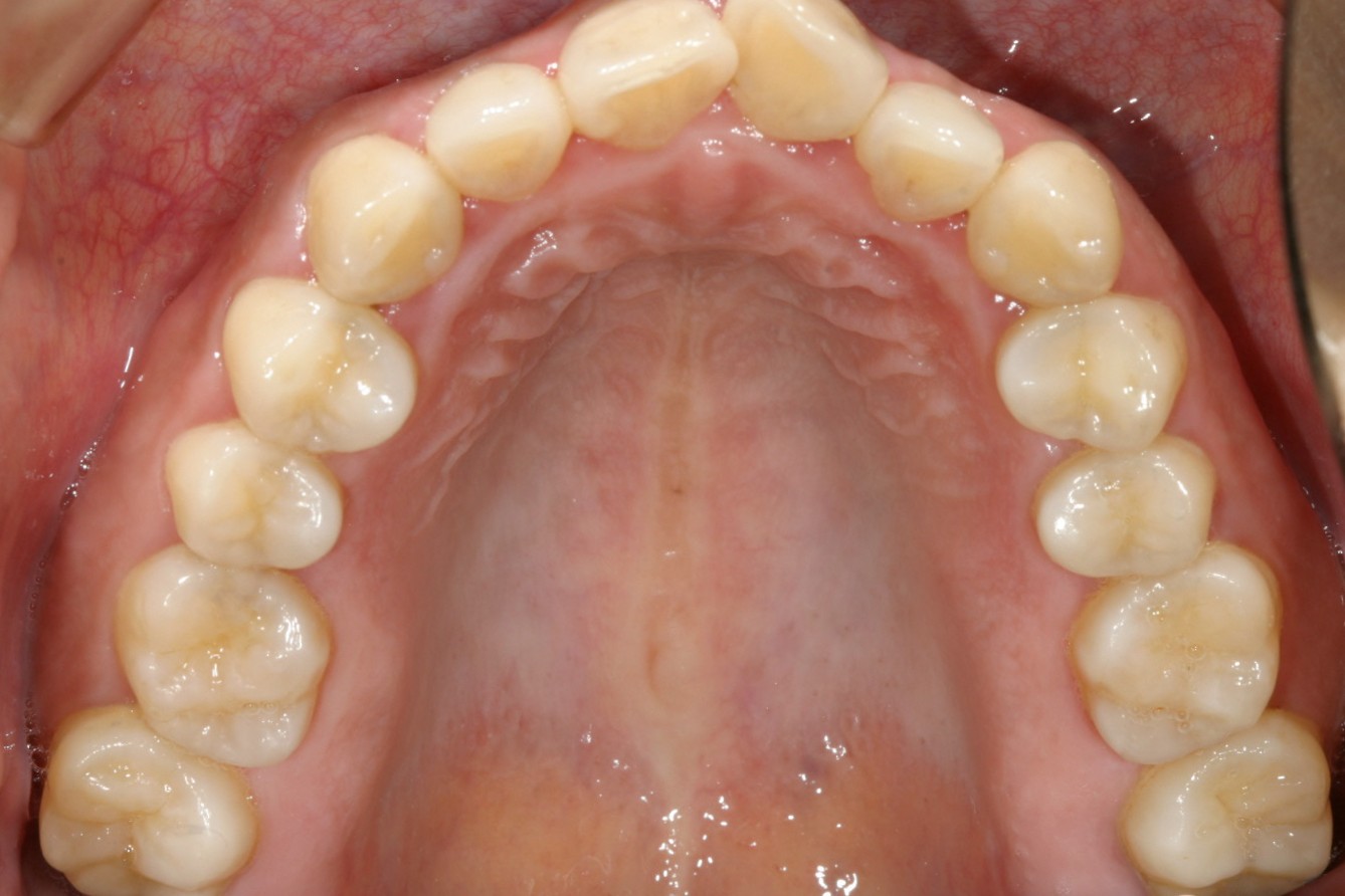
上顎前歯に叢生が見られます。

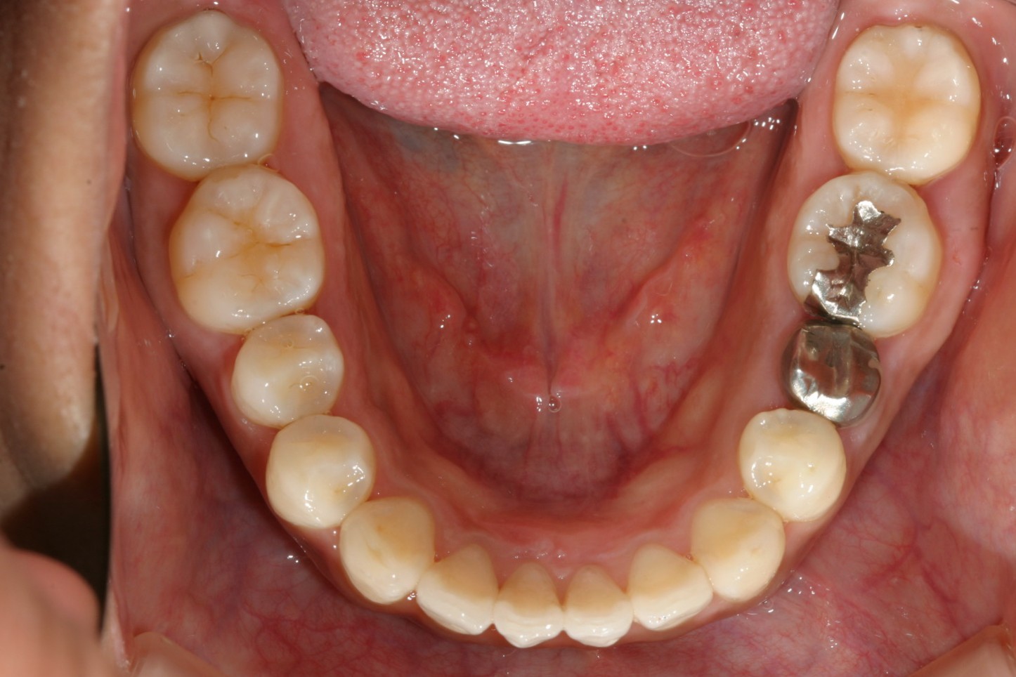
下顎にも僅かな叢生が見られます。

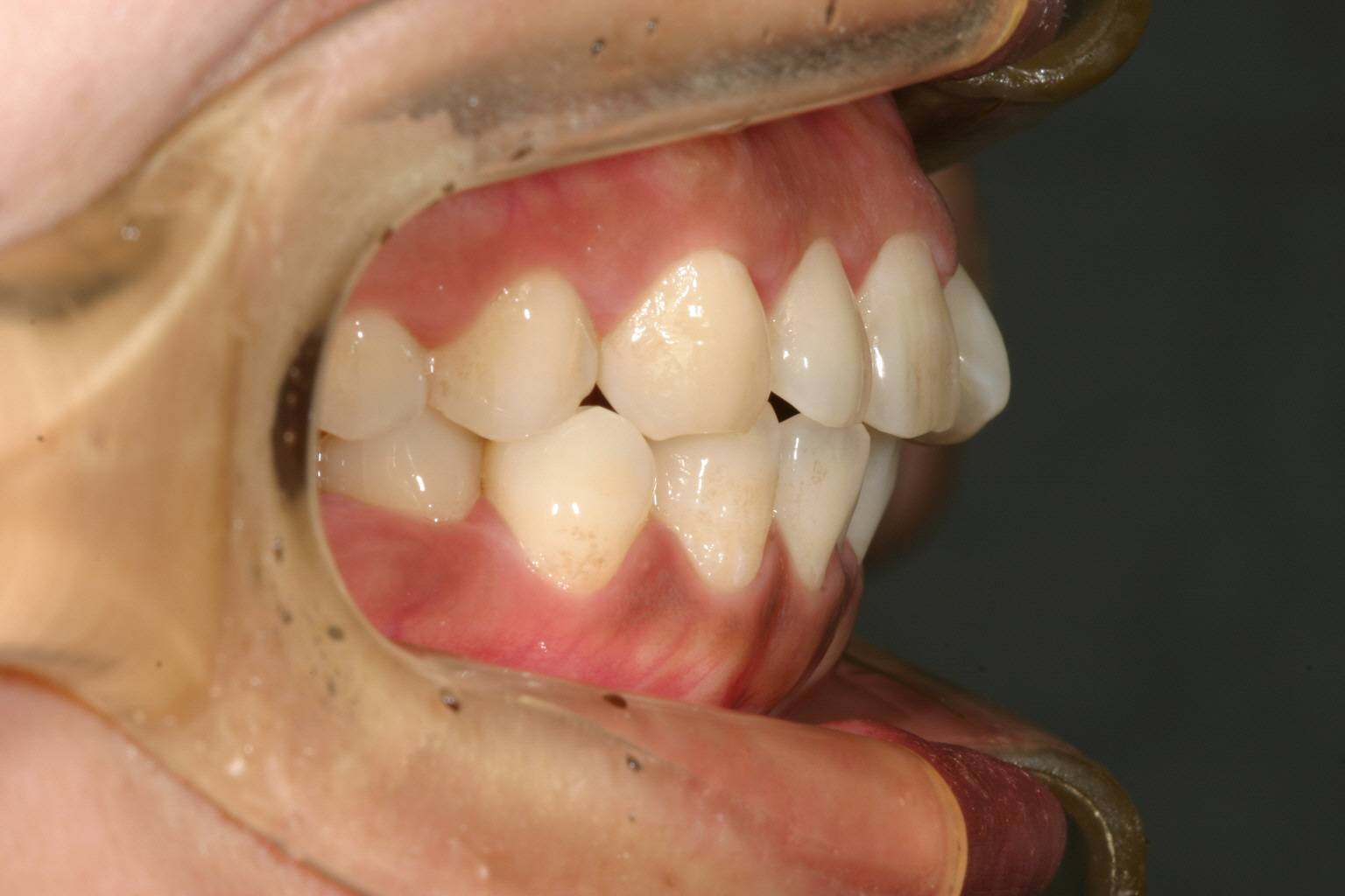
横から見ますと上下ともかなりの出っ歯です。

綺麗に整列出来ました。

下顎の綺麗ですね~

上の写真と比べてください。 かなり出っ歯が引っ込んだでしょ? 抜歯しなくてもこれだけ引き込める事が出来ます。
当院からのコメント
今回のケースは非抜歯で上下顎前突をどれだけ引き込める事が出来るかと言う事に挑戦しました。笑
抜歯もせずに何故にこれだけ引き込める事が出来るかと言いますと、インビザラインはデジタル矯正ですから矯正以前にコンピューターで何処にどれだけの隙間を入れればどのように並ぶかと言う事をシュミレーション出来る為、先に理想となる歯並びをシュミレーションしておき、そこで算出された通りに歯と歯の隙間を削れば簡単にこの様な治療が出来るという事になります。
しかし、いくらでも削れる訳じゃなく最大で隙間で0.5mmとしています。

